Suppr超能文献

孤立性双腔右心室——一种罕见病症。

Isolated Double-Chambered Right Ventricle - A Rare Entity.

作者信息

Garg Ashok, Agrawal Deepak, Sharma G L

机构信息

Department of Preventive and Noninvasive Cardiology, Jaipur Heart Institute, Jaipur, Rajasthan, India.

Department of Cardiology, Jaipur Heart Institute, Jaipur, Rajasthan, India.

出版信息

J Cardiovasc Echogr. 2020 Jul-Sep;30(3):162-164. doi: 10.4103/jcecho.jcecho_36_20. Epub 2020 Nov 9.

Abstract

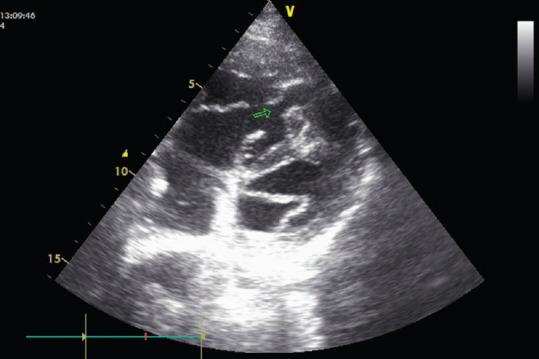
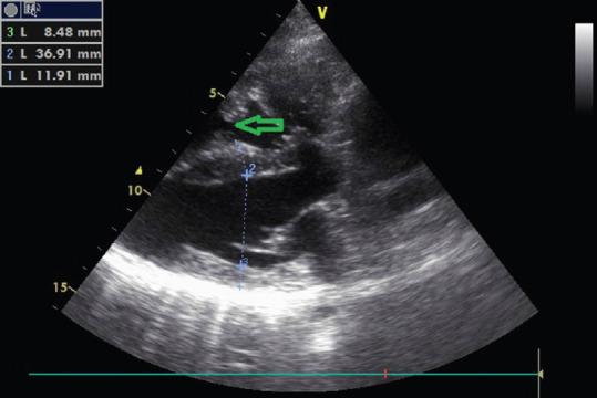
A double-chambered right ventricle (DCRV) is a rare congenital heart disease and an uncommon cause of congestive heart failure. An anomalous muscle band divides the right ventricle into two cavities: the proximal high-pressure chamber and the distal low-pressure chamber. Most cases are diagnosed and treated during childhood. Furthermore, there is a tendency for progression, if not treated early. Echocardiography is considered useful for the diagnosis of this ailment. Most of the patients have associated congenital anomalies, such as ventricular septal defect, pulmonary stenosis, and subaortic stenosis. Isolated DCRV is a rare entity. Hence, we report a case of an isolated DCRV in an adult patient.

摘要

双腔右心室(DCRV)是一种罕见的先天性心脏病,也是充血性心力衰竭的不常见病因。一条异常肌束将右心室分为两个腔:近端高压腔和远端低压腔。大多数病例在儿童期得到诊断和治疗。此外,如果不及早治疗,病情有进展的趋势。超声心动图被认为对诊断这种疾病有用。大多数患者伴有先天性异常,如室间隔缺损、肺动脉狭窄和主动脉瓣下狭窄。孤立性双腔右心室是一种罕见的情况。因此,我们报告一例成年患者的孤立性双腔右心室病例。

https://cdn.ncbi.nlm.nih.gov/pmc/blobs/2221/7799069/ce396e9a348b/JCE-30-162-g001.jpg

文献AI研究员

20分钟写一篇综述,助力文献阅读效率提升50倍。

立即体验

用中文搜PubMed

大模型驱动的PubMed中文搜索引擎

马上搜索

文档翻译

学术文献翻译模型,支持多种主流文档格式。

立即体验