School of Biological Science, Seoul National University, 1 Gwanak-ro, Gwanak-gu, Seoul, 08826, Republic of Korea.
Department of Neuropsychiatry, Seoul National University College of Medicine, Seoul, 13080, Republic of Korea.
Mol Psychiatry. 2021 Oct;26(10):5542-5556. doi: 10.1038/s41380-020-01003-y. Epub 2021 Jan 15.
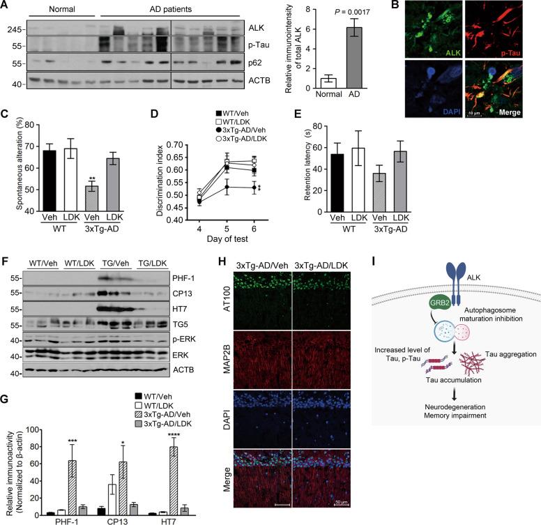
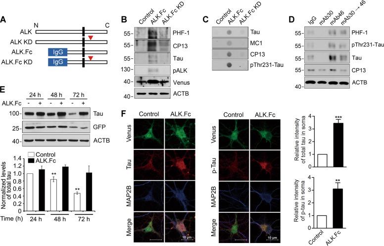
Proteinopathy in neurodegenerative diseases is typically characterized by deteriorating activity of specific protein aggregates. In tauopathies, including Alzheimer's disease (AD), tau protein abnormally accumulates and induces dysfunction of the affected neurons. Despite active identification of tau modifications responsible for tau aggregation, a critical modulator inducing tau proteinopathy by affecting its protein degradation flux is not known. Here, we report that anaplastic lymphoma kinase (ALK), a receptor tyrosine kinase, is crucial for the tau-mediated AD pathology. ALK caused abnormal accumulation of highly phosphorylated tau in the somatodendritic region of neurons through its tyrosine kinase activity. ALK-induced LC3-positive axon swelling and loss of spine density, leading to tau-dependent neuronal degeneration. Notably, ALK activation in neurons impaired Stx17-dependent autophagosome maturation and this defect was reversed by a dominant-negative Grb2. In a Drosophila melanogaster model, transgenic flies neuronally expressing active Drosophila Alk exhibited the aggravated tau rough eye phenotype with retinal degeneration and shortened lifespan. In contrast, expression of kinase-dead Alk blocked these phenotypes. Consistent with the previous RNAseq analysis showing upregulation of ALK expression in AD [1], ALK levels were significantly elevated in the brains of AD patients showing autophagosomal defects. Injection of an ALK.Fc-lentivirus exacerbated memory impairment in 3xTg-AD mice. Conversely, pharmacologic inhibition of ALK activity with inhibitors reversed the memory impairment and tau accumulation in both 3xTg-AD and tauC3 (caspase-cleaved tau) transgenic mice. Together, we propose that aberrantly activated ALK is a bona fide mediator of tau proteinopathy that disrupts autophagosome maturation and causes tau accumulation and aggregation, leading to neuronal dysfunction in AD.
神经退行性疾病中的蛋白病变通常表现为特定蛋白聚集体活性的恶化。在包括阿尔茨海默病(AD)在内的 tau 病中,tau 蛋白异常积聚并导致受影响神经元的功能障碍。尽管积极鉴定了导致 tau 聚集的 tau 修饰,但尚未发现通过影响其蛋白降解通量来诱导 tau 蛋白病变的关键调节剂。在这里,我们报告间变性淋巴瘤激酶(ALK),一种受体酪氨酸激酶,对于 tau 介导的 AD 病理学至关重要。ALK 通过其酪氨酸激酶活性导致神经元的 somatodendritic 区域中高度磷酸化 tau 的异常积聚。ALK 诱导的 LC3 阳性轴突肿胀和棘密度丧失,导致 tau 依赖性神经元变性。值得注意的是,神经元中的 ALK 激活会损害 Stx17 依赖性自噬体成熟,而这一缺陷可以通过显性负性 Grb2 逆转。在黑腹果蝇模型中,神经元表达活性果蝇 Alk 的转基因果蝇表现出加重的 tau 粗糙眼表型,伴有视网膜变性和寿命缩短。相比之下,表达激酶失活的 Alk 则阻止了这些表型。与之前的 RNAseq 分析显示 AD 中 ALK 表达上调一致[1],AD 患者大脑中 ALK 水平显着升高,表现出自噬体缺陷。ALK.Fc-慢病毒的注射加剧了 3xTg-AD 小鼠的记忆障碍。相反,用抑制剂抑制 ALK 活性可逆转 3xTg-AD 和 tauC3(半胱氨酸蛋白酶切割 tau)转基因小鼠中的记忆障碍和 tau 积聚。总之,我们提出异常激活的 ALK 是 tau 蛋白病变的真正介质,它破坏自噬体成熟并导致 tau 积聚和聚集,从而导致 AD 中的神经元功能障碍。