Suppr超能文献

乳糜泻的组织病理学。意大利胃肠病理学家小组(GIPAD-SIAPEC)的立场声明。

Histopathology of Celiac Disease. Position Statements of the Italian Group of Gastrointestinal Pathologists (GIPAD-SIAPEC).

作者信息

Villanacci V, Ciacci C, Salviato T, Leoncini G, Bonetti L Reggiani, Ragazzini T, Limarzi F, Saragoni L

机构信息

Institute of Pathology ASST-Spedali Civili, Brescia, Italy.

Celiac Center, AOU San Giovanni di Dio e Ruggi di Aragona, University of Salerno, Department of Medicine, Surgery, and Dentistry Scuola Medica Salernitana, Salerno, Italy.

出版信息

Transl Med UniSa. 2020 Oct 31;23:28-36. doi: 10.37825/2239-9747.1005. eCollection 2020 Oct.

Abstract

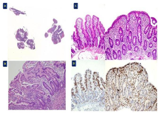
Celiac Disease (CeD) is an immune-mediated inflammatory disorder of the small intestine, affecting genetically susceptible individuals when exposed to gluten. Small intestinal biopsy interpretation has been the "gold standard" for celiac disease (CeD) for over 50 years. Despite today's availability of sensitive and specific serological tests, the histopathological features from mucosal biopsy play a key role in diagnosing when CeD is suspected. Such a diagnostic approach requires a multidisciplinary team to optimize both tissue sampling and interpretation via the interaction between the pathologist and the gastroenterologist. Pathologists of the Italian Group of Gastrointestinal Pathology (GIPAD-SIAPEC), together with a member (TR) of the Italian Society of Technicians (AITIC) and an expert gastroenterologist (CC), provide position statements as a practical tool for reading and interpreting the report. Moreover, a position statement was formulated about the recently described condition known as Non-Celiac Gluten Sensitivity (NCGS). Within such a diagnostic setting, both the architectural abnormalities of the duodenal mucosa, namely glandular hyperplasia, and villous atrophy and the number of intraepithelial T-lymphocytes should be well highlighted. Ancillary tests such as anti-CD3 stain are useful for an accurate count of the intraepithelial T lymphocytes when CeD or NCGS is suspected. Moreover, anti-CD3 and anti-CD8 stains are recommended in patients not responding to the gluten-free diet (GFD) to confirm a diagnosis of Refractory Celiac Disease (RCeD). Diagnostic clues about the differential diagnosis of both CeD and RCeD have also been rendered.

摘要

乳糜泻(CeD)是一种由免疫介导的小肠炎症性疾病,在遗传易感个体接触麸质时发病。五十多年来,小肠活检结果解读一直是乳糜泻(CeD)诊断的“金标准”。尽管如今已有灵敏且特异的血清学检测方法,但当怀疑患有乳糜泻时,黏膜活检的组织病理学特征在诊断中仍起着关键作用。这种诊断方法需要多学科团队通过病理学家与胃肠病学家之间的互动来优化组织采样和解读。意大利胃肠病理学组(GIPAD - SIAPEC)的病理学家与意大利技术人员协会(AITIC)的一名成员(TR)以及一位胃肠病学专家(CC)共同提供立场声明,作为阅读和解读报告的实用工具。此外,还针对最近描述的一种名为非乳糜泻麸质敏感(NCGS)的病症制定了立场声明。在这样的诊断背景下,十二指肠黏膜的结构异常,即腺体增生、绒毛萎缩以及上皮内T淋巴细胞数量,都应得到充分重视。当怀疑患有乳糜泻或非乳糜泻麸质敏感时,诸如抗CD3染色等辅助检测对于准确计数上皮内T淋巴细胞很有用。此外,对于无麸质饮食(GFD)治疗无效的患者,建议进行抗CD3和抗CD8染色以确诊难治性乳糜泻(RCeD)。文中还给出了乳糜泻和难治性乳糜泻鉴别诊断的诊断线索。

https://cdn.ncbi.nlm.nih.gov/pmc/blobs/8241/8370535/f4e640de4db4/tmj-23-04-028f1.jpg

文献检索

告别复杂PubMed语法,用中文像聊天一样搜索,搜遍4000万医学文献。AI智能推荐,让科研检索更轻松。

立即免费搜索

文件翻译

保留排版,准确专业,支持PDF/Word/PPT等文件格式,支持 12+语言互译。

免费翻译文档

深度研究

AI帮你快速写综述,25分钟生成高质量综述,智能提取关键信息,辅助科研写作。

立即免费体验