Suppr超能文献

2 型糖尿病患者的神经血管耦联改变:一项 5 年纵向 MRI 研究。

Neurovascular coupling alterations in type 2 diabetes: a 5-year longitudinal MRI study.

机构信息

Department of Medical Imaging and Tianjin Key Laboratory of Functional Imaging, Tianjin Medical University General Hospital, Tianjin, China.

Department of Radiology, Tianjin Medical University Metabolic Diseases Hospital, Tianjin, China.

出版信息

BMJ Open Diabetes Res Care. 2021 Jan;9(1). doi: 10.1136/bmjdrc-2020-001433.

Abstract

INTRODUCTION

Respective alterations in resting-state brain neural activity and cerebral blood flow (CBF) in type 2 diabetes mellitus (T2DM) have been reported. However, their coupling alteration in T2DM remains largely unknown.

RESEARCH DESIGN AND METHODS

Twenty-seven patients with T2DM aged 40-67 years and 36 well-matched healthy controls (HCs) underwent resting-state functional MRI (rs-fMRI) and arterial spin labeling (ASL) scans at two time points with a 5-year interval. Regional homogeneity (ReHo) and CBF were calculated from rs-fMRI and ASL, respectively. The standardized ReHo:CBF ratio (mReHo:mCBF ratio), the spontaneous neuronal activity per unit CBF supply, was compared between the two time points. Relationships between the mReHo:mCBF ratio and memory performance were analyzed.

RESULTS

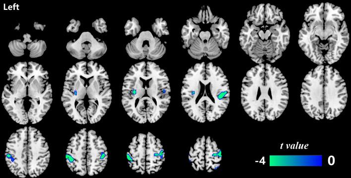
Over 5 years, decreased mReHo:mCBF ratios in patients with T2DM were mainly distributed in four regions, among which the left insula exhibited more severely decreased mReHo:mCBF ratio in patients with T2DM than in HCs, while the left postcentral gyrus, the right Rolandic operculum, and the right precentral gyrus showed no significant intergroup difference. Correlations between the mReHo:mCBF ratio and memory performance were also found in patients with T2DM.

CONCLUSIONS

This study suggests that T2DM may accelerate neurovascular coupling impairment in specific brain regions (the left insula), contributing to memory decline. This study implies that the mReHo:mCBF ratio is a potential imaging marker for detecting neurovascular changes.

摘要

简介

已有研究报道 2 型糖尿病(T2DM)患者静息态脑功能活动和脑血流(CBF)存在改变,但 T2DM 患者神经血管耦联改变的具体情况仍知之甚少。

研究设计和方法

27 名年龄在 40-67 岁的 T2DM 患者和 36 名年龄匹配的健康对照者(HCs)分别在 2 个时间点接受静息态功能磁共振成像(rs-fMRI)和动脉自旋标记(ASL)扫描,两次扫描间隔 5 年。分别从 rs-fMRI 和 ASL 中计算局部一致性(ReHo)和 CBF。比较了 2 个时间点之间标准化 ReHo:CBF 比值(mReHo:mCBF 比值),即单位 CBF 供应下的自发神经元活动。分析了 mReHo:mCBF 比值与记忆表现之间的关系。

结果

在 5 年期间,T2DM 患者的 mReHo:mCBF 比值降低主要分布于 4 个区域,其中左侧脑岛的 mReHo:mCBF 比值降低更明显,而左侧中央后回、右侧 Rolandic 岛盖、右侧中央前回在两组间无显著差异。T2DM 患者的 mReHo:mCBF 比值与记忆表现之间也存在相关性。

结论

本研究表明,T2DM 可能加速特定脑区(左侧脑岛)的神经血管耦联损害,导致记忆下降。本研究提示 mReHo:mCBF 比值可能是检测神经血管变化的潜在影像学标志物。

https://cdn.ncbi.nlm.nih.gov/pmc/blobs/239c/7816934/91de8f071a30/bmjdrc-2020-001433f01.jpg

文献AI研究员

20分钟写一篇综述,助力文献阅读效率提升50倍。

立即体验

用中文搜PubMed

大模型驱动的PubMed中文搜索引擎

马上搜索

文档翻译

学术文献翻译模型,支持多种主流文档格式。

立即体验