Suppr超能文献

神经影像学在原发性和继发性半面痉挛病例中的作用。

Role of neuroimaging in cases of primary and secondary hemifacial spasm.

机构信息

Orbit, Oculoplasty, Reconstructive and Aesthetic Services, Sankara Nethralaya, Medical Research Foundation, Chennai, Tamil Nadu, India.

Orbit, Oculoplasty, Reconstructive and Aesthetic Services Aditya Birla Sankara Nethralaya, Kolkata (A Unit of Medical Research Foundation, Chennai), West Bengal, India.

出版信息

Indian J Ophthalmol. 2021 Feb;69(2):253-256. doi: 10.4103/ijo.IJO_415_20.

Abstract

PURPOSE

The objective of this study was to analyze the role of neuroimaging and documenting various intracranial pathologies in primary and secondary hemifacial spasm.

METHODS

This retrospective study included patients with HFS who had undergone neuroimaging. The demographic profile, onset, progression, neuroimaging findings, and types of HFS were documented and analyzed.

RESULTS

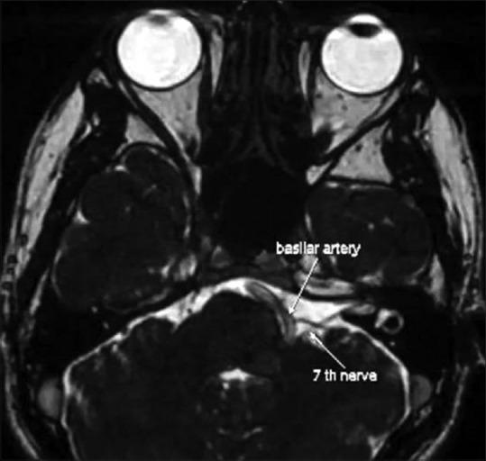
A total of 202 patients (male = 110, female = 92) were included. The mean age of the study population was 51.81 ± 11.76 years. The right side was involved in 104 patients, the left side was involved in 97 patients and bilateral involvement was observed in one patient. Primary HFS: secondary HFS was 9.6:1. The mean age of onset of the spasms in the primary HFS group was 49.26 ± 8.35 years and in secondary HFS was 43.13 ± 12.12 years respectively. The anterior inferior cerebellar artery was the major vessel causing neurovascular conflict in primary HFS (n = 55). Facial nerve palsy was the most common cause (n = 13) of secondary HFS followed by cerebellopontine angle (CPA) tumors.

CONCLUSION

The hemifacial spasm occurs mostly in the fifth decade of life. Primary HFS is more prevalent than secondary HFS. Clinical distinction between them is difficult. Neuroimaging is essential to detect the conflicting vasculature in cases of primary HFS and pathologies like CPA tumor, cyst, and aneurysms in cases of secondary HFS.

摘要

目的

本研究旨在分析神经影像学在原发性和继发性面肌痉挛中各种颅内病变的作用。

方法

本回顾性研究纳入了接受神经影像学检查的 HFS 患者。记录并分析了患者的人口统计学特征、发病、进展、神经影像学表现和 HFS 类型。

结果

共纳入 202 例患者(男性 110 例,女性 92 例)。研究人群的平均年龄为 51.81 ± 11.76 岁。104 例患者右侧受累,97 例患者左侧受累,1 例患者双侧受累。原发性 HFS:继发性 HFS 为 9.6:1。原发性 HFS 组痉挛的平均发病年龄为 49.26 ± 8.35 岁,继发性 HFS 组为 43.13 ± 12.12 岁。小脑前下动脉是引起原发性 HFS 神经血管冲突的主要血管(n = 55)。面神经瘫痪是继发性 HFS(n = 13)最常见的病因,其次是桥小脑角(CPA)肿瘤。

结论

面肌痉挛多发生在第五个十年。原发性 HFS 比继发性 HFS 更常见。两者之间的临床鉴别困难。神经影像学对于检测原发性 HFS 中存在的血管冲突以及继发性 HFS 中 CPA 肿瘤、囊肿和动脉瘤等病变是必要的。

https://cdn.ncbi.nlm.nih.gov/pmc/blobs/2683/7933878/b66a620d9400/IJO-69-253-g001.jpg

相似文献

1
Role of neuroimaging in cases of primary and secondary hemifacial spasm.
Indian J Ophthalmol. 2021 Feb;69(2):253-256. doi: 10.4103/ijo.IJO_415_20.
3
A case-controlled MRI/MRA study of neurovascular contact in hemifacial spasm.
Neurology. 1999 Dec 10;53(9):2132-9. doi: 10.1212/wnl.53.9.2132.
4
[Hemifacial spasm. Etiology and management].
J Fr Ophtalmol. 2021 Mar;44(3):382-390. doi: 10.1016/j.jfo.2020.08.004. Epub 2020 Dec 31.
5
Hemifacial spasm: clinical characteristics of 321 Indian patients.
J Neurol. 2012 Aug;259(8):1561-5. doi: 10.1007/s00415-011-6376-3. Epub 2012 Jan 6.
7
Neurovascular compression findings in hemifacial spasm.
J Neurosurg. 2008 Sep;109(3):416-20. doi: 10.3171/JNS/2008/109/9/0416.
9
A comparative study of primary and secondary hemifacial spasm.
Arch Neurol. 2006 Mar;63(3):441-4. doi: 10.1001/archneur.63.3.441.
10
Young onset hemifacial spasm.
Acta Neurol Scand. 2006 Jul;114(1):59-62. doi: 10.1111/j.1600-0404.2006.00650.x.

引用本文的文献

2
Clinical Profile of Patients with Hemifacial Spasm at a Tertiary Eye Care Center in South India: A Retrospective Study.
J Curr Ophthalmol. 2024 Aug 10;35(4):395-400. doi: 10.4103/joco.joco_295_22. eCollection 2023 Oct-Dec.

本文引用的文献

1
Structural and Functional Amygdala Abnormalities in Hemifacial Spasm.
Front Neurol. 2019 Apr 30;10:393. doi: 10.3389/fneur.2019.00393. eCollection 2019.
2
The conflicting vessels in hemifacial spasm: Literature review and anatomical-surgical implications.
Neurochirurgie. 2018 May;64(2):94-100. doi: 10.1016/j.neuchi.2018.01.004. Epub 2018 Apr 19.
3
Altered spontaneous brain activity in patients with hemifacial spasm: a resting-state functional MRI study.
PLoS One. 2015 Jan 20;10(1):e0116849. doi: 10.1371/journal.pone.0116849. eCollection 2015.
4
Hemifacial spasm and neurovascular compression.
ScientificWorldJournal. 2014;2014:349319. doi: 10.1155/2014/349319. Epub 2014 Oct 28.
5
Immediate disappearance of hemifacial spasm after partial removal of ponto-medullary junction anaplastic astrocytoma: case report.
Neurosurg Rev. 2015 Apr;38(2):385-90; discussion 390. doi: 10.1007/s10143-014-0586-y. Epub 2014 Nov 11.
7
Hemifacial spasm: conservative and surgical treatment options.
Dtsch Arztebl Int. 2012 Oct;109(41):667-73. doi: 10.3238/arztebl.2012.0667. Epub 2012 Oct 12.
8
The effect of microvascular decompression for hemifacial spasm caused by vertebrobasilar dolichoectasia.
J Korean Neurosurg Soc. 2012 Aug;52(2):85-91. doi: 10.3340/jkns.2012.52.2.85. Epub 2012 Aug 31.
9
Hemifacial spasm: clinical characteristics of 321 Indian patients.
J Neurol. 2012 Aug;259(8):1561-5. doi: 10.1007/s00415-011-6376-3. Epub 2012 Jan 6.
10
Safety and effectiveness of microvascular decompression for treatment of hemifacial spasm: a systematic review.
Br J Neurosurg. 2012 Aug;26(4):438-44. doi: 10.3109/02688697.2011.641613. Epub 2011 Dec 15.

文献AI研究员

20分钟写一篇综述,助力文献阅读效率提升50倍。

立即体验

用中文搜PubMed

大模型驱动的PubMed中文搜索引擎

马上搜索

文档翻译

学术文献翻译模型,支持多种主流文档格式。

立即体验