Department of Pediatric Dentistry, School and Hospital of Stomatology, China Medical University, 117 Nanjing North Street, Shenyang, 110002, China.
Liaoning Provincial Key Laboratory of Oral Diseases, Shenyang, China.
Stem Cell Res Ther. 2021 Jan 22;12(1):76. doi: 10.1186/s13287-021-02151-w.
Reconstruction of complex critical-size defects (CSD) in the craniofacial region is a major challenge, and soft tissue regeneration is crucial in determining the therapeutic outcomes of craniofacial CSD. Stem cells from apical papilla (SCAP) are neural crest-derived mesenchymal stem cells (MSCs) that are homologous to cells in craniofacial tissue and represent a promising source for craniofacial tissue regeneration. Exosomes, which contain compound bioactive compounds, are the key factors in stem cell paracrine action. However, the roles of exosomes derived from SCAP (SCAP-Exo) in tissue regeneration are not fully understood. Here, we explored the effects and underlying mechanisms of SCAP-Exo on CSD in maxillofacial soft tissue.
SCAP-Exo were isolated and identified by transmission electron microscopy and nanoparticle tracking analysis. The effects of SCAP-Exo on wound healing and vascularization were detected by measuring the wound area and performing histological and immunofluorescence analysis on the palatal gingival CSD of mice. Real-time live-cell imaging and functional assays were used to assess the effects of SCAP-Exo on the biological functions of endothelial cells (ECs). Furthermore, the molecular mechanisms of SCAP-Exo-mediated EC angiogenesis in vitro were tested by immunofluorescence staining, Western blot, and pull-down assays. Finally, in vivo experiments were carried out to verify whether SCAP-Exo could affect vascularization and wound healing through cell division cycle 42 (Cdc42).
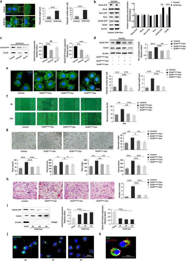
We found that SCAP-Exo promoted tissue regeneration of palatal gingival CSD by enhancing vascularization in the early phase in vivo and that SCAP-Exo improved the angiogenic capacity of ECs in vitro. Mechanistically, SCAP-Exo elevated cell migration by improving cytoskeletal reorganization of ECs via Cdc42 signalling. Furthermore, we revealed that SCAP-Exo transferred Cdc42 into the cytoplasm of ECs and that the Cdc42 protein could be reused directly by recipient ECs, which resulted in the activation of Cdc42-dependent filopodium formation and elevation in cell migration of ECs.
This study demonstrated that SCAP-Exo had a superior effect on angiogenesis and effectively promoted craniofacial soft tissue regeneration. These data provide a new option for SCAP-Exo to be used in a cell-free approach to optimize tissue regeneration in the clinic.
颅面部复杂临界尺寸缺损(CSD)的重建是一个主要挑战,软组织再生对于确定颅面部 CSD 的治疗结果至关重要。根尖乳头干细胞(SCAP)是源自神经嵴的间充质干细胞(MSCs),与颅面组织中的细胞同源,是颅面组织再生的有前途的来源。外泌体含有复合生物活性化合物,是干细胞旁分泌作用的关键因素。然而,SCAP 衍生的外泌体(SCAP-Exo)在组织再生中的作用尚不完全清楚。在这里,我们探讨了 SCAP-Exo 对颌面软组织 CSD 的影响及其潜在机制。
通过透射电子显微镜和纳米颗粒跟踪分析分离和鉴定 SCAP-Exo。通过测量伤口面积并对小鼠腭牙龈 CSD 进行组织学和免疫荧光分析,检测 SCAP-Exo 对伤口愈合和血管生成的影响。实时活细胞成像和功能测定用于评估 SCAP-Exo 对内皮细胞(ECs)生物学功能的影响。此外,通过免疫荧光染色、Western blot 和下拉测定测试了 SCAP-Exo 介导的 EC 血管生成的体外分子机制。最后,进行体内实验以验证 SCAP-Exo 是否可以通过细胞分裂周期蛋白 42(Cdc42)影响血管生成和伤口愈合。
我们发现,SCAP-Exo 通过在体内早期增强血管生成来促进腭牙龈 CSD 的组织再生,并且 SCAP-Exo 提高了 ECs 的血管生成能力。在机制上,SCAP-Exo 通过 Cdc42 信号改善 ECs 的细胞骨架重排来提高细胞迁移能力。此外,我们揭示了 SCAP-Exo 将 Cdc42 转移到 ECs 的细胞质中,并且 Cdc42 蛋白可以被受者 ECs 直接再利用,这导致 Cdc42 依赖性丝状伪足形成和 ECs 细胞迁移增加。
这项研究表明,SCAP-Exo 对血管生成有更好的作用,并有效促进了颌面软组织的再生。这些数据为 SCAP-Exo 在无细胞方法中的应用提供了新的选择,以优化临床上的组织再生。