• 文献检索
  • 文档翻译
  • 深度研究
  • 学术资讯
  • Suppr Zotero 插件Zotero 插件
  • 邀请有礼
  • 套餐&价格
  • 历史记录
应用&插件
Suppr Zotero 插件Zotero 插件浏览器插件Mac 客户端Windows 客户端微信小程序
定价
高级版会员购买积分包购买API积分包
服务
文献检索文档翻译深度研究API 文档MCP 服务
关于我们
关于 Suppr公司介绍联系我们用户协议隐私条款
关注我们

Suppr 超能文献

核心技术专利:CN118964589B侵权必究
粤ICP备2023148730 号-1Suppr @ 2026

文献检索

告别复杂PubMed语法,用中文像聊天一样搜索,搜遍4000万医学文献。AI智能推荐,让科研检索更轻松。

立即免费搜索

文件翻译

保留排版,准确专业,支持PDF/Word/PPT等文件格式,支持 12+语言互译。

免费翻译文档

深度研究

AI帮你快速写综述,25分钟生成高质量综述,智能提取关键信息,辅助科研写作。

立即免费体验

LINC01152 通过 Notch 信号通路上调 MAML2 表达来调节多形性胶质母细胞瘤的进展。

LINC01152 upregulates MAML2 expression to modulate the progression of glioblastoma multiforme via Notch signaling pathway.

机构信息

Department of Neurosurgery, Gaozhou People's Hospital, Gaozhou, 525200, Guangdong, China.

Department of Gastroenterology, Gaozhou People's Hospital, Gaozhou, 525200, Guangdong, China.

出版信息

Cell Death Dis. 2021 Jan 22;12(1):115. doi: 10.1038/s41419-020-03163-9.

DOI:10.1038/s41419-020-03163-9
PMID:33483471
原文链接:https://pmc.ncbi.nlm.nih.gov/articles/PMC7822850/
Abstract

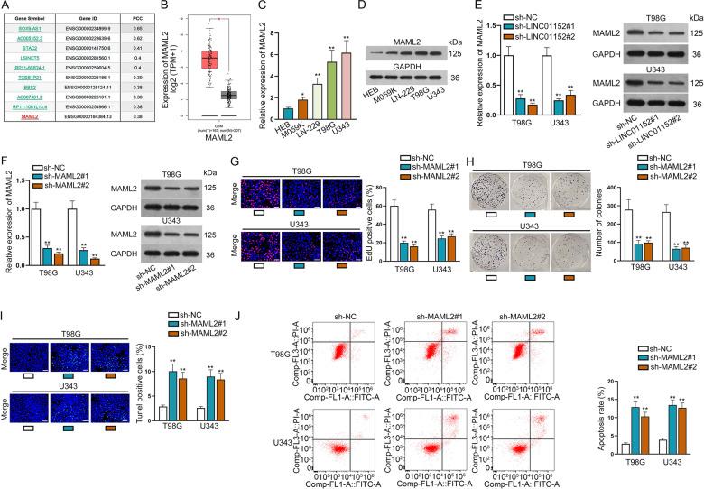
Glioblastoma multiforme (GBM) brings serious physical and psychological pain to GBM patients, whose survival rate remains not optimistic. Long noncoding RNAs (lncRNAs) have been reported to participate in the progression of many cancers, including GBM. However, the mechanism and function of long intergenic non-protein coding RNA 1152 (LINC01152) in GBM are still unclear. In our study, we aimed to explore the function and mechanism of LINC01152 in GBM. Then qRT-PCR analysis was implemented to search the expression of RNAs in GBM tissues and cells. Functional assays such as EdU assay, colony formation assay, TUNEL assay and flow cytometry analysis were conducted to estimate GBM cell proliferation and apoptosis. RNA pull down assay, luciferase reporter assay, RIP and ChIP assays were implemented to search the binding between molecules. As a result, we discovered that LINC01152 was upregulated in GBM tissues and cells. LINC01152 and mastermind like transcriptional coactivator 2 (MAML2) could both play the oncogenic part in GBM. Moreover, LINC01152 positively regulated MAML2 in GBM by sponging miR-466 and recruiting SRSF1. In turn, RBPJ/MAML2 transcription complex was found to activate the transcription of LINC01152 in GBM cells. In conclusion, LINC01152 could upregulate the expression of MAML2 to promote tumorigenesis in GBM via Notch signaling pathway.

摘要

多形性胶质母细胞瘤(GBM)给 GBM 患者带来了严重的身体和心理痛苦,其生存率仍然不容乐观。长链非编码 RNA(lncRNA)已被报道参与许多癌症的进展,包括 GBM。然而,长基因间非蛋白编码 RNA 1152(LINC01152)在 GBM 中的作用和机制仍不清楚。在我们的研究中,我们旨在探讨 LINC01152 在 GBM 中的功能和机制。然后,通过 qRT-PCR 分析搜索 GBM 组织和细胞中 RNA 的表达。通过 EdU 测定、集落形成测定、TUNEL 测定和流式细胞术分析等功能测定来评估 GBM 细胞的增殖和凋亡。通过 RNA 下拉测定、荧光素酶报告测定、RIP 和 ChIP 测定来搜索分子之间的结合。结果发现,LINC01152 在 GBM 组织和细胞中上调。LINC01152 和主脑样转录共激活因子 2(MAML2)均可在 GBM 中发挥致癌作用。此外,LINC01152 通过海绵 miR-466 和募集 SRSF1 正向调节 GBM 中的 MAML2。反过来,RBPJ/MAML2 转录复合物被发现激活 GBM 细胞中 LINC01152 的转录。总之,LINC01152 可通过 Notch 信号通路上调 MAML2 的表达,促进 GBM 肿瘤发生。

https://cdn.ncbi.nlm.nih.gov/pmc/blobs/b3bc/7822850/abed41df31b3/41419_2020_3163_Fig8_HTML.jpg
https://cdn.ncbi.nlm.nih.gov/pmc/blobs/b3bc/7822850/2334eac25084/41419_2020_3163_Fig1_HTML.jpg
https://cdn.ncbi.nlm.nih.gov/pmc/blobs/b3bc/7822850/678ba3fb5f1a/41419_2020_3163_Fig2_HTML.jpg
https://cdn.ncbi.nlm.nih.gov/pmc/blobs/b3bc/7822850/e17a9fbb2b5f/41419_2020_3163_Fig3_HTML.jpg
https://cdn.ncbi.nlm.nih.gov/pmc/blobs/b3bc/7822850/5b075788c5c1/41419_2020_3163_Fig4_HTML.jpg
https://cdn.ncbi.nlm.nih.gov/pmc/blobs/b3bc/7822850/40ce227fe0ab/41419_2020_3163_Fig5_HTML.jpg
https://cdn.ncbi.nlm.nih.gov/pmc/blobs/b3bc/7822850/3a28728a1b32/41419_2020_3163_Fig6_HTML.jpg
https://cdn.ncbi.nlm.nih.gov/pmc/blobs/b3bc/7822850/c80d14b0e5c4/41419_2020_3163_Fig7_HTML.jpg
https://cdn.ncbi.nlm.nih.gov/pmc/blobs/b3bc/7822850/abed41df31b3/41419_2020_3163_Fig8_HTML.jpg
https://cdn.ncbi.nlm.nih.gov/pmc/blobs/b3bc/7822850/2334eac25084/41419_2020_3163_Fig1_HTML.jpg
https://cdn.ncbi.nlm.nih.gov/pmc/blobs/b3bc/7822850/678ba3fb5f1a/41419_2020_3163_Fig2_HTML.jpg
https://cdn.ncbi.nlm.nih.gov/pmc/blobs/b3bc/7822850/e17a9fbb2b5f/41419_2020_3163_Fig3_HTML.jpg
https://cdn.ncbi.nlm.nih.gov/pmc/blobs/b3bc/7822850/5b075788c5c1/41419_2020_3163_Fig4_HTML.jpg
https://cdn.ncbi.nlm.nih.gov/pmc/blobs/b3bc/7822850/40ce227fe0ab/41419_2020_3163_Fig5_HTML.jpg
https://cdn.ncbi.nlm.nih.gov/pmc/blobs/b3bc/7822850/3a28728a1b32/41419_2020_3163_Fig6_HTML.jpg
https://cdn.ncbi.nlm.nih.gov/pmc/blobs/b3bc/7822850/c80d14b0e5c4/41419_2020_3163_Fig7_HTML.jpg
https://cdn.ncbi.nlm.nih.gov/pmc/blobs/b3bc/7822850/abed41df31b3/41419_2020_3163_Fig8_HTML.jpg

相似文献

1
LINC01152 upregulates MAML2 expression to modulate the progression of glioblastoma multiforme via Notch signaling pathway.LINC01152 通过 Notch 信号通路上调 MAML2 表达来调节多形性胶质母细胞瘤的进展。
Cell Death Dis. 2021 Jan 22;12(1):115. doi: 10.1038/s41419-020-03163-9.
2
The miR155HG/miR-185/ANXA2 loop contributes to glioblastoma growth and progression.miR155HG/miR-185/ANXA2 环促进胶质母细胞瘤的生长和进展。
J Exp Clin Cancer Res. 2019 Mar 21;38(1):133. doi: 10.1186/s13046-019-1132-0.
3
FGD5-AS1 facilitates glioblastoma progression by activation of Wnt/β-catenin signaling via regulating miR-129-5p/HNRNPK axis.FGD5-AS1 通过调控 miR-129-5p/HNRNPK 轴促进胶质母细胞瘤进展,激活 Wnt/β-catenin 信号通路。
Life Sci. 2020 Sep 1;256:117998. doi: 10.1016/j.lfs.2020.117998. Epub 2020 Jun 22.
4
Over-expressed lncRNA HOTAIRM1 promotes tumor growth and invasion through up-regulating HOXA1 and sequestering G9a/EZH2/Dnmts away from the HOXA1 gene in glioblastoma multiforme.长链非编码 RNA HOTAIRM1 通过上调 HOXA1 并将 G9a/EZH2/Dnmts 从 HOXA1 基因上隔离,从而促进胶质母细胞瘤中肿瘤的生长和侵袭。
J Exp Clin Cancer Res. 2018 Oct 30;37(1):265. doi: 10.1186/s13046-018-0941-x.
5
Long non-coding RNA CASP5 promotes the malignant phenotypes of human glioblastoma multiforme.长非编码 RNA CASP5 促进人脑胶质母细胞瘤的恶性表型。
Biochem Biophys Res Commun. 2018 Jun 12;500(4):966-972. doi: 10.1016/j.bbrc.2018.04.217. Epub 2018 May 2.
6
Correction: LINC01152 upregulates MAML2 expression to modulate the progression of glioblastoma multiforme via Notch signaling pathway.更正:LINC01152 通过 Notch 信号通路上调 MAML2 表达以调节多形性胶质母细胞瘤的进展。
Cell Death Dis. 2021 Sep 23;12(10):862. doi: 10.1038/s41419-021-04106-8.
7
YY1-Activated Long Noncoding RNA SNHG5 Promotes Glioblastoma Cell Proliferation Through p38/MAPK Signaling Pathway.YY1 激活的长非编码 RNA SNHG5 通过 p38/MAPK 信号通路促进脑胶质母细胞瘤细胞增殖。
Cancer Biother Radiopharm. 2019 Nov;34(9):589-596. doi: 10.1089/cbr.2019.2779. Epub 2019 Oct 29.
8
EIF4A3-induced circular RNA MMP9 (circMMP9) acts as a sponge of miR-124 and promotes glioblastoma multiforme cell tumorigenesis.EIF4A3 诱导的环状 RNA MMP9(circMMP9)作为 miR-124 的海绵体,促进多形性胶质母细胞瘤细胞的肿瘤发生。
Mol Cancer. 2018 Nov 23;17(1):166. doi: 10.1186/s12943-018-0911-0.
9
Circular RNA CDR1as disrupts the p53/MDM2 complex to inhibit Gliomagenesis.环状 RNA CDR1as 破坏 p53/MDM2 复合物抑制Gliomagenesis。
Mol Cancer. 2020 Sep 7;19(1):138. doi: 10.1186/s12943-020-01253-y.
10
UPF1 regulates the malignant biological behaviors of glioblastoma cells via enhancing the stability of Linc-00313.UPF1 通过增强 Linc-00313 的稳定性来调节脑胶质瘤细胞的恶性生物学行为。
Cell Death Dis. 2019 Aug 19;10(9):629. doi: 10.1038/s41419-019-1845-1.

引用本文的文献

1
Nano-Based Technology in Glioblastoma.基于纳米的技术在胶质母细胞瘤中的应用
Molecules. 2025 Aug 25;30(17):3485. doi: 10.3390/molecules30173485.
2
Long non-coding RNA NR2F1-AS1: an increasingly significant LncRNA in human cancers.长链非编码RNA NR2F1-AS1:一种在人类癌症中日益重要的长链非编码RNA。
J Physiol Biochem. 2025 Aug 19. doi: 10.1007/s13105-025-01119-1.
3
Tumor-promoting effect and tumor immunity of SRSFs.丝氨酸/精氨酸丰富剪接因子(SRSFs)的促肿瘤作用及肿瘤免疫

本文引用的文献

1
LncRNA TTN-AS1 promotes migration, invasion, and epithelial mesenchymal transition of lung adenocarcinoma via sponging miR-142-5p to regulate CDK5.长链非编码 RNA TTN-AS1 通过海绵吸附 miR-142-5p 调控 CDK5 促进肺腺癌迁移、侵袭和上皮间质转化。
Cell Death Dis. 2019 Jul 30;10(8):573. doi: 10.1038/s41419-019-1811-y.
2
HBx-related long non-coding RNA 01152 promotes cell proliferation and survival by IL-23 in hepatocellular carcinoma.HBx 相关长链非编码 RNA 01152 通过 IL-23 促进肝癌细胞增殖和存活。
Biomed Pharmacother. 2019 Jul;115:108877. doi: 10.1016/j.biopha.2019.108877. Epub 2019 May 1.
3
LncRNA SNHG20 promotes tumorigenesis and cancer stemness in glioblastoma via activating PI3K/Akt/mTOR signaling pathway.
Front Cell Dev Biol. 2025 Mar 10;13:1527309. doi: 10.3389/fcell.2025.1527309. eCollection 2025.
4
Personalized Tumor-Specific Amplified DNA Junctions in Peripheral Blood of Patients with High-Grade Gliomas.高级别胶质瘤患者外周血中个性化的肿瘤特异性扩增DNA连接点
Clin Cancer Res. 2025 May 1;31(9):1700-1710. doi: 10.1158/1078-0432.CCR-24-3233.
5
Immunosuppressive SOX9-AS1 Resists Triple-Negative Breast Cancer Senescence Via Regulating Wnt Signalling Pathway.免疫抑制性 SOX9-AS1 通过调节 Wnt 信号通路抵抗三阴性乳腺癌衰老。
J Cell Mol Med. 2024 Nov;28(22):e70208. doi: 10.1111/jcmm.70208.
6
Current progress of anti‑PD‑1/PDL1 immunotherapy for glioblastoma (Review).抗 PD-1/PDL1 免疫疗法治疗胶质母细胞瘤的研究进展(综述)。
Mol Med Rep. 2024 Dec;30(6). doi: 10.3892/mmr.2024.13344. Epub 2024 Oct 4.
7
linc01152 Regulates Cell Viability, Cell Migration and Cell Invasion of Breast Cancer via Regulating miR-320a and MTDH.长链非编码RNA linc01152通过调控miR-320a和MTDH调节乳腺癌细胞的活力、迁移和侵袭
Biochem Genet. 2024 Jun 7. doi: 10.1007/s10528-024-10851-0.
8
Mechanism of Notch Signaling Pathway in Malignant Progression of Glioblastoma and Targeted Therapy.Notch信号通路在胶质母细胞瘤恶性进展中的机制及靶向治疗
Biomolecules. 2024 Apr 15;14(4):480. doi: 10.3390/biom14040480.
9
Comprehensive analysis of DNA methylation gene expression profiles in GEO dataset reveals biomarkers related to malignant transformation of sinonasal inverted papilloma.对基因表达综合数据库(GEO)数据集中DNA甲基化基因表达谱的综合分析揭示了与鼻窦内翻性乳头状瘤恶变相关的生物标志物。
Discov Oncol. 2024 Mar 1;15(1):53. doi: 10.1007/s12672-024-00903-7.
10
Spinal microRNA-134-5p targets glutamate receptor ionotropic kainate 3 to modulate opioid induced hyperalgesia in mice.脊髓 microRNA-134-5p 靶向谷氨酸受体离子型 kainate 3 调节小鼠阿片类诱导的痛觉过敏。
Mol Pain. 2023 Jan-Dec;19:17448069231178271. doi: 10.1177/17448069231178271.
长链非编码 RNA SNHG20 通过激活 PI3K/Akt/mTOR 信号通路促进脑胶质母细胞瘤的发生和肿瘤干性。
Neoplasma. 2019 Jul 23;66(4):532-542. doi: 10.4149/neo_2018_180829N656.
4
LncRNA LINC01446 promotes glioblastoma progression by modulating miR-489-3p/TPT1 axis.长链非编码 RNA LINC01446 通过调节 miR-489-3p/TPT1 轴促进胶质母细胞瘤进展。
Biochem Biophys Res Commun. 2018 Sep 10;503(3):1484-1490. doi: 10.1016/j.bbrc.2018.07.067. Epub 2018 Jul 17.
5
Linc00483 as ceRNA regulates proliferation and apoptosis through activating MAPKs in gastric cancer.作为竞争性内源RNA的Linc00483通过激活丝裂原活化蛋白激酶调控胃癌细胞的增殖和凋亡。
J Cell Mol Med. 2018 Aug;22(8):3875-3886. doi: 10.1111/jcmm.13661. Epub 2018 May 15.
6
FABP4 suppresses proliferation and invasion of hepatocellular carcinoma cells and predicts a poor prognosis for hepatocellular carcinoma.脂肪细胞型脂肪酸结合蛋白 4 抑制肝癌细胞的增殖和侵袭,并预测肝癌的预后不良。
Cancer Med. 2018 Jun;7(6):2629-2640. doi: 10.1002/cam4.1511. Epub 2018 May 7.
7
LncRNA LINC00152 promoted glioblastoma progression through targeting the miR-107 expression.长链非编码 RNA LINC00152 通过靶向 miR-107 的表达促进胶质母细胞瘤的进展。
Environ Sci Pollut Res Int. 2018 Jun;25(18):17674-17681. doi: 10.1007/s11356-018-1784-x. Epub 2018 Apr 18.
8
Knockdown of Long Noncoding RNA ENST457720 Inhibits Proliferation of Non-Small Cell Lung Cancer Cells In Vitro and In Vivo.长链非编码 RNA ENST457720 敲低抑制非小细胞肺癌细胞的体外和体内增殖。
Oncol Res. 2018 Dec 27;27(1):47-53. doi: 10.3727/096504018X15193843443255. Epub 2018 Mar 1.
9
LncRNA FAL1 promotes cell proliferation and migration by acting as a CeRNA of miR-1236 in hepatocellular carcinoma cells.长链非编码 RNA FAL1 通过作为肝细胞癌细胞中 miR-1236 的 ceRNA 促进细胞增殖和迁移。
Life Sci. 2018 Mar 15;197:122-129. doi: 10.1016/j.lfs.2018.02.006. Epub 2018 Feb 6.
10
CRTC1-MAML2 fusion-induced lncRNA LINC00473 expression maintains the growth and survival of human mucoepidermoid carcinoma cells.CRTC1-MAML2 融合诱导长非编码 RNA LINC00473 的表达维持人黏液表皮样癌细胞的生长和存活。
Oncogene. 2018 Apr;37(14):1885-1895. doi: 10.1038/s41388-017-0104-0. Epub 2018 Jan 22.