• 文献检索
  • 文档翻译
  • 深度研究
  • 学术资讯
  • Suppr Zotero 插件Zotero 插件
  • 邀请有礼
  • 套餐&价格
  • 历史记录
应用&插件
Suppr Zotero 插件Zotero 插件浏览器插件Mac 客户端Windows 客户端微信小程序
定价
高级版会员购买积分包购买API积分包
服务
文献检索文档翻译深度研究API 文档MCP 服务
关于我们
关于 Suppr公司介绍联系我们用户协议隐私条款
关注我们

Suppr 超能文献

核心技术专利:CN118964589B侵权必究
粤ICP备2023148730 号-1Suppr @ 2026

文献检索

告别复杂PubMed语法,用中文像聊天一样搜索,搜遍4000万医学文献。AI智能推荐,让科研检索更轻松。

立即免费搜索

文件翻译

保留排版,准确专业,支持PDF/Word/PPT等文件格式,支持 12+语言互译。

免费翻译文档

深度研究

AI帮你快速写综述,25分钟生成高质量综述,智能提取关键信息,辅助科研写作。

立即免费体验

实验性感染FVB小鼠中CD4辅助性T细胞亚群分化的特征

The characteristics of CD4T-helper cell subset differentiation in experimental -infected FVB mice.

作者信息

Kong Delong, Li Xiangyang, Zhang Beibei, Yan Chao, Tang Renxian, Zheng Kuiyang

机构信息

Jiangsu Key Laboratory of Immunity and Metabolism, Department of Pathogenic Biology and Immunology, Laboratory of Infection and Immunity, Xuzhou Medical University, Xuzhou, 221004, Jiangsu Province, People's Republic of China.

出版信息

Iran J Basic Med Sci. 2020 Dec;23(12):1538-1543. doi: 10.22038/ijbms.2020.39436.9350.

DOI:10.22038/ijbms.2020.39436.9350
PMID:33489026
原文链接:https://pmc.ncbi.nlm.nih.gov/articles/PMC7811812/
Abstract

OBJECTIVES

Immune responses are tightly regulated in the development of clonorchiasis. However, the adaptive immune regulatory pathway contributing to the pathological processes of infection is still not clear. In this study, we assessed the dynamic changes of CD4T cell subsets and the related cytokines as well as transcription factors during infection.

MATERIALS AND METHODS

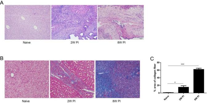
We used female FVB mice to establish the infection model. H&E and Masson's stain were performed in 2 or 8 weeks post-infection (PI) liver of . The percentages of splenic Th1, Th2, and Treg in CD4+T cells were detected by flow cytometry. The transcription factors T-bet, GATA3, Foxp3, and RORγt gene expression were detected by qPCR. The protein expression of IL-10, IL-17, IL-4, IL-2, and Tumor Necrosis Factor-α (TNF-α) were examined using ELISA.

RESULTS

The percentages of splenic Th1, Th2, and Treg in CD4T cells were significantly increased in both 2 and 8 weeks PI of , while the ratio of Treg/Th17 as well as the percentage of Treg in serum was gradually increased during the development of infection. The expressions of T-bet, GATA3, Foxp3, and RORγt were increased in 8 weeks PI. Serum levels of IL-10, IL-17, IL-4, and IL-2 were profoundly increased in infected mice, while the concentrations of TNF-α increased to peak two weeks PI.

CONCLUSION

Our results suggested that the imbalance of CD4T cell subsets may regulate and contribute to an appropriate compromise between pathology, tissue repair, and elimination in a susceptible murine host.

摘要

目的

华支睾吸虫病发展过程中免疫反应受到严格调控。然而,导致感染病理过程的适应性免疫调节途径仍不清楚。在本研究中,我们评估了感染过程中CD4T细胞亚群、相关细胞因子以及转录因子的动态变化。

材料与方法

我们使用雌性FVB小鼠建立感染模型。对感染后2周或8周的肝脏进行苏木精-伊红(H&E)染色和Masson染色。通过流式细胞术检测脾细胞中CD4+T细胞里Th1、Th2和调节性T细胞(Treg)的百分比。通过定量聚合酶链反应(qPCR)检测转录因子T-bet、GATA3、Foxp3和维甲酸相关孤儿受体γt(RORγt)基因的表达。使用酶联免疫吸附测定(ELISA)检测白细胞介素-10(IL-10)、白细胞介素-17(IL-17)、白细胞介素-4(IL-4)、白细胞介素-2和肿瘤坏死因子-α(TNF-α)的蛋白表达。

结果

在感染后2周和8周,脾细胞中CD4T细胞里Th1、Th2和Treg的百分比均显著增加,而在感染发展过程中,Treg/Th17的比例以及血清中Treg的百分比逐渐升高。感染后8周,T-bet、GATA3、Foxp3和RORγt的表达增加。感染小鼠血清中IL-10、IL-17、IL-4和IL-2的水平显著升高,而TNF-α的浓度在感染后两周升至峰值。

结论

我们的结果表明,CD4T细胞亚群的失衡可能在易感染的小鼠宿主中调节并促成病理、组织修复和清除之间的适当平衡。

https://cdn.ncbi.nlm.nih.gov/pmc/blobs/7a98/7811812/bf55b8dfe051/IJBMS-23-1538-g004.jpg
https://cdn.ncbi.nlm.nih.gov/pmc/blobs/7a98/7811812/8c66b1715083/IJBMS-23-1538-g001.jpg
https://cdn.ncbi.nlm.nih.gov/pmc/blobs/7a98/7811812/90819f84daca/IJBMS-23-1538-g002.jpg
https://cdn.ncbi.nlm.nih.gov/pmc/blobs/7a98/7811812/cb82b1e25182/IJBMS-23-1538-g003.jpg
https://cdn.ncbi.nlm.nih.gov/pmc/blobs/7a98/7811812/bf55b8dfe051/IJBMS-23-1538-g004.jpg
https://cdn.ncbi.nlm.nih.gov/pmc/blobs/7a98/7811812/8c66b1715083/IJBMS-23-1538-g001.jpg
https://cdn.ncbi.nlm.nih.gov/pmc/blobs/7a98/7811812/90819f84daca/IJBMS-23-1538-g002.jpg
https://cdn.ncbi.nlm.nih.gov/pmc/blobs/7a98/7811812/cb82b1e25182/IJBMS-23-1538-g003.jpg
https://cdn.ncbi.nlm.nih.gov/pmc/blobs/7a98/7811812/bf55b8dfe051/IJBMS-23-1538-g004.jpg

相似文献

1
The characteristics of CD4T-helper cell subset differentiation in experimental -infected FVB mice.实验性感染FVB小鼠中CD4辅助性T细胞亚群分化的特征
Iran J Basic Med Sci. 2020 Dec;23(12):1538-1543. doi: 10.22038/ijbms.2020.39436.9350.
2
The Dynamics of Treg/Th17 and the Imbalance of Treg/Th17 in Clonorchis sinensis-Infected Mice.华支睾吸虫感染小鼠中调节性T细胞/辅助性T细胞17的动态变化及调节性T细胞/辅助性T细胞17失衡
PLoS One. 2015 Nov 23;10(11):e0143217. doi: 10.1371/journal.pone.0143217. eCollection 2015.
3
Increased hepatic Th2 and Treg subsets are associated with biliary fibrosis in different strains of mice caused by Clonorchis sinensis.肝内Th2和调节性T细胞亚群增加与华支睾吸虫引起的不同品系小鼠的胆管纤维化有关。
PLoS One. 2017 Feb 2;12(2):e0171005. doi: 10.1371/journal.pone.0171005. eCollection 2017.
4
The dynamics of select cellular responses and cytokine expression profiles in mice infected with juvenile Clonorchis sinensis.感染华支睾吸虫幼虫的小鼠中特定细胞反应和细胞因子表达谱的动态变化。
Acta Trop. 2021 May;217:105852. doi: 10.1016/j.actatropica.2021.105852. Epub 2021 Feb 3.
5
Shenghua Decoction reduces uterine bleeding and regulates T-cell paradigm in human deciduas of RU486 medical abortion.生化汤减少 RU486 药物流产人蜕膜组织中 T 细胞范式的出血。
J Ethnopharmacol. 2013 Dec 12;150(3):907-17. doi: 10.1016/j.jep.2013.09.033. Epub 2013 Oct 17.
6
Cytokine responses in mice infected with Clonorchis sinensis.感染华支睾吸虫的小鼠的细胞因子反应。
Parasitol Res. 2003 Sep;91(2):87-93. doi: 10.1007/s00436-003-0934-2. Epub 2003 Jul 29.
7
Suppression of ongoing experimental autoimmune myasthenia gravis by transfer of RelB-silenced bone marrow dentritic cells is associated with a change from a T helper Th17/Th1 to a Th2 and FoxP3+ regulatory T-cell profile.过继转导 RelB 沉默的骨髓树突状细胞可抑制实验性自身免疫性重症肌无力,与 Th17/Th1 向 Th2 和 FoxP3+调节性 T 细胞表型的转变有关。
Inflamm Res. 2010 Mar;59(3):197-205. doi: 10.1007/s00011-009-0087-6. Epub 2009 Sep 19.
8
Clonorchis sinensis adult-derived proteins elicit Th2 immune responses by regulating dendritic cells via mannose receptor.华支睾吸虫成虫来源的蛋白通过调节树突状细胞上的甘露糖受体诱导 Th2 免疫应答。
PLoS Negl Trop Dis. 2018 Mar 5;12(3):e0006251. doi: 10.1371/journal.pntd.0006251. eCollection 2018 Mar.
9
Bu-Shen-Yi-Qi formulae suppress chronic airway inflammation and regulate Th17/Treg imbalance in the murine ovalbumin asthma model.补肺益肾方抑制卵清蛋白哮喘模型小鼠气道慢性炎症及调节 Th17/Treg 失衡。
J Ethnopharmacol. 2015 Apr 22;164:368-77. doi: 10.1016/j.jep.2015.01.016. Epub 2015 Jan 24.
10
Cyst formation, increased anti-inflammatory cytokines and expression of chemokines support for Clonorchis sinensis infection in FVB mice.囊肿形成、抗炎细胞因子增加以及趋化因子表达支持华支睾吸虫在FVB小鼠中的感染。
Parasitol Int. 2012 Mar;61(1):124-9. doi: 10.1016/j.parint.2011.07.001. Epub 2011 Jul 28.

引用本文的文献

1
Multi-omics approaches reveal the molecular mechanisms underlying the interaction between and mouse liver.多组学方法揭示了与小鼠肝脏相互作用的分子机制。
Front Cell Infect Microbiol. 2023 Nov 24;13:1286977. doi: 10.3389/fcimb.2023.1286977. eCollection 2023.
2
Multilayer omics reveals the molecular mechanism of early infection of Clonorchis sinensis juvenile.多层组学揭示了华支睾吸虫幼虫早期感染的分子机制。
Parasit Vectors. 2023 Aug 16;16(1):285. doi: 10.1186/s13071-023-05891-1.
3
Coinfection of Clonorchis sinensis and hepatitis B virus: clinical liver indices and interaction in hepatic cell models.

本文引用的文献

1
Inonotus obliquus polysaccharide ameliorates dextran sulphate sodium induced colitis involving modulation of Th1/Th2 and Th17/Treg balance.桦褐孔菌多糖通过调节 Th1/Th2 和 Th17/Treg 平衡改善葡聚糖硫酸钠诱导的结肠炎。
Artif Cells Nanomed Biotechnol. 2019 Dec;47(1):757-766. doi: 10.1080/21691401.2019.1577877.
2
Increased Th17 functions are accompanied by Tregs activities in lupoid leishmaniasis.在类狼疮性利什曼病中,Th17功能增强伴随着调节性T细胞的活动。
Parasite Immunol. 2018 Jan;40(1). doi: 10.1111/pim.12507. Epub 2017 Dec 17.
3
The Regulatory Roles of Toll-Like Receptor 4 in Secretions of Type 1/Type 2 Relative Cytokines by Splenocytes and Dendritic Cells Exposed to Clonorchis sinensis Excretory/Secretory Products.
华支睾吸虫与乙型肝炎病毒合并感染:临床肝功能指标及在肝细胞模型中的相互作用。
Parasit Vectors. 2022 Dec 12;15(1):460. doi: 10.1186/s13071-022-05548-5.
4
IL-10 regulates Th17 response to inhibit hepatobiliary injury caused by infection in C57BL/6J mice.白介素-10 调控 Th17 反应抑制 C57BL/6J 小鼠感染引起的肝胆损伤。
Front Cell Infect Microbiol. 2022 Oct 13;12:994838. doi: 10.3389/fcimb.2022.994838. eCollection 2022.
5
The Role of Intestinal Microbial Metabolites in the Immunity of Equine Animals Infected With Horse Botflies.肠道微生物代谢产物在感染马胃蝇的马属动物免疫中的作用
Front Vet Sci. 2022 Jun 22;9:832062. doi: 10.3389/fvets.2022.832062. eCollection 2022.
6
Molecular Mechanisms of -Host Interactions and Implications for Vaccine Development.宿主相互作用的分子机制及其对疫苗开发的意义。
Front Cell Dev Biol. 2022 Jan 18;9:781768. doi: 10.3389/fcell.2021.781768. eCollection 2021.
肝吸虫排泄/分泌产物作用下的脾细胞和树突状细胞中 TLR4 的调控作用及其对 1/2 型细胞因子分泌的影响。
Inflammation. 2018 Feb;41(1):213-220. doi: 10.1007/s10753-017-0679-1.
4
Cathepsin S Is Involved in Th17 Differentiation Through the Upregulation of IL-6 by Activating PAR-2 after Systemic Exposure to Lipopolysaccharide from .组织蛋白酶S通过在全身暴露于脂多糖后激活蛋白酶激活受体-2上调白细胞介素-6参与辅助性T细胞17分化。
Front Pharmacol. 2017 Jul 17;8:470. doi: 10.3389/fphar.2017.00470. eCollection 2017.
5
Increased hepatic Th2 and Treg subsets are associated with biliary fibrosis in different strains of mice caused by Clonorchis sinensis.肝内Th2和调节性T细胞亚群增加与华支睾吸虫引起的不同品系小鼠的胆管纤维化有关。
PLoS One. 2017 Feb 2;12(2):e0171005. doi: 10.1371/journal.pone.0171005. eCollection 2017.
6
Dendritic cells and parasites: from recognition and activation to immune response instruction.树突状细胞与寄生虫:从识别与激活到免疫应答指示
Semin Immunopathol. 2017 Feb;39(2):199-213. doi: 10.1007/s00281-016-0588-7. Epub 2016 Sep 1.
7
Atopic dermatitis induces the expansion of thymus-derived regulatory T cells exhibiting a Th2-like phenotype in mice.特应性皮炎诱导胸腺来源的调节性 T 细胞在小鼠中扩增,并表现出 Th2 样表型。
J Cell Mol Med. 2016 May;20(5):930-8. doi: 10.1111/jcmm.12806. Epub 2016 Mar 2.
8
Expression of Toll-like receptor (TLR) 2 and TLR4 in the livers of mice infected by Clonorchis sinensis.华支睾吸虫感染小鼠肝脏中Toll样受体(TLR)2和TLR4的表达
J Infect Dev Ctries. 2015 Oct 29;9(10):1147-55. doi: 10.3855/jidc.6698.
9
Clonorchiasis.华支睾吸虫病。
Lancet. 2016 Feb 20;387(10020):800-10. doi: 10.1016/S0140-6736(15)60313-0. Epub 2015 Aug 21.
10
Regulatory T-cell Response to Enterotoxigenic Bacteroides fragilis Colonization Triggers IL17-Dependent Colon Carcinogenesis.调节性T细胞对产肠毒素脆弱拟杆菌定植的反应引发白细胞介素17依赖性结肠癌发生。
Cancer Discov. 2015 Oct;5(10):1098-109. doi: 10.1158/2159-8290.CD-15-0447. Epub 2015 Jul 22.