Alkrekshi Akram, Bukamur Hazim
Department of Internal Medicine The MetroHealth System Campus of Case Western Reserve University Cleveland OH USA.
Department of Pulmonary and Critical Care Medicine Texas Tech University Health Science Centre Lubbock TX USA.
Clin Case Rep. 2020 Nov 20;9(1):588-589. doi: 10.1002/ccr3.3552. eCollection 2021 Jan.
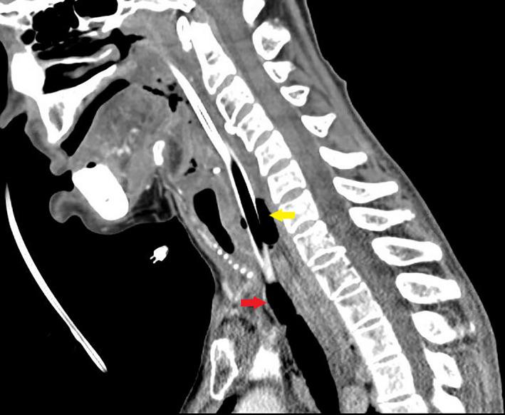
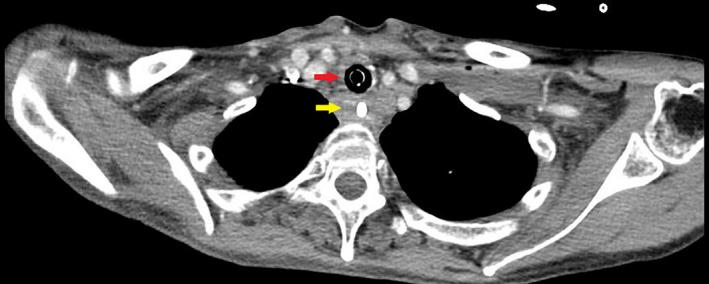
Iatrogenic tracheoesophageal fistula (TEF) through direct penetration of esophageal and tracheal walls is exceedingly rare. Body tissues sealing around the tube may result in delayed development of respiratory complications and diagnosis. Pneumomediastinum and pneumothorax may be absent. Maintaining the airway through TEF until tracheostomy resulted in a satisfactory outcome.