Suppr超能文献

剖宫产术后气管插管时出现气胸、纵隔气肿及气管食管瘘:一例报告

Pneumothorax, pneumomediastinum, tracheo-esophageal fistula presenting with endotracheal intubation in post-cesarean period: A case report.

作者信息

Oksuz Hafize, Senoglu Nimet, Zencirci Beyazýt, Ezberci Meral, Yuzbasioglu Mehmet Fatih

机构信息

Kahramanmaras Sutcu Imam University Medical Faculty, Department of Anesthesiology and Reanimation, Kahramanmaras, Turkey.

出版信息

Cases J. 2008 Aug 29;1(1):134. doi: 10.1186/1757-1626-1-134.

Abstract

BACKGROUND

The non-malignant, acquired tracheoesophageal fistulas (TEF), resulting from tracheal intubation are usually iatrogenic lesions. Tracheal lesions resulting from intubation may occur and pneumomediastinum, pneumothorax or subcutaneous emphysema may develop due to the stream of air.

CASE PRESENTATION

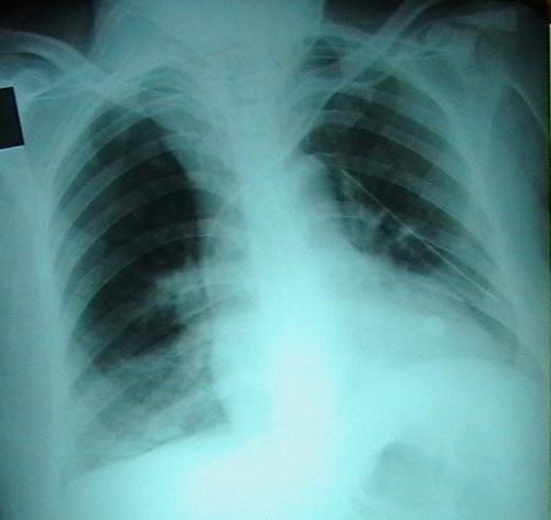
We present a-39-year old, Caucasian patient, developing severe hypoxia fallowing cesarean section under general anesthesia. The findings of the patient were diffuse subcutaneous emphysema; together with pneumothorax and pneumomediastinum TEF was diagnosed in the patient by bronchoscopy and eusophagoscopy performed due to cough and difficulty in swallowing developing after extubation.

CONCLUSION

It is important to the clinicians to be aware of the TEF can be accompanied to the traumatic intubation and urgent endoscopy or water-soluble contrast radiography may be prudent.

摘要

背景

气管插管导致的非恶性后天性气管食管瘘(TEF)通常是医源性损伤。插管可能导致气管损伤,并且由于气流可能会出现纵隔气肿、气胸或皮下气肿。

病例介绍

我们接诊了一名39岁的白种人患者,该患者在全身麻醉下剖宫产术后出现严重缺氧。患者的检查结果为弥漫性皮下气肿;同时伴有气胸和纵隔气肿,由于拔管后出现咳嗽和吞咽困难,通过支气管镜检查和食管镜检查诊断患者患有气管食管瘘。

结论

临床医生必须意识到气管食管瘘可能与创伤性插管有关,紧急内镜检查或水溶性对比剂造影检查可能是明智的。

https://cdn.ncbi.nlm.nih.gov/pmc/blobs/a8a9/2543003/f8290f60512f/1757-1626-1-134-1.jpg

文献AI研究员

20分钟写一篇综述,助力文献阅读效率提升50倍。

立即体验

用中文搜PubMed

大模型驱动的PubMed中文搜索引擎

马上搜索

文档翻译

学术文献翻译模型,支持多种主流文档格式。

立即体验