• 文献检索
  • 文档翻译
  • 深度研究
  • 学术资讯
  • Suppr Zotero 插件Zotero 插件
  • 邀请有礼
  • 套餐&价格
  • 历史记录
应用&插件
Suppr Zotero 插件Zotero 插件浏览器插件Mac 客户端Windows 客户端微信小程序
定价
高级版会员购买积分包购买API积分包
服务
文献检索文档翻译深度研究API 文档MCP 服务
关于我们
关于 Suppr公司介绍联系我们用户协议隐私条款
关注我们

Suppr 超能文献

核心技术专利:CN118964589B侵权必究
粤ICP备2023148730 号-1Suppr @ 2026

文献检索

告别复杂PubMed语法,用中文像聊天一样搜索,搜遍4000万医学文献。AI智能推荐,让科研检索更轻松。

立即免费搜索

文件翻译

保留排版,准确专业,支持PDF/Word/PPT等文件格式,支持 12+语言互译。

免费翻译文档

深度研究

AI帮你快速写综述,25分钟生成高质量综述,智能提取关键信息,辅助科研写作。

立即免费体验

表现为多灶性脑脓肿的原发性中枢神经系统淋巴瘤

Primary Central Nervous System Lymphoma Presenting as Multifocal Brain Abscesses.

作者信息

Liang Sai, Lim Jia Xu, Lee Hwei Yee, Low Sharon Yy

机构信息

Neurosurgery, National Neuroscience Institute, Singapore, SGP.

Pathology, Tan Tock Seng Hospital, Singapore, SGP.

出版信息

Cureus. 2020 Dec 14;12(12):e12068. doi: 10.7759/cureus.12068.

DOI:10.7759/cureus.12068
PMID:33489486
原文链接:https://pmc.ncbi.nlm.nih.gov/articles/PMC7805420/
Abstract

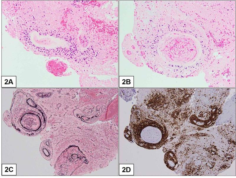
A previously well female presented with a history of progressive functional decline. She had a known history of generalized seropositive myasthenia gravis on long-term mycophenolate mofetil and pyridostigmine. MRI of her brain reported multiple cerebral abscesses based on radiological features. The patient was commenced on intravenous antibiotics, but there was no clinical or radiological response to treatment. Decision was made for a stereotactic biopsy. Intraoperative tissue cultures were negative for infection. However, histology reported B-cell lymphoma with morphological features changes typically seen in corticosteroid-treated lymphoma - an unexpected finding as no steroids were administered as part of her treatment. Owing to the unusual diagnosis, the case is presented in corroboration with current literature.

摘要

一名既往健康的女性出现进行性功能衰退病史。她有已知的全身性血清阳性重症肌无力病史,长期服用霉酚酸酯和吡啶斯的明。脑部MRI根据影像学特征报告有多个脑脓肿。患者开始接受静脉抗生素治疗,但治疗后无临床或影像学反应。决定进行立体定向活检。术中组织培养未发现感染。然而,组织学报告为B细胞淋巴瘤,具有皮质类固醇治疗的淋巴瘤中常见的形态学特征变化——这是一个意外发现,因为她的治疗中未使用类固醇。由于诊断不寻常,现结合当前文献介绍该病例。

https://cdn.ncbi.nlm.nih.gov/pmc/blobs/ff58/7805420/566bef991053/cureus-0012-00000012068-i02.jpg
https://cdn.ncbi.nlm.nih.gov/pmc/blobs/ff58/7805420/66697e1ab60c/cureus-0012-00000012068-i01.jpg
https://cdn.ncbi.nlm.nih.gov/pmc/blobs/ff58/7805420/566bef991053/cureus-0012-00000012068-i02.jpg
https://cdn.ncbi.nlm.nih.gov/pmc/blobs/ff58/7805420/66697e1ab60c/cureus-0012-00000012068-i01.jpg
https://cdn.ncbi.nlm.nih.gov/pmc/blobs/ff58/7805420/566bef991053/cureus-0012-00000012068-i02.jpg

相似文献

1
Primary Central Nervous System Lymphoma Presenting as Multifocal Brain Abscesses.表现为多灶性脑脓肿的原发性中枢神经系统淋巴瘤
Cureus. 2020 Dec 14;12(12):e12068. doi: 10.7759/cureus.12068.
2
[A case of progressive multifocal leukoencephalopathy presenting white matter MRI lesions extending over the cerebral cortex and a marked decrease in cerebral blood flow on SPECT, and associated with HTLV-I infection].[一例进行性多灶性白质脑病,磁共振成像显示白质病变延伸至大脑皮层,单光子发射计算机断层扫描显示脑血流量显著减少,并与人类嗜T淋巴细胞病毒I型感染相关]
Rinsho Shinkeigaku. 2005 Jun;45(6):426-30.
3
Stereotactic brain biopsy in AIDS.艾滋病患者的立体定向脑活检
J Neurol. 1992 Aug;239(7):394-400. doi: 10.1007/BF00812158.
4
Post-transplantation primary central nervous system lymphoma in a patient with systemic lupus erythematosus and prolonged use of immunosuppressant.一名患有系统性红斑狼疮且长期使用免疫抑制剂的患者发生移植后原发性中枢神经系统淋巴瘤。
Hong Kong Med J. 2014 Dec;20(6):541-4. doi: 10.12809/hkmj134095.
5
Primary CNS lymphoma complicating treatment of myasthenia gravis with mycophenolate mofetil.霉酚酸酯治疗重症肌无力并发原发性中枢神经系统淋巴瘤。
Neurology. 2005 Aug 23;65(4):639-41. doi: 10.1212/01.wnl.0000173031.56429.04.
6
Candida albicans brain abscesses in an injection drug user patient: a case report.一名注射吸毒患者的白色念珠菌脑脓肿:病例报告
BMC Res Notes. 2014 Nov 25;7:837. doi: 10.1186/1756-0500-7-837.
7
[Small vessel-childhood primary angiitis of the central nervous system: a case report and literature review].[小儿中枢神经系统原发性小血管炎:一例报告及文献复习]
Zhonghua Er Ke Za Zhi. 2018 Feb 2;56(2):142-147. doi: 10.3760/cma.j.issn.0578-1310.2018.02.014.
8
Probable progressive multifocal leukoencephalopathy-immune reconstitution inflammatory syndrome with immunosuppressant dose reduction following lung transplantation: a case report and literature review.肺移植后免疫抑制剂剂量减少导致可能的进行性多灶性白质脑病-免疫重建炎症综合征:病例报告及文献复习。
BMC Neurol. 2019 Oct 31;19(1):263. doi: 10.1186/s12883-019-1493-1.
9
A Rare Case of Primary Central Nervous System Lymphoma in an Adolescent Female Treated with High-Dose Methotrexate and Rituximab-Based Chemoimmunotherapy and Consolidation Whole Brain Radiotherapy.一名青春期女性原发性中枢神经系统淋巴瘤的罕见病例,采用大剂量甲氨蝶呤和利妥昔单抗为基础的化疗免疫疗法及巩固性全脑放疗进行治疗。
Pediatr Neurosurg. 2019;54(1):57-65. doi: 10.1159/000495789. Epub 2019 Jan 22.
10
Solitary Primary Central Nervous System Lymphoma Mimicking Third Ventricular Colloid Cyst-Case Report and Review of Literature.酷似第三脑室胶样囊肿的孤立性原发性中枢神经系统淋巴瘤——病例报告及文献复习
World Neurosurg. 2019 Mar;123:286-294. doi: 10.1016/j.wneu.2018.12.026. Epub 2018 Dec 19.

引用本文的文献

1
A steady stream of knowledge: decreased urinary retention after implementation of ERAS protocols in ambulatory minimally invasive inguinal hernia repair.知识的稳定流动:在门诊微创腹股沟疝修补中实施 ERAS 方案后,尿潴留减少。
Surg Endosc. 2022 Sep;36(9):6742-6750. doi: 10.1007/s00464-021-08950-9. Epub 2022 Jan 4.

本文引用的文献

1
Primary CNS Lymphomas: Challenges in Diagnosis and Monitoring.原发性中枢神经系统淋巴瘤:诊断和监测的挑战。
Biomed Res Int. 2018 Jun 21;2018:3606970. doi: 10.1155/2018/3606970. eCollection 2018.
2
Corticosteroid pre-treated primary CNS lymphoma: a detailed analysis of stereotactic biopsy findings and consideration of interobserver variability.皮质类固醇预处理的原发性中枢神经系统淋巴瘤:立体定向活检结果的详细分析及观察者间变异性的考量
Int J Clin Exp Pathol. 2015 Jul 1;8(7):7798-808. eCollection 2015.
3
MRI in central nervous system infections: A simplified patterned approach.
中枢神经系统感染的磁共振成像:一种简化的模式化方法。
World J Radiol. 2014 Sep 28;6(9):716-25. doi: 10.4329/wjr.v6.i9.716.
4
Pyogenic brain abscess, a 15 year survey.化脓性脑脓肿,15 年调查。
BMC Infect Dis. 2012 Nov 30;12:332. doi: 10.1186/1471-2334-12-332.
5
Primary central nervous system lymphoma in immunocompetent patients: a retrospective review of MRI features.免疫功能正常患者的原发性中枢神经系统淋巴瘤:MRI特征的回顾性分析
J Med Imaging Radiat Oncol. 2012 Jun;56(3):295-301. doi: 10.1111/j.1754-9485.2012.02366.x. Epub 2012 Apr 10.
6
Magnetic resonance features of primary central nervous system lymphoma in the immunocompetent patient: a pictorial essay.免疫功能正常患者原发性中枢神经系统淋巴瘤的磁共振成像特征:图文综述
J Med Imaging Radiat Oncol. 2012 Apr;56(2):179-86. doi: 10.1111/j.1754-9485.2012.02345.x. Epub 2012 Mar 6.
7
Central nervous system lymphoma: characteristic findings on traditional and advanced imaging.中枢神经系统淋巴瘤:传统和先进成像技术的特征表现。
AJNR Am J Neuroradiol. 2011 Jun-Jul;32(6):984-92. doi: 10.3174/ajnr.A2171. Epub 2010 Jul 8.
8
Primary central nervous system lymphoma.原发性中枢神经系统淋巴瘤
Arch Pathol Lab Med. 2008 Nov;132(11):1830-4. doi: 10.5858/132.11.1830.
9
AIDS-related primary central nervous system lymphoma: a Norwegian national survey 1989-2003.艾滋病相关原发性中枢神经系统淋巴瘤:1989 - 2003年挪威全国性调查
BMC Cancer. 2008 Aug 6;8:225. doi: 10.1186/1471-2407-8-225.
10
Primary CNS lymphoma complicating treatment of myasthenia gravis with mycophenolate mofetil.霉酚酸酯治疗重症肌无力并发原发性中枢神经系统淋巴瘤。
Neurology. 2005 Aug 23;65(4):639-41. doi: 10.1212/01.wnl.0000173031.56429.04.