Suppr超能文献

蛔虫感染作为急性胰腺炎的意外病因

Ascaris Lumbricoides Infestation as an Unexpected Cause of Acute Pancreatitis.

作者信息

Hussain Taimoor, Walizada Khalida, Khan Tuba, Khan Rajeswari, Mushtaq Zahra

机构信息

Neurology, Bolan Medical College, Quetta, PAK.

Neurological Surgery, Ali Abad Teaching Hospital, Kabul, AFG.

出版信息

Cureus. 2020 Dec 15;12(12):e12103. doi: 10.7759/cureus.12103.

Abstract

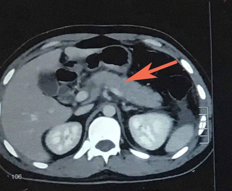
Ascariasis is the most common helminthic infection. It is most common in children of tropical and developing countries where the transmission is by contamination of soil by human feces or use of untreated feces as fertilizer. Transmission in most endemic areas is via person to person contact. We hereby present a case report of acute pancreatitis due to ascariasis. Twenty-five-year-old male patient presented to us with chief complaint of acute epigastric pain radiating to back and associated with vomiting. Initial lab investigations revealed increased serum amylase and lipase. Probable diagnosis of acute pancreatitis was made. CT scan was done and report revealed bulky pancreas, and significant peri-pancreatic fat stranding. He was managed symptomatically with intravenous fluids, analgesics, anti-emetics and enteral nutrition. However, the cause remained undetermined as we ruled out the possible etiologies of acute pancreatitis until one day the patient vomited a 15-cm round worm. Thereafter, his condition improved dramatically. This is one of the first few case reports of ascariasis-induced pancreatitis from Pakistan and the first one from Baluchistan province of Pakistan. Thus it highlights ascariasis as possible etiology of acute pancreatitis in regions where ascariasis is geographically endemic.

摘要

蛔虫病是最常见的蠕虫感染。在热带地区和发展中国家的儿童中最为常见,其传播途径是人类粪便污染土壤或使用未经处理的粪便作为肥料。在大多数流行地区,传播是通过人与人之间的接触。我们在此报告一例由蛔虫病引起的急性胰腺炎病例。一名25岁男性患者因急性上腹部疼痛放射至背部并伴有呕吐前来就诊。初步实验室检查显示血清淀粉酶和脂肪酶升高。做出了急性胰腺炎的可能诊断。进行了CT扫描,报告显示胰腺肿大,胰腺周围有明显的脂肪组织浸润。对他进行了对症治疗,包括静脉输液、止痛、止吐和肠内营养。然而,病因仍未确定,因为我们排除了急性胰腺炎的可能病因,直到有一天患者吐出一条15厘米长的蛔虫。此后,他的病情显著改善。这是来自巴基斯坦的关于蛔虫病诱发胰腺炎的少数病例报告之一,也是来自巴基斯坦俾路支省的首例报告。因此,它突出了在蛔虫病地方性流行的地区,蛔虫病可能是急性胰腺炎的病因。

https://cdn.ncbi.nlm.nih.gov/pmc/blobs/6825/7805493/f95c5beef734/cureus-0012-00000012103-i01.jpg

文献检索

告别复杂PubMed语法,用中文像聊天一样搜索,搜遍4000万医学文献。AI智能推荐,让科研检索更轻松。

立即免费搜索

文件翻译

保留排版,准确专业,支持PDF/Word/PPT等文件格式,支持 12+语言互译。

免费翻译文档

深度研究

AI帮你快速写综述,25分钟生成高质量综述,智能提取关键信息,辅助科研写作。

立即免费体验