Suppr超能文献

百草枯中毒增殖期犬肺的超微结构

Ultrastructure of canine lung during the proliferative phase of paraquat toxicity.

作者信息

Hampson E C, Pond S M

机构信息

Department of Medicine, University of Queensland, Princess Alexandra Hospital, Brisbane, Australia.

出版信息

Br J Exp Pathol. 1988 Feb;69(1):57-68.

Abstract

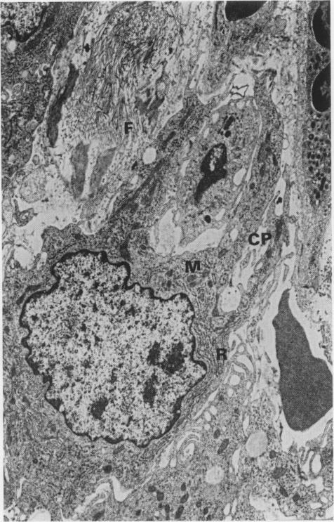
The herbicide paraquat induces irreversible progressive pulmonary fibrosis in human beings and animals. The mechanisms of the fibrosis are still unresolved. There is histological and ultrastructural evidence that an early destructive phase followed by a proliferative phase occurs in the lungs post paraquat-exposure. In this study, lungs obtained from a dog 7 days following intravenous administration of paraquat (12 mg paraquat dichloride per kg bodyweight) are compared with lungs obtained from a normal dog. Examination included gross post mortem inspection, histology, transmission electron microscopy (TEM) and scanning electron microscopy (SEM). Comparison of the TEM of the paraquat affected canine lung with the normal showed: alveolar collapse; detachment of alveolar epithelial cells from the basement membrane; alteration of the type II alveolar cell morphology; infiltration of granulocytes and erythrocytes into both the interstitium and alveolar air spaces; and fibroblasts associated with collagen fibrils. The SEM of the paraquat-exposed canine lung, reported here for the first time, demonstrated irregular, alveolar walls with type I alveolar epithelial cell detachment, and erythrocyte and alveolar macrophage infiltration. These findings suggest that the detachment of alveolar epithelial cells and the alveolar macrophage play a significant role in paraquat-induced pulmonary fibrosis.

摘要

除草剂百草枯可在人和动物中诱发不可逆的进行性肺纤维化。纤维化的机制仍未明确。有组织学和超微结构证据表明,百草枯暴露后肺内会出现一个早期破坏阶段,随后是增殖阶段。在本研究中,将静脉注射百草枯(每千克体重12毫克二氯化百草枯)7天后的狗的肺与正常狗的肺进行比较。检查包括大体尸检、组织学、透射电子显微镜(TEM)和扫描电子显微镜(SEM)。将百草枯中毒犬肺的TEM与正常肺进行比较显示:肺泡塌陷;肺泡上皮细胞与基底膜分离;II型肺泡细胞形态改变;粒细胞和红细胞浸润到间质和肺泡腔;以及与胶原纤维相关的成纤维细胞。本文首次报道的百草枯暴露犬肺的SEM显示,肺泡壁不规则,I型肺泡上皮细胞脱落,红细胞和肺泡巨噬细胞浸润。这些发现表明,肺泡上皮细胞和肺泡巨噬细胞的脱落在百草枯诱导的肺纤维化中起重要作用。

https://cdn.ncbi.nlm.nih.gov/pmc/blobs/6d03/2013191/9cccafad00de/brjexppathol00001-0067-a.jpg

引用本文的文献

本文引用的文献

1
Paraquat poisoning in dogs and cats--differences between accidental and malicious poisoning.
J Small Anim Pract. 1981 Mar;22(3):153-6. doi: 10.1111/j.1748-5827.1981.tb00595.x.
3
Death from paraquat in a child.
Lancet. 1968 Jan 20;1(7534):144. doi: 10.1016/s0140-6736(68)92754-2.
4
The ultrastructure and time sequence of the early stages of paraquat lung in rats.
J Pathol. 1974 Dec;114(4):177-84. doi: 10.1002/path.1711140402.
5
Paraquat poisoning in a dog and cat.
Vet Rec. 1976 Mar 6;98(10):189-91. doi: 10.1136/vr.98.10.189.
6
Acute respiratory distress in the dog associated with paraquat poisoning.
Vet Rec. 1977 Apr 2;100(14):275-7. doi: 10.1136/vr.100.14.275.

文献AI研究员

20分钟写一篇综述,助力文献阅读效率提升50倍。

立即体验

用中文搜PubMed

大模型驱动的PubMed中文搜索引擎

马上搜索

文档翻译

学术文献翻译模型,支持多种主流文档格式。

立即体验