• 文献检索
  • 文档翻译
  • 深度研究
  • 学术资讯
  • Suppr Zotero 插件Zotero 插件
  • 邀请有礼
  • 套餐&价格
  • 历史记录
应用&插件
Suppr Zotero 插件Zotero 插件浏览器插件Mac 客户端Windows 客户端微信小程序
定价
高级版会员购买积分包购买API积分包
服务
文献检索文档翻译深度研究API 文档MCP 服务
关于我们
关于 Suppr公司介绍联系我们用户协议隐私条款
关注我们

Suppr 超能文献

核心技术专利:CN118964589B侵权必究
粤ICP备2023148730 号-1Suppr @ 2026

文献检索

告别复杂PubMed语法,用中文像聊天一样搜索,搜遍4000万医学文献。AI智能推荐,让科研检索更轻松。

立即免费搜索

文件翻译

保留排版,准确专业,支持PDF/Word/PPT等文件格式,支持 12+语言互译。

免费翻译文档

深度研究

AI帮你快速写综述,25分钟生成高质量综述,智能提取关键信息,辅助科研写作。

立即免费体验

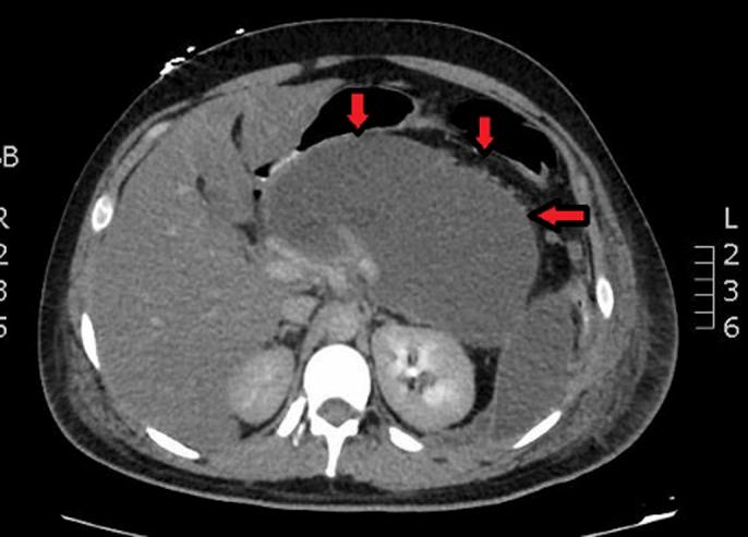
丙泊酚诱导的严重坏死性胰腺炎。

Propofol-Induced Severe Necrotizing Pancreatitis.

作者信息

Parekh Akarsh, Zhang Howard

机构信息

Department of Medicine, Summa Health Systems, Barberton, OH.

Northeast Ohio Medical University, Rootstown, OH.

出版信息

ACG Case Rep J. 2021 Jan 19;8(1):e00528. doi: 10.14309/crj.0000000000000528. eCollection 2021 Jan.

DOI:10.14309/crj.0000000000000528
PMID:33490299
原文链接:https://pmc.ncbi.nlm.nih.gov/articles/PMC7815321/
Abstract

Propofol is a widely used sedative for gastrointestinal endoscopic procedures. Drug-induced pancreatitis is a relatively rare disease possibly because of poor recognition. Propofol-induced pancreatitis is an extremely rare phenomenon. We present a 22-year-old healthy man who underwent esophagogastroduodenoscopy with propofol as a sedative. Soon after, he developed acute upper gastrointestinal symptoms and was diagnosed with pancreatitis. His prolonged hospital course was complicated with necrotizing pancreatitis, acute respiratory distress syndrome, septic shock, and other end-organ damages. We hope to increase awareness of a life-threatening adverse event of a commonly used anesthetic such as propofol.

摘要

丙泊酚是一种广泛用于胃肠内镜检查的镇静剂。药物性胰腺炎是一种相对罕见的疾病,可能是因为认识不足。丙泊酚诱导的胰腺炎是一种极其罕见的现象。我们报告一名22岁的健康男性,他在丙泊酚镇静下接受了食管胃十二指肠镜检查。此后不久,他出现了急性上消化道症状,并被诊断为胰腺炎。他的住院病程延长,并发坏死性胰腺炎、急性呼吸窘迫综合征、感染性休克和其他终末器官损害。我们希望提高对丙泊酚这种常用麻醉剂危及生命的不良事件的认识。

https://cdn.ncbi.nlm.nih.gov/pmc/blobs/dfee/7815321/d88c307c39f0/ac9-8-e00528-g001.jpg
https://cdn.ncbi.nlm.nih.gov/pmc/blobs/dfee/7815321/d88c307c39f0/ac9-8-e00528-g001.jpg
https://cdn.ncbi.nlm.nih.gov/pmc/blobs/dfee/7815321/d88c307c39f0/ac9-8-e00528-g001.jpg

相似文献

1
Propofol-Induced Severe Necrotizing Pancreatitis.丙泊酚诱导的严重坏死性胰腺炎。
ACG Case Rep J. 2021 Jan 19;8(1):e00528. doi: 10.14309/crj.0000000000000528. eCollection 2021 Jan.
2
Severe necrotizing pancreatitis immediately after non-abdominal surgery under general anesthesia with propofol.全麻下丙泊酚非腹部手术后即刻发生重症坏死性胰腺炎。
Clin J Gastroenterol. 2021 Dec;14(6):1798-1803. doi: 10.1007/s12328-021-01504-5. Epub 2021 Aug 26.
3
Propofol-induced acute pancreatitis.丙泊酚诱导的急性胰腺炎。
J Clin Pharm Ther. 2017 Aug;42(4):495-498. doi: 10.1111/jcpt.12524. Epub 2017 Apr 10.
4
Necrotizing Fasciitis: A Rare Complication of Acute Necrotizing Pancreatitis.坏死性筋膜炎:急性坏死性胰腺炎的一种罕见并发症。
J Clin Diagn Res. 2017 Jun;11(6):PD05-PD06. doi: 10.7860/JCDR/2017/27032.10032. Epub 2017 Jun 1.
5
Acute pancreatitis induced by short-term propofol administration.短期输注丙泊酚所致急性胰腺炎
Paediatr Anaesth. 2005 Nov;15(11):1006-8. doi: 10.1111/j.1460-9592.2004.01562.x.
6
[Acute pancreatitis after propofol administration].[丙泊酚给药后急性胰腺炎]
Ned Tijdschr Geneeskd. 2014;158:A7115.
7
Plasma exchange for hypertriglyceridemic acute necrotizing pancreatitis: report of two cases.血浆置换治疗高甘油三酯血症性急性坏死性胰腺炎:两例报告
Ther Apher. 2002 Dec;6(6):454-8. doi: 10.1046/j.1526-0968.2002.00461.x.
8
Scrotal Abscess: A Rare Presentation of Complicated Necrotizing Pancreatitis.阴囊脓肿:复杂性坏死性胰腺炎的罕见表现。
Arch Iran Med. 2017 Feb;20(2):124-127.
9
Rapidly Progressive Emphysematous Pancreatitis With Massive Hemorrhage and Multi-Organ Failure: A Severe Sequela of COVID-19.伴有大量出血和多器官功能衰竭的快速进展性气肿性胰腺炎:COVID-19的一种严重后遗症。
Cureus. 2023 Jan 12;15(1):e33717. doi: 10.7759/cureus.33717. eCollection 2023 Jan.
10
Hypertriglyceridemia independent propofol-induced pancreatitis.高甘油三酯血症独立导致丙泊酚诱导的胰腺炎。
JOP. 2012 Jul 10;13(4):451-3. doi: 10.6092/1590-8577/822.

引用本文的文献

1
Propofol-alone sedative efficacy in observational biliopancreatic endoscopic ultrasound.单纯丙泊酚在观察性胆胰内镜超声检查中的镇静效果
DEN Open. 2024 Oct 17;5(1):e70025. doi: 10.1002/deo2.70025. eCollection 2025 Apr.
2
Drug-Induced Acute Pancreatitis: An Evidence-Based Classification (Revised).药物性急性胰腺炎:一种基于证据的分类(修订版)。
Clin Transl Gastroenterol. 2023 Aug 1;14(8):e00621. doi: 10.14309/ctg.0000000000000621.

本文引用的文献

1
Propofol Infusion and Acute Pancreatitis: A Review.异丙酚输注与急性胰腺炎:综述。
Am J Ther. 2020 Jul/Aug;27(4):e371-e374. doi: 10.1097/MJT.0000000000001021.
2
Propofol Versus Midazolam/Fentanyl Sedation for Colonoscopy in the Elderly Patient Population.丙泊酚与咪达唑仑/芬太尼用于老年患者结肠镜检查镇静的比较
J Perianesth Nurs. 2017 Jun;32(3):210-214. doi: 10.1016/j.jopan.2015.12.012. Epub 2016 Aug 2.
3
Propofol-induced acute pancreatitis.丙泊酚诱导的急性胰腺炎。
J Clin Pharm Ther. 2017 Aug;42(4):495-498. doi: 10.1111/jcpt.12524. Epub 2017 Apr 10.
4
Association between Type of Sedation and the Adverse Events Associated with Gastrointestinal Endoscopy: An Analysis of 5 Years' Data from a Tertiary Center in the USA.镇静类型与胃肠内镜检查相关不良事件之间的关联:来自美国一家三级中心的5年数据分析
Clin Endosc. 2017 Mar;50(2):161-169. doi: 10.5946/ce.2016.019. Epub 2016 Apr 29.
5
Propofol and non-propofol based sedation for outpatient colonoscopy-prospective comparison of depth of sedation using an EEG based SEDLine monitor.门诊结肠镜检查中丙泊酚与非丙泊酚镇静——使用基于脑电图的SEDLine监测仪对镇静深度进行前瞻性比较
J Clin Monit Comput. 2016 Oct;30(5):551-7. doi: 10.1007/s10877-015-9769-5. Epub 2015 Sep 12.
6
Does sedation type affect colonoscopy perforation rates?镇静类型是否会影响结肠镜穿孔率?
Dis Colon Rectum. 2014 Jan;57(1):110-4. doi: 10.1097/DCR.0000000000000002.
7
Hypertriglyceridemia independent propofol-induced pancreatitis.高甘油三酯血症独立导致丙泊酚诱导的胰腺炎。
JOP. 2012 Jul 10;13(4):451-3. doi: 10.6092/1590-8577/822.
8
Acute pancreatitis after propofol infusion in a teenage patient.一名青少年患者输注丙泊酚后发生急性胰腺炎。
Anaesth Intensive Care. 2012 May;40(3):561-2.
9
Propofol sedation for endoscopic procedures in patients 90 years of age and older.90岁及以上患者在内镜检查过程中的丙泊酚镇静。
Digestion. 2008;78(1):20-3. doi: 10.1159/000151765. Epub 2008 Sep 2.
10
Acute pancreatitis induced by short-term propofol administration.短期输注丙泊酚所致急性胰腺炎
Paediatr Anaesth. 2005 Nov;15(11):1006-8. doi: 10.1111/j.1460-9592.2004.01562.x.