Lo Chun-Hai, Cheng Shui-Ying
Department of Pathology, United Christian Hospital, New Kowloon, Hong Kong.
Case Rep Nephrol. 2021 Jan 7;2021:8847998. doi: 10.1155/2021/8847998. eCollection 2021.
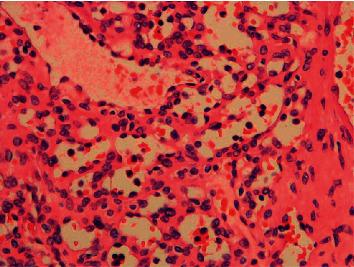
Anastomosing haemangioma is a rare benign vascular neoplasm, which may mimic angiosarcoma histologically. We here present a case of anastomosing haemangioma arising from the kidney. This patient presented with a large kidney mass and adrenal mass. The clinical and radiological findings were suspicious for renal cell carcinoma with metastasis. Radical nephrectomy and adrenalectomy were thus performed. Histopathological examination and immunohistochemical studies concluded a diagnosis of anastomosing haemangioma of the kidney and concurrent adrenal cortical adenoma. It is important to differentiate this tumor from other borderline or malignant vascular neoplasms.
吻合性血管瘤是一种罕见的良性血管肿瘤,在组织学上可能类似血管肉瘤。我们在此报告一例起源于肾脏的吻合性血管瘤病例。该患者表现为巨大的肾脏肿块和肾上腺肿块。临床和影像学检查结果怀疑为肾细胞癌伴转移。因此进行了根治性肾切除术和肾上腺切除术。组织病理学检查和免疫组化研究最终诊断为肾脏吻合性血管瘤并伴有肾上腺皮质腺瘤。将这种肿瘤与其他临界性或恶性血管肿瘤区分开来很重要。