Suppr超能文献

老年肥厚型心肌病患者的特征和结局。

Characteristics and Outcomes of Elderly Patients With Hypertrophic Cardiomyopathy.

机构信息

Hypertrophic Cardiomyopathy Center Heart and Vascular InstituteCleveland Clinic Cleveland OH.

出版信息

J Am Heart Assoc. 2021 Feb 2;10(3):e018527. doi: 10.1161/JAHA.120.018527. Epub 2021 Jan 28.

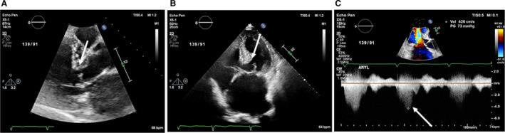
Abstract

Background We report characteristics and outcomes of elderly patients with hypertrophic cardiomyopathy (HCM) with basal septal hypertrophy and dynamic left ventricular outflow tract obstruction. Methods and Results We studied 1110 consecutive elderly patients with HCM (excluding moderate or greater aortic stenosis or subaortic membrane, age 80±5 years [range, 75-92 years], 66% women), evaluated at our center between June 2002 and December 2018. Clinical and echocardiographic data, including maximal left ventricular outflow tract gradient, were recorded. The primary outcome was death and appropriate internal defibrillator discharge. Hypertension was observed in 72%, with a Society of Thoracic Surgeons (STS) score (8.6±6); while 80% had no HCM-related sudden cardiac death risk factors. Left ventricular mass index, basal septal thickness, and maximal left ventricular outflow tract gradient were 127±43 g/m, 1.7±0.4 cm, and 49±31 mm Hg, respectively. A total of 597 (54%) had a left ventricular outflow tract gradient >30 mm Hg, of which 195 (33%) underwent septal reduction therapy (SRT; 79% myectomy and 21% alcohol ablation). At 5.1±4 years, 556 (50%) had composite events (273 [53%] in nonobstructive, 220 [55%] in obstructive without SRT, and 63 [32%] in obstructive subgroup with SRT). One- and 5-year survival, respectively were 93% and 63% in nonobstructive, 90% and 63% in obstructive subgroup without SRT, and 94% and 84% in the obstructive subgroup with SRT. Following SRT, there were 5 (2.5%) in-hospital deaths (versus an expected Society of Thoracic Surgeons mortality of 9.2%). Conclusions Elderly patients with HCM have a high prevalence of traditional cardiovascular rather than HCM risk factors. Longer-term outcomes of the obstructive SRT subgroup were similar to a normal age-sex matched US population.

摘要

背景 我们报告了伴有基底室间隔肥厚和左心室流出道动态梗阻的老年肥厚型心肌病(HCM)患者的特征和结局。

方法和结果 我们研究了 1110 例连续的老年 HCM 患者(不包括中度或重度主动脉瓣狭窄或主动脉瓣下膜,年龄 80±5 岁[范围 75-92 岁],66%为女性),这些患者于 2002 年 6 月至 2018 年 12 月在我们中心接受评估。记录了临床和超声心动图数据,包括最大左心室流出道梯度。主要终点为死亡和适当的内置除颤器放电。72%的患者有高血压,胸外科医师学会(STS)评分(8.6±6);而 80%的患者没有与 HCM 相关的心脏性猝死危险因素。左心室质量指数、基底室间隔厚度和最大左心室流出道梯度分别为 127±43 g/m、1.7±0.4 cm 和 49±31 mm Hg。共有 597 例(54%)左心室流出道梯度>30 mm Hg,其中 195 例(33%)接受室间隔减少治疗(SRT;79%心肌切除术和 21%酒精消融术)。在 5.1±4 年时,556 例(50%)发生复合事件(非梗阻性 273 例[53%],无 SRT 的梗阻性 220 例[55%],SRT 的梗阻性亚组 63 例[32%])。非梗阻性组的 1 年和 5 年生存率分别为 93%和 63%,无 SRT 的梗阻性亚组分别为 90%和 63%,SRT 的梗阻性亚组分别为 94%和 84%。SRT 后,有 5 例(2.5%)院内死亡(预期胸外科医师学会死亡率为 9.2%)。

结论 患有 HCM 的老年患者具有较高的传统心血管风险因素而非 HCM 风险因素。梗阻性 SRT 亚组的长期结局与正常年龄性别匹配的美国人群相似。

https://cdn.ncbi.nlm.nih.gov/pmc/blobs/e6f8/7955450/9fcc45ebe4d6/JAH3-10-e018527-g001.jpg

文献检索

告别复杂PubMed语法,用中文像聊天一样搜索,搜遍4000万医学文献。AI智能推荐,让科研检索更轻松。

立即免费搜索

文件翻译

保留排版,准确专业,支持PDF/Word/PPT等文件格式,支持 12+语言互译。

免费翻译文档

深度研究

AI帮你快速写综述,25分钟生成高质量综述,智能提取关键信息,辅助科研写作。

立即免费体验