Suppr超能文献

Widespread expression of intestinal markers in gastric carcinoma: a light and electron microscopic study using BD-5 monoclonal antibody.

作者信息

Fiocca R, Villani L, Tenti P, Cornaggia M, Finzi G, Capella C, Prat M, Bussolati G, Solcia E

机构信息

IRCCS Policlinico San Matteo, Pavia, Italy.

出版信息

J Clin Pathol. 1988 Feb;41(2):178-87. doi: 10.1136/jcp.41.2.178.

Abstract

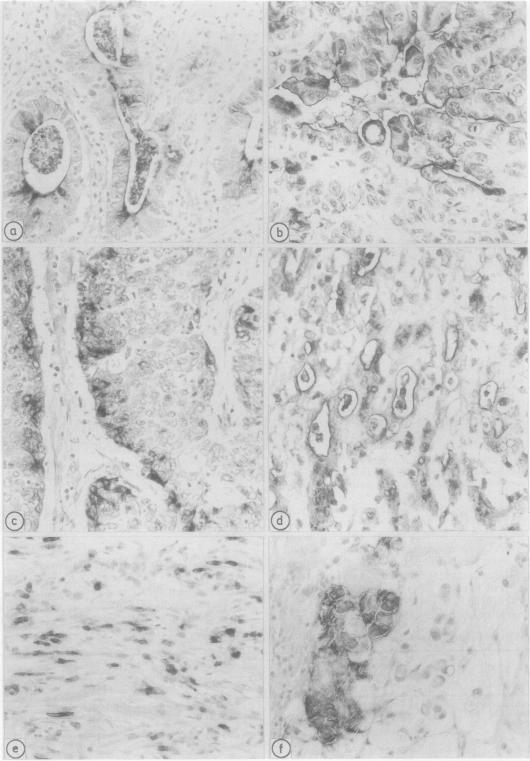
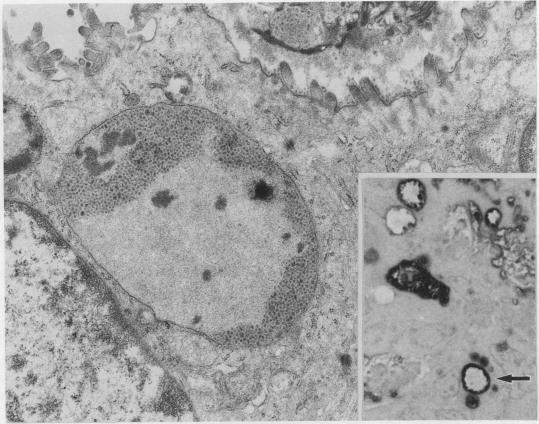
BD-5 monoclonal antibody reacted with tumour cells in 262 of 316 cases of gastric cancers, including 121 of 134 early, 141 of 182 advanced tumours (p less than 0.01), and 113 of 146 glandular, 72 of 83 diffuse, 22 of 25 mucoid, and 55 of 59 mixed tumours. No difference in reactivity was observed between metastatic and non-metastatic advanced tumours. Immunocytochemical techniques applied to light and electron microscopical specimens of colorectal mucosa and gastric cancer showed that BD-5 immunoreactive material occurred in the Golgi complex, in small clear, to dense cored, cytoplasmic vesicles, and in the glycocalix of the luminal and lateral membranes of normal and neoplastic cells in the glands, as well as in the peripheral membrane of dispersed neoplastic cells. Mucin granules stored in the cytoplasm of goblet cells were unreactive or poorly reactive. Ultrastructural features consistent with colorectal type differentiation were observed in many reactive tumours. Unreactive tumours showing ultrastructural patterns consistent with intestinal differentiation, especially of small bowel type, were also observed. Signs of intestinal differentiation, including BD-5 immunoreactivity, often occur in gastric cancer, irrespective of histological type and stage of disease.

摘要
https://cdn.ncbi.nlm.nih.gov/pmc/blobs/ecc3/1141375/3faf2602bf1c/jclinpath00334-0060-a.jpg

文献检索

告别复杂PubMed语法,用中文像聊天一样搜索,搜遍4000万医学文献。AI智能推荐,让科研检索更轻松。

立即免费搜索

文件翻译

保留排版,准确专业,支持PDF/Word/PPT等文件格式,支持 12+语言互译。

免费翻译文档

深度研究

AI帮你快速写综述,25分钟生成高质量综述,智能提取关键信息,辅助科研写作。

立即免费体验