• 文献检索
  • 文档翻译
  • 深度研究
  • 学术资讯
  • Suppr Zotero 插件Zotero 插件
  • 邀请有礼
  • 套餐&价格
  • 历史记录
应用&插件
Suppr Zotero 插件Zotero 插件浏览器插件Mac 客户端Windows 客户端微信小程序
定价
高级版会员购买积分包购买API积分包
服务
文献检索文档翻译深度研究API 文档MCP 服务
关于我们
关于 Suppr公司介绍联系我们用户协议隐私条款
关注我们

Suppr 超能文献

核心技术专利:CN118964589B侵权必究
粤ICP备2023148730 号-1Suppr @ 2026

文献检索

告别复杂PubMed语法,用中文像聊天一样搜索,搜遍4000万医学文献。AI智能推荐,让科研检索更轻松。

立即免费搜索

文件翻译

保留排版,准确专业,支持PDF/Word/PPT等文件格式,支持 12+语言互译。

免费翻译文档

深度研究

AI帮你快速写综述,25分钟生成高质量综述,智能提取关键信息,辅助科研写作。

立即免费体验

脂肪源性细胞疗法可延长同种异体后肢移植模型中的移植物存活时间。

Adipose-derived cellular therapies prolong graft survival in an allogenic hind limb transplantation model.

作者信息

Chen Jingting, Wang Yinmin, Hu Haoyue, Xiong Yao, Wang Shoubao, Yang Jun

机构信息

Department of Plastic and Reconstructive Surgery, Shanghai Ninth People's Hospital, Shanghai Jiao Tong University School of Medicine, Shanghai, China.

Department of Plastic and Reconstructive Surgery, Shanghai General Hospital, School of Medicine, Shanghai Jiao Tong University, Shanghai, China.

出版信息

Stem Cell Res Ther. 2021 Jan 29;12(1):94. doi: 10.1186/s13287-021-02162-7.

DOI:10.1186/s13287-021-02162-7
PMID:33514430
原文链接:https://pmc.ncbi.nlm.nih.gov/articles/PMC7847016/
Abstract

BACKGROUND

The long-term survival after vascularized composite allotransplantation (VCA) is often limited by systemic rejection as well as the adverse effects of immunosuppressants. The stromal vascular fraction (SVF) can be expanded to produce adipose-derived stem cells (ADSC) which represents a combination of endothelial cells, preadipocytes, immune cells, and ADSC. It has been demonstrated that ADSC possess consistently reliable clinical results. However, literature is scarce regarding SVF in VCA. This study seeks to determine the impact of ex vivo allograft pretreatment in combination with SVF cells in the ability to promote composite tissue allotransplantation immunotolerance.

METHODS

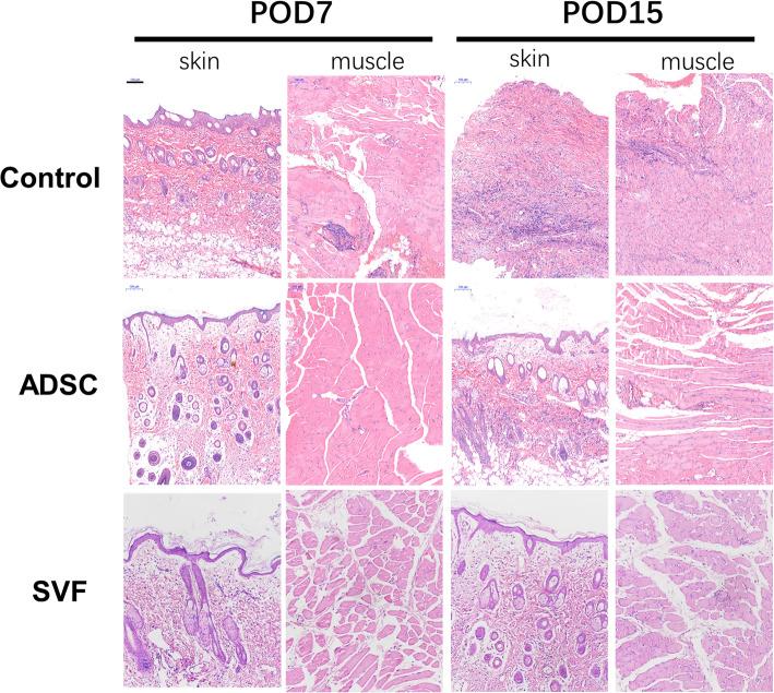
A rat hind limb allotransplant model was used to investigate the influence of ex vivo pretreatment of SVF and ADSC on VCA survival. Intravascular cell-free saline, ADSC, or SVF was infused into the models with immunosuppressants. The histopathological examination and duration that the allografts went without displaying symptoms of rejection was documented. Peripheral T lymphocytes and Tregs were quantified with flow cytometry while allotissue expressions of CD31 were quantified with immunohistochemical staining (IHC). ELISA was used to detect vascular endothelial growth factor (VEGF)-A as well as anti- and pro-inflammatory cytokines.

RESULTS

We demonstrated that ex vivo treatment of allografts with SVF or ADSC prolonged allograft survival in contrast to medium control cohorts. There were also enhanced levels of immunomodulatory cytokines and increased VEGF-A and CD31 expression as well as reduced infiltration and proliferation of T lymphocytes along with raised Treg expressions.

CONCLUSION

These studies demonstrated that adipose-derived cellular therapies prolong graft survival in an allogenic hind limb transplantation model and have the potential to establish immunotolerance.

摘要

背景

血管化复合组织异体移植(VCA)后的长期存活常受全身排斥反应以及免疫抑制剂不良反应的限制。基质血管成分(SVF)可经扩增产生脂肪来源干细胞(ADSC),后者是内皮细胞、前脂肪细胞、免疫细胞和ADSC的组合。已证实ADSC具有始终可靠的临床效果。然而,关于VCA中SVF的文献较少。本研究旨在确定异体移植物体外预处理联合SVF细胞对促进复合组织异体移植免疫耐受能力的影响。

方法

采用大鼠后肢异体移植模型研究SVF和ADSC体外预处理对VCA存活的影响。将无细胞生理盐水、ADSC或SVF与免疫抑制剂注入模型。记录异体移植物无排斥症状出现的组织病理学检查结果及持续时间。用流式细胞术定量外周血T淋巴细胞和调节性T细胞(Tregs),用免疫组织化学染色(IHC)定量异体组织中CD31的表达。采用酶联免疫吸附测定(ELISA)检测血管内皮生长因子(VEGF)-A以及抗炎和促炎细胞因子。

结果

我们证明,与培养基对照组相比,用SVF或ADSC对异体移植物进行体外处理可延长异体移植物存活时间。免疫调节细胞因子水平也有所提高,VEGF-A和CD31表达增加,T淋巴细胞浸润和增殖减少,Tregs表达升高。

结论

这些研究表明,脂肪来源的细胞疗法可延长同种异体后肢移植模型中的移植物存活时间,并具有建立免疫耐受的潜力。

https://cdn.ncbi.nlm.nih.gov/pmc/blobs/8c64/7847016/9ab983cefcdb/13287_2021_2162_Fig5_HTML.jpg
https://cdn.ncbi.nlm.nih.gov/pmc/blobs/8c64/7847016/d1c4803e75bf/13287_2021_2162_Fig1_HTML.jpg
https://cdn.ncbi.nlm.nih.gov/pmc/blobs/8c64/7847016/c2078d96bb96/13287_2021_2162_Fig2_HTML.jpg
https://cdn.ncbi.nlm.nih.gov/pmc/blobs/8c64/7847016/322d5108e6dd/13287_2021_2162_Fig3_HTML.jpg
https://cdn.ncbi.nlm.nih.gov/pmc/blobs/8c64/7847016/5ad984602ca1/13287_2021_2162_Fig4_HTML.jpg
https://cdn.ncbi.nlm.nih.gov/pmc/blobs/8c64/7847016/9ab983cefcdb/13287_2021_2162_Fig5_HTML.jpg
https://cdn.ncbi.nlm.nih.gov/pmc/blobs/8c64/7847016/d1c4803e75bf/13287_2021_2162_Fig1_HTML.jpg
https://cdn.ncbi.nlm.nih.gov/pmc/blobs/8c64/7847016/c2078d96bb96/13287_2021_2162_Fig2_HTML.jpg
https://cdn.ncbi.nlm.nih.gov/pmc/blobs/8c64/7847016/322d5108e6dd/13287_2021_2162_Fig3_HTML.jpg
https://cdn.ncbi.nlm.nih.gov/pmc/blobs/8c64/7847016/5ad984602ca1/13287_2021_2162_Fig4_HTML.jpg
https://cdn.ncbi.nlm.nih.gov/pmc/blobs/8c64/7847016/9ab983cefcdb/13287_2021_2162_Fig5_HTML.jpg

相似文献

1
Adipose-derived cellular therapies prolong graft survival in an allogenic hind limb transplantation model.脂肪源性细胞疗法可延长同种异体后肢移植模型中的移植物存活时间。
Stem Cell Res Ther. 2021 Jan 29;12(1):94. doi: 10.1186/s13287-021-02162-7.
2
treatment of allografts using adipose-derived stem cells induced prolonged rejection-free survival in an allogenic hind-limb transplantation model.在同种异体后肢移植模型中,使用脂肪来源干细胞治疗同种异体移植物可诱导延长无排斥存活期。
Ann Transl Med. 2020 Jul;8(14):867. doi: 10.21037/atm-19-4730.
3
Induced pluripotent stem cell-derived mesenchymal stem cells prolong hind limb survival in a rat vascularized composite allotransplantation model.诱导多能干细胞衍生的间充质干细胞延长大鼠血管化复合组织同种异体移植模型中后肢的存活时间。
Microsurgery. 2019 Nov;39(8):737-747. doi: 10.1002/micr.30507. Epub 2019 Aug 31.
4
Modulation of immune response and T-cell regulation by donor adipose-derived stem cells in a rodent hind-limb allotransplant model.供体脂肪来源干细胞在啮齿动物后肢同种异体移植模型中对免疫反应和 T 细胞调节的调节作用。
Plast Reconstr Surg. 2011 Dec;128(6):661e-672e. doi: 10.1097/PRS.0b013e318230c60b.
5
Adipose-derived cellular therapies in solid organ and vascularized-composite allotransplantation.实体器官和血管化复合异体移植中的脂肪来源细胞疗法。
Curr Opin Organ Transplant. 2017 Oct;22(5):490-498. doi: 10.1097/MOT.0000000000000452.
6
Local Delivery of Adipose Stem Cells Promotes Allograft Survival in a Rat Hind-Limb Model of Vascularized Composite Allotransplantation.脂肪干细胞局部递送促进血管化复合组织同种异体移植大鼠后肢模型中的移植物存活。
Plast Reconstr Surg. 2024 Jan 1;153(1):79e-90e. doi: 10.1097/PRS.0000000000010510. Epub 2023 Apr 5.
7
The combination of mitomycin-induced blood cells with a temporary treatment of ciclosporin A prolongs allograft survival in vascularized composite allotransplantation.丝裂霉素诱导的血细胞与环孢素A的短期治疗相结合可延长血管化复合异体移植中同种异体移植物的存活时间。
Langenbecks Arch Surg. 2018 Feb;403(1):83-92. doi: 10.1007/s00423-017-1616-3. Epub 2017 Aug 19.
8
Adipose-derived stromal cells modulating composite allotransplant survival is correlated with B cell regulation in a rodent hind-limb allotransplantation model.脂肪来源的基质细胞调节复合同种异体移植物的存活与啮齿动物后肢同种异体移植模型中的 B 细胞调节相关。
Stem Cell Res Ther. 2020 Nov 11;11(1):478. doi: 10.1186/s13287-020-01961-8.
9
Adipose- and Bone Marrow-Derived Mesenchymal Stem Cells Prolong Graft Survival in Vascularized Composite Allotransplantation.脂肪和骨髓来源的间充质干细胞延长血管化复合异体移植中的移植物存活时间。
Transplantation. 2015 Sep;99(9):1765-73. doi: 10.1097/TP.0000000000000731.
10
The Influence of Timing and Frequency of Adipose-Derived Mesenchymal Stem Cell Therapy on Immunomodulation Outcomes After Vascularized Composite Allotransplantation.脂肪间充质干细胞治疗的时机和频率对血管化复合组织异体移植后免疫调节结果的影响
Transplantation. 2017 Jan;101(1):e1-e11. doi: 10.1097/TP.0000000000001498.

引用本文的文献

1
The future role of mitochondrial drugs in vascularized composite allotransplantation: A short review.线粒体药物在血管化复合组织异体移植中的未来作用:简要综述。
Cell Transplant. 2025 Jan-Dec;34:9636897251347749. doi: 10.1177/09636897251347749. Epub 2025 Aug 11.
2
Cellular senescence-from solid organs to vascularized composite allotransplants.细胞衰老——从实体器官到血管化复合异体移植
Geroscience. 2025 Jul 28. doi: 10.1007/s11357-025-01788-2.
3
Donor adipose-derived stromal cells are vasoprotectant but unable to revert acute rejection in rodent vascularized composite allotransplants.

本文引用的文献

1
treatment of allografts using adipose-derived stem cells induced prolonged rejection-free survival in an allogenic hind-limb transplantation model.在同种异体后肢移植模型中,使用脂肪来源干细胞治疗同种异体移植物可诱导延长无排斥存活期。
Ann Transl Med. 2020 Jul;8(14):867. doi: 10.21037/atm-19-4730.
2
Relative antigenicity of components in vascularized composite allotransplants: An experimental study of microRNAs expression in rat hind limb transplantation model.血管化复合组织同种异体移植中成分的相对抗原性:大鼠后肢移植模型中 microRNAs 表达的实验研究。
Microsurgery. 2019 May;39(4):340-348. doi: 10.1002/micr.30408. Epub 2018 Dec 17.
3
供体脂肪来源的基质细胞具有血管保护作用,但无法逆转啮齿动物血管化复合异体移植中的急性排斥反应。
Front Immunol. 2025 Apr 28;16:1581599. doi: 10.3389/fimmu.2025.1581599. eCollection 2025.
4
Engineered stromal vascular fraction for tissue regeneration.用于组织再生的工程化基质血管成分
Front Pharmacol. 2025 Mar 13;16:1510508. doi: 10.3389/fphar.2025.1510508. eCollection 2025.
5
Challenges and opportunities in vascularized composite allotransplantation of joints: a systematic literature review.关节移植的血管化复合组织异体移植的挑战和机遇:系统文献回顾。
Front Immunol. 2023 May 19;14:1179195. doi: 10.3389/fimmu.2023.1179195. eCollection 2023.
6
Toward transplantation tolerance with adipose tissue-derived therapeutics.利用脂肪组织衍生治疗剂实现移植耐受。
Front Immunol. 2023 Apr 28;14:1111813. doi: 10.3389/fimmu.2023.1111813. eCollection 2023.
7
Potential Roles of miRNAs in Acute Rejection for Vascularized Composite Allotransplantation.微小RNA在血管化复合组织同种异体移植急性排斥反应中的潜在作用
J Inflamm Res. 2022 Oct 28;15:6021-6030. doi: 10.2147/JIR.S383628. eCollection 2022.
8
TRFs and tiRNAs sequence in acute rejection for vascularized composite allotransplantation.血管化复合组织同种异体移植急性排斥反应中的 TRFs 和 tiRNAs 序列。
Sci Data. 2022 Sep 7;9(1):544. doi: 10.1038/s41597-022-01577-y.
Ex vivo allotransplantation engineering: Delivery of mesenchymal stem cells prolongs rejection-free allograft survival.
同种异体器官的体外移植工程:间充质干细胞的移植延长了无排斥反应的同种异体移植物的存活时间。
Am J Transplant. 2018 Jul;18(7):1657-1667. doi: 10.1111/ajt.14668. Epub 2018 Feb 19.
4
A Pilot Study of Mesenchymal Stem Cell Therapy for Acute Liver Allograft Rejection.间充质干细胞治疗急性肝移植排斥反应的初步研究。
Stem Cells Transl Med. 2017 Dec;6(12):2053-2061. doi: 10.1002/sctm.17-0134.
5
Recipient Adipose-Derived Stem Cells Enhance Recipient Cell Engraftment and Prolong Allotransplant Survival in a Miniature Swine Hind-Limb Model.受者脂肪来源干细胞增强小型猪后肢模型中受者细胞植入和延长同种异体移植物存活。
Cell Transplant. 2017 Aug;26(8):1418-1427. doi: 10.1177/0963689717724534.
6
The Advent of Vascularized Composite Allotransplantation.血管化复合组织异体移植的出现。
Clin Plast Surg. 2017 Apr;44(2):425-429. doi: 10.1016/j.cps.2016.12.007. Epub 2017 Feb 3.
7
Non-reconstructable peripheral vascular disease of the lower extremity in ten patients treated with adipose-derived stromal vascular fraction cells.十例接受脂肪源性基质血管成分细胞治疗的下肢不可重建性外周血管疾病患者
Stem Cell Res. 2017 Jan;18:14-21. doi: 10.1016/j.scr.2016.12.001. Epub 2016 Dec 8.
8
The Influence of Timing and Frequency of Adipose-Derived Mesenchymal Stem Cell Therapy on Immunomodulation Outcomes After Vascularized Composite Allotransplantation.脂肪间充质干细胞治疗的时机和频率对血管化复合组织异体移植后免疫调节结果的影响
Transplantation. 2017 Jan;101(1):e1-e11. doi: 10.1097/TP.0000000000001498.
9
Recipient bone marrow-derived stromal cells prolong graft survival in a rat hind limb allotransplantation model.受体骨髓来源的基质细胞可延长大鼠后肢同种异体移植模型中的移植物存活时间。
Microsurgery. 2017 Sep;37(6):632-640. doi: 10.1002/micr.30128. Epub 2016 Nov 17.
10
Comparative Study of the Immunoregulatory Capacity of In Vitro Generated Tolerogenic Dendritic Cells, Suppressor Macrophages, and Myeloid-Derived Suppressor Cells.体外生成的耐受性树突状细胞、抑制性巨噬细胞和髓源抑制性细胞的免疫调节能力比较研究。
Transplantation. 2016 Oct;100(10):2079-2089. doi: 10.1097/TP.0000000000001315.