Suppr超能文献

人类卵子、受精卵和胚胎表达血管紧张素转换酶 1 受体和跨膜丝氨酸蛋白酶 2 蛋白,这是严重急性呼吸综合征冠状病毒 2 感染所必需的。

Human eggs, zygotes, and embryos express the receptor angiotensin 1-converting enzyme 2 and transmembrane serine protease 2 protein necessary for severe acute respiratory syndrome coronavirus 2 infection.

机构信息

Colorado Center for Reproductive Medicine, Lone Tree, Colorado.

Genus PLC, DeForest, Wisconsin.

出版信息

F S Sci. 2021 Feb;2(1):33-42. doi: 10.1016/j.xfss.2020.12.005. Epub 2020 Dec 24.

Abstract

OBJECTIVE

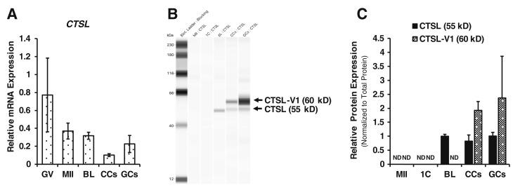
To study messenger ribonucleic acid (mRNA) and protein expressions of severe acute respiratory syndrome coronavirus 2 (SARS-CoV-2) entry receptors (angiotensin 1-converting enzyme 2 [ACE2] and CD147) and proteases (transmembrane serine protease 2 [TMPRSS2] and cathepsin L [CTSL]) in human oocytes, embryos, and cumulus (CCs) and granulosa cells (GCs).

DESIGN

Research study.

SETTING

Clinical in vitro fertilization (IVF) treatment center.

PATIENTS

Patients undergoing IVF were treated at the Colorado Center for Reproductive Medicine.

INTERVENTIONS

Oocytes (germinal vesicle and metaphase II [MII]) and embryos (1-cell [1C] and blastocyst [BL]) were donated for research at the disposition by the patients undergoing IVF. Follicular cells (CC and GC) were collected from women undergoing egg retrieval after ovarian stimulation without an ovulatory trigger for in vitro maturation/IVF treatment cycles.

MAIN OUTCOME MEASURES

Presence or absence of ACE2, CD147, TMPRSS2, and CTSL mRNAs detected using quantitative reverse transcription polymerase chain reaction and proteins detected using capillary Western blotting in human oocytes, embryos, and ovarian follicular cells.

RESULTS

The quantitative reverse transcription polymerase chain reaction analysis revealed high abundance of gene transcripts in germinal vesicle and MII oocytes than in CC, GC, and BL. ACE2 protein was present only in the MII oocytes, and 1C and BL embryos, but other ACE2 protein variants were observed in all the samples. TMPRSS2 protein was present in all the samples, whereas mRNA was observed only in the BL stage. All the samples were positive for CD147 and CTSL mRNA expressions. However, CCs and GCs were the only samples that showed coexpression of both CD147 and CTSL proteins in low abundance.

CONCLUSIONS

CCs and GCs are the least susceptible to SARS-CoV-2 infection because of lack of the required combination of receptors and proteases (ACE2/TMPRSS2 or CD147/CTSL) in high abundance. The coexpression of ACE2 and TMPRSS2 proteins in the MII oocytes, zygotes, and BLs demonstrated that these gametes and embryos have the cellular machinery required and, thus, are potentially susceptible to SARS-CoV-2 infection if exposed to the virus. However, we do not know whether the infection occurs in vivo or in vitro in an assisted reproductive technology setting yet.

摘要

目的

研究严重急性呼吸综合征冠状病毒 2(SARS-CoV-2)进入受体(血管紧张素转换酶 1 [ACE2]和 CD147)和蛋白酶(跨膜丝氨酸蛋白酶 2 [TMPRSS2]和组织蛋白酶 L [CTSL])在人卵母细胞、胚胎和卵丘(CC)及颗粒细胞(GC)中的信使核糖核酸(mRNA)和蛋白表达。

设计

研究性研究。

设置

临床体外受精(IVF)治疗中心。

患者

在科罗拉多生殖医学中心接受 IVF 的患者接受治疗。

干预措施

卵母细胞(生发泡期和中期 II [MII])和胚胎(1 细胞 [1C]和囊胚 [BL])由接受 IVF 的患者捐赠用于研究。卵泡细胞(CC 和 GC)是从接受卵巢刺激但未进行排卵触发以进行体外成熟/IVF 治疗周期的妇女的卵母细胞中采集的。

主要观察指标

采用定量逆转录聚合酶链反应检测人卵母细胞、胚胎和卵巢卵泡细胞中 ACE2、CD147、TMPRSS2 和 CTSL mRNA 的存在或缺失,并采用毛细管 Western 印迹法检测蛋白质。

结果

定量逆转录聚合酶链反应分析显示,在生发泡期和 MII 卵母细胞中,基因转录本的丰度高于 CC、GC 和 BL。ACE2 蛋白仅存在于 MII 卵母细胞和 1C 和 BL 胚胎中,但在所有样本中均观察到其他 ACE2 蛋白变体。TMPRSS2 蛋白存在于所有样本中,而 mRNA 仅在 BL 阶段观察到。所有样本均为 CD147 和 CTSL mRNA 表达阳性。然而,CC 和 GC 是唯一显示低丰度的 CD147 和 CTSL 蛋白共表达的样本。

结论

由于缺乏高丰度的 SARS-CoV-2 进入所需的受体和蛋白酶(ACE2/TMPRSS2 或 CD147/CTSL)组合,CC 和 GC 对 SARS-CoV-2 感染的敏感性最低。MII 卵母细胞、受精卵和 BL 中 ACE2 和 TMPRSS2 蛋白的共表达表明,这些配子和胚胎具有所需的细胞机制,因此,如果暴露于病毒,它们可能容易受到 SARS-CoV-2 的感染。然而,我们还不知道在辅助生殖技术环境中,这种感染是在体内还是在体外发生的。

https://cdn.ncbi.nlm.nih.gov/pmc/blobs/8444/7831752/ed0d7ed8f3c1/gr1_lrg.jpg

文献检索

告别复杂PubMed语法,用中文像聊天一样搜索,搜遍4000万医学文献。AI智能推荐,让科研检索更轻松。

立即免费搜索

文件翻译

保留排版,准确专业,支持PDF/Word/PPT等文件格式,支持 12+语言互译。

免费翻译文档

深度研究

AI帮你快速写综述,25分钟生成高质量综述,智能提取关键信息,辅助科研写作。

立即免费体验