• 文献检索
  • 文档翻译
  • 深度研究
  • 学术资讯
  • Suppr Zotero 插件Zotero 插件
  • 邀请有礼
  • 套餐&价格
  • 历史记录
应用&插件
Suppr Zotero 插件Zotero 插件浏览器插件Mac 客户端Windows 客户端微信小程序
定价
高级版会员购买积分包购买API积分包
服务
文献检索文档翻译深度研究API 文档MCP 服务
关于我们
关于 Suppr公司介绍联系我们用户协议隐私条款
关注我们

Suppr 超能文献

核心技术专利:CN118964589B侵权必究
粤ICP备2023148730 号-1Suppr @ 2026

文献检索

告别复杂PubMed语法,用中文像聊天一样搜索,搜遍4000万医学文献。AI智能推荐,让科研检索更轻松。

立即免费搜索

文件翻译

保留排版,准确专业,支持PDF/Word/PPT等文件格式,支持 12+语言互译。

免费翻译文档

深度研究

AI帮你快速写综述,25分钟生成高质量综述,智能提取关键信息,辅助科研写作。

立即免费体验

一位发作间期饮水的年轻男性。

A Young man with Peri-ictal water drinking.

机构信息

From the Department of Pediatric Neurology, Epilepsy Monitoring Unit, National Neuroscience Institute, King Fahad Medical City, Riyadh, Kingdom Of Saudi Arabia.

出版信息

Neurosciences (Riyadh). 2021 Jan;26(1):85-88. doi: 10.17712/nsj.2021.1.20200074.

DOI:10.17712/nsj.2021.1.20200074
PMID:33530048
原文链接:https://pmc.ncbi.nlm.nih.gov/articles/PMC8015488/
Abstract

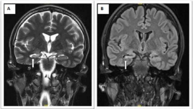
Neuro-vegetative features have been linked to epilepsy arising from the temporal lobe, which can be seen during ictal events and play an important role in determining the focal side of the lesion. Among the rare known features is peri-ictal water drinking (PIWD). Here, we present the case of a 31-year-old male with refractory temporal epilepsy, having episodes of PIWD. The patient was considered a candidate for resective surgery and was investigated accordingly, including long-term video electroencephalogram (EEG), brain magnetic resonance imaging (MRI), and neuropsychology assessment, which pointed towards a lesioned temporal lobe over the non-dominant hemisphere. The patient had an excellent outcome following right anterior temporal lobectomy. The lateralization significance of PIWD has not yet been established definitively in the literature, partly due to a limited number of published cases. This case highlights the previously observed association between PIWD and the involvement of the non-dominant hemisphere in epilepsy patients.

摘要

神经植物性功能与起源于颞叶的癫痫有关,这些功能可在发作期事件中观察到,并在确定病变的局灶侧方面发挥重要作用。在已知的罕见特征中有一种是发作期饮水(PIWD)。在这里,我们介绍了一位 31 岁的男性病例,他患有难治性颞叶癫痫,发作期出现 PIWD。患者被认为是可进行切除术的候选者,并进行了相应的检查,包括长期视频脑电图(EEG)、脑磁共振成像(MRI)和神经心理学评估,这些检查指向非优势半球的颞叶病变。患者在接受右侧前颞叶切除术治疗后效果极佳。PIWD 的侧化意义在文献中尚未得到明确确定,部分原因是发表的病例数量有限。该病例突出了之前观察到的 PIWD 与癫痫患者非优势半球受累之间的关联。

https://cdn.ncbi.nlm.nih.gov/pmc/blobs/7b2d/8015488/794abf4a06b6/Neurosciences-26-85-g003.jpg
https://cdn.ncbi.nlm.nih.gov/pmc/blobs/7b2d/8015488/2bad6dc6b174/Neurosciences-26-85-g001.jpg
https://cdn.ncbi.nlm.nih.gov/pmc/blobs/7b2d/8015488/c865db515ff8/Neurosciences-26-85-g002.jpg
https://cdn.ncbi.nlm.nih.gov/pmc/blobs/7b2d/8015488/794abf4a06b6/Neurosciences-26-85-g003.jpg
https://cdn.ncbi.nlm.nih.gov/pmc/blobs/7b2d/8015488/2bad6dc6b174/Neurosciences-26-85-g001.jpg
https://cdn.ncbi.nlm.nih.gov/pmc/blobs/7b2d/8015488/c865db515ff8/Neurosciences-26-85-g002.jpg
https://cdn.ncbi.nlm.nih.gov/pmc/blobs/7b2d/8015488/794abf4a06b6/Neurosciences-26-85-g003.jpg

相似文献

1
A Young man with Peri-ictal water drinking.一位发作间期饮水的年轻男性。
Neurosciences (Riyadh). 2021 Jan;26(1):85-88. doi: 10.17712/nsj.2021.1.20200074.
2
Peri-ictal water drinking: a rare automatic behaviour in temporal lobe epilepsy.发作期饮水:颞叶癫痫中一种罕见的自动行为。
Epileptic Disord. 2015 Dec;17(4):384-96. doi: 10.1684/epd.2015.0776.
3
Peri-ictal water drinking and other ictal vegetative symptoms: Localizing and lateralizing the epileptogenic zone in temporal lobe epilepsy? Two case reports and review of the literature.发作期饮水和其他发作期植物神经症状:能定位和定侧颞叶癫痫的致痫区吗?两例报告及文献复习
Rev Neurol (Paris). 2013 Nov;169(11):903-10. doi: 10.1016/j.neurol.2013.06.005. Epub 2013 Oct 15.
4
Peri-ictal Water Drinking in an Omani Patient with Bilateral Mesial Temporal Sclerosis.奥曼患者双侧颞叶内侧硬化症发作间期饮水
Sultan Qaboos Univ Med J. 2024 May;24(2):279-282. doi: 10.18295/squmj.5.2023.038. Epub 2024 May 27.
5
Unilateral temporal interictal epileptiform discharges correctly predict the epileptogenic zone in lesional temporal lobe epilepsy.单侧颞叶间期癫痫样放电可正确预测病变性颞叶癫痫的致痫区。
Epilepsia. 2018 Aug;59(8):1577-1582. doi: 10.1111/epi.14514. Epub 2018 Jul 15.
6
Ictal stereo-electroencephalography onset patterns of mesial temporal lobe epilepsy and their clinical implications.内侧颞叶癫痫的发作期立体脑电图起始模式及其临床意义。
Clin Neurophysiol. 2020 Sep;131(9):2079-2085. doi: 10.1016/j.clinph.2020.05.033. Epub 2020 Jun 24.
7
[Peri-ictal SPECT in temporal lobe epilepsy: post-surgical evaluation].[颞叶癫痫发作期单光子发射计算机断层扫描:术后评估]
Rev Esp Med Nucl. 2009 Mar-Apr;28(2):56-62.
8
Intracranial ictal onset zone in nonlesional lateral temporal lobe epilepsy on scalp ictal EEG.头皮发作期脑电图显示的非病变性外侧颞叶癫痫的颅内发作起始区
Neurology. 2003 Sep 23;61(6):757-64. doi: 10.1212/01.wnl.0000086377.94037.80.
9
Intracranial localisation of ictal urinary urge epileptogenic zone to the non-dominant temporal lobe.致痫灶位于非优势颞叶的发作性尿急的颅内定位。
Epileptic Disord. 2011 Dec;13(4):430-4. doi: 10.1684/epd.2011.0476.
10
Periictal water drinking revisited: Occurrence and lateralizing value in surgically confirmed patients with focal epilepsy.再次探讨发作间期饮水:手术确诊的局灶性癫痫患者中的发生和定位价值。
Epilepsia Open. 2023 Mar;8(1):173-182. doi: 10.1002/epi4.12690. Epub 2023 Jan 29.

引用本文的文献

1
Peri-ictal Water Drinking in an Omani Patient with Bilateral Mesial Temporal Sclerosis.奥曼患者双侧颞叶内侧硬化症发作间期饮水
Sultan Qaboos Univ Med J. 2024 May;24(2):279-282. doi: 10.18295/squmj.5.2023.038. Epub 2024 May 27.

本文引用的文献

1
Recurrent focal seizures as a feature of status epilepticus presenting as a peri-ictal water drinking.反复局灶性癫痫发作作为癫痫持续状态的一个特征,表现为发作间期饮水。
Epilepsy Behav Case Rep. 2018 Oct 9;10:129-132. doi: 10.1016/j.ebcr.2018.09.004. eCollection 2018.
2
Occurrence and lateralizing value of "rare" peri-ictal vegetative symptoms in temporal lobe epilepsy.颞叶癫痫中“罕见”发作期植物神经症状的发生及定位价值。
Epilepsy Behav. 2010 Nov;19(3):372-5. doi: 10.1016/j.yebeh.2010.07.010. Epub 2010 Aug 25.
3
Peri-ictal water drinking in temporal lobe epilepsy: Is it a reliable lateralizing sign?
颞叶癫痫发作期饮水:它是一个可靠的定位体征吗?
Epilepsy Behav. 2007 Dec;11(4):578-81. doi: 10.1016/j.yebeh.2007.07.012. Epub 2007 Oct 1.
4
Peri-ictal vegetative symptoms in temporal lobe epilepsy.颞叶癫痫发作期的植物神经症状
Epilepsy Behav. 2007 Aug;11(1):125-9. doi: 10.1016/j.yebeh.2007.04.015. Epub 2007 Jun 20.
5
Peri-ictal water drinking lateralizes seizure onset to the nondominant temporal lobe.发作期饮水可使癫痫发作起始定侧于非优势颞叶。
Neurology. 2003 Mar 11;60(5):873-6. doi: 10.1212/01.wnl.0000049459.83589.6c.
6
Correlation of regional cerebral blood flow and change of plasma sodium concentration during genesis and satiation of thirst.口渴产生与缓解过程中局部脑血流量与血浆钠浓度变化的相关性
Proc Natl Acad Sci U S A. 1999 Mar 2;96(5):2532-7. doi: 10.1073/pnas.96.5.2532.
7
Hypothalamic integration of body fluid regulation.下丘脑对体液调节的整合
Proc Natl Acad Sci U S A. 1996 Jul 9;93(14):7397-404. doi: 10.1073/pnas.93.14.7397.
8
Effects of septal stimulation on drinking elicited by electrical stimulation of the lateral hypothalamus.中隔刺激对下丘脑外侧区电刺激诱发饮水的影响。
Exp Neurol. 1971 Sep;32(3):466-77. doi: 10.1016/0014-4886(71)90012-4.