• 文献检索
  • 文档翻译
  • 深度研究
  • 学术资讯
  • Suppr Zotero 插件Zotero 插件
  • 邀请有礼
  • 套餐&价格
  • 历史记录
应用&插件
Suppr Zotero 插件Zotero 插件浏览器插件Mac 客户端Windows 客户端微信小程序
定价
高级版会员购买积分包购买API积分包
服务
文献检索文档翻译深度研究API 文档MCP 服务
关于我们
关于 Suppr公司介绍联系我们用户协议隐私条款
关注我们

Suppr 超能文献

核心技术专利:CN118964589B侵权必究
粤ICP备2023148730 号-1Suppr @ 2026

文献检索

告别复杂PubMed语法,用中文像聊天一样搜索,搜遍4000万医学文献。AI智能推荐,让科研检索更轻松。

立即免费搜索

文件翻译

保留排版,准确专业,支持PDF/Word/PPT等文件格式,支持 12+语言互译。

免费翻译文档

深度研究

AI帮你快速写综述,25分钟生成高质量综述,智能提取关键信息,辅助科研写作。

立即免费体验

奥曼患者双侧颞叶内侧硬化症发作间期饮水

Peri-ictal Water Drinking in an Omani Patient with Bilateral Mesial Temporal Sclerosis.

机构信息

Department of Human Clinical Anatomy, Sultan Qaboos University, Muscat, Oman.

Department of Medicine, Sultan Qaboos University Hospital, Sultan Qaboos University, Muscat, Oman.

出版信息

Sultan Qaboos Univ Med J. 2024 May;24(2):279-282. doi: 10.18295/squmj.5.2023.038. Epub 2024 May 27.

DOI:10.18295/squmj.5.2023.038
PMID:38828239
原文链接:https://pmc.ncbi.nlm.nih.gov/articles/PMC11139365/
Abstract

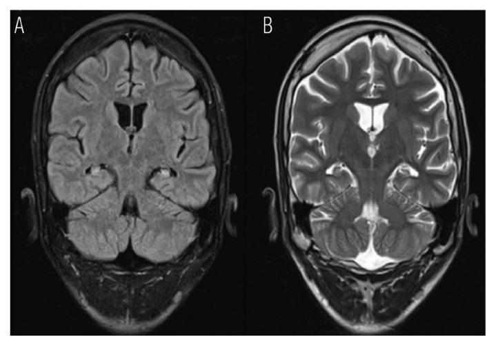
Peri-ictal water drinking (PIWD) is a rare vegetative manifestation of temporal lobe epilepsy without a definite lateralisation value. We report a case of PIWD in a 22-year-old Omani male patient with post-concussion syndrome and epilepsy presented to a tertiary care hospital in Muscat, Oman, in 2021 for evaluation of paroxysmal events. His behaviour of PIWD was misinterpreted by his family until characterised in the epilepsy-monitoring unit as a manifestation of epilepsy that was treated medically. To the best of the authors' knowledge, this is the second reported case in the region.

摘要

发作间期饮水(PIWD)是一种罕见的无明确侧化价值的颞叶癫痫的植物状态表现。我们报告了 2021 年在阿曼马斯喀特的一家三级护理医院就诊的 1 例有脑震荡后综合征和癫痫的 22 岁阿曼男性患者的 PIWD 病例,以评估阵发性事件。他的发作间期饮水行为被家人误解,直到在癫痫监测单元被确定为癫痫的一种表现形式,并接受了药物治疗。据作者所知,这是该地区的第二例报告病例。

https://cdn.ncbi.nlm.nih.gov/pmc/blobs/9a27/11139365/5cbbda5774e0/squmj2405-279-282f2.jpg
https://cdn.ncbi.nlm.nih.gov/pmc/blobs/9a27/11139365/614ddcd163f1/squmj2405-279-282f1.jpg
https://cdn.ncbi.nlm.nih.gov/pmc/blobs/9a27/11139365/5cbbda5774e0/squmj2405-279-282f2.jpg
https://cdn.ncbi.nlm.nih.gov/pmc/blobs/9a27/11139365/614ddcd163f1/squmj2405-279-282f1.jpg
https://cdn.ncbi.nlm.nih.gov/pmc/blobs/9a27/11139365/5cbbda5774e0/squmj2405-279-282f2.jpg

相似文献

1
Peri-ictal Water Drinking in an Omani Patient with Bilateral Mesial Temporal Sclerosis.奥曼患者双侧颞叶内侧硬化症发作间期饮水
Sultan Qaboos Univ Med J. 2024 May;24(2):279-282. doi: 10.18295/squmj.5.2023.038. Epub 2024 May 27.
2
Peri-ictal water drinking: a rare automatic behaviour in temporal lobe epilepsy.发作期饮水:颞叶癫痫中一种罕见的自动行为。
Epileptic Disord. 2015 Dec;17(4):384-96. doi: 10.1684/epd.2015.0776.
3
Peri-ictal water drinking and other ictal vegetative symptoms: Localizing and lateralizing the epileptogenic zone in temporal lobe epilepsy? Two case reports and review of the literature.发作期饮水和其他发作期植物神经症状:能定位和定侧颞叶癫痫的致痫区吗?两例报告及文献复习
Rev Neurol (Paris). 2013 Nov;169(11):903-10. doi: 10.1016/j.neurol.2013.06.005. Epub 2013 Oct 15.
4
A Young man with Peri-ictal water drinking.一位发作间期饮水的年轻男性。
Neurosciences (Riyadh). 2021 Jan;26(1):85-88. doi: 10.17712/nsj.2021.1.20200074.
5
Ictal spitting in left temporal lobe epilepsy: report of three cases.左颞叶癫痫发作时吐痰:三例报告
Seizure. 2006 Sep;15(6):462-7. doi: 10.1016/j.seizure.2006.05.009. Epub 2006 Aug 8.
6
Temporal lobe surgery in medically refractory epilepsy: a comparison between populations based on MRI findings.MRI 所见指导下的药物难治性癫痫的颞叶切除术:基于人群的比较。
Seizure. 2014 Jan;23(1):20-4. doi: 10.1016/j.seizure.2013.09.004. Epub 2013 Sep 12.
7
Is inpatient ictal video-electroencephalographic monitoring mandatory in mesial temporal lobe epilepsy with unilateral hippocampal sclerosis? A prospective study.是否有必要对单侧海马硬化性内侧颞叶癫痫患者进行住院发作期视频-脑电图监测?一项前瞻性研究。
Epilepsia. 2018 Feb;59(2):410-419. doi: 10.1111/epi.13977. Epub 2017 Dec 13.
8
Occurrence and lateralizing value of "rare" peri-ictal vegetative symptoms in temporal lobe epilepsy.颞叶癫痫中“罕见”发作期植物神经症状的发生及定位价值。
Epilepsy Behav. 2010 Nov;19(3):372-5. doi: 10.1016/j.yebeh.2010.07.010. Epub 2010 Aug 25.
9
A quadruple examination of ictal EEG patterns in mesial temporal lobe epilepsy with hippocampal sclerosis: onset, propagation, later significant pattern, and termination.内侧颞叶癫痫伴海马硬化的发作期 EEG 模式的四重检查:起始、传播、后期显著模式和终止。
J Clin Neurophysiol. 2013 Aug;30(4):329-38. doi: 10.1097/WNP.0b013e31829d7482.
10
Intracranial electrographic analysis of preictal spiking and ictal onset in uni- and bitemporal epilepsy.单颞叶和双颞叶癫痫发作前棘波和发作起始的颅内电图分析。
Epileptic Disord. 2015 Jun;17(2):156-64. doi: 10.1684/epd.2015.0748.

本文引用的文献

1
Periictal water drinking revisited: Occurrence and lateralizing value in surgically confirmed patients with focal epilepsy.再次探讨发作间期饮水:手术确诊的局灶性癫痫患者中的发生和定位价值。
Epilepsia Open. 2023 Mar;8(1):173-182. doi: 10.1002/epi4.12690. Epub 2023 Jan 29.
2
A Young man with Peri-ictal water drinking.一位发作间期饮水的年轻男性。
Neurosciences (Riyadh). 2021 Jan;26(1):85-88. doi: 10.17712/nsj.2021.1.20200074.
3
Epidemiology and pathophysiology of autonomic seizures: a systematic review.自主神经性癫痫的流行病学和病理生理学:系统评价。
Clin Auton Res. 2019 Apr;29(2):137-150. doi: 10.1007/s10286-019-00596-x. Epub 2019 Feb 25.
4
Recurrent focal seizures as a feature of status epilepticus presenting as a peri-ictal water drinking.反复局灶性癫痫发作作为癫痫持续状态的一个特征,表现为发作间期饮水。
Epilepsy Behav Case Rep. 2018 Oct 9;10:129-132. doi: 10.1016/j.ebcr.2018.09.004. eCollection 2018.
5
Ictal spitting in non-dominant temporal lobe epilepsy: an anatomo-electrophysiological correlation.
Epileptic Disord. 2018 Apr 1;20(2):139-145. doi: 10.1684/epd.2018.0963.
6
Peri-ictal water drinking: a rare automatic behaviour in temporal lobe epilepsy.发作期饮水:颞叶癫痫中一种罕见的自动行为。
Epileptic Disord. 2015 Dec;17(4):384-96. doi: 10.1684/epd.2015.0776.
7
Occurrence and lateralizing value of "rare" peri-ictal vegetative symptoms in temporal lobe epilepsy.颞叶癫痫中“罕见”发作期植物神经症状的发生及定位价值。
Epilepsy Behav. 2010 Nov;19(3):372-5. doi: 10.1016/j.yebeh.2010.07.010. Epub 2010 Aug 25.
8
Peri-ictal water drinking in temporal lobe epilepsy: Is it a reliable lateralizing sign?颞叶癫痫发作期饮水:它是一个可靠的定位体征吗?
Epilepsy Behav. 2007 Dec;11(4):578-81. doi: 10.1016/j.yebeh.2007.07.012. Epub 2007 Oct 1.
9
Peri-ictal vegetative symptoms in temporal lobe epilepsy.颞叶癫痫发作期的植物神经症状
Epilepsy Behav. 2007 Aug;11(1):125-9. doi: 10.1016/j.yebeh.2007.04.015. Epub 2007 Jun 20.
10
Autonomic symptoms during childhood partial epileptic seizures.儿童部分性癫痫发作期间的自主神经症状。
Epilepsia. 2006 Mar;47(3):584-8. doi: 10.1111/j.1528-1167.2006.00472.x.