Suppr超能文献

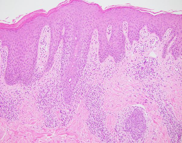
Acceleration of cutaneous T-cell lymphoma following dupilumab administration.

作者信息

Russomanno Kristen, Carver DeKlotz Cynthia Marie

机构信息

Department of Dermatology, Medstar Washington Hospital Center/Georgetown University Hospital, Chevy Chase, Maryland.

Department of Internal Medicine, Medstar Washington Hospital Center, Washington, DC.

出版信息

JAAD Case Rep. 2020 Dec 17;8:83-85. doi: 10.1016/j.jdcr.2020.12.010. eCollection 2021 Feb.

Abstract
摘要
https://cdn.ncbi.nlm.nih.gov/pmc/blobs/03b5/7829113/4557d6c8ecfe/gr1.jpg

文献检索

告别复杂PubMed语法,用中文像聊天一样搜索,搜遍4000万医学文献。AI智能推荐,让科研检索更轻松。

立即免费搜索

文件翻译

保留排版,准确专业,支持PDF/Word/PPT等文件格式,支持 12+语言互译。

免费翻译文档

深度研究

AI帮你快速写综述,25分钟生成高质量综述,智能提取关键信息,辅助科研写作。

立即免费体验