Suppr超能文献

桡动脉内部分脱套支架的卡压:有解决办法吗?

Entrapment of a Partially Degloved Stent in the Radial Artery: is there Any Way Out?

作者信息

Yousif Nooraldaem, Noor Husam A

机构信息

Mohammed Bin Khalifa Cardiac Centre (MKCC) Riffa, Bahrain.

出版信息

J Saudi Heart Assoc. 2020 Dec 28;32(4):458-461. doi: 10.37616/2212-5043.1229. eCollection 2020.

Abstract

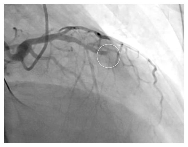
Stent loss during percutaneous coronary intervention (PCI) is uncommon but may lead to serious adverse events. Here we describe a challenging case of stent loss in the radial artery during primary PCI. There, a long stent failed to cross the culprit lesion, and an attempt to pull back the undeployed stent into the guiding catheter resulted in eversion of the stent, partially stripping it off the stent balloon and rendering the stent irretrievable. Retrieval of the stent at all costs might have led to major complications; hence stent deployment in the radial artery bailed us out of this precarious situation.

摘要

经皮冠状动脉介入治疗(PCI)期间支架丢失并不常见,但可能导致严重不良事件。在此,我们描述一例在初次PCI期间桡动脉发生支架丢失的具有挑战性的病例。在该病例中,一个长支架未能通过罪犯病变,试图将未展开的支架拉回到引导导管时导致支架翻转,部分从支架球囊上剥离,使支架无法取回。不惜一切代价取回支架可能会导致严重并发症;因此,在桡动脉中部署支架使我们摆脱了这种危险的情况。

https://cdn.ncbi.nlm.nih.gov/pmc/blobs/a89e/7849840/f8072832e80f/sha-32-04-458-g001.jpg

文献检索

告别复杂PubMed语法,用中文像聊天一样搜索,搜遍4000万医学文献。AI智能推荐,让科研检索更轻松。

立即免费搜索

文件翻译

保留排版,准确专业,支持PDF/Word/PPT等文件格式,支持 12+语言互译。

免费翻译文档

深度研究

AI帮你快速写综述,25分钟生成高质量综述,智能提取关键信息,辅助科研写作。

立即免费体验