• 文献检索
  • 文档翻译
  • 深度研究
  • 学术资讯
  • Suppr Zotero 插件Zotero 插件
  • 邀请有礼
  • 套餐&价格
  • 历史记录
应用&插件
Suppr Zotero 插件Zotero 插件浏览器插件Mac 客户端Windows 客户端微信小程序
定价
高级版会员购买积分包购买API积分包
服务
文献检索文档翻译深度研究API 文档MCP 服务
关于我们
关于 Suppr公司介绍联系我们用户协议隐私条款
关注我们

Suppr 超能文献

核心技术专利:CN118964589B侵权必究
粤ICP备2023148730 号-1Suppr @ 2026

文献检索

告别复杂PubMed语法,用中文像聊天一样搜索,搜遍4000万医学文献。AI智能推荐,让科研检索更轻松。

立即免费搜索

文件翻译

保留排版,准确专业,支持PDF/Word/PPT等文件格式,支持 12+语言互译。

免费翻译文档

深度研究

AI帮你快速写综述,25分钟生成高质量综述,智能提取关键信息,辅助科研写作。

立即免费体验

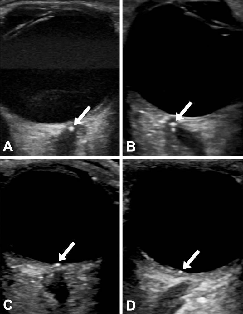
经瞳孔超声检查在老年患者眼部急性动脉阻塞中的应用:“点征”的诊断价值。

Transocular sonography in acute arterial occlusions of the eye in elderly patients: Diagnostic value of the spot sign.

机构信息

Division of Vascular Medicine, Medizinische Klinik und Poliklinik IV, Klinikum der Universität München, LMU München, Munich, Germany.

Department of Ophthalmology, Klinikum der Universität München, LMU München, Munich, Germany.

出版信息

PLoS One. 2021 Feb 12;16(2):e0247072. doi: 10.1371/journal.pone.0247072. eCollection 2021.

DOI:10.1371/journal.pone.0247072
PMID:33577572
原文链接:https://pmc.ncbi.nlm.nih.gov/articles/PMC7880485/
Abstract

PURPOSE

To characterize the diagnostic yield of the spot sign in the diagnostic workup of acute arterial occlusions of the eye in elderly patients.

METHODS

Clinical characteristics of consecutive patients aged ≥ 50 years with acute central retinal artery occlusion (CRAO), branch retinal artery occlusion (BRAO) or anterior ischemic optic neuropathy (AION) were recorded. Videos of transocular sonography were assessed for the presence of the spot sign by two blinded readers. Group comparisons were made between CRAO-patients with and without the spot sign. Two experienced cardiovascular physicians allocated CRAO-cases to a presumed aetiology, without and with knowledge on the presence/absence of the spot sign.

RESULTS

One-hundred-twenty-three patients were included, 46 of whom suffered from CRAO. A spot sign was seen in 32 of 46 of patients with CRAO and in 7 of 23 patients with BRAO. Interobserver agreement was excellent (Cohen`s kappa 0.98). CRAO-patients with the spot sign significantly more frequently had a medical history of cardiovascular disease (62.8 vs. 21.4%, p = 0.03) and left heart valve pathologies (51.9 vs. 10%, p = 0.03). The spot sign was not found in any of the three patients with CRAO secondary to cranial giant cell arteritis. The assumed CRAO aetiology differed in 37% of cases between two cardiovascular physicians, regardless whether transocular sonography findings were known or not.

CONCLUSION

The spot sign is a simple sonographic finding with excellent interobserver agreement, which proofs the embolic nature of CRAO, but does not allow exact attribution of the underlying aetiology.

摘要

目的

描述老年患者急性眼部动脉闭塞性病变中斑点征的诊断价值。

方法

记录了连续就诊的≥50 岁的急性中央视网膜动脉阻塞(CRAO)、分支视网膜动脉阻塞(BRAO)或前部缺血性视神经病变(AION)患者的临床特征。两名盲法读者评估经眼超声视频中斑点征的存在情况。比较 CRAO 患者中斑点征阳性和阴性患者的组间差异。两名经验丰富的心血管医师在不知道和知道斑点征的情况下,将 CRAO 病例分配为假定病因。

结果

共纳入 123 例患者,其中 46 例患有 CRAO。32/46 例 CRAO 患者和 7/23 例 BRAO 患者存在斑点征。观察者间一致性极好(Cohen`s kappa 0.98)。斑点征阳性的 CRAO 患者更常患有心血管疾病病史(62.8% vs. 21.4%,p = 0.03)和左心瓣膜病变(51.9% vs. 10%,p = 0.03)。斑点征在 3 例因颅 giant cell arteritis 引起的 CRAO 患者中均未发现。两名心血管医师在不知道或知道经眼超声检查结果的情况下,有 37%的病例假设的 CRAO 病因不同。

结论

斑点征是一种简单的超声表现,具有极好的观察者间一致性,证实了 CRAO 的栓塞性质,但不能准确归因于潜在病因。

https://cdn.ncbi.nlm.nih.gov/pmc/blobs/6e7b/7880485/04c7579224d5/pone.0247072.g003.jpg
https://cdn.ncbi.nlm.nih.gov/pmc/blobs/6e7b/7880485/b3344c1e4a9a/pone.0247072.g001.jpg
https://cdn.ncbi.nlm.nih.gov/pmc/blobs/6e7b/7880485/466dfe10f536/pone.0247072.g002.jpg
https://cdn.ncbi.nlm.nih.gov/pmc/blobs/6e7b/7880485/04c7579224d5/pone.0247072.g003.jpg
https://cdn.ncbi.nlm.nih.gov/pmc/blobs/6e7b/7880485/b3344c1e4a9a/pone.0247072.g001.jpg
https://cdn.ncbi.nlm.nih.gov/pmc/blobs/6e7b/7880485/466dfe10f536/pone.0247072.g002.jpg
https://cdn.ncbi.nlm.nih.gov/pmc/blobs/6e7b/7880485/04c7579224d5/pone.0247072.g003.jpg

相似文献

1
Transocular sonography in acute arterial occlusions of the eye in elderly patients: Diagnostic value of the spot sign.经瞳孔超声检查在老年患者眼部急性动脉阻塞中的应用:“点征”的诊断价值。
PLoS One. 2021 Feb 12;16(2):e0247072. doi: 10.1371/journal.pone.0247072. eCollection 2021.
2
The retrobulbar "spot sign" as a discriminator between vasculitic and thrombo-embolic affections of the retinal blood supply.球后“斑点征”可作为视网膜血供的血管炎和血栓栓塞性病变的鉴别标志。
Ultraschall Med. 2012 Dec;33(7):E263-E267. doi: 10.1055/s-0032-1312925. Epub 2012 Sep 21.
3
Retrobulbar Spot Sign Predicts Thrombolytic Treatment Effects and Etiology in Central Retinal Artery Occlusion.球后斑点征可预测视网膜中央动脉阻塞的溶栓治疗效果及病因
Stroke. 2015 Aug;46(8):2322-4. doi: 10.1161/STROKEAHA.115.009839. Epub 2015 Jun 25.
4
Retrobulbar Spot Sign in Metachronous Bilateral Central Retinal Artery Occlusion of Cardioembolic Origin.心源性栓塞所致异时性双侧视网膜中央动脉阻塞中的球后斑点征
J Neuroophthalmol. 2021 Mar 1;41(1):e105-e106. doi: 10.1097/WNO.0000000000000956.
5
[Diagnostic work-up in central retinal artery occlusion and ischemic optic neuropathy - what is important?].[视网膜中央动脉阻塞和缺血性视神经病变的诊断检查——重点是什么?]
Dtsch Med Wochenschr. 2020 Aug;145(16):1112-1117. doi: 10.1055/a-1010-2039. Epub 2020 Aug 13.
6
A traveling "spot sign" in recurrent amaurosis fugax and central retinal artery occlusion.复发性一过性黑矇和视网膜中央动脉阻塞中的移动性“斑点征”
J Stroke Cerebrovasc Dis. 2014 Oct;23(9):e421-2. doi: 10.1016/j.jstrokecerebrovasdis.2014.05.001. Epub 2014 Jun 21.
7
Scanning laser polarimetry of the retinal nerve fiber layer in central retinal artery occlusion.视网膜中央动脉阻塞时视网膜神经纤维层的扫描激光偏振imetry。 (注:“polarimetry”常见释义为“偏振测定法” ,这里根据语境可能是特定医学检测技术名称,暂保留英文)
Ophthalmology. 2003 Apr;110(4):715-8. doi: 10.1016/S0161-6420(02)01977-2.
8
Low endogenous recanalization in embolic central retinal artery occlusion--the retrobulbar "spot sign".栓塞性视网膜中央动脉阻塞时内源性再通率低——球后“斑点征”
J Neuroimaging. 2015 Mar-Apr;25(2):251-256. doi: 10.1111/jon.12112. Epub 2014 Mar 19.
9
Systemic diseases in non-inflammatory branch and central retinal artery occlusion--an overview of 416 patients.非炎性分支及视网膜中央动脉阻塞中的全身性疾病——416例患者的概述
Eur J Med Res. 2007 Dec 14;12(12):595-603.
10
OCULAR ARTERIAL OCCLUSIVE DISORDERS AND CAROTID ARTERY DISEASE.眼部动脉阻塞性疾病与颈动脉疾病
Ophthalmol Retina. 2017 Jan-Feb;1(1):12-18. doi: 10.1016/j.oret.2016.08.003.

引用本文的文献

1
Central retinal artery occlusion or retinal stroke: a neurosonologist's perspective.视网膜中央动脉阻塞或视网膜中风:神经超声专家的观点
Front Neurol. 2024 Jun 10;15:1397751. doi: 10.3389/fneur.2024.1397751. eCollection 2024.
2
Giant-cell arteritis related strokes: scoping review of mechanisms and rethinking treatment strategy?巨细胞动脉炎相关卒中:机制的范围综述及治疗策略的重新思考?
Front Neurol. 2023 Dec 7;14:1305093. doi: 10.3389/fneur.2023.1305093. eCollection 2023.
3
Imaging in diagnosis, monitoring and outcome prediction of large vessel vasculitis: a systematic literature review and meta-analysis informing the 2023 update of the EULAR recommendations.

本文引用的文献

1
Outcomes Associated With Clopidogrel-Aspirin Use in Minor Stroke or Transient Ischemic Attack: A Pooled Analysis of Clopidogrel in High-Risk Patients With Acute Non-Disabling Cerebrovascular Events (CHANCE) and Platelet-Oriented Inhibition in New TIA and Minor Ischemic Stroke (POINT) Trials.氯吡格雷联合阿司匹林用于轻度卒中或短暂性脑缺血发作的疗效:氯吡格雷用于急性非致残性脑血管事件高危患者(CHANCE)及新发性短暂性脑缺血发作和轻度缺血性卒中血小板靶向抑制(POINT)试验的汇总分析
JAMA Neurol. 2019 Dec 1;76(12):1466-1473. doi: 10.1001/jamaneurol.2019.2531.
2
Using the Retrobulbar Spot Sign to Assist in Diagnosis and Management of Central Retinal Artery Occlusions.应用球后血斑征辅助诊断和管理视网膜中央动脉阻塞。
J Ultrasound Med. 2020 Jan;39(1):197-202. doi: 10.1002/jum.15073. Epub 2019 Jun 22.
3
大血管血管炎的诊断、监测和预后评估中的影像学:系统文献回顾和荟萃分析,为 2023 年 EULAR 建议更新提供信息。
RMD Open. 2023 Aug;9(3). doi: 10.1136/rmdopen-2023-003379.
4
Point-of-care ultrasound in the detection of central retinal artery occlusion in a patient with recent COVID-19.即时超声检查在一名近期感染新型冠状病毒肺炎患者视网膜中央动脉阻塞检测中的应用
J Am Coll Emerg Physicians Open. 2022 Nov 14;3(6):e12842. doi: 10.1002/emp2.12842. eCollection 2022 Dec.
5
Inner Retinal Layer Hyperreflectivity Is an Early Biomarker for Acute Central Retinal Artery Occlusion.视网膜内层高反射性是急性视网膜中央动脉阻塞的早期生物标志物。
Front Med (Lausanne). 2022 Jul 6;9:854288. doi: 10.3389/fmed.2022.854288. eCollection 2022.
6
Ultrasound Technologies and the Diagnosis of Giant Cell Arteritis.超声技术与巨细胞动脉炎的诊断
Biomedicines. 2021 Nov 30;9(12):1801. doi: 10.3390/biomedicines9121801.
7
Detection of Central Retinal Artery Occlusion by Point-of-Care Ultrasound in the Emergency Department: A Case Series.急诊科即时超声检测视网膜中央动脉阻塞:病例系列
Cureus. 2021 Jul 3;13(7):e16142. doi: 10.7759/cureus.16142. eCollection 2021 Jul.
Stroke Risk Before and After Central Retinal Artery Occlusion in a US Cohort.美国队列研究中视网膜中央动脉阻塞前后的卒中风险。
Mayo Clin Proc. 2019 Feb;94(2):236-241. doi: 10.1016/j.mayocp.2018.10.018.
4
Reading aids for adults with low vision.针对视力低下成年人的阅读辅助工具。
Cochrane Database Syst Rev. 2018 Apr 17;4(4):CD003303. doi: 10.1002/14651858.CD003303.pub4.
5
Atherosclerosis as a potential pitfall in the diagnosis of giant cell arteritis.动脉粥样硬化在巨细胞动脉炎诊断中的潜在陷阱。
Rheumatology (Oxford). 2018 Feb 1;57(2):318-321. doi: 10.1093/rheumatology/kex381.
6
Ultrasound cut-off values for intima-media thickness of temporal, facial and axillary arteries in giant cell arteritis.巨细胞动脉炎中颞动脉、面动脉和腋动脉内膜中层厚度的超声截断值。
Rheumatology (Oxford). 2017 Sep 1;56(9):1632. doi: 10.1093/rheumatology/kex289.
7
Atrial fibrillation in retinal vascular occlusion disease and non-arteritic anterior ischemic optic neuropathy.视网膜血管阻塞性疾病和非动脉炎性前部缺血性视神经病变中的心房颤动。
PLoS One. 2017 Aug 3;12(8):e0181766. doi: 10.1371/journal.pone.0181766. eCollection 2017.
8
Visual loss and other cranial ischaemic complications in giant cell arteritis.巨细胞动脉炎所致视力丧失和其他颅缺血性并发症。
Nat Rev Rheumatol. 2017 Aug;13(8):476-484. doi: 10.1038/nrrheum.2017.98. Epub 2017 Jul 6.
9
Risk and Risk Periods for Stroke and Acute Myocardial Infarction in Patients with Central Retinal Artery Occlusion.中央视网膜动脉阻塞患者的中风和急性心肌梗死的风险和风险期。
Ophthalmology. 2015 Nov;122(11):2336-2343.e2. doi: 10.1016/j.ophtha.2015.07.018. Epub 2015 Aug 19.
10
Retrobulbar Spot Sign Predicts Thrombolytic Treatment Effects and Etiology in Central Retinal Artery Occlusion.球后斑点征可预测视网膜中央动脉阻塞的溶栓治疗效果及病因
Stroke. 2015 Aug;46(8):2322-4. doi: 10.1161/STROKEAHA.115.009839. Epub 2015 Jun 25.