Suppr超能文献

锌和/或草药混合物对羔羊瘤胃发酵、微生物群和组织病理学的影响

Impact of Zinc and/or Herbal Mixture on Ruminal Fermentation, Microbiota, and Histopathology in Lambs.

作者信息

Petrič Daniel, Mravčáková Dominika, Kucková Katarína, Kišidayová Svetlana, Cieslak Adam, Szumacher-Strabel Malgorzata, Huang Haihao, Kolodziejski Pawel, Lukomska Anna, Slusarczyk Sylwester, Čobanová Klaudia, Váradyová Zora

机构信息

Institute of Animal Physiology, Centre of Biosciences of the Slovak Academy of Sciences, Košice, Slovakia.

Department of Animal Nutrition, Poznan University of Life Sciences, Poznan, Poland.

出版信息

Front Vet Sci. 2021 Jan 28;8:630971. doi: 10.3389/fvets.2021.630971. eCollection 2021.

Abstract

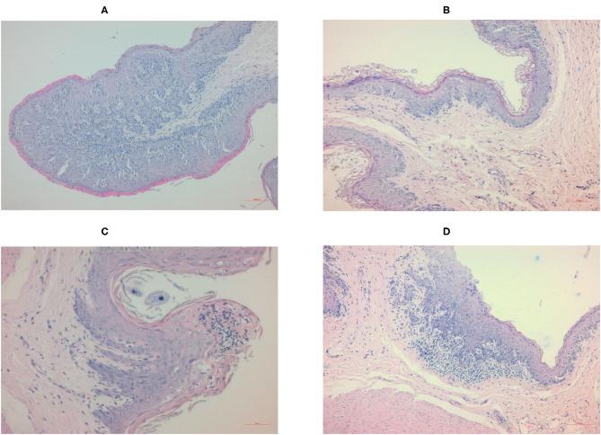
We investigated the effect of diets containing organic zinc and a mixture of medicinal herbs on ruminal microbial fermentation and histopathology in lambs. Twenty-eight lambs were divided into four groups: unsupplemented animals (Control), animals supplemented with organic zinc (Zn, 70 mg Zn/kg diet), animals supplemented with a mixture of dry medicinal herbs (Herbs, 100 g dry matter (DM)/d) and animals supplemented with both zinc and herbs (Zn+Herbs). Each lamb was fed a basal diet composed of meadow hay (700 g DM/d) and barley (300 g DM/d). The herbs L. (FO), L. (MS), L. (AA) and L. (MC) were mixed in equal proportions. The lambs were slaughtered after 70 d. The ruminal contents were used to determine the parameters of fermentation and and to quantify the microbes by molecular and microscopic methods. Samples of fresh ruminal tissue were used for histopathological evaluation. Quantitative analyses of the bioactive compounds in FO, MS, AA, and MC identified 3.961, 0.654, 6.482, and 12.084 g/kg DM phenolic acids and 12.211, 6.479, 0.349, and 2.442 g/kg DM flavonoids, respectively. The alkaloid content in FO was 6.015 g/kg DM. The diets affected the levels of total gas, methane and butyrate ( < 0.046, < 0.001, and < 0.001, respectively). Relative quantification by real-time PCR indicated a lower total ruminal bacterial population in the lambs in the Zn and Zn+Herbs groups than the Control group ( < 0.05). The relative abundances of , and shifted in the Zn group. Morphological observation found a focally mixed infiltration of inflammatory cells in the lamina propria of the rumen in the Zn+Herbs group. The effect of the organic zinc and the herbal mixture on the parameters of ruminal fermentation was not confirmed , perhaps because the ruminal microbiota of the lambs adapted to the zinc-supplemented diets. Long-term supplementation of a diet combining zinc and medicinal herbs, however, may negatively affect the health of the ruminal epithelium of lambs.

摘要

我们研究了含有机锌和药草混合物的日粮对羔羊瘤胃微生物发酵和组织病理学的影响。28只羔羊被分为四组:未补充组(对照组)、补充有机锌组(锌组,70毫克锌/千克日粮)、补充干药草混合物组(药草组,100克干物质/天)和同时补充锌和药草组(锌+药草组)。每只羔羊饲喂由草地干草(700克干物质/天)和大麦(300克干物质/天)组成的基础日粮。将药用植物L.(FO)、L.(MS)、L.(AA)和L.(MC)等比例混合。70天后宰杀羔羊。采集瘤胃内容物用于测定发酵参数和,并通过分子和显微镜方法对微生物进行定量。采集新鲜瘤胃组织样本用于组织病理学评估。对FO、MS、AA和MC中生物活性化合物的定量分析分别确定了3.961、0.654、6.482和12.084克/千克干物质的酚酸以及12.211、6.479、0.349和2.442克/千克干物质的黄酮类化合物。FO中的生物碱含量为6.015克/千克干物质。日粮影响了总气体、甲烷和丁酸水平(分别为P<0.046、P<0.001和P<0.001)。实时PCR相对定量表明,锌组和锌+药草组羔羊的瘤胃细菌总数低于对照组(P<0.05)。锌组中、和的相对丰度发生了变化。形态学观察发现锌+药草组瘤胃固有层有局灶性炎性细胞混合浸润。未证实有机锌和药草混合物对瘤胃发酵参数的影响,可能是因为羔羊的瘤胃微生物群适应了补充锌的日粮。然而,长期补充锌和药草组合的日粮可能会对羔羊瘤胃上皮的健康产生负面影响。

https://cdn.ncbi.nlm.nih.gov/pmc/blobs/944b/7876273/75a0c46506ee/fvets-08-630971-g0001.jpg

文献AI研究员

20分钟写一篇综述,助力文献阅读效率提升50倍。

立即体验

用中文搜PubMed

大模型驱动的PubMed中文搜索引擎

马上搜索

文档翻译

学术文献翻译模型,支持多种主流文档格式。

立即体验