Suppr超能文献

胃胃肠道间质瘤引起的胃十二指肠套叠:一例报告并文献复习

Gastroduodenal intussusception caused by gastric gastrointestinal stromal tumor: A case report and review of the literature.

作者信息

Hsieh Yi-Lun, Hsu Wen-Hung, Lee Ching-Chun, Wu Chun-Chieh, Wu Deng-Chyang, Wu Jeng-Yih

机构信息

Division of Gastroenterology, Department of Internal Medicine, Kaohsiung Medical University Hospital, Kaohsiung 807, Taiwan.

Division of Colorectal Surgery, Department of Surgery, Kaohsiung Medical University Hospital, Kaohsiung 807, Taiwan.

出版信息

World J Clin Cases. 2021 Feb 6;9(4):838-846. doi: 10.12998/wjcc.v9.i4.838.

Abstract

BACKGROUND

Gastric gastrointestinal stromal tumor (GIST) is the most common etiology of gastroduodenal intussusception. Although gastroduodenal intussusception caused by gastric GIST is mostly treated by surgical resection, the first case of gastroduodenal intussusception caused by gastric GIST was treated by endoscopic submucosal dissection (ESD) in Japan in 2017.

CASE SUMMARY

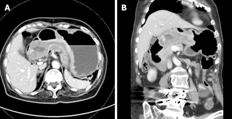
An 84-year-old woman presented with symptoms of postprandial fullness with nausea and occasional vomiting for a month. Initially, she visited a local clinic for help, where abdominal sonography revealed a space-occupying lesion around the liver, so she was referred to our hospital for further confirmation. Abdominal sonography was repeated, which revealed a mass with an alternating concentric echogenic lesion. Esophagogastroduodenoscopy (EGD) was performed under the initial impression of gastric cancer with central necrosis and showed a tortuous distortion of gastric folds down from the lesser curvature side to the duodenal bulb with stenosis of the gastric outlet. EGD was barely passed through to the 2nd portion of the duodenum and a friable ulcerated mass was found. Several differential diagnoses were suspected, including gastroduodenal intussusception, gastric cancer invasion to the duodenum, or pancreatic cancer with adherence to the gastric antrum and duodenum. Abdominal computed tomography for further evaluation was arranged and showed gastroduodenal intussusception with a long stalk polypoid mass 5.9 cm in the duodenal bulb. Under the impression of gastroduodenal intussusception, ESD was performed at the base of the gastroduodenal intussusception; unfortunately, a gastric perforation was found after complete resection was accomplished, so gastrorrhaphy was performed for the perforation and retrieval of the huge polypoid lesion. The gastric tumor was pathologically proved to be a GIST. After the operation, there was no digestive disturbance and the patient was discharged uneventfully on the 10th day following the operation.

CONCLUSION

We present the second case of gastroduodenal intussusception caused by GIST treated by ESD. It is also the first case report of gastroduodenal intussusception by GIST in Taiwan, and endoscopic reduction or resection is an alternative treatment for elderly patients who are not candidates for surgery.

摘要

背景

胃胃肠道间质瘤(GIST)是胃十二指肠套叠最常见的病因。虽然由胃GIST引起的胃十二指肠套叠大多通过手术切除治疗,但2017年在日本首例由胃GIST引起的胃十二指肠套叠采用内镜黏膜下剥离术(ESD)治疗。

病例摘要

一名84岁女性出现餐后饱胀、恶心及偶尔呕吐症状1个月。最初,她前往当地诊所求助,腹部超声检查发现肝脏周围有占位性病变,因此被转诊至我院进一步确诊。再次进行腹部超声检查,发现一个具有交替同心回声病变的肿块。在初步诊断为伴有中央坏死的胃癌的情况下进行了食管胃十二指肠镜检查(EGD),结果显示胃皱襞从胃小弯侧向十二指肠球部呈扭曲状向下延伸,胃出口狭窄。EGD勉强通过至十二指肠第二部,发现一个易碎的溃疡肿块。怀疑有多种鉴别诊断,包括胃十二指肠套叠、胃癌侵犯十二指肠或胰腺癌累及胃窦和十二指肠。安排了腹部计算机断层扫描进一步评估,结果显示胃十二指肠套叠,十二指肠球部有一个长蒂息肉样肿块,大小为5.9 cm。在胃十二指肠套叠的诊断下,在胃十二指肠套叠的基部进行了ESD;不幸的是,在完成完全切除后发现胃穿孔,因此对穿孔进行了胃缝合术并取出了巨大的息肉样病变。胃肿瘤经病理证实为GIST。术后无消化功能障碍,患者术后第10天顺利出院。

结论

我们报告了第二例采用ESD治疗的由GIST引起的胃十二指肠套叠病例。这也是台湾首例由GIST引起的胃十二指肠套叠病例报告,对于不适合手术的老年患者,内镜复位或切除是一种替代治疗方法。

https://cdn.ncbi.nlm.nih.gov/pmc/blobs/7488/7852652/75c523953129/WJCC-9-838-g001.jpg

文献AI研究员

20分钟写一篇综述,助力文献阅读效率提升50倍。

立即体验

用中文搜PubMed

大模型驱动的PubMed中文搜索引擎

马上搜索

文档翻译

学术文献翻译模型,支持多种主流文档格式。

立即体验