Department of Gastroenterology, Kobe City Nishi-Kobe Medical Center, Kobe, Hyogo, Japan.
Department of Gastroenterology, Kobe City Nishi-Kobe medical Center, Kobe, Hyogo, Japan.
Am J Case Rep. 2021 Feb 15;22:e928993. doi: 10.12659/AJCR.928993.
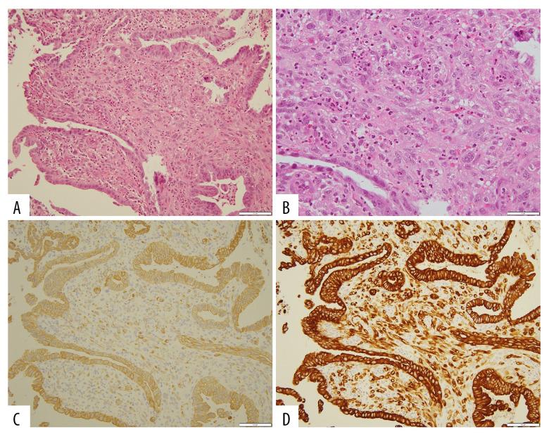
BACKGROUND Anaplastic carcinoma of the pancreas (ACP) is a rare type of cancer with an extremely poor prognosis. Hereditary pancreatitis is a rare autosomal-dominant disease. It progresses to chronic pancreatitis at a young age, increasing the risk of pancreatic cancer. CASE REPORT A 39-year-old woman was diagnosed with chronic pancreatitis at the age of 18 years. The patient was referred to our hospital for epigastralgia and jaundice. We identified a tumor mass at the head of the pancreas using contrast computed tomography (CT) and endoscopic ultrasound (EUS) of the abdomen. Tissue biopsy revealed ACP of the spindle cell type. We started the patient on combination chemotherapy using gemcitabine and nanoparticle albumin-bound (nab) -paclitaxel, but she died 1 month after her first visit. An autopsy revealed a mixture of tubular adenocarcinoma and anaplastic carcinoma. We performed genetic analysis using DNA samples from the biopsy tissues but did not find mutations in the PRSS1 and SPINK1 genes associated with hereditary pancreatitis. CONCLUSIONS The risk of pancreatic cancer generally increases in patients with hereditary pancreatitis after 50 years of age. However, in this case, the development of pancreatic cancer occurred at a younger age, suggesting the importance of early detection in such cases. Furthermore, this case suggests that EUS is a useful method for monitoring patients with hereditary pancreatitis and the diagnosis of ACP.
胰腺间变大细胞癌(ACP)是一种罕见的癌症类型,预后极差。遗传性胰腺炎是一种罕见的常染色体显性遗传疾病。它在年轻时进展为慢性胰腺炎,增加了胰腺癌的风险。
一名 39 岁女性在 18 岁时被诊断为慢性胰腺炎。患者因上腹痛和黄疸就诊于我院。我们通过腹部对比增强 CT(CT)和内镜超声(EUS)发现胰头部有一个肿瘤肿块。组织活检显示为梭形细胞型 ACP。我们开始为患者使用吉西他滨和纳米白蛋白结合紫杉醇(nab-紫杉醇)联合化疗,但她在首次就诊后 1 个月死亡。尸检显示为管状腺癌和间变大细胞癌的混合。我们使用活检组织的 DNA 样本进行了基因分析,但未发现与遗传性胰腺炎相关的 PRSS1 和 SPINK1 基因突变。
遗传性胰腺炎患者的胰腺癌风险通常在 50 岁后增加。然而,在本例中,胰腺癌发生在较年轻的年龄,提示在这种情况下早期检测的重要性。此外,该病例提示 EUS 是监测遗传性胰腺炎患者和诊断 ACP 的有用方法。