• 文献检索
  • 文档翻译
  • 深度研究
  • 学术资讯
  • Suppr Zotero 插件Zotero 插件
  • 邀请有礼
  • 套餐&价格
  • 历史记录
应用&插件
Suppr Zotero 插件Zotero 插件浏览器插件Mac 客户端Windows 客户端微信小程序
定价
高级版会员购买积分包购买API积分包
服务
文献检索文档翻译深度研究API 文档MCP 服务
关于我们
关于 Suppr公司介绍联系我们用户协议隐私条款
关注我们

Suppr 超能文献

核心技术专利:CN118964589B侵权必究
粤ICP备2023148730 号-1Suppr @ 2026

文献检索

告别复杂PubMed语法,用中文像聊天一样搜索,搜遍4000万医学文献。AI智能推荐,让科研检索更轻松。

立即免费搜索

文件翻译

保留排版,准确专业,支持PDF/Word/PPT等文件格式,支持 12+语言互译。

免费翻译文档

深度研究

AI帮你快速写综述,25分钟生成高质量综述,智能提取关键信息,辅助科研写作。

立即免费体验

巩膜扣带术后视网膜下液延迟吸收的多因素分析。

Multifactor analysis of delayed absorption of subretinal fluid after scleral buckling surgery.

机构信息

Department of Ophthalmology, The Second Xiangya Hospital, Central South University, Changsha, China.

Hunan Clinical Research Center of Ophthalmic Disease, Changsha, China.

出版信息

BMC Ophthalmol. 2021 Feb 15;21(1):86. doi: 10.1186/s12886-021-01853-2.

DOI:10.1186/s12886-021-01853-2
PMID:33588767
原文链接:https://pmc.ncbi.nlm.nih.gov/articles/PMC7885473/
Abstract

BACKGROUND

The purpose of this study is to assess the absorption of subretinal fluid (SRF) after scleral buckling (SB) surgery for the treatment of rhegmatogenous retinal detachment (RRD). We also examined related factors that may affect the delayed absorption of SRF.

METHODS

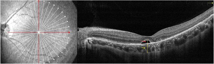
This retrospective study included patients who underwent successful SB surgery for the treatment of macula-off RRD and in which the retina was reattached after the surgery. The patients were categorized according to gender, duration, age, the number, and location of retinal breaks. Subfoveal choroidal thickness (SFCT), height of subretinal fluid (SRFH), and the choriocapillaris flow density (CCFD) within 3 × 3 mm macular fovea were included. Delayed absorption was determined by the SRF that remained unabsorbed for 3 months after the procedure. The endpoint was determined when the SRF could no longer be observed.

RESULTS

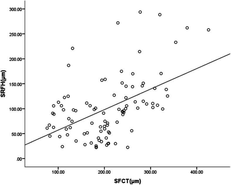
A total of 62 patients (63 eyes) were enrolled. In 35 eyes (56.45%) SRF was completely absorbed and in 28 (43.55%) eyes delayed absorption of SRF in macular areas was observed at 3 months after surgery. A young age (< 35 years), inferior retinal breaks were associated with good outcomes by applying multivariable analysis on the rate of SRF absorption after SB instead of gender, the number of breaks, and duration (p < 0.05). CCFD was significantly different between the SRF group and the non-SRF group after SB (0.66 ± 0.04% vs 0.63 ± 0.05%, P < 0.05). SRFH showed a moderate positive correlation with SFCT (r = 0.462, p = 0.000), however, using binary logistic regression analysis it was determined that SFCT was not related to the absorption of the SRF.

CONCLUSIONS

The absorption of SRF after SB may be correlated with choriocapillaris flow density. Age and location of breaks are significant factors affecting the absorption of SRF. The duration of disease is an uncertain factor due to several subjective reasons.

摘要

背景

本研究旨在评估巩膜扣带术(SB)治疗孔源性视网膜脱离(RRD)后视网膜下液(SRF)的吸收情况。我们还研究了可能影响 SRF 延迟吸收的相关因素。

方法

本回顾性研究纳入了接受 SB 手术成功治疗黄斑裂孔型 RRD 且术后视网膜复位的患者。根据性别、病程、年龄、视网膜裂孔数量和位置对患者进行分类。纳入黄斑中心凹 3×3mm 内的脉络膜厚度(SFCT)、视网膜下液高度(SRFH)和脉络膜毛细血管血流密度(CCFD)。术后 3 个月 SRF 仍未吸收定义为延迟吸收。当无法再观察到 SRF 时,确定终点。

结果

共纳入 62 例(63 只眼)患者。35 只眼(56.45%)的 SRF 完全吸收,28 只眼(43.55%)的 SRF 在术后 3 个月时仍在黄斑区延迟吸收。多变量分析显示,与 SB 术后 SRF 吸收率相关的因素是年龄(<35 岁)而非性别、裂孔数量和病程(p<0.05),下象限视网膜裂孔与 SRF 吸收良好相关。与非 SRF 组相比,SB 术后 SRF 组的 CCFD 显著不同(0.66±0.04% vs 0.63±0.05%,P<0.05)。SRFH 与 SFCT 呈中度正相关(r=0.462,p=0.000),但二元逻辑回归分析显示 SFCT 与 SRF 吸收无关。

结论

SB 术后 SRF 的吸收可能与脉络膜毛细血管血流密度有关。年龄和裂孔位置是影响 SRF 吸收的重要因素。病程是一个不确定的因素,这是由于几个主观原因。

https://cdn.ncbi.nlm.nih.gov/pmc/blobs/5847/7885473/b1127b59f412/12886_2021_1853_Fig3_HTML.jpg
https://cdn.ncbi.nlm.nih.gov/pmc/blobs/5847/7885473/d4db3e1a745d/12886_2021_1853_Fig1_HTML.jpg
https://cdn.ncbi.nlm.nih.gov/pmc/blobs/5847/7885473/af3a32db0a3a/12886_2021_1853_Fig2_HTML.jpg
https://cdn.ncbi.nlm.nih.gov/pmc/blobs/5847/7885473/b1127b59f412/12886_2021_1853_Fig3_HTML.jpg
https://cdn.ncbi.nlm.nih.gov/pmc/blobs/5847/7885473/d4db3e1a745d/12886_2021_1853_Fig1_HTML.jpg
https://cdn.ncbi.nlm.nih.gov/pmc/blobs/5847/7885473/af3a32db0a3a/12886_2021_1853_Fig2_HTML.jpg
https://cdn.ncbi.nlm.nih.gov/pmc/blobs/5847/7885473/b1127b59f412/12886_2021_1853_Fig3_HTML.jpg

相似文献

1
Multifactor analysis of delayed absorption of subretinal fluid after scleral buckling surgery.巩膜扣带术后视网膜下液延迟吸收的多因素分析。
BMC Ophthalmol. 2021 Feb 15;21(1):86. doi: 10.1186/s12886-021-01853-2.
2
Effect of High Myopia on Delayed Absorption of Subretinal Fluid after Scleral Buckling Surgery.高度近视对巩膜扣带术后视网膜下液延迟吸收的影响。
J Clin Med. 2022 Jul 5;11(13):3906. doi: 10.3390/jcm11133906.
3
Spectral-domain optical coherence tomography analysis of persistent subretinal fluid after scleral buckling surgery for macula-off retinal detachment.巩膜扣带术治疗黄斑脱离视网膜脱离后持续性视网膜下液的频域光学相干断层扫描分析
Eye (Lond). 2015 Sep;29(9):1186-93. doi: 10.1038/eye.2015.113. Epub 2015 Jul 3.
4
[Multimodal Approaches for the Analysis of Retinal Functional Disorders―Focusing on Retinal Detachment].[视网膜功能障碍分析的多模态方法——聚焦于视网膜脱离]
Nippon Ganka Gakkai Zasshi. 2017 Mar;121(3):185-231.
5
Choroidal Thickness Is Associated with Delayed Subretinal Fluid Absorption after Rhegmatogenous Retinal Detachment Surgery.脉络膜厚度与孔源性视网膜脱离手术后视网膜下液吸收延迟有关。
Ophthalmol Retina. 2019 Nov;3(11):947-955. doi: 10.1016/j.oret.2019.05.009. Epub 2019 May 15.
6
Persistent subretinal fluid after successful scleral buckle surgery for macula-off retinal detachment.成功巩膜扣带手术后黄斑裂孔视网膜脱离仍有视网膜下液存留。
Chin Med J (Engl). 2011 Dec;124(23):4007-11.
7
Recovery course of persistent posterior subretinal fluid after successful repair of rhegmatogenous retinal detachment.孔源性视网膜脱离修复成功后持续性视网膜下液的恢复过程。
Eur J Ophthalmol. 2024 Jul;34(4):1217-1227. doi: 10.1177/11206721231210693. Epub 2023 Oct 30.
8
A systematic review on delayed absorption of subretinal fluid after scleral buckling for rhegmatogenous retinal detachment.巩膜扣带术治疗孔源性视网膜脱离后视网膜下液吸收延迟的系统评价
J Biol Regul Homeost Agents. 2017;31(3):639-643.
9
Longitudinal optical density analysis of subretinal fluid after surgical repair of rhegmatogenous retinal detachment.孔源性视网膜脱离手术修复后视网膜下液的纵向光密度分析
Retina. 2015 Jan;35(1):149-56. doi: 10.1097/IAE.0000000000000267.
10
Effect of external subretinal fluid drainage on persistent subretinal fluid after scleral buckle surgery in macula-involving rhegmatogenous retinal detachment.巩膜扣带术后累及黄斑的孔源性视网膜脱离中,视网膜下外液引流对持续视网膜下液的影响。
Sci Rep. 2023 Dec 13;13(1):22176. doi: 10.1038/s41598-023-49719-5.

引用本文的文献

1
Subfoveal Choroidal Thickness After Successful Retinal Detachment Repair with Persistent Subretinal Fluid at the Macula.黄斑区存在持续性视网膜下液的视网膜脱离修复成功后黄斑中心凹下脉络膜厚度
Clin Ophthalmol. 2025 Jun 11;19:1847-1854. doi: 10.2147/OPTH.S520076. eCollection 2025.
2
Safety and efficacy of subthreshold micropulse yellow laser for persistent subretinal fluid after scleral bucking a randomized clinical trial.巩膜扣带术后持续性视网膜下液的亚阈值微脉冲黄光治疗的安全性和有效性:一项随机临床试验。
Sci Rep. 2024 Sep 6;14(1):20874. doi: 10.1038/s41598-024-71528-7.
3
Effect of external subretinal fluid drainage on persistent subretinal fluid after scleral buckle surgery in macula-involving rhegmatogenous retinal detachment.

本文引用的文献

1
PERSISTENT LOCULATED SUBRETINAL FLUID AFTER RHEGMATOGENOUS RETINAL DETACHMENT SURGERY.裂孔源性视网膜脱离手术后持续性局限性视网膜下液。
Retina. 2020 Jun;40(6):1153-1159. doi: 10.1097/IAE.0000000000002565.
2
Scleral buckling versus vitrectomy for young japanese patients with rhegmatogenous retinal detachment in the era of microincision surgery: real-world evidence from a multicentre study in Japan.微切口手术时代日本孔源性视网膜脱离年轻患者巩膜扣带术与玻璃体切除术的比较:来自日本多中心研究的真实世界证据。
Acta Ophthalmol. 2019 Aug;97(5):e736-e741. doi: 10.1111/aos.14050. Epub 2019 Feb 11.
3
Scleral buckling in the management of rhegmatogenous retinal detachment: patient selection and perspectives.
巩膜扣带术后累及黄斑的孔源性视网膜脱离中,视网膜下外液引流对持续视网膜下液的影响。
Sci Rep. 2023 Dec 13;13(1):22176. doi: 10.1038/s41598-023-49719-5.
4
Effect of High Myopia on Delayed Absorption of Subretinal Fluid after Scleral Buckling Surgery.高度近视对巩膜扣带术后视网膜下液延迟吸收的影响。
J Clin Med. 2022 Jul 5;11(13):3906. doi: 10.3390/jcm11133906.
5
How should we report the foveal status in eyes with "macula-off" retinal detachment?我们应该如何报告“黄斑脱离”视网膜脱离眼中的黄斑状态?
Eye (Lond). 2023 Feb;37(2):228-234. doi: 10.1038/s41433-022-02074-7. Epub 2022 May 3.
6
Clinical Analysis of Persistent Subretinal Fluid after Pars Plana Vitrectomy in Macula with Diabetic Tractional Retinal Detachment.糖尿病性牵拉性视网膜脱离黄斑区玻璃体切割术后持续性视网膜下液的临床分析
J Clin Med. 2021 Dec 17;10(24):5929. doi: 10.3390/jcm10245929.
巩膜扣带术治疗孔源性视网膜脱离:患者选择与展望
Clin Ophthalmol. 2018 Aug 30;12:1605-1615. doi: 10.2147/OPTH.S153717. eCollection 2018.
4
Sex-Dependent Choroidal Thickness Differences in Healthy Adults: A Study Based on Original and Synthesized Data.健康成年人脉络膜厚度的性别差异:基于原始数据和合成数据的研究
Curr Eye Res. 2018 Jun;43(6):796-803. doi: 10.1080/02713683.2018.1428995. Epub 2018 Feb 16.
5
COMPARISON OF SHORT-TERM EFFICACY BETWEEN ORAL SPIRONOLACTONE TREATMENT AND PHOTODYNAMIC THERAPY FOR THE TREATMENT OF NONRESOLVING CENTRAL SEROUS CHORIORETINOPATHY.口服螺内酯治疗与光动力疗法治疗未消退中心性浆液性脉络膜视网膜病变的短期疗效比较。
Retina. 2019 Jan;39(1):127-133. doi: 10.1097/IAE.0000000000001913.
6
Overloaded Dysfunctional RPE Leads to Delayed Absorption of Subretinal Fluid After Retinal Detachment Repair.超负荷功能失调的视网膜色素上皮导致视网膜脱离修复后视网膜下液吸收延迟。
Ophthalmic Surg Lasers Imaging Retina. 2017 Oct 1;48(10):852-855. doi: 10.3928/23258160-20170928-12.
7
Delayed Absorption of Subretinal Fluid after Retinal Reattachment Surgery and Associated Choroidal Features.视网膜复位手术后视网膜下液的延迟吸收及相关脉络膜特征
Korean J Ophthalmol. 2017 Oct;31(5):402-411. doi: 10.3341/kjo.2016.0033. Epub 2017 Sep 11.
8
Impact of Age on Scleral Buckling Surgery for Rhegmatogenous Retinal Detachment.年龄对孔源性视网膜脱离巩膜扣带手术的影响
Korean J Ophthalmol. 2017 Aug;31(4):328-335. doi: 10.3341/kjo.2016.0024. Epub 2017 Jun 26.
9
Correlation between morphological changes and functional outcomes of recent-onset macula-off rhegmatogenous retinal detachment: prognostic factors in rhegmatogenous retinal detachment.近期发生的黄斑脱离孔源性视网膜脱离的形态学改变与功能转归的相关性:孔源性视网膜脱离的预后因素
Int Ophthalmol. 2018 Jun;38(3):1275-1283. doi: 10.1007/s10792-017-0591-6. Epub 2017 Jun 10.
10
Changes in Blood Flow on Optic Nerve Head After Vitrectomy for Rhegmatogenous Retinal Detachment.孔源性视网膜脱离玻璃体切除术后视神经乳头血流的变化
Invest Ophthalmol Vis Sci. 2016 Nov 1;57(14):6223-6233. doi: 10.1167/iovs.16-20577.