Suppr超能文献

巩膜扣带术后持续性视网膜下液的亚阈值微脉冲黄光治疗的安全性和有效性:一项随机临床试验。

Safety and efficacy of subthreshold micropulse yellow laser for persistent subretinal fluid after scleral bucking a randomized clinical trial.

机构信息

Chongqing Aier Eye Hospital, No.2 Huatang Road, Chongqing, China.

出版信息

Sci Rep. 2024 Sep 6;14(1):20874. doi: 10.1038/s41598-024-71528-7.

Abstract

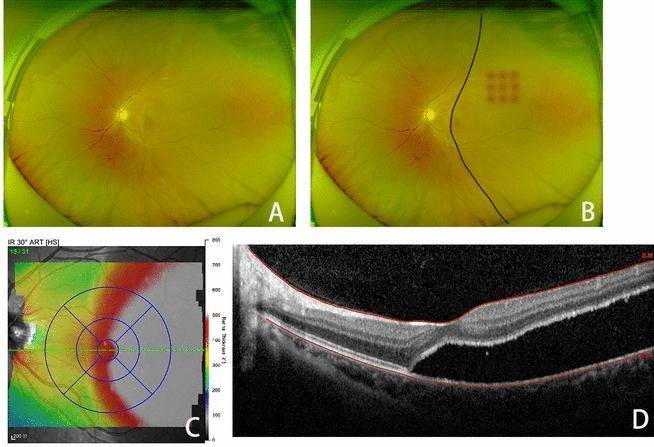
Persistent subretinal fluid (PSF) after scleral bucking of rhegmatogenous retinal detachment may delay recovery and affect the final visual quality, but with no effective treatment. This study firstly investigated the safety and efficacy of 577 nm yellow subthreshold micropulse laser (SML) on PSF after scleral bucking surgery. This double-masked randomized clinical trial was conducted from December 2020 to October 2022 at Chongqing Aier Eye Hospital. Participants with PSF last for 1 month after scleral bucking surgery with break closed and retina reattachment were recruitment. These participants were treated by 577 nm yellow SML or sham treatment. Funduscopy, optical coherence tomography (OCT) volume change, best corrected vision acuity (BCVA) and visual field test were evaluated for six mouths follow-up. A total of 24 participants were randomized into SML group or Sham group equally. Compared with Sham group, the OCT volume within 6 mm of macular fovea was significantly less in SML group 6 months after therapy (P = 0.048). There were no statistically significant differences of OCT volume at 1, 2 and 3 months from baseline between groups. BCVA of ETDRS letters had no statistically significant difference. Pattern Standard Deviation amelioration (P = 0.039) had statistically significance in SML group compared with Sham group. There were no complications in the 2 groups. These preliminary findings suggest that 577 nm yellow SML therapy could accelerate PSF absorption after scleral bucking surgery.Trial registration: Chinese Clinical Trial Registry No. ChiCTR2000037838, 02/09/2020, https://www.chictr.org.cn/showproj.html?proj=51885 .

摘要

巩膜扣带术后持续性视网膜下积液(PSF)可能会延迟恢复并影响最终的视觉质量,但目前尚无有效的治疗方法。本研究首次探讨了 577nm 黄色亚阈微脉冲激光(SML)治疗巩膜扣带术后 PSF 的安全性和有效性。这项双盲随机临床试验于 2020 年 12 月至 2022 年 10 月在重庆爱尔眼科医院进行。招募了巩膜扣带手术后 PSF 持续 1 个月且裂孔封闭和视网膜复位的患者。这些患者接受 577nm 黄色 SML 或假治疗。在 6 个月的随访中,对眼底检查、光学相干断层扫描(OCT)体积变化、最佳矫正视力(BCVA)和视野检查进行评估。共有 24 名参与者被随机分为 SML 组或 Sham 组。与 Sham 组相比,治疗 6 个月后黄斑中心凹 6mm 内 OCT 体积明显更小(P=0.048)。两组从基线开始的 1、2 和 3 个月的 OCT 体积均无统计学差异。BCVA 的 ETDRS 字母数无统计学差异。与 Sham 组相比,SML 组的模式标准偏差改善(P=0.039)有统计学意义。两组均无并发症。这些初步结果表明,577nm 黄色 SML 治疗可能加速巩膜扣带术后 PSF 的吸收。试验注册:中国临床试验注册中心,ChiCTR2000037838,2020 年 2 月 9 日,https://www.chictr.org.cn/showproj.html?proj=51885。

https://cdn.ncbi.nlm.nih.gov/pmc/blobs/e2b4/11379968/2beca0ae3725/41598_2024_71528_Fig1_HTML.jpg

文献检索

告别复杂PubMed语法,用中文像聊天一样搜索,搜遍4000万医学文献。AI智能推荐,让科研检索更轻松。

立即免费搜索

文件翻译

保留排版,准确专业,支持PDF/Word/PPT等文件格式,支持 12+语言互译。

免费翻译文档

深度研究

AI帮你快速写综述,25分钟生成高质量综述,智能提取关键信息,辅助科研写作。

立即免费体验