Suppr超能文献

磁共振成像和对比增强超声在复发性原发性乳腺血管肉瘤中的表现:一例报告。

Magnetic resonance imaging and contrast-enhanced ultrasound findings of a recurrent primary breast angiosarcoma: A case report.

机构信息

Department of Breast Surgery.

Department of Radiology.

出版信息

Medicine (Baltimore). 2021 Feb 5;100(5):e24625. doi: 10.1097/MD.0000000000024625.

Abstract

RATIONALE

Primary breast angiosarcoma (PBA) is a rare and overly aggressive entity and account for less than 1% of all breast cancer cases. PBA had a high rate of delayed preoperative diagnosis due to absent distinctive radiographic characteristics.

PATIENT CONCERNS

We report a case of a 47-year-old female patient who had a previous history of luminal cancer in the right breast with mastectomy; the patient complained of asymmetrically diffuse enlarged, accompanying with a painless mass in the left breast 12 years after the mastectomy of her right breast.

DIAGNOSES

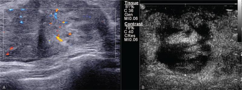
The tumor mimicked idiopathic granulomatous mastitis on magnetic resonance imaging (MRI) at the first presentation. Contrast-enhanced ultrasound (CEUS) was performed for further lesion characterization and showed heterogeneous rapid hyper enhanced. An ultrasound-guided core needle biopsy was performed, and the pathology report indicated a breast angiosarcoma.

INTERVENTIONS

The patient underwent a nipple-sparing simple mastectomy with immediate reconstruction of the left breast.

OUTCOMES

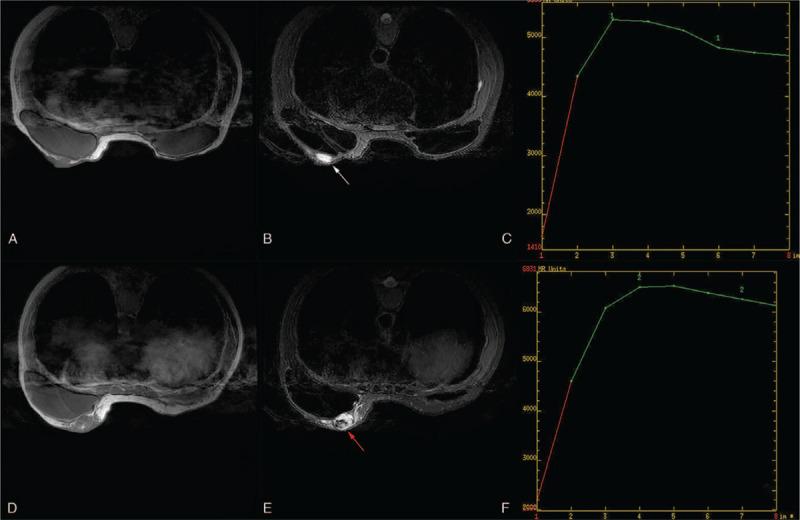
After 8 months later, the tumor recurred, CEUS and MRI examination suggested PBA recurrence, then re-excision with implant removal was performed, the patient had a lung metastasis 4 months later eventually died 22 months after diagnosis.

LESSONS

It is not easy to diagnose PBA with the radiographic examination. This case's importance is by combining CEUS and MRI to reflect enhanced morphology and hemodynamic characteristics of PBA and help diagnose breast angiosarcomas.

摘要

背景

原发性乳腺血管肉瘤(PBA)是一种罕见且侵袭性很强的疾病,占所有乳腺癌病例的比例不到 1%。由于缺乏独特的影像学特征,PBA 的术前诊断常常被延误。

病例报告

我们报告了一例 47 岁女性患者,右侧乳腺曾患有管腔癌并接受了乳房切除术;该患者在右侧乳房乳房切除 12 年后,抱怨左侧乳房出现不对称弥漫性增大,并伴有无痛性肿块。

诊断

肿瘤在初次就诊时的磁共振成像(MRI)上模拟特发性肉芽肿性乳腺炎。为进一步明确病变特征,进行了对比增强超声(CEUS)检查,显示不均匀快速高增强。进行了超声引导下的核心针活检,病理报告提示乳腺血管肉瘤。

干预措施

患者接受了保留乳头的单纯乳房切除术,并立即进行了左侧乳房重建。

结果

8 个月后,肿瘤复发,CEUS 和 MRI 检查提示 PBA 复发,随后进行了再次切除和植入物取出,4 个月后患者出现肺转移,最终在诊断后 22 个月死亡。

教训

影像学检查诊断 PBA 并不容易。这个病例的重要性在于结合 CEUS 和 MRI 反映 PBA 的增强形态和血流动力学特征,有助于诊断乳腺血管肉瘤。

https://cdn.ncbi.nlm.nih.gov/pmc/blobs/7528/7870214/143e6d8bb064/medi-100-e24625-g001.jpg

文献AI研究员

20分钟写一篇综述,助力文献阅读效率提升50倍。

立即体验

用中文搜PubMed

大模型驱动的PubMed中文搜索引擎

马上搜索

文档翻译

学术文献翻译模型,支持多种主流文档格式。

立即体验