Suppr超能文献

OrpR 是一种 σ-依赖性激活蛋白,可通过铁硫簇感应进行氧化还原反应,存在于脱硫弧菌 Hildenborough 中。

OrpR is a σ -dependent activator using an iron-sulfur cluster for redox sensing in Desulfovibrio vulgaris Hildenborough.

机构信息

Aix Marseille Univ, CNRS, LCB, Marseille, France.

Microbial Stress Lab, UCIBIO, REQUIMTE, Dept. Química, Faculdade de Ciências e Tecnologia, Universidade NOVA de Lisboa, Caparica, Portugal.

出版信息

Mol Microbiol. 2021 Jul;116(1):231-244. doi: 10.1111/mmi.14705. Epub 2021 Feb 25.

Abstract

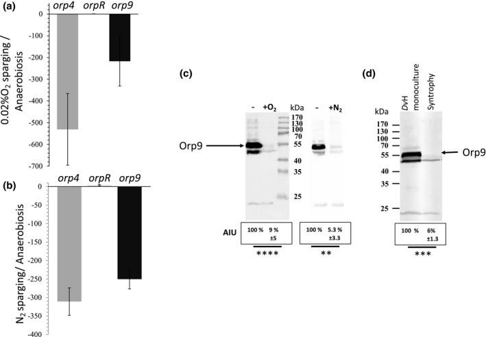
Enhancer binding proteins (EBPs) are key players of σ -regulation that control transcription in response to environmental signals. In the anaerobic microorganism Desulfovibrio vulgaris Hildenborough (DvH), orp operons have been previously shown to be coregulated by σ -RNA polymerase, the integration host factor IHF and a cognate EBP, OrpR. In this study, ChIP-seq experiments indicated that the OrpR regulon consists of only the two divergent orp operons. In vivo data revealed that (i) OrpR is absolutely required for orp operons transcription, (ii) under anaerobic conditions, OrpR binds on the two dedicated DNA binding sites and leads to high expression levels of the orp operons, (iii) increasing the redox potential of the medium leads to a drastic down-regulation of the orp operons expression. Moreover, combining functional and biophysical studies on the anaerobically purified OrpR leads us to propose that OrpR senses redox potential variations via a redox-sensitive [4Fe-4S] cluster in the sensory PAS domain. Overall, the study herein presents the first characterization of a new Fe-S redox regulator belonging to the σ -dependent transcriptional regulator family probably advantageously selected by cells adapted to the anaerobic lifestyle to monitor redox stress conditions.

摘要

增强子结合蛋白 (EBPs) 是 σ -调控的关键因子,可根据环境信号控制转录。在厌氧微生物脱硫弧菌 (DvH) 中,先前已经表明 orp 操纵子受 σ -RNA 聚合酶、整合宿主因子 IHF 和同源 EBP OrpR 的协同调控。在这项研究中,ChIP-seq 实验表明,OrpR 调控子仅由两个发散的 orp 操纵子组成。体内数据显示,(i)OrpR 绝对需要 orp 操纵子的转录,(ii)在厌氧条件下,OrpR 结合在两个专用的 DNA 结合位点上,导致 orp 操纵子的高表达水平,(iii) 增加培养基的氧化还原电势会导致 orp 操纵子的表达急剧下调。此外,对厌氧纯化的 OrpR 进行功能和生物物理研究使我们提出,OrpR 通过其感应 PAS 结构域中的一个氧化还原敏感的 [4Fe-4S] 簇来感应氧化还原电势变化。总的来说,本研究首次对属于 σ -依赖转录调控因子家族的新型 Fe-S 氧化还原调节剂进行了表征,该调节剂可能被适应厌氧生活方式的细胞有利地选择,以监测氧化还原应激条件。

https://cdn.ncbi.nlm.nih.gov/pmc/blobs/016e/8359166/fca11df88c53/MMI-116-231-g008.jpg

文献AI研究员

20分钟写一篇综述,助力文献阅读效率提升50倍。

立即体验

用中文搜PubMed

大模型驱动的PubMed中文搜索引擎

马上搜索

文档翻译

学术文献翻译模型,支持多种主流文档格式。

立即体验