• 文献检索
  • 文档翻译
  • 深度研究
  • 学术资讯
  • Suppr Zotero 插件Zotero 插件
  • 邀请有礼
  • 套餐&价格
  • 历史记录
应用&插件
Suppr Zotero 插件Zotero 插件浏览器插件Mac 客户端Windows 客户端微信小程序
定价
高级版会员购买积分包购买API积分包
服务
文献检索文档翻译深度研究API 文档MCP 服务
关于我们
关于 Suppr公司介绍联系我们用户协议隐私条款
关注我们

Suppr 超能文献

核心技术专利:CN118964589B侵权必究
粤ICP备2023148730 号-1Suppr @ 2026

文献检索

告别复杂PubMed语法,用中文像聊天一样搜索,搜遍4000万医学文献。AI智能推荐,让科研检索更轻松。

立即免费搜索

文件翻译

保留排版,准确专业,支持PDF/Word/PPT等文件格式,支持 12+语言互译。

免费翻译文档

深度研究

AI帮你快速写综述,25分钟生成高质量综述,智能提取关键信息,辅助科研写作。

立即免费体验

慢性肝炎大鼠的定量T2映射

Quantitative T2 mapping of rats with chronic hepatitis.

作者信息

Wang Xiaofeng, Hu Yan, Lu Xin, Cai Yu, Shu Jian

机构信息

Department of Radiology, The Affiliated Hospital of Southwest Medical University, Luzhou, Sichuan 646000, P.R. China.

出版信息

Exp Ther Med. 2021 Mar;21(3):225. doi: 10.3892/etm.2021.9656. Epub 2021 Jan 18.

DOI:10.3892/etm.2021.9656
PMID:33603834
原文链接:https://pmc.ncbi.nlm.nih.gov/articles/PMC7851601/
Abstract

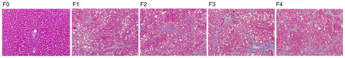
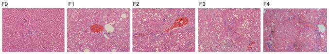
The aim of the study was to explore the diagnostic value of T2 mapping in an experimental rat model of chronic liver disease. Chronic hepatitis was induced in Sprague-Dawley male rats (n=88) by intraperitoneal and abdominal subcutaneous injection of carbon tetrachloride in olive oil. The normal control rats (n=12) were similarly injected with the same dose of normal saline. All rats were randomly selected and subjected to T2-weighted/spectral adiabatic inversion recovery and multiple gradient- and spin-echo sequence. After scanning, rats were sacrificed immediately and livers removed for staining with hematoxylin and eosin, as well as Masson's trichrome, to determine the pathological stage of hepatic fibrosis, necroinflammatory activity and steatosis. The T2 values were measured and associated with histopathological findings. The T2 values were significantly associated with hepatic fibrosis (P<0.05), but not with hepatitis (P>0.05) or steatosis (P>0.05). By partial correlation analysis, a significant positive correlation was observed between the T2 values and stages of liver fibrosis (=0.820; P<0.05). T2 values increased with progressive hepatic fibrosis. The differences between T2 values and stages of liver fibrosis were statistically significant. Statistically significant differences were observed between different stages of liver fibrosis (P<0.05), with an area under the curve value of 0.944 for predicting stage F1 or greater, 0.942 for stage F2 or greater, 0.958 for stage F3 or greater, and 0.948 for F4. Thus, the T2 value is one of the quantitative indices of imaging and accurately reflects the stages of liver fibrosis.

摘要

本研究的目的是探讨T2映射在慢性肝病实验大鼠模型中的诊断价值。通过腹腔内和腹部皮下注射橄榄油中的四氯化碳,在Sprague-Dawley雄性大鼠(n = 88)中诱导慢性肝炎。正常对照大鼠(n = 12)同样注射相同剂量的生理盐水。所有大鼠均被随机选取并接受T2加权/频谱绝热反转恢复和多梯度及自旋回波序列检查。扫描后,立即处死大鼠并取出肝脏,用苏木精和伊红以及Masson三色染色,以确定肝纤维化的病理阶段、坏死性炎症活动和脂肪变性。测量T2值并将其与组织病理学结果相关联。T2值与肝纤维化显著相关(P<0.05),但与肝炎(P>0.05)或脂肪变性(P>0.05)无关。通过偏相关分析,观察到T2值与肝纤维化阶段之间存在显著正相关(=0.820;P<0.05)。T2值随肝纤维化进展而增加。T2值与肝纤维化阶段之间的差异具有统计学意义。在肝纤维化的不同阶段观察到统计学显著差异(P<0.05),预测F1或更高阶段的曲线下面积值为0.944,F2或更高阶段为0.942,F3或更高阶段为0.958,F4为0.948。因此,T2值是成像的定量指标之一,可准确反映肝纤维化的阶段。

https://cdn.ncbi.nlm.nih.gov/pmc/blobs/bd7d/7851601/70376a98f5ef/etm-21-03-09656-g04.jpg
https://cdn.ncbi.nlm.nih.gov/pmc/blobs/bd7d/7851601/6e62fd3532a1/etm-21-03-09656-g00.jpg
https://cdn.ncbi.nlm.nih.gov/pmc/blobs/bd7d/7851601/a8f0e04c382c/etm-21-03-09656-g01.jpg
https://cdn.ncbi.nlm.nih.gov/pmc/blobs/bd7d/7851601/4670b1d64e6f/etm-21-03-09656-g02.jpg
https://cdn.ncbi.nlm.nih.gov/pmc/blobs/bd7d/7851601/34ace34fb8e2/etm-21-03-09656-g03.jpg
https://cdn.ncbi.nlm.nih.gov/pmc/blobs/bd7d/7851601/70376a98f5ef/etm-21-03-09656-g04.jpg
https://cdn.ncbi.nlm.nih.gov/pmc/blobs/bd7d/7851601/6e62fd3532a1/etm-21-03-09656-g00.jpg
https://cdn.ncbi.nlm.nih.gov/pmc/blobs/bd7d/7851601/a8f0e04c382c/etm-21-03-09656-g01.jpg
https://cdn.ncbi.nlm.nih.gov/pmc/blobs/bd7d/7851601/4670b1d64e6f/etm-21-03-09656-g02.jpg
https://cdn.ncbi.nlm.nih.gov/pmc/blobs/bd7d/7851601/34ace34fb8e2/etm-21-03-09656-g03.jpg
https://cdn.ncbi.nlm.nih.gov/pmc/blobs/bd7d/7851601/70376a98f5ef/etm-21-03-09656-g04.jpg

相似文献

1
Quantitative T2 mapping of rats with chronic hepatitis.慢性肝炎大鼠的定量T2映射
Exp Ther Med. 2021 Mar;21(3):225. doi: 10.3892/etm.2021.9656. Epub 2021 Jan 18.
2
Quantitative analysis of susceptibility-weighted magnetic resonance imaging in chronic hepatitis in rats.大鼠慢性肝炎的磁共振成像敏感性加权定量分析。
Magn Reson Imaging. 2018 Dec;54:71-76. doi: 10.1016/j.mri.2018.08.008. Epub 2018 Aug 18.
3
Diagnostic value of T2 relaxation time for hepatic iron grading in rat model of fatty and fibrotic liver.T2 弛豫时间对脂肪肝纤维化大鼠模型肝铁分级的诊断价值。
PLoS One. 2022 Dec 5;17(12):e0278574. doi: 10.1371/journal.pone.0278574. eCollection 2022.
4
Staging Liver Fibrosis: Comparison of Native T1 Mapping, T2 Mapping, and T1ρ: An Experimental Study in Rats With Bile Duct Ligation and Carbon Tetrachloride at 11.7 T MRI.分期肝纤维化:11.7T MRI 下胆汁淤积和四氯化碳诱导的大鼠模型中,原 T1 映射、T2 映射和 T1ρ 比较:一项实验研究。
J Magn Reson Imaging. 2022 Feb;55(2):507-517. doi: 10.1002/jmri.27822. Epub 2021 Jul 13.
5
Diffusion tensor imaging quantifying the severity of chronic hepatitis in rats.弥散张量成像定量评估大鼠慢性肝炎的严重程度。
BMC Med Imaging. 2020 Jul 2;20(1):74. doi: 10.1186/s12880-020-00466-3.
6
Value of Texture Analysis on Gadoxetic Acid-enhanced MR for Detecting Liver Fibrosis in a Rat Model.钆塞酸增强磁共振成像纹理分析在大鼠肝纤维化模型中检测肝纤维化的价值
Chin Med Sci J. 2019 Mar 30;34(1):24-32. doi: 10.24920/003562.
7
T2 relaxation time is related to liver fibrosis severity.T2弛豫时间与肝纤维化严重程度相关。
Quant Imaging Med Surg. 2016 Apr;6(2):103-14. doi: 10.21037/qims.2016.03.02.
8
Assessment of liver fibrosis in rats by MRI with apparent diffusion coefficient and T1 relaxation time in the rotating frame.利用旋转坐标系下的表观扩散系数和T1弛豫时间通过磁共振成像评估大鼠肝纤维化
J Magn Reson Imaging. 2016 May;43(5):1082-9. doi: 10.1002/jmri.25084. Epub 2015 Oct 26.
9
Magnetic Resonance Diffusion Kurtosis Imaging for Evaluating Stage of Liver Fibrosis in a Rabbit Model.磁共振扩散峰度成像评价兔肝纤维化分期的价值。
Acad Radiol. 2019 Jun;26(6):e90-e97. doi: 10.1016/j.acra.2018.06.018. Epub 2018 Jul 31.
10
Comparison of T2, T1rho, and diffusion metrics in assessment of liver fibrosis in rats.T2、T1rho和扩散指标在大鼠肝纤维化评估中的比较。
J Magn Reson Imaging. 2017 Mar;45(3):741-750. doi: 10.1002/jmri.25424. Epub 2016 Aug 16.

引用本文的文献

1
Multimodal Diagnostic Imaging of Metabolic Dysfunction-Associated Steatotic Liver Disease: Noninvasive Analyses by Photoacoustic Ultrasound and Magnetic Resonance Imaging.代谢功能障碍相关脂肪性肝病的多模态诊断成像:光声超声和磁共振成像的非侵入性分析
Am J Pathol. 2025 May;195(5):875-890. doi: 10.1016/j.ajpath.2025.01.012. Epub 2025 Feb 13.
2
Sex-specific associations in multiparametric 3 T MRI measurements in adult livers.多参数 3T MRI 测量在成人肝脏中的性别特异性关联。
Abdom Radiol (NY). 2023 Oct;48(10):3072-3078. doi: 10.1007/s00261-023-03981-3. Epub 2023 Jun 28.
3
Diagnostic value of T2 relaxation time for hepatic iron grading in rat model of fatty and fibrotic liver.

本文引用的文献

1
Quantification of Liver Fibrosis at T1 and T2 Mapping with Extracellular Volume Fraction MRI: Preclinical Results.基于细胞外容积分数 MRI 的 T1 和 T2 映射对肝纤维化的定量:临床前研究结果。
Radiology. 2018 Sep;288(3):748-754. doi: 10.1148/radiol.2018180051. Epub 2018 Jun 26.
2
Diagnostic performance of magnetic resonance technology in detecting steatosis or fibrosis in patients with nonalcoholic fatty liver disease: A meta-analysis.磁共振技术在检测非酒精性脂肪性肝病患者脂肪变性或肝纤维化中的诊断性能:一项荟萃分析。
Medicine (Baltimore). 2018 May;97(21):e10605. doi: 10.1097/MD.0000000000010605.
3
Comparison of non-invasive assessment of liver fibrosis in patients with alpha1-antitrypsin deficiency using magnetic resonance elastography (MRE), acoustic radiation force impulse (ARFI) Quantification, and 2D-shear wave elastography (2D-SWE).
T2 弛豫时间对脂肪肝纤维化大鼠模型肝铁分级的诊断价值。
PLoS One. 2022 Dec 5;17(12):e0278574. doi: 10.1371/journal.pone.0278574. eCollection 2022.
应用磁共振弹性成像(MRE)、声辐射力脉冲(ARFI)定量和二维剪切波弹性成像(2D-SWE)对α1-抗胰蛋白酶缺乏症患者肝纤维化的无创评估比较。
PLoS One. 2018 Apr 26;13(4):e0196486. doi: 10.1371/journal.pone.0196486. eCollection 2018.
4
Liver fibrosis.肝纤维化
Turk J Gastroenterol. 2018 Jan;29(1):14-21. doi: 10.5152/tjg.2018.17330.
5
Comparison of gradient-recalled echo and spin-echo echo-planar imaging MR elastography in staging liver fibrosis: a meta-analysis.梯度回波和自旋回波 echo-planar 成像磁共振弹性成像在肝纤维化分期中的比较:一项荟萃分析。
Eur Radiol. 2018 Apr;28(4):1709-1718. doi: 10.1007/s00330-017-5149-5. Epub 2017 Nov 21.
6
Potentials of the elevated circulating miR-185 level as a biomarker for early diagnosis of HBV-related liver fibrosis.循环中miR-185水平升高作为乙肝相关肝纤维化早期诊断生物标志物的潜力。
Sci Rep. 2016 Sep 28;6:34157. doi: 10.1038/srep34157.
7
Comparison of T2, T1rho, and diffusion metrics in assessment of liver fibrosis in rats.T2、T1rho和扩散指标在大鼠肝纤维化评估中的比较。
J Magn Reson Imaging. 2017 Mar;45(3):741-750. doi: 10.1002/jmri.25424. Epub 2016 Aug 16.
8
T2 relaxation time is related to liver fibrosis severity.T2弛豫时间与肝纤维化严重程度相关。
Quant Imaging Med Surg. 2016 Apr;6(2):103-14. doi: 10.21037/qims.2016.03.02.
9
Dynamic Contrast-Enhanced Magnetic Resonance Imaging with Gd-EOB-DTPA for the Evaluation of Liver Fibrosis Induced by Carbon Tetrachloride in Rats.钆塞酸二钠动态对比增强磁共振成像用于评估四氯化碳诱导的大鼠肝纤维化
PLoS One. 2015 Jun 15;10(6):e0129621. doi: 10.1371/journal.pone.0129621. eCollection 2015.
10
Experimental models of liver fibrosis.肝纤维化的实验模型
Arch Toxicol. 2016 May;90(5):1025-1048. doi: 10.1007/s00204-015-1543-4. Epub 2015 Jun 6.