• 文献检索
  • 文档翻译
  • 深度研究
  • 学术资讯
  • Suppr Zotero 插件Zotero 插件
  • 邀请有礼
  • 套餐&价格
  • 历史记录
应用&插件
Suppr Zotero 插件Zotero 插件浏览器插件Mac 客户端Windows 客户端微信小程序
定价
高级版会员购买积分包购买API积分包
服务
文献检索文档翻译深度研究API 文档MCP 服务
关于我们
关于 Suppr公司介绍联系我们用户协议隐私条款
关注我们

Suppr 超能文献

核心技术专利:CN118964589B侵权必究
粤ICP备2023148730 号-1Suppr @ 2026

文献检索

告别复杂PubMed语法,用中文像聊天一样搜索,搜遍4000万医学文献。AI智能推荐,让科研检索更轻松。

立即免费搜索

文件翻译

保留排版,准确专业,支持PDF/Word/PPT等文件格式,支持 12+语言互译。

免费翻译文档

深度研究

AI帮你快速写综述,25分钟生成高质量综述,智能提取关键信息,辅助科研写作。

立即免费体验

Vaginal epithelioid angiosarcoma: A literature review of a rare entity in an unusual site.

作者信息

Weishaupt J, Miller J, Oehler M K

机构信息

Department of Gynaecology Oncology, Royal Adelaide Hospital, Port Road, Adelaide 5000, SA, Australia.

Discipline of Obstetrics and Gynaecology, University of Adelaide, Adelaide 5000, SA, Australia.

出版信息

Gynecol Oncol Rep. 2021 Jan 21;36:100706. doi: 10.1016/j.gore.2021.100706. eCollection 2021 May.

DOI:10.1016/j.gore.2021.100706
PMID:33604443
原文链接:https://pmc.ncbi.nlm.nih.gov/articles/PMC7873630/
Abstract

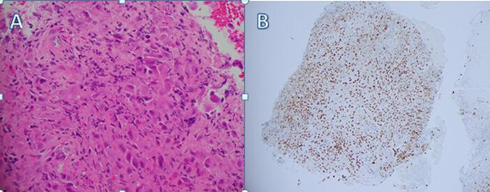
We describe an extremely rare case of a 66-year-old woman with a vaginal epithelioid angiosarcoma. She presented with constitutional symptoms, pelvic pain, vaginal bleeding, and a violaceous vaginal lesion. A thorough gynaecological examination, tissue biopsy and imaging were crucial to establish an accurate diagnosis. With only 3 other cases reported in the literature, epithelioid angiosarcoma of the vagina seem to present late due to their nonspecific presentation and secluded location. Once diagnosed, optimal treatment is difficult to determine and together with the overly aggressive behaviour of these tumours, they are associated with a poor prognosis. To our knowledge, our case study and systematic literature review is the first to compare the management outcomes of epithelioid subtype angiosarcomas of the vagina. The rarity of this pathology contributes to diagnostic difficulties and lack of consensus regarding treatment of angiosarcomas of the vagina.

摘要
https://cdn.ncbi.nlm.nih.gov/pmc/blobs/2e84/7873630/77233909c303/gr3.jpg
https://cdn.ncbi.nlm.nih.gov/pmc/blobs/2e84/7873630/77a131f1bab4/gr1.jpg
https://cdn.ncbi.nlm.nih.gov/pmc/blobs/2e84/7873630/3e7a79338c39/gr2.jpg
https://cdn.ncbi.nlm.nih.gov/pmc/blobs/2e84/7873630/77233909c303/gr3.jpg
https://cdn.ncbi.nlm.nih.gov/pmc/blobs/2e84/7873630/77a131f1bab4/gr1.jpg
https://cdn.ncbi.nlm.nih.gov/pmc/blobs/2e84/7873630/3e7a79338c39/gr2.jpg
https://cdn.ncbi.nlm.nih.gov/pmc/blobs/2e84/7873630/77233909c303/gr3.jpg

相似文献

1
Vaginal epithelioid angiosarcoma: A literature review of a rare entity in an unusual site.
Gynecol Oncol Rep. 2021 Jan 21;36:100706. doi: 10.1016/j.gore.2021.100706. eCollection 2021 May.
2
Primary Vaginal Epithelioid Angiosarcoma: A Case Report and Literature Review of a Rare Neoplasm.原发性阴道上皮样血管肉瘤:1例罕见肿瘤病例报告及文献复习
Cureus. 2023 May 20;15(5):e39258. doi: 10.7759/cureus.39258. eCollection 2023 May.
3
Obscure gastrointestinal bleeding due to multifocal intestinal angiosarcoma.多灶性肠道血管肉瘤导致的隐匿性胃肠道出血。
Int J Surg Case Rep. 2015;10:169-72. doi: 10.1016/j.ijscr.2015.03.049. Epub 2015 Mar 28.
4
Primary epithelioid angiosarcoma originating from the mandibular gingiva: a case report of an extremely rare oral lesion.起源于下颌牙龈的原发性上皮样血管肉瘤:1例极其罕见的口腔病变病例报告
World J Surg Oncol. 2020 Oct 3;18(1):260. doi: 10.1186/s12957-020-01999-1.
5
Oral and salivary gland angiosarcoma: a clinicopathologic study of 29 cases.口腔及涎腺血管肉瘤:29例临床病理研究
Mod Pathol. 2003 Mar;16(3):263-71. doi: 10.1097/01.MP.0000056986.08999.FD.
6
Intraoral angiosarcoma with unusual clinical presentation: A case report.具有不寻常临床表现的口腔血管肉瘤:一例报告。
Heliyon. 2023 Jun 13;9(6):e17056. doi: 10.1016/j.heliyon.2023.e17056. eCollection 2023 Jun.
7
Vaginal epithelioid angiosarcoma.阴道上皮样血管肉瘤
J Clin Pathol. 1998 Dec;51(12):928-30. doi: 10.1136/jcp.51.12.928.
8
Ovarian epithelioid angiosarcoma complicating pregnancy: a case report and review of the literature.卵巢上皮样血管肉瘤合并妊娠:病例报告及文献复习。
J Int Med Res. 2021 May;49(5):3000605211019641. doi: 10.1177/03000605211019641.
9
Pediatric primary intracranial angiosarcoma with epithelioid differentiation: a surgeon's dilemma.小儿原发性颅内上皮样血管肉瘤:外科医生的困境。
Childs Nerv Syst. 2024 Jan;40(1):267-271. doi: 10.1007/s00381-023-06114-9. Epub 2023 Aug 11.
10
Primary Cardiac Epithelioid Angiosarcoma with Sustained Remission following Surgical Resection: A Case Report.原发性心脏上皮样血管肉瘤经手术切除后持续缓解:一例报告
Case Rep Oncol. 2023 Sep 12;16(1):878-885. doi: 10.1159/000530113. eCollection 2023 Jan-Dec.

引用本文的文献

1
Primary Vaginal Epithelioid Angiosarcoma: A Case Report and Literature Review of a Rare Neoplasm.原发性阴道上皮样血管肉瘤:1例罕见肿瘤病例报告及文献复习
Cureus. 2023 May 20;15(5):e39258. doi: 10.7759/cureus.39258. eCollection 2023 May.

本文引用的文献

1
Angiosarcomas of Primary Gynecologic Origin - A Case Series and Review of the Literature.原发性妇科来源的血管肉瘤——病例系列及文献复习。
Anticancer Res. 2020 Oct;40(10):5743-5750. doi: 10.21873/anticanres.14590.
2
Primary vaginal adenocarcinoma of intestinal-type: case report of a rare gynaecological tumour.原发性肠型阴道腺癌:一例罕见妇科肿瘤的病例报告
Oxf Med Case Reports. 2019 Sep 28;2019(9):omz088. doi: 10.1093/omcr/omz088. eCollection 2019 Sep.
3
Epithelioid angiosarcoma of the vulva: A case report.
Gynecol Oncol Rep. 2017 Jul 23;21:91-93. doi: 10.1016/j.gore.2017.07.010. eCollection 2017 Aug.
4
Angiosarcoma in HIV-negative patients is not associated with HHV-8.HIV阴性患者的血管肉瘤与HHV-8无关。
An Bras Dermatol. 2016 Nov-Dec;91(6):738-741. doi: 10.1590/abd1806-4841.20164730.
5
Vaginal epithelioid angiosarcoma: a rare case.
Rom J Morphol Embryol. 2016;57(3):1131-1135.
6
Angiosarcoma of the Vulva: A Case Report.外阴血管肉瘤:一例报告
J Low Genit Tract Dis. 2016 Jan;20(1):e6-7. doi: 10.1097/LGT.0000000000000171.
7
Angiosarcomas of primary gynecologic origin: a clinicopathologic review and quantitative analysis of survival.原发性妇科来源的血管肉瘤:临床病理回顾和生存的定量分析。
Int J Gynecol Cancer. 2014 Jan;24(1):4-12. doi: 10.1097/IGC.0000000000000020.
8
Vaginal epithelioid angiosarcoma: a potential pitfall in gynecologic pathology.阴道上皮样血管肉瘤:妇科病理学中的一个潜在陷阱。
J Low Genit Tract Dis. 2014 Apr;18(2):E38-42. doi: 10.1097/LGT.0b013e31829863b3.
9
Angiosarcoma.血管肉瘤。
Lancet Oncol. 2010 Oct;11(10):983-91. doi: 10.1016/S1470-2045(10)70023-1. Epub 2010 May 25.
10
Epithelioid angiosarcoma of the mons after chemoradiation for vulvar cancer.外阴癌放化疗后阴阜的上皮样血管肉瘤。
Int J Gynecol Pathol. 2007 Jul;26(3):265-8. doi: 10.1097/01.pgp.0000250145.67462.c9.