Suppr超能文献

由 DEAD -box 解旋酶和 EMT 转录因子定义的独特 Ring1b 复合物协同增强乳腺癌中 E-钙黏蛋白的沉默。

Distinct Ring1b complexes defined by DEAD-box helicases and EMT transcription factors synergistically enhance E-cadherin silencing in breast cancer.

机构信息

The Key Laboratory of Molecular Epigenetics of the Ministry of Education, Institute of Genetics and Cytology, Northeast Normal University, Changchun, Jilin, China.

出版信息

Cell Death Dis. 2021 Feb 19;12(2):202. doi: 10.1038/s41419-021-03491-4.

Abstract

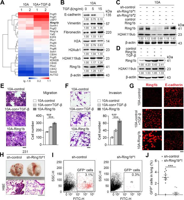
Ring1b is a core subunit of polycomb repressive complex 1 (PRC1) and is essential in several high-risk cancers. However, the epigenetic mechanism of Ring1b underlying breast cancer malignancy is poorly understood. In this study, we showed increased expression of Ring1b promoted metastasis by weakening cell-cell adhesions of breast cancer cells. We confirmed that Ring1b could downregulate E-cadherin and contributed to an epigenetic rewiring via PRC1-dependent function by forming distinct complexes with DEAD-box RNA helicases (DDXs) or epithelial-mesenchymal transition transcription factors (EMT TFs) on site-specific loci of E-cadherin promoter. DDXs-Ring1b complexes moderately inhibited E-cadherin, which resulted in an early hybrid EMT state of epithelial cells, and EMT TFs-Ring1b complexes cooperated with DDXs-Ring1b complexes to further repress E-cadherin in mesenchymal-like cancer cells. Clinically, high expression of Ring1b with DDXs or EMT TFs predicted low levels of E-cadherin, metastatic behavior, and poor prognosis. These findings provide an epigenetic regulation mechanism of Ring1b complexes in E-cadherin expression. Ring1b complexes may be potential therapeutic targets and biomarkers for diagnosis and prognosis in invasion breast cancer.

摘要

Ring1b 是多梳抑制复合物 1(PRC1)的核心亚基,在几种高危癌症中是必不可少的。然而,Ring1b 介导乳腺癌恶性的表观遗传机制尚不清楚。在这项研究中,我们表明 Ring1b 的高表达通过削弱乳腺癌细胞的细胞间黏附力促进了转移。我们证实,Ring1b 可以下调 E-钙黏蛋白,并通过与 DEAD 盒 RNA 解旋酶(DDXs)或上皮-间充质转化转录因子(EMT TFs)在 E-钙黏蛋白启动子的特定位点形成不同的复合物,从而发挥 PRC1 依赖性功能,导致表观遗传重排。DDXs-Ring1b 复合物适度抑制 E-钙黏蛋白,导致上皮细胞早期出现混合 EMT 状态,而 EMT TFs-Ring1b 复合物与 DDXs-Ring1b 复合物合作,进一步在间充质样癌细胞中抑制 E-钙黏蛋白。临床上,高表达的 Ring1b 与 DDXs 或 EMT TFs 预测 E-钙黏蛋白水平低、转移行为和预后不良。这些发现提供了 Ring1b 复合物在 E-钙黏蛋白表达中的表观遗传调控机制。Ring1b 复合物可能是侵袭性乳腺癌诊断和预后的潜在治疗靶点和生物标志物。

https://cdn.ncbi.nlm.nih.gov/pmc/blobs/cbd4/7895950/0b4b1132672a/41419_2021_3491_Fig1_HTML.jpg

文献检索

告别复杂PubMed语法,用中文像聊天一样搜索,搜遍4000万医学文献。AI智能推荐,让科研检索更轻松。

立即免费搜索

文件翻译

保留排版,准确专业,支持PDF/Word/PPT等文件格式,支持 12+语言互译。

免费翻译文档

深度研究

AI帮你快速写综述,25分钟生成高质量综述,智能提取关键信息,辅助科研写作。

立即免费体验