Suppr超能文献

对比增强超声(CEUS)引导下引流治疗高毒力肺炎克雷伯菌(hvKP)感染所致肺脓肿1例报告

Contrast-enhanced ultrasound (CEUS) guided drainage in the treatment of a patient with lung abscess secondary to hypervirulent (hvKP) infection: A case report.

作者信息

Chen Yanzhu, Chen Jiehuan, Zheng Nan, Chen Yi

机构信息

Department of Intensive Care Unit, Binhaiwan Central Hospital of Dongguan, China.

Department of Ultrasound, Binhaiwan Central Hospital of Dongguan, China.

出版信息

Respir Med Case Rep. 2021 Jan 30;32:101343. doi: 10.1016/j.rmcr.2021.101343. eCollection 2021.

Abstract

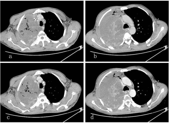
Hypervirulent (hvKP) can cause lung abscess, serious infection, and has a high mortality. Drainage plays a key role in the treatment of lung abscess secondary to hvKP. Contrast-enhanced ultrasound (CEUS) can identify necrotic areas within peripheral pulmonary lesions. We report a case in which thoracic CEUS using solution of sulfur hexafluoride microbubbles (SonoVue®, Bracco, Milan, Italy) was better than computed tomography (CT) in depicting lung abscess from consolidation secondary to hvKP, and its role in guiding drainage of lung abscess. CEUS is a promising imaging technique for confirming an appropriate time for drainage of lung abscess secondary to hvKP, for point-of-care application in critical patients with impaired renal function which may be aggravated by CT contrast medium.

摘要

高毒力肺炎克雷伯菌(hvKP)可导致肺脓肿、严重感染,且死亡率高。引流在hvKP所致肺脓肿的治疗中起关键作用。对比增强超声(CEUS)可识别周围肺部病变内的坏死区域。我们报告了1例使用六氟化硫微泡溶液(声诺维®,意大利米兰百胜公司)进行胸部CEUS在描绘hvKP所致实变引起的肺脓肿方面优于计算机断层扫描(CT)的病例,及其在指导肺脓肿引流中的作用。CEUS是一种很有前景的成像技术,可用于确定hvKP所致肺脓肿的合适引流时间,适用于肾功能受损的重症患者床旁应用,这类患者可能因CT造影剂而使肾功能恶化。

https://cdn.ncbi.nlm.nih.gov/pmc/blobs/1c74/7881261/484652ea6923/gr1.jpg

文献AI研究员

20分钟写一篇综述,助力文献阅读效率提升50倍。

立即体验

用中文搜PubMed

大模型驱动的PubMed中文搜索引擎

马上搜索

文档翻译

学术文献翻译模型,支持多种主流文档格式。

立即体验