Suppr超能文献

病例报告:一名患有先天性巨结肠症儿童的嗜酸性肌间神经节炎:假性肠梗阻的一个挑战

Case Report: Eosinophilic Myenteric Ganglionitis in a Child With Hirschsprung's Disease: A Challenge in Pseudo-Obstruction.

作者信息

D'Auria Enza, Calcaterra Valeria, Maestri Luciano, Meroni Milena, Selvaggio Giorgio Giuseppe Orlando, Villanacci Vincenzo, Nebuloni Manuela, Pelizzo Gloria

机构信息

Allergology Unit, Department of Pediatrics, "Vittore Buzzi" Children's Hospital, Milan, Italy.

Department of Biomedical and Clinical Science "L. Sacco", University of Milan, Milan, Italy.

出版信息

Front Pediatr. 2021 Feb 4;8:617309. doi: 10.3389/fped.2020.617309. eCollection 2020.

Abstract

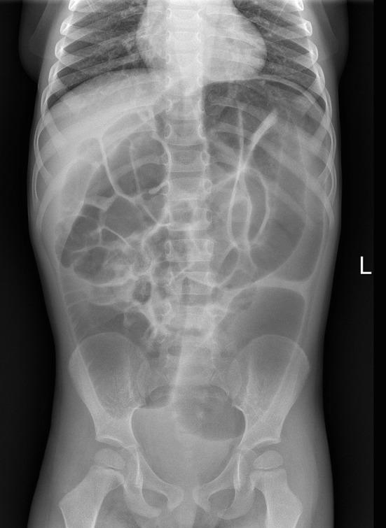
The presentation of eosinophilic myenteric ganglionitis (EMG) can be similar to that of Hirschsprung's disease (HD). In a limited number of cases of pediatric patients, the diagnosis of both EMG and HD are reported. A case of pseudo-obstruction in EMG occurring in a child with HD diagnosis is discussed with literature review. A boy aged 2 years and 6 months presented with intractable constipation and abdominal distension. Histological HD diagnosis was carried out and transanal Soave pullthrough was performed. At the age of 3 years and 2 months, an infectious enterocolitis occurred. One month later, he presented with constipation, marked abdominal distension and melena. Full thickness colonic biopsies revealed eosinophilic myenteric ganglionitis. Specific IgE tests were positive for several foods. Dietary exclusion was adopted with resolution of clinical symptoms and histologic remission. EMD may occur in patients with HD. At the onset, EMD may be associated with functional intestinal obstruction. The use of an elimination diet proved effective for the relief of symptoms. Long term follow-up is mandatory to define the timing of the reintroduction of foods.

摘要

嗜酸性肌间神经节炎(EMG)的表现可能与先天性巨结肠(HD)相似。在少数儿科患者病例中,有EMG和HD均被诊断出来的报道。本文结合文献回顾,讨论了1例诊断为HD的儿童发生EMG所致假性肠梗阻的病例。一名2岁6个月大的男孩出现顽固性便秘和腹胀。进行了HD的组织学诊断,并实施了经肛门Soave拖出术。3岁2个月时,发生了感染性小肠结肠炎。1个月后,他出现便秘、明显腹胀和黑便。全层结肠活检显示嗜酸性肌间神经节炎。多种食物的特异性IgE检测呈阳性。采用饮食排除法后临床症状缓解,组织学病变减轻。EMD可能发生在HD患者中。发病时,EMD可能与功能性肠梗阻有关。采用排除饮食法被证明对缓解症状有效。必须进行长期随访以确定重新引入食物的时机。

https://cdn.ncbi.nlm.nih.gov/pmc/blobs/ccb7/7890130/558bcd3a7915/fped-08-617309-g0001.jpg

文献AI研究员

20分钟写一篇综述,助力文献阅读效率提升50倍。

立即体验

用中文搜PubMed

大模型驱动的PubMed中文搜索引擎

马上搜索

文档翻译

学术文献翻译模型,支持多种主流文档格式。

立即体验