Suppr超能文献

CCDC154突变导致小鼠耳囊异常重塑及听力损失

CCDC154 Mutant Caused Abnormal Remodeling of the Otic Capsule and Hearing Loss in Mice.

作者信息

Xu Kai, Bai Xue, Chen Sen, Xie Le, Qiu Yue, Li He, Sun Yu

机构信息

Department of Otorhinolaryngology, Union Hospital, Tongji Medical College, Huazhong University of Science and Technology, Wuhan, China.

Department of Otolaryngology, The First Affiliated Hospital of Wenzhou Medical University, Wenzhou, China.

出版信息

Front Cell Dev Biol. 2021 Feb 4;9:637011. doi: 10.3389/fcell.2021.637011. eCollection 2021.

Abstract

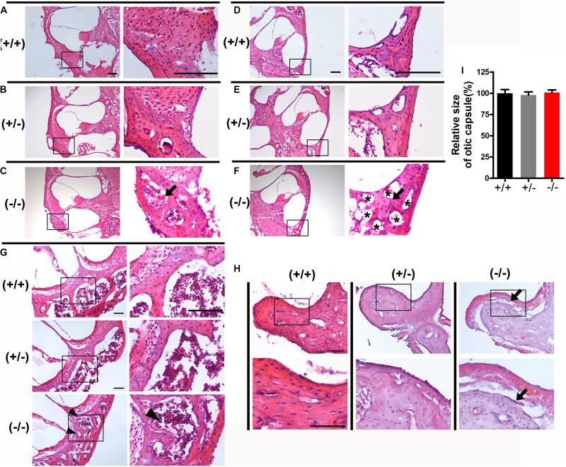
Osteopetrosis is a rare inherited bone disease characterized by dysfunction of osteoclasts, causing impaired bone resorption and remodeling, which ultimately leads to increased bone mass and density. Hearing loss is one of the most common complications of osteopetrosis. However, the etiology and pathogenesis of auditory damage still need to be explored. In this study, we found that a spontaneous mutation of coiled-coil domain-containing 154 (CCDC154) gene, a new osteopetrosis-related gene, induced congenital deafness in mice. Homozygous mutant mice showed moderate to severe hearing loss, while heterozygous or wild-type (WT) littermates displayed normal hearing. Pathological observation showed that abnormal bony remodeling of the otic capsule, characterized by increased vascularization and multiple cavitary lesions, was found in homozygous mutant mice. Normal structure of the organ of Corti and no substantial hair cell or spiral ganglion neuron loss was observed in homozygous mutant mice. Our results indicate that mutation of the osteopetrosis-related gene CCDC154 can induce syndromic hereditary deafness in mice. Bony remodeling disorders of the auditory ossicles and otic capsule are involved in the hearing loss caused by CDCC154 mutation.

摘要

骨质石化症是一种罕见的遗传性骨病,其特征为破骨细胞功能障碍,导致骨吸收和重塑受损,最终致使骨量和骨密度增加。听力损失是骨质石化症最常见的并发症之一。然而,听觉损伤的病因和发病机制仍有待探索。在本研究中,我们发现一种新的与骨质石化症相关的基因——含卷曲螺旋结构域154(CCDC154)基因的自发突变可导致小鼠先天性耳聋。纯合突变小鼠表现出中度至重度听力损失,而异合子或野生型(WT)同窝小鼠听力正常。病理观察显示,在纯合突变小鼠中发现了耳囊的异常骨重塑,其特征为血管生成增加和多个空洞性病变。在纯合突变小鼠中观察到柯蒂氏器结构正常,且未出现大量毛细胞或螺旋神经节神经元丢失。我们的结果表明,与骨质石化症相关的基因CCDC154的突变可在小鼠中诱发综合征性遗传性耳聋。听小骨和耳囊的骨重塑障碍与CDCC154突变导致听力损失有关。

https://cdn.ncbi.nlm.nih.gov/pmc/blobs/7b1c/7889813/cffb740d75ea/fcell-09-637011-g001.jpg

文献AI研究员

20分钟写一篇综述,助力文献阅读效率提升50倍。

立即体验

用中文搜PubMed

大模型驱动的PubMed中文搜索引擎

马上搜索

文档翻译

学术文献翻译模型,支持多种主流文档格式。

立即体验