Suppr超能文献

终末期肾病患者的格日博夫斯基泛发性疹性角化棘皮瘤——外用咪喹莫特乳膏和拉帕乔茶包裹均能有效缓解的未满足医疗需求:一例报告

Grzybowski's Generalized Eruptive Keratoacanthomas in a Patient with Terminal Kidney Disease-An Unmet Medical Need Equally Ameliorated by Topical Imiquimod Cream and Lapacho Tea Wraps: A Case Report.

作者信息

Havenith Regina, de Vos Luka, Fröhlich Anne, Braegelmann Christine, Sirokay Judith, Landsberg Jennifer, Wenzel Joerg, Bieber Thomas, Niebel Dennis

机构信息

Department of Dermatology and Allergy, University Hospital Bonn, Venusberg Campus 1, 53127, Bonn, Germany.

出版信息

Dermatol Ther (Heidelb). 2021 Apr;11(2):625-638. doi: 10.1007/s13555-021-00502-2. Epub 2021 Feb 23.

Abstract

INTRODUCTION

Development of singular keratoacanthoma (KA) is generally considered a benign condition as it has a tendency to regress spontaneously in spite of histological similarity to squamous cell carcinoma. Most KAs undergo excision to rule out differential diagnoses. Several alternative treatment modalities (keratinolytic, ablative, immunomodulating, antiproliferative, or targeted therapy) have been described in the past with varying success, underlining the therapeutic challenges associated with large or multiple lesions. Isomorphic response (Koebner phenomenon) may limit the efficacy of ablative options, and comorbidity may limit the use of systemic treatments. Less aggressive topical immunomodulatory treatment options represent an alternative with varying therapeutic success.

CASE REPORT

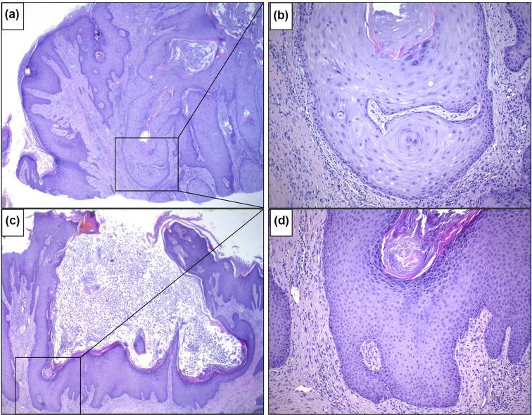
Here, we describe the clinical course of a 51-year-old male patient with terminal kidney disease who suffered from the rare benign pruritic condition of Grzybowski's generalized eruptive keratoacanthomas (GEKA) and experienced a significant reduction of lesions and symptoms upon topical therapy with imiquimod 5% cream and lapacho tea dressings alike.

CONCLUSIONS

Very little is known about the potential antiinflammatory or antiproliferative effects on the epidermis of the popular phytotherapeutic agent lapacho tea. More studies are warranted considering both the etiology and treatment of GEKA and topical use of phytotherapeutics in dermatology in general. Management of large or multiple KAs remains challenging.

摘要

引言

单发角化棘皮瘤(KA)的发生通常被认为是一种良性疾病,尽管其组织学表现与鳞状细胞癌相似,但它有自发消退的倾向。大多数KA会接受切除以排除鉴别诊断。过去已经描述了几种替代治疗方式(角质溶解、消融、免疫调节、抗增殖或靶向治疗),但效果各异,这凸显了与大的或多发病变相关的治疗挑战。同形反应(科布纳现象)可能会限制消融治疗的效果,而合并症可能会限制全身治疗的应用。侵袭性较小的局部免疫调节治疗方案是一种替代选择,但其治疗效果各不相同。

病例报告

在此,我们描述了一名51岁终末期肾病男性患者的临床病程,该患者患有罕见的良性瘙痒性疾病——格热博夫斯基泛发性疹性角化棘皮瘤(GEKA),使用5%咪喹莫特乳膏和拉帕乔茶敷料进行局部治疗后,病变和症状均有显著减轻。

结论

对于常用的植物治疗剂拉帕乔茶对表皮的潜在抗炎或抗增殖作用知之甚少。考虑到GEKA的病因和治疗以及植物治疗剂在皮肤科的一般局部应用,有必要进行更多研究。大的或多发KA的治疗仍然具有挑战性。

https://cdn.ncbi.nlm.nih.gov/pmc/blobs/3ac1/8019013/54d883498c58/13555_2021_502_Fig1_HTML.jpg

文献AI研究员

20分钟写一篇综述,助力文献阅读效率提升50倍。

立即体验

用中文搜PubMed

大模型驱动的PubMed中文搜索引擎

马上搜索

文档翻译

学术文献翻译模型,支持多种主流文档格式。

立即体验