Suppr超能文献

跖间联合:病例报告、文献综述及影像学表现——一种未被充分认识和诊断的足部疼痛病因

Intermetatarsal Coalition: Case Report, Literature Review, and Imaging Findings of an Underrecognized and Underdiagnosed Cause of Foot Pain.

作者信息

Lim WanYin, Zadow Steven, Moran Angela, Heysen Jonathan

机构信息

Dr. Jones and Partners, 226 Greenhill Rd., Eastwood SA5063, Australia.

Royal Adelaide Hospital, 1 Port Rd., Adelaide SA5000, Australia.

出版信息

Case Rep Radiol. 2021 Feb 8;2021:6667907. doi: 10.1155/2021/6667907. eCollection 2021.

Abstract

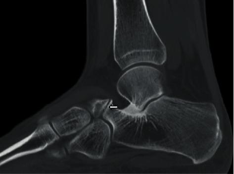
Coalition is defined as abnormal bridging between two bones, and the connection can be osseous or nonosseous. Most coalitions in the foot involve the hindfoot. Intermetatarsal coalition is thought to be much rarer than the more common hindfoot coalitions and has only been reported sporadically in the orthopedic literature. We present two patients with nonosseous intermetatarsal coalition presenting with nonspecific dorsolateral foot pain and describe the imaging findings of intermetatarsal coalition with different modalities. We suspect that whilst rarely described, intermetatarsal coalition is quite likely a more common underrecognized entity than a rare entity. This report is aimed at increasing the awareness of coalition in this location, in the radiology community, particularly the nonosseous ones, given that this condition can be debilitating but treatable.

摘要

联合被定义为两块骨头之间的异常连接,这种连接可以是骨性的或非骨性的。足部的大多数联合发生在后足。跖骨间联合被认为比更常见的后足联合要罕见得多,在骨科文献中仅有零星报道。我们报告了两名患有非骨性跖骨间联合且表现为足部背外侧非特异性疼痛的患者,并描述了不同影像学检查方式下跖骨间联合的表现。我们怀疑,虽然跖骨间联合很少被描述,但它很可能是一种比罕见病更常见却未被充分认识的病症。鉴于这种情况可能使人衰弱但可治疗,本报告旨在提高放射学界对该部位联合,尤其是非骨性联合的认识。

https://cdn.ncbi.nlm.nih.gov/pmc/blobs/03e4/7886590/01faf4c7bb7a/CRIRA2021-6667907.001.jpg

文献检索

告别复杂PubMed语法,用中文像聊天一样搜索,搜遍4000万医学文献。AI智能推荐,让科研检索更轻松。

立即免费搜索

文件翻译

保留排版,准确专业,支持PDF/Word/PPT等文件格式,支持 12+语言互译。

免费翻译文档

深度研究

AI帮你快速写综述,25分钟生成高质量综述,智能提取关键信息,辅助科研写作。

立即免费体验