Suppr超能文献

腹胀继发的胃缺血

Gastric Ischemia Secondary to Abdominal Distension.

作者信息

Gray Sanjiv, Hanna Andrew, Ganti Latha

机构信息

Surgery, University of Central Florida College of Medicine, Orlando, USA.

Emergency Medicine, University of Central Florida College of Medicine, Orlando, USA.

出版信息

Cureus. 2021 Jan 19;13(1):e12793. doi: 10.7759/cureus.12793.

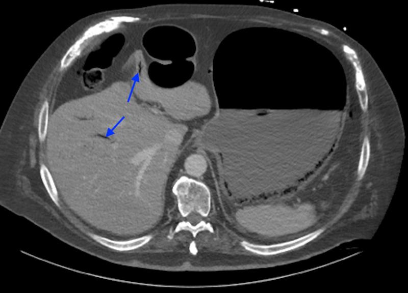
Abstract

Gastric ischemia has been reported in the literature mainly as case reports and case series. It is uncommon because of its excellent blood supply. Patients with atherosclerosis and vascular insufficiency are at risk for gastric ischemia, especially with gastric distension. Workup may reveal radiographic findings that denote ischemia and would prompt surgical intervention. However, these patients with vascular insufficiency tend to be poor surgical candidates, which can present a dilemma. The authors report two cases where non-operative management for gastric ischemia was successfully accomplished.

摘要

胃缺血在文献中主要以病例报告和病例系列的形式出现。由于其丰富的血液供应,胃缺血并不常见。患有动脉粥样硬化和血管功能不全的患者有发生胃缺血的风险,尤其是在胃扩张时。检查可能会发现提示缺血的影像学表现,并促使进行手术干预。然而,这些血管功能不全的患者往往不是手术的理想候选人,这可能会带来两难的局面。作者报告了两例成功采用非手术方法治疗胃缺血的病例。

https://cdn.ncbi.nlm.nih.gov/pmc/blobs/b67e/7891801/e7d99008a3f7/cureus-0013-00000012793-i01.jpg

文献检索

告别复杂PubMed语法,用中文像聊天一样搜索,搜遍4000万医学文献。AI智能推荐,让科研检索更轻松。

立即免费搜索

文件翻译

保留排版,准确专业,支持PDF/Word/PPT等文件格式,支持 12+语言互译。

免费翻译文档

深度研究

AI帮你快速写综述,25分钟生成高质量综述,智能提取关键信息,辅助科研写作。

立即免费体验