• 文献检索
  • 文档翻译
  • 深度研究
  • 学术资讯
  • Suppr Zotero 插件Zotero 插件
  • 邀请有礼
  • 套餐&价格
  • 历史记录
应用&插件
Suppr Zotero 插件Zotero 插件浏览器插件Mac 客户端Windows 客户端微信小程序
定价
高级版会员购买积分包购买API积分包
服务
文献检索文档翻译深度研究API 文档MCP 服务
关于我们
关于 Suppr公司介绍联系我们用户协议隐私条款
关注我们

Suppr 超能文献

核心技术专利:CN118964589B侵权必究
粤ICP备2023148730 号-1Suppr @ 2026

文献检索

告别复杂PubMed语法,用中文像聊天一样搜索,搜遍4000万医学文献。AI智能推荐,让科研检索更轻松。

立即免费搜索

文件翻译

保留排版,准确专业,支持PDF/Word/PPT等文件格式,支持 12+语言互译。

免费翻译文档

深度研究

AI帮你快速写综述,25分钟生成高质量综述,智能提取关键信息,辅助科研写作。

立即免费体验

跳出疟疾思维:坦桑尼亚城市地区一例罕见的播散性囊尾蚴病合并心肺受累病例

Thinking Outside Malaria: A Rare Case of Disseminated Cysticercosis With Cardiopulmonary Involvement From Urban Tanzania.

作者信息

Lyimo Frederick R, Jusabani Ahmed M, Makungu Hilda, Mtolera Maria, Surani Salim

机构信息

Radiology, Muhimbili National Hospital, Dar es Salaam, TZA.

Radiology, Aga Khan Hospital, Dar es Salaam, TZA.

出版信息

Cureus. 2021 Jan 22;13(1):e12851. doi: 10.7759/cureus.12851.

DOI:10.7759/cureus.12851
PMID:33628701
原文链接:https://pmc.ncbi.nlm.nih.gov/articles/PMC7897369/
Abstract

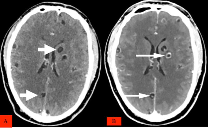
Dissemination of the cysticerci throughout the body with cardiopulmonary involvement represents a very rare occurrence and an uncommon form of cysticercosis manifestation. We report a rare case of a 48-year-old African male from urban Tanzania who was, at first, referred to our radiology department for a coronary computed tomography angiography (CCTA), but incidentally on further evaluation of the patient revealed a history of recurrent convulsions, loss of consciousness, a single episode of temporary loss of vision and recent skin nodules. The value of a full clinical and radiological evaluation of the patient presenting with adult-onset seizures cannot be overemphasized for the diagnosis of this disease. Management of disseminated cysticercosis is complex and, therefore, should be tailored to fit the individual cases and focus on clinical manifestations.

摘要

囊尾蚴在全身播散并累及心肺是一种非常罕见的情况,也是囊尾蚴病表现的一种不常见形式。我们报告一例罕见病例,患者为一名48岁来自坦桑尼亚城市的非洲男性,最初因冠状动脉计算机断层扫描血管造影(CCTA)被转诊至我们的放射科,但在对患者进一步评估时偶然发现其有反复抽搐、意识丧失、单次短暂视力丧失及近期皮肤结节的病史。对于诊断这种疾病而言,对成年起病癫痫患者进行全面临床和放射学评估的价值再怎么强调也不为过。播散性囊尾蚴病的管理很复杂,因此应根据个体情况进行调整,并关注临床表现。

https://cdn.ncbi.nlm.nih.gov/pmc/blobs/3835/7897369/c48465de7743/cureus-0013-00000012851-i05.jpg
https://cdn.ncbi.nlm.nih.gov/pmc/blobs/3835/7897369/a72d5942e80c/cureus-0013-00000012851-i01.jpg
https://cdn.ncbi.nlm.nih.gov/pmc/blobs/3835/7897369/9a6e3eaeebc0/cureus-0013-00000012851-i02.jpg
https://cdn.ncbi.nlm.nih.gov/pmc/blobs/3835/7897369/472a8f32c33e/cureus-0013-00000012851-i03.jpg
https://cdn.ncbi.nlm.nih.gov/pmc/blobs/3835/7897369/5db2bb8ff52b/cureus-0013-00000012851-i04.jpg
https://cdn.ncbi.nlm.nih.gov/pmc/blobs/3835/7897369/c48465de7743/cureus-0013-00000012851-i05.jpg
https://cdn.ncbi.nlm.nih.gov/pmc/blobs/3835/7897369/a72d5942e80c/cureus-0013-00000012851-i01.jpg
https://cdn.ncbi.nlm.nih.gov/pmc/blobs/3835/7897369/9a6e3eaeebc0/cureus-0013-00000012851-i02.jpg
https://cdn.ncbi.nlm.nih.gov/pmc/blobs/3835/7897369/472a8f32c33e/cureus-0013-00000012851-i03.jpg
https://cdn.ncbi.nlm.nih.gov/pmc/blobs/3835/7897369/5db2bb8ff52b/cureus-0013-00000012851-i04.jpg
https://cdn.ncbi.nlm.nih.gov/pmc/blobs/3835/7897369/c48465de7743/cureus-0013-00000012851-i05.jpg

相似文献

1
Thinking Outside Malaria: A Rare Case of Disseminated Cysticercosis With Cardiopulmonary Involvement From Urban Tanzania.跳出疟疾思维:坦桑尼亚城市地区一例罕见的播散性囊尾蚴病合并心肺受累病例
Cureus. 2021 Jan 22;13(1):e12851. doi: 10.7759/cureus.12851.
2
Disseminated cysticercosis and Kaposi sarcoma in a child with HIV/AIDS: A case report.HIV/AIDS 患儿合并播散性囊虫病和卡波西肉瘤:1 例报告。
BMC Infect Dis. 2020 Apr 25;20(1):309. doi: 10.1186/s12879-020-05039-x.
3
A rare case of disseminated cysticercosis.一例罕见的播散性囊尾蚴病。
Trop Parasitol. 2012 Jul;2(2):138-41. doi: 10.4103/2229-5070.105183.
4
Taenia solium cysticercosis and taeniasis in urban settings: Epidemiological evidence from a health-center based study among people with epilepsy in Dar es Salaam, Tanzania.猪带绦虫囊尾蚴病和猪带绦虫病在城市环境中的流行情况:来自坦桑尼亚达累斯萨拉姆基于卫生中心的癫痫患者研究的流行病学证据。
PLoS Negl Trop Dis. 2019 Dec 6;13(12):e0007751. doi: 10.1371/journal.pntd.0007751. eCollection 2019 Dec.
5
Disseminated cysticercosis incidentally diagnosed in a patient with distal cholangiocarcinoma: A case report.在一名远端胆管癌患者中偶然诊断出播散性囊尾蚴病:病例报告
Radiol Case Rep. 2024 Aug 17;19(11):4955-4962. doi: 10.1016/j.radcr.2024.07.112. eCollection 2024 Nov.
6
Disseminated cysticercosis in an immunocompetent individual.免疫功能正常个体的播散性囊尾蚴病。
Ann Afr Med. 2019 Jan-Mar;18(1):51-53. doi: 10.4103/aam.aam_76_17.
7
Disseminated Cysticercosis Masquerading as Mucocutaneous Nodules.伪装成皮肤黏膜结节的播散性囊尾蚴病
Indian Dermatol Online J. 2022 Sep 5;13(5):629-632. doi: 10.4103/idoj.idoj_40_22. eCollection 2022 Sep-Oct.
8
The societal cost of Taenia solium cysticercosis in Tanzania.坦桑尼亚猪带绦虫囊尾蚴病的社会成本。
Acta Trop. 2017 Jan;165:141-154. doi: 10.1016/j.actatropica.2015.12.021. Epub 2016 Jan 3.
9
Taenia solium taeniosis and cysticercosis literature in Tanzania provides research evidence justification for control: A systematic scoping review.坦桑尼亚猪带绦虫病和囊尾蚴病文献为控制提供了研究证据支持:系统范围审查。
PLoS One. 2019 Jun 5;14(6):e0217420. doi: 10.1371/journal.pone.0217420. eCollection 2019.
10
Re-visiting the detection of porcine cysticercosis based on full carcass dissections of naturally Taenia solium infected pigs.重新审视基于自然感染猪带绦虫的全尸剖检检测猪囊尾蚴病的方法。
Parasit Vectors. 2017 Nov 16;10(1):572. doi: 10.1186/s13071-017-2520-y.

引用本文的文献

1
Unmasking an Enigma: The Radiological Spectrum of Disseminated Cysticercosis.揭开谜团:播散性囊尾蚴病的放射学图谱
Cureus. 2025 Aug 27;17(8):e91093. doi: 10.7759/cureus.91093. eCollection 2025 Aug.
2
Synchronous Left Ventricular and Endocranial Mass.同步性左心室和颅内肿物
J Med Cases. 2023 Oct;14(9-10):332-338. doi: 10.14740/jmc4153. Epub 2023 Oct 13.
3
The epidemiology of human Taenia solium infections: A systematic review of the distribution in Eastern and Southern Africa.人类猪带绦虫感染的流行病学:东非和南非分布的系统评价。

本文引用的文献

1
CURRENT CONCEPTS IN NEUROCYSTICERCOSIS.神经囊尾蚴病的当前概念
Med J Armed Forces India. 1998 Jan;54(1):1-2. doi: 10.1016/S0377-1237(17)30393-3. Epub 2017 Jun 26.
2
Taenia solium Human Cysticercosis: A Systematic Review of Sero-epidemiological Data from Endemic Zones around the World.猪带绦虫人体囊尾蚴病:来自世界各地流行区血清流行病学数据的系统评价
PLoS Negl Trop Dis. 2015 Jul 6;9(7):e0003919. doi: 10.1371/journal.pntd.0003919. eCollection 2015.
3
Cysticercosis and epilepsy in rural Tanzania: a community-based case-control and imaging study.
PLoS Negl Trop Dis. 2023 Mar 31;17(3):e0011042. doi: 10.1371/journal.pntd.0011042. eCollection 2023 Mar.
坦桑尼亚农村的囊尾蚴病与癫痫:一项基于社区的病例对照及影像学研究。
Trop Med Int Health. 2015 Sep;20(9):1171-1179. doi: 10.1111/tmi.12529. Epub 2015 May 26.
4
Neurocysticercosis.神经囊尾蚴病
Neurohospitalist. 2014 Oct;4(4):205-12. doi: 10.1177/1941874414533351.
5
Neurocysticercosis as a cause of epilepsy and seizures in two community-based studies in a cysticercosis-endemic region in Peru.神经囊虫病是秘鲁囊虫病流行地区两项社区研究中癫痫和发作的病因。
PLoS Negl Trop Dis. 2014 Feb 13;8(2):e2692. doi: 10.1371/journal.pntd.0002692. eCollection 2014 Feb.
6
An uncommon manifestation of a common tropical disease: disseminated cysticercosis.
Neuroradiol J. 2012 May;25(2):200-5. doi: 10.1177/197140091202500208. Epub 2012 Apr 24.
7
A rare case of disseminated cysticercosis.一例罕见的播散性囊尾蚴病。
Trop Parasitol. 2012 Jul;2(2):138-41. doi: 10.4103/2229-5070.105183.
8
Prevalence and risk factors associated with human Taenia solium infections in Mbozi District, Mbeya Region, Tanzania.坦桑尼亚姆贝亚地区姆博齐区人类猪带绦虫感染的流行情况和相关危险因素。
PLoS Negl Trop Dis. 2013;7(3):e2102. doi: 10.1371/journal.pntd.0002102. Epub 2013 Mar 14.
9
Herculean appearance due to disseminated cysticercosis: case report.因囊虫病播散导致的大力士外观:病例报告。
Asian Pac J Trop Med. 2012 Dec;5(12):1007-8. doi: 10.1016/S1995-7645(12)60192-8.
10
A review of the control of clonorchiasis sinensis and Taenia solium taeniasis/cysticercosis in China.中国华支睾吸虫病和猪带绦虫囊尾蚴病的防治综述。
Parasitol Res. 2012 Nov;111(5):1879-84. doi: 10.1007/s00436-012-3152-y. Epub 2012 Oct 5.