Suppr超能文献

双膦酸盐用于重叠综合征治疗钙质沉着症的病例报告

Resolution of calcinosis using bisphosphonates in overlap syndrome - a case report.

作者信息

Platter Mitchell, Pugmire Brian, Patel Reshma

机构信息

Department of Pediatric Rheumatology at Valley Children's Hospital, 9300 Valley Children's Place, Madera, CA, 93720, USA.

出版信息

BMC Rheumatol. 2021 Feb 26;5(1):6. doi: 10.1186/s41927-021-00176-5.

Abstract

INTRODUCTION

Calcinosis cutis is a common complication of pediatric rheumatologic diseases. However, there is currently no consensus on first-line treatment. Bisphosphonates have been described as a successful treatment in several case studies, but most of these cases are limited to patients with isolated juvenile dermatomyositis or systemic sclerosis. Specifically, there are limited reports of their usefulness in treating overlap syndromes and mixed connective tissue disorders.

CASE PRESENTATION

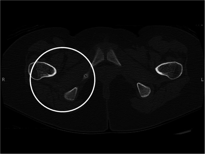
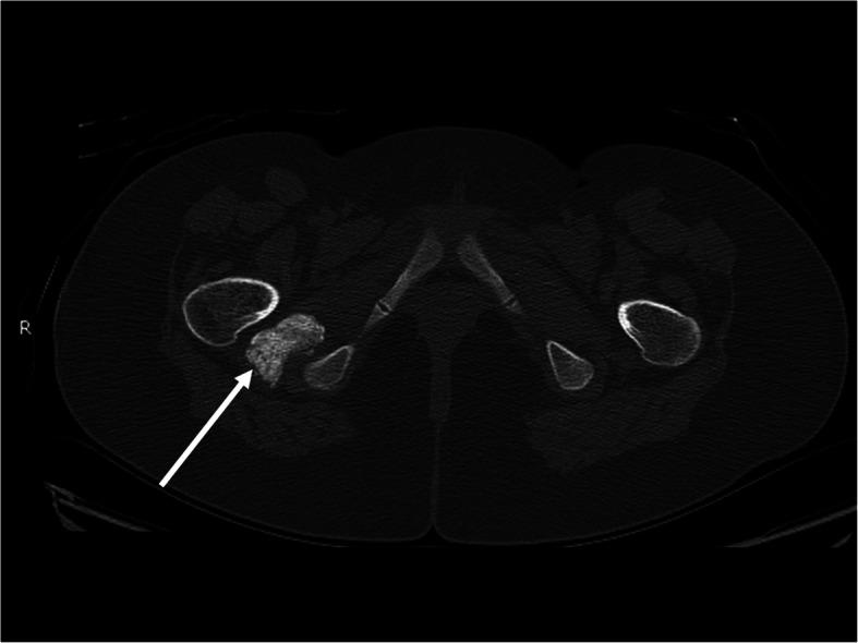
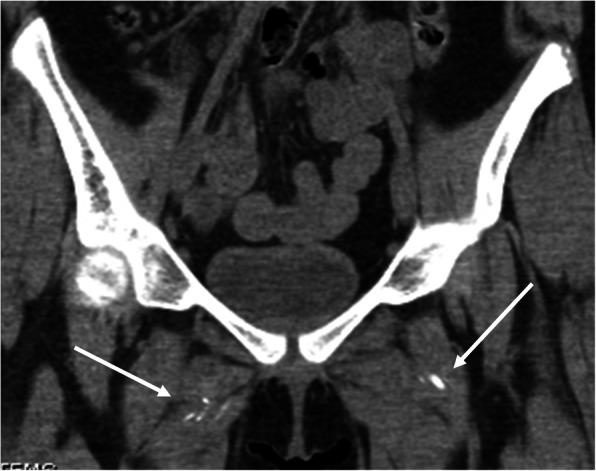
We describe the case of a 13 year-old girl with overlap syndrome with features of juvenile dermatomyositis and systemic lupus erythematosus. After 22 months of extensive immunosuppressive therapy, including monthly IVIG and Rituximab, she continued to have pain and weakness of the lower extremities. A CT scan was performed which showed significant multifocal soft tissue calcifications of the pelvis. She was started on treatment with oral alendronate with the goal of improving her calcinosis and improving her symptoms. After several months of therapy, our patient reported subjective improvement of her lower extremity pain and weakness, as well as complete resolution of abnormalities previously seen on physical examination. A repeat CT scan of the pelvis was performed after 11 months of therapy and demonstrated complete resolution of the previously seen calcinosis.

CONCLUSIONS

We report the successful treatment of soft tissue calcinosis with oral bisphosphonates in a patient with juvenile dermatomyositis-systemic lupus erythematosus overlap syndrome. These results provide further evidence that bisphosphonates can be used successfully to treat calcinosis cutis in pediatric rheumatologic disorders. Additionally, the results provide new evidence that they can be used specifically in juvenile dermatomyositis-systemic lupus erythematosus overlap syndrome, which has not been previously reported.

摘要

引言

皮肤钙化是小儿风湿性疾病的常见并发症。然而,目前对于一线治疗尚无共识。在一些病例研究中,双膦酸盐已被描述为一种成功的治疗方法,但这些病例大多仅限于患有孤立性幼年皮肌炎或系统性硬化症的患者。具体而言,关于其在治疗重叠综合征和混合性结缔组织病中的有效性的报道有限。

病例介绍

我们描述了一名13岁女孩的病例,她患有重叠综合征,具有幼年皮肌炎和系统性红斑狼疮的特征。在进行了22个月的广泛免疫抑制治疗后,包括每月静脉注射免疫球蛋白和利妥昔单抗,她的下肢仍持续疼痛和无力。进行了CT扫描,结果显示骨盆有明显的多灶性软组织钙化。她开始接受口服阿仑膦酸钠治疗,目的是改善她的皮肤钙化并缓解症状。经过几个月的治疗,我们的患者报告下肢疼痛和无力主观上有所改善,并且之前体格检查中发现的异常完全消失。治疗11个月后对骨盆进行了重复CT扫描,结果显示之前所见的皮肤钙化完全消失。

结论

我们报告了口服双膦酸盐成功治疗一名患有幼年皮肌炎 - 系统性红斑狼疮重叠综合征患者的软组织钙化。这些结果进一步证明双膦酸盐可成功用于治疗小儿风湿性疾病中的皮肤钙化。此外,这些结果提供了新的证据,表明它们可专门用于幼年皮肌炎 - 系统性红斑狼疮重叠综合征,此前尚无相关报道。

https://cdn.ncbi.nlm.nih.gov/pmc/blobs/330d/7908667/bb51de615292/41927_2021_176_Fig1_HTML.jpg

文献检索

告别复杂PubMed语法,用中文像聊天一样搜索,搜遍4000万医学文献。AI智能推荐,让科研检索更轻松。

立即免费搜索

文件翻译

保留排版,准确专业,支持PDF/Word/PPT等文件格式,支持 12+语言互译。

免费翻译文档

深度研究

AI帮你快速写综述,25分钟生成高质量综述,智能提取关键信息,辅助科研写作。

立即免费体验