• 文献检索
  • 文档翻译
  • 深度研究
  • 学术资讯
  • Suppr Zotero 插件Zotero 插件
  • 邀请有礼
  • 套餐&价格
  • 历史记录
应用&插件
Suppr Zotero 插件Zotero 插件浏览器插件Mac 客户端Windows 客户端微信小程序
定价
高级版会员购买积分包购买API积分包
服务
文献检索文档翻译深度研究API 文档MCP 服务
关于我们
关于 Suppr公司介绍联系我们用户协议隐私条款
关注我们

Suppr 超能文献

核心技术专利:CN118964589B侵权必究
粤ICP备2023148730 号-1Suppr @ 2026

文献检索

告别复杂PubMed语法,用中文像聊天一样搜索,搜遍4000万医学文献。AI智能推荐,让科研检索更轻松。

立即免费搜索

文件翻译

保留排版,准确专业,支持PDF/Word/PPT等文件格式,支持 12+语言互译。

免费翻译文档

深度研究

AI帮你快速写综述,25分钟生成高质量综述,智能提取关键信息,辅助科研写作。

立即免费体验

移植后早期肾静脉血栓形成的意外成功:一例报告及文献综述

Unexpected success in early post-transplantation renal vein thrombosis: A case report and literature review.

作者信息

Santos Joana Eugénio, Gaspar Ana, Querido Sara, Jorge Cristina, Weigert André, Gabriel Henrique Mesquita, Martinho António, Machado Domingos

机构信息

Division of Nephrology, Hospital Espírito Santo de Évora, Évora.

Division of Nephrology, Hospital Prof. Dr. Fernando da Fonseca, Amadora.

出版信息

Clin Nephrol Case Stud. 2021 Feb 19;9:19-25. doi: 10.5414/CNCS110407. eCollection 2021.

DOI:10.5414/CNCS110407
PMID:33633926
原文链接:https://pmc.ncbi.nlm.nih.gov/articles/PMC7901358/
Abstract

BACKGROUND

Allograft renal vein thrombosis can cause graft loss during the early postoperative period. This diagnosis is sometimes elusive, requiring a strong suspicion. On the other hand, several authors have recognized risk factors for allograft renal vein thrombosis, but neither a preventive approach nor a treatment have been recommended for this complication.

CASE PRESENTATION

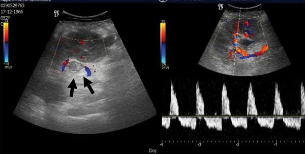
We present a case report of early allograft renal vein thrombosis, preceded by femoral common deep vein thrombosis in a recipient of a third kidney transplant. Despite femoral common deep vein thrombosis treatment with low-molecular-weight heparin and progressive improvement of renal function to a nadir serum creatinine of 0.51 mg/dL, the patient experienced a sudden episode of anuria on postoperative day 5. Doppler ultrasonography strongly suggested the diagnosis of allograft renal vein thrombosis. The patient underwent balloon catheter and aspiration venous thrombectomy, followed by unfractionated heparin perfusion. After 4 days of anuria and multiple blood transfusions, when allograft nephrectomy was contemplated, diuresis suddenly resumed. After 1 year of follow-up, the patient still has a normal renal function.

CONCLUSION

This case report shows successful treatment of allograft renal vein thrombosis associated with deep vein thrombosis in the first week of transplantation, using balloon catheter and aspiration venous thrombectomy followed by perfusion of unfractionated heparin. The authors suggest this technique as a treatment option for transplant renal vein thrombosis. However, they reinforce the importance of individualized treatment and they remind that a delay may jeopardize the potential benefit of the procedure.

摘要

背景

同种异体肾移植肾静脉血栓形成可导致术后早期移植肾丢失。该诊断有时难以捉摸,需要高度怀疑。另一方面,一些作者已经认识到同种异体肾移植肾静脉血栓形成的危险因素,但对于这种并发症既未推荐预防方法也未推荐治疗方法。

病例报告

我们报告一例早期同种异体肾移植肾静脉血栓形成的病例,该患者为第三次肾移植受者,术前存在股总深静脉血栓形成。尽管使用低分子量肝素治疗股总深静脉血栓形成且肾功能逐渐改善至血清肌酐最低点为0.51mg/dL,但患者在术后第5天突然出现无尿。多普勒超声强烈提示同种异体肾移植肾静脉血栓形成的诊断。患者接受了球囊导管和抽吸静脉血栓切除术,随后进行普通肝素灌注。在无尿4天并多次输血后,考虑进行同种异体肾切除时,突然恢复了利尿。随访1年后,患者肾功能仍正常。

结论

本病例报告显示,在移植的第一周,使用球囊导管和抽吸静脉血栓切除术,随后进行普通肝素灌注,成功治疗了与深静脉血栓形成相关的同种异体肾移植肾静脉血栓形成。作者建议将该技术作为移植肾静脉血栓形成的一种治疗选择。然而,他们强调了个体化治疗的重要性,并提醒延迟可能会危及该手术的潜在益处。

https://cdn.ncbi.nlm.nih.gov/pmc/blobs/7f4a/7901358/aa9f5a2bfba2/CNCS-9-019-03.jpg
https://cdn.ncbi.nlm.nih.gov/pmc/blobs/7f4a/7901358/06e225d0d0fd/CNCS-9-019-01.jpg
https://cdn.ncbi.nlm.nih.gov/pmc/blobs/7f4a/7901358/8d45393f3610/CNCS-9-019-02.jpg
https://cdn.ncbi.nlm.nih.gov/pmc/blobs/7f4a/7901358/aa9f5a2bfba2/CNCS-9-019-03.jpg
https://cdn.ncbi.nlm.nih.gov/pmc/blobs/7f4a/7901358/06e225d0d0fd/CNCS-9-019-01.jpg
https://cdn.ncbi.nlm.nih.gov/pmc/blobs/7f4a/7901358/8d45393f3610/CNCS-9-019-02.jpg
https://cdn.ncbi.nlm.nih.gov/pmc/blobs/7f4a/7901358/aa9f5a2bfba2/CNCS-9-019-03.jpg

相似文献

1
Unexpected success in early post-transplantation renal vein thrombosis: A case report and literature review.移植后早期肾静脉血栓形成的意外成功:一例报告及文献综述
Clin Nephrol Case Stud. 2021 Feb 19;9:19-25. doi: 10.5414/CNCS110407. eCollection 2021.
2
Case report: Application of nonsurgical method in saving transplant renal vein thrombosis caused by acute diarrhea.病例报告:非手术方法在挽救急性腹泻所致移植肾静脉血栓形成中的应用。
Front Med (Lausanne). 2023 Dec 15;10:1275188. doi: 10.3389/fmed.2023.1275188. eCollection 2023.
3
The role of thrombectomy and diffusion-weighted imaging with MRI in post-transplant renal vein thrombosis: a case report.血栓切除术及MRI弥散加权成像在移植肾肾静脉血栓形成中的作用:一例报告
BMC Nephrol. 2017 Jul 10;18(1):224. doi: 10.1186/s12882-017-0618-2.
4
Late Allograft Renal Vein Thrombosis Treated With Anticoagulation Alone: A Case Report.
Transplant Proc. 2016 Nov;48(9):3095-3098. doi: 10.1016/j.transproceed.2016.09.006.
5
Successful salvage of allograft dysfunction triggered by transplant renal vein thrombosis immediately after kidney transplantation: a case report.肾移植术后即刻移植肾静脉血栓形成引发的移植肾功能障碍成功挽救:一例报告
Int J Nephrol Renovasc Dis. 2018 Nov 23;11:321-327. doi: 10.2147/IJNRD.S185520. eCollection 2018.
6
Venous thrombectomy in patients presenting with iliofemoral vein thrombosis after renal transplantation.
Transpl Int. 1996;9(5):513-6. doi: 10.1007/BF00336832.
7
Acute renal allograft dysfunction in the setting of deep venous thrombosis: a case of successful urokinase thrombolysis and a review of the literature.深静脉血栓形成背景下的急性肾移植功能障碍:一例尿激酶溶栓成功病例及文献复习
Am J Kidney Dis. 1993 Aug;22(2):345-50. doi: 10.1016/s0272-6386(12)70330-x.
8
Late-onset renal vein thrombosis: A case report and review of the literature.迟发性肾静脉血栓形成:一例病例报告及文献综述
Int J Surg Case Rep. 2015;6C:73-6. doi: 10.1016/j.ijscr.2014.09.027. Epub 2014 Nov 21.
9
Transplant Renal Vein Thrombosis.移植肾静脉血栓形成
Exp Clin Transplant. 2017 Apr;15(2):123-129. doi: 10.6002/ect.2016.0060.
10
Case Report of Patient With Venous Thrombosis of the Transplanted Kidney in the Early Postoperative Period.患者术后早期移植肾静脉血栓形成病例报告。
Exp Clin Transplant. 2022 May;20(Suppl 3):126-128. doi: 10.6002/ect.PediatricSymp2022.O40.

本文引用的文献

1
Post transplant renal vein thrombosis, with successful thrombectomy and review of the literature.移植后肾静脉血栓形成,成功进行血栓切除术及文献综述
Int J Surg Case Rep. 2019;61:291-293. doi: 10.1016/j.ijscr.2019.07.066. Epub 2019 Jul 31.
2
Successful salvage of allograft dysfunction triggered by transplant renal vein thrombosis immediately after kidney transplantation: a case report.肾移植术后即刻移植肾静脉血栓形成引发的移植肾功能障碍成功挽救:一例报告
Int J Nephrol Renovasc Dis. 2018 Nov 23;11:321-327. doi: 10.2147/IJNRD.S185520. eCollection 2018.
3
Coagulation profile in patients with chronic kidney disease before and after kidney transplantation: A retrospective cohort study.
慢性肾脏病患者肾移植前后的凝血指标:一项回顾性队列研究。
Clin Transplant. 2017 Sep;31(9). doi: 10.1111/ctr.13051. Epub 2017 Jul 28.
4
A case report of venous thrombosis after kidney transplantation - We can save the graft? Time is the success factor.肾移植后静脉血栓形成的病例报告——我们能挽救移植肾吗?时间是成功的关键因素。
Int J Surg Case Rep. 2017;36:82-85. doi: 10.1016/j.ijscr.2017.04.022. Epub 2017 May 19.
5
Early Vascular Thrombosis After Kidney Transplantation: Can We Predict Patients at Risk?肾移植术后早期血管血栓形成:我们能否预测有风险的患者?
Transplant Proc. 2017 May;49(4):817-820. doi: 10.1016/j.transproceed.2017.03.004.
6
Transplant Renal Vein Thrombosis.移植肾静脉血栓形成
Exp Clin Transplant. 2017 Apr;15(2):123-129. doi: 10.6002/ect.2016.0060.
7
Late Allograft Renal Vein Thrombosis Treated With Anticoagulation Alone: A Case Report.
Transplant Proc. 2016 Nov;48(9):3095-3098. doi: 10.1016/j.transproceed.2016.09.006.
8
Hypercoagulability in Kidney Transplant Recipients.肾移植受者的高凝状态。
Transplantation. 2016 Apr;100(4):719-26. doi: 10.1097/TP.0000000000000887.
9
Salvage of grafts with vascular thrombosis during live donor renal allotransplantation: a critical analysis of successful outcome.活体供肾肾移植术中血管血栓形成移植物的挽救:成功结局的批判性分析
Int J Urol. 2014 Oct;21(10):999-1004. doi: 10.1111/iju.12485. Epub 2014 May 27.
10
Surgical complications in 2000 renal transplants.2000例肾移植手术的并发症
Transplant Proc. 2011 Jan-Feb;43(1):142-4. doi: 10.1016/j.transproceed.2010.12.009.