• 文献检索
  • 文档翻译
  • 深度研究
  • 学术资讯
  • Suppr Zotero 插件Zotero 插件
  • 邀请有礼
  • 套餐&价格
  • 历史记录
应用&插件
Suppr Zotero 插件Zotero 插件浏览器插件Mac 客户端Windows 客户端微信小程序
定价
高级版会员购买积分包购买API积分包
服务
文献检索文档翻译深度研究API 文档MCP 服务
关于我们
关于 Suppr公司介绍联系我们用户协议隐私条款
关注我们

Suppr 超能文献

核心技术专利:CN118964589B侵权必究
粤ICP备2023148730 号-1Suppr @ 2026

文献检索

告别复杂PubMed语法,用中文像聊天一样搜索,搜遍4000万医学文献。AI智能推荐,让科研检索更轻松。

立即免费搜索

文件翻译

保留排版,准确专业,支持PDF/Word/PPT等文件格式,支持 12+语言互译。

免费翻译文档

深度研究

AI帮你快速写综述,25分钟生成高质量综述,智能提取关键信息,辅助科研写作。

立即免费体验

碳青霉烯类耐药肺炎克雷伯菌临床分离株的多相特征表明 blaKPC-3 基因的垂直传播。

Polyphasic characterization of carbapenem-resistant Klebsiella pneumoniae clinical isolates suggests vertical transmission of the blaKPC-3 gene.

机构信息

CBQF - Centro de Biotecnologia e Química Fina - Laboratório Associado, Escola Superior de Biotecnologia, Universidade Católica Portuguesa, Porto, Portugal.

Division of Chemical Biology, Department of Biology and Biological Engineering, Chalmers University of Technology, Gothenburg, Sweden.

出版信息

PLoS One. 2021 Feb 26;16(2):e0247058. doi: 10.1371/journal.pone.0247058. eCollection 2021.

DOI:10.1371/journal.pone.0247058
PMID:33635888
原文链接:https://pmc.ncbi.nlm.nih.gov/articles/PMC7909683/
Abstract

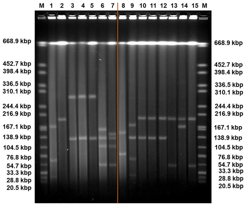
Carbapenem-resistant Klebsiella pneumoniae are a major global threat in healthcare facilities. The propagation of carbapenem resistance determinants can occur through vertical transmission, with genetic elements being transmitted by the host bacterium, or by horizontal transmission, with the same genetic elements being transferred among distinct bacterial hosts. This work aimed to track carbapenem resistance transmission by K. pneumoniae in a healthcare facility. The study involved a polyphasic approach based on conjugation assays, resistance phenotype and genotype analyses, whole genome sequencing, and plasmid characterization by pulsed field gel electrophoresis and optical DNA mapping. Out of 40 K. pneumoniae clinical isolates recovered over two years, five were carbapenem- and multidrug-resistant and belonged to multilocus sequence type ST147. These isolates harboured the carbapenemase encoding blaKPC-3 gene, integrated in conjugative plasmids of 140 kbp or 55 kbp, belonging to replicon types incFIA/incFIIK or incN/incFIIK, respectively. The two distinct plasmids encoding the blaKPC-3 gene were associated with distinct genetic lineages, as confirmed by optical DNA mapping and whole genome sequence analyses. These results suggested vertical (bacterial strain-based) transmission of the carbapenem-resistance genetic elements. Determination of the mode of transmission of antibiotic resistance in healthcare facilities, only possible based on polyphasic approaches as described here, is essential to control resistance propagation.

摘要

耐碳青霉烯类肺炎克雷伯菌是医疗机构中主要的全球性威胁。碳青霉烯耐药决定因素的传播可以通过垂直传播发生,宿主细菌通过遗传元件进行传播,或者通过水平传播发生,相同的遗传元件在不同的细菌宿主之间转移。本研究旨在追踪医疗机构中耐碳青霉烯类肺炎克雷伯菌的传播情况。该研究采用了基于接合试验、耐药表型和基因型分析、全基因组测序以及脉冲场凝胶电泳和光学 DNA 图谱分析的质粒特征的多相方法。在两年内回收的 40 株耐碳青霉烯类肺炎克雷伯菌临床分离株中,有 5 株对碳青霉烯类和多种药物具有耐药性,属于多位点序列型 ST147。这些分离株携带编码 blaKPC-3 基因的碳青霉烯酶,整合在 140 kbp 或 55 kbp 的可接合质粒中,分别属于 incFIA/incFIIK 或 incN/incFIIK 复制子类型。编码 blaKPC-3 基因的两个不同质粒与不同的遗传谱系相关,这通过光学 DNA 图谱和全基因组序列分析得到了证实。这些结果表明,碳青霉烯耐药遗传元件通过垂直(基于细菌株系)传播。只有通过这里描述的多相方法确定医疗机构中抗生素耐药性的传播方式,才能控制耐药性的传播。

https://cdn.ncbi.nlm.nih.gov/pmc/blobs/00f2/7909683/85c8307bece1/pone.0247058.g006.jpg
https://cdn.ncbi.nlm.nih.gov/pmc/blobs/00f2/7909683/a9d550a2938f/pone.0247058.g001.jpg
https://cdn.ncbi.nlm.nih.gov/pmc/blobs/00f2/7909683/2cb20a062902/pone.0247058.g002.jpg
https://cdn.ncbi.nlm.nih.gov/pmc/blobs/00f2/7909683/834019087ae7/pone.0247058.g003.jpg
https://cdn.ncbi.nlm.nih.gov/pmc/blobs/00f2/7909683/f3f612875d5f/pone.0247058.g004.jpg
https://cdn.ncbi.nlm.nih.gov/pmc/blobs/00f2/7909683/76f5ff0b0592/pone.0247058.g005.jpg
https://cdn.ncbi.nlm.nih.gov/pmc/blobs/00f2/7909683/85c8307bece1/pone.0247058.g006.jpg
https://cdn.ncbi.nlm.nih.gov/pmc/blobs/00f2/7909683/a9d550a2938f/pone.0247058.g001.jpg
https://cdn.ncbi.nlm.nih.gov/pmc/blobs/00f2/7909683/2cb20a062902/pone.0247058.g002.jpg
https://cdn.ncbi.nlm.nih.gov/pmc/blobs/00f2/7909683/834019087ae7/pone.0247058.g003.jpg
https://cdn.ncbi.nlm.nih.gov/pmc/blobs/00f2/7909683/f3f612875d5f/pone.0247058.g004.jpg
https://cdn.ncbi.nlm.nih.gov/pmc/blobs/00f2/7909683/76f5ff0b0592/pone.0247058.g005.jpg
https://cdn.ncbi.nlm.nih.gov/pmc/blobs/00f2/7909683/85c8307bece1/pone.0247058.g006.jpg

相似文献

1
Polyphasic characterization of carbapenem-resistant Klebsiella pneumoniae clinical isolates suggests vertical transmission of the blaKPC-3 gene.碳青霉烯类耐药肺炎克雷伯菌临床分离株的多相特征表明 blaKPC-3 基因的垂直传播。
PLoS One. 2021 Feb 26;16(2):e0247058. doi: 10.1371/journal.pone.0247058. eCollection 2021.
2
Emergence of Ceftazidime-Avibactam Resistance Due to Plasmid-Borne Mutations during Treatment of Carbapenem-Resistant Klebsiella pneumoniae Infections.耐碳青霉烯类肺炎克雷伯菌感染治疗期间因质粒介导的突变导致头孢他啶-阿维巴坦耐药的出现
Antimicrob Agents Chemother. 2017 Feb 23;61(3). doi: 10.1128/AAC.02097-16. Print 2017 Mar.
3
The mechanism of high-level carbapenem resistance in Klebsiella pneumoniae: underlying Ompk36-deficient strains represent a threat of emerging high-level carbapenem-resistant K. pneumoniae with IMP-1 β-lactamase production in Japan.高产碳青霉烯类耐药肺炎克雷伯菌的机制:产 IMP-1 型β-内酰胺酶的 OmpK36 缺陷株代表了日本高产碳青霉烯类耐药肺炎克雷伯菌的新威胁。
Microb Drug Resist. 2013 Aug;19(4):274-81. doi: 10.1089/mdr.2012.0248. Epub 2013 Mar 20.
4
Clonal diversity and genetic profiling of antibiotic resistance among multidrug/carbapenem-resistant Klebsiella pneumoniae isolates from a tertiary care hospital in Saudi Arabia.沙特阿拉伯一家三级护理医院耐多药/碳青霉烯类耐药肺炎克雷伯菌分离株的抗生素耐药克隆多样性和基因谱分析。
BMC Infect Dis. 2018 May 3;18(1):205. doi: 10.1186/s12879-018-3114-9.
5
Carbapenem-resistant isolates of Klebsiella pneumoniae in China and detection of a conjugative plasmid (blaKPC-2 plus qnrB4) and a blaIMP-4 gene.中国耐碳青霉烯类肺炎克雷伯菌分离株及接合性质粒(blaKPC - 2加qnrB4)和blaIMP - 4基因的检测
Antimicrob Agents Chemother. 2008 Feb;52(2):798-9. doi: 10.1128/AAC.01185-07. Epub 2007 Dec 17.
6
Outbreak of KPC-2-Producing ST76 Isolates in an Intensive Care Unit and Neurosurgery Unit.产 KPC-2 的 ST76 株在 ICU 和神经外科的爆发
Microb Drug Resist. 2020 Sep;26(9):1009-1018. doi: 10.1089/mdr.2019.0363. Epub 2020 Mar 4.
7
Whole genome sequencing for the molecular characterization of carbapenem-resistant Klebsiella pneumoniae strains isolated at the Italian ASST Fatebenefratelli Sacco Hospital, 2012-2014.2012 - 2014年在意大利ASST Fatebenefratelli Sacco医院分离的耐碳青霉烯类肺炎克雷伯菌菌株的全基因组测序用于分子特征分析
BMC Infect Dis. 2017 Oct 10;17(1):666. doi: 10.1186/s12879-017-2760-7.
8
Emergence of Klebsiella pneumoniae ST273 Carrying bla and ST656 Carrying bla in Manila, Philippines.菲律宾马尼拉出现携带bla的肺炎克雷伯菌ST273和携带bla的ST656。
Microb Drug Resist. 2016 Oct;22(7):585-588. doi: 10.1089/mdr.2015.0205. Epub 2016 Mar 31.
9
Emergence of carbapenemase-producing and colistin resistant Klebsiella pneumoniae ST101 high-risk clone in Turkey.土耳其出现产碳青霉烯酶和多粘菌素耐药肺炎克雷伯菌 ST101 高危克隆。
Acta Microbiol Immunol Hung. 2020 Nov 9;67(4):216-221. doi: 10.1556/030.2020.01275.
10
Whole genome sequencing characterization of Slovenian carbapenem-resistant Klebsiella pneumoniae, including OXA-48 and NDM-1 producing outbreak isolates.斯洛文尼亚产碳青霉烯酶肺炎克雷伯菌(包括产 OXA-48 和 NDM-1 的爆发株)的全基因组测序特征分析。
PLoS One. 2020 Apr 13;15(4):e0231503. doi: 10.1371/journal.pone.0231503. eCollection 2020.

引用本文的文献

1
Third generation cephalosporin-resistant Klebsiella pneumoniae thriving in patients and in wastewater: what do they have in common?三代头孢菌素耐药肺炎克雷伯菌在患者和废水中滋生:它们有什么共同之处?
BMC Genomics. 2022 Jan 22;23(1):72. doi: 10.1186/s12864-021-08279-6.

本文引用的文献

1
Optical maps of plasmids as a proxy for clonal spread of MDR bacteria: a case study of an outbreak in a rural Ethiopian hospital.质粒的光学图谱可作为多重耐药细菌克隆传播的替代指标:以埃塞俄比亚农村一家医院暴发疫情为例的研究。
J Antimicrob Chemother. 2020 Oct 1;75(10):2804-2811. doi: 10.1093/jac/dkaa258.
2
Optical DNA Mapping Combined with Cas9-Targeted Resistance Gene Identification for Rapid Tracking of Resistance Plasmids in a Neonatal Intensive Care Unit Outbreak.光学 DNA 图谱分析结合 Cas9 靶向抗性基因鉴定用于快速追踪新生儿重症监护病房爆发中的抗性质粒。
mBio. 2019 Jul 9;10(4):e00347-19. doi: 10.1128/mBio.00347-19.
3
Genetic variation in the conjugative plasmidome of a hospital effluent multidrug resistant Escherichia coli strain.
医院污水中多重耐药大肠杆菌接合质粒组的遗传变异。
Chemosphere. 2019 Apr;220:748-759. doi: 10.1016/j.chemosphere.2018.12.130. Epub 2018 Dec 23.
4
TETyper: a bioinformatic pipeline for classifying variation and genetic contexts of transposable elements from short-read whole-genome sequencing data.TETyper:一个从短读长全基因组测序数据中分类转座子变异和遗传背景的生物信息学管道。
Microb Genom. 2018 Dec;4(12). doi: 10.1099/mgen.0.000232. Epub 2018 Nov 22.
5
Bacterial lineages putatively associated with the dissemination of antibiotic resistance genes in a full-scale urban wastewater treatment plant.在一个全规模城市污水处理厂中,与抗生素耐药基因传播相关的细菌谱系。
Environ Int. 2018 Sep;118:179-188. doi: 10.1016/j.envint.2018.05.040. Epub 2018 Jun 5.
6
Hospital outbreak due to a Klebsiella pneumoniae ST147 clonal strain co-producing KPC-2 and VIM-1 carbapenemases in a tertiary teaching hospital in Northern Greece.希腊北部一家三级教学医院中产 KPC-2 和 VIM-1 碳青霉烯酶的肺炎克雷伯菌 ST147 克隆株引起的医院感染。
Int J Antimicrob Agents. 2018 Sep;52(3):331-337. doi: 10.1016/j.ijantimicag.2018.04.004. Epub 2018 Apr 11.
7
Antibiotic Resistance Plasmids Cointegrated into a Megaplasmid Harboring the Carbapenemase Gene.携带有碳青霉烯酶基因的巨型质粒中整合的抗生素耐药质粒。
Antimicrob Agents Chemother. 2018 Feb 23;62(3). doi: 10.1128/AAC.01448-17. Print 2018 Mar.
8
Klebsiella pneumoniae: a major worldwide source and shuttle for antibiotic resistance.肺炎克雷伯菌:抗生素耐药性的主要全球来源和传播媒介。
FEMS Microbiol Rev. 2017 May 1;41(3):252-275. doi: 10.1093/femsre/fux013.
9
MCR-1 and OXA-48 Acquisition in KPC-Producing Escherichia coli after Colistin Treatment.黏菌素治疗后产KPC的大肠埃希菌中mcr-1和OXA-48的获得
Antimicrob Agents Chemother. 2017 Jul 25;61(8). doi: 10.1128/AAC.02540-16. Print 2017 Aug.
10
The Epidemiology of Carbapenem-Resistant Enterobacteriaceae: The Impact and Evolution of a Global Menace.耐碳青霉烯类肠杆菌科细菌的流行病学:一种全球威胁的影响与演变
J Infect Dis. 2017 Feb 15;215(suppl_1):S28-S36. doi: 10.1093/infdis/jiw282.