• 文献检索
  • 文档翻译
  • 深度研究
  • 学术资讯
  • Suppr Zotero 插件Zotero 插件
  • 邀请有礼
  • 套餐&价格
  • 历史记录
应用&插件
Suppr Zotero 插件Zotero 插件浏览器插件Mac 客户端Windows 客户端微信小程序
定价
高级版会员购买积分包购买API积分包
服务
文献检索文档翻译深度研究API 文档MCP 服务
关于我们
关于 Suppr公司介绍联系我们用户协议隐私条款
关注我们

Suppr 超能文献

核心技术专利:CN118964589B侵权必究
粤ICP备2023148730 号-1Suppr @ 2026

文献检索

告别复杂PubMed语法,用中文像聊天一样搜索,搜遍4000万医学文献。AI智能推荐,让科研检索更轻松。

立即免费搜索

文件翻译

保留排版,准确专业,支持PDF/Word/PPT等文件格式,支持 12+语言互译。

免费翻译文档

深度研究

AI帮你快速写综述,25分钟生成高质量综述,智能提取关键信息,辅助科研写作。

立即免费体验

坏疽性脓皮病与可卡因/左旋咪唑的使用有关。三例病例系列及文献复习。

Pyoderma gangrenosum associated to the use of cocaine/levamisole. Series of three cases and literature review.

机构信息

Service of Dermatology, Department of Internal Medicine, Faculty of Medicine, University of Antioquia and San Vicente Fundación Hospital, Medellín, Colombia.

Service of Dermatology, Department of Internal Medicine, Faculty of Medicine, University of Antioquia and San Vicente Fundación Hospital, Medellín, Colombia.

出版信息

An Bras Dermatol. 2021 Mar-Apr;96(2):188-195. doi: 10.1016/j.abd.2020.06.014. Epub 2021 Feb 6.

DOI:10.1016/j.abd.2020.06.014
PMID:33640188
原文链接:https://pmc.ncbi.nlm.nih.gov/articles/PMC8007549/
Abstract

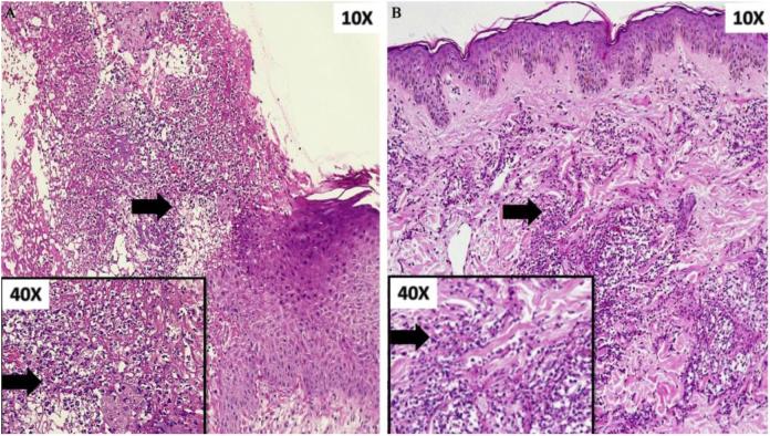
Pyoderma gangrenosum associated to the use of cocaine/levamisole is a rare condition associated to their consumption. Cocaine use is frequent in Colombia, and the substance is contaminated with levamisole, an anthelmintic that increases the psychotropic effects and enhances its side effects. We present three clinical cases of patients with ulcerated lesions, in which the diagnosis was pyoderma gangrenosum secondary to the use of cocaine contaminated with levamisole. This called the attention of the health staff to investigate the abuse of substances in gangrenous pyoderma and also evidence that the interruption of consumption was the basis of management.

摘要

坏疽性脓皮病与可卡因/左旋咪唑的使用有关,这是一种罕见的与它们的使用相关的疾病。可卡因在哥伦比亚很常见,而且这种物质被左旋咪唑污染,左旋咪唑是一种驱虫剂,可增加精神活性作用并增强其副作用。我们介绍了三例患有溃疡性病变的患者的临床病例,其中诊断为继发于使用被左旋咪唑污染的可卡因的坏疽性脓皮病。这引起了卫生人员的注意,以调查坏疽性脓皮病中滥用物质的情况,并证明中断使用是治疗的基础。

https://cdn.ncbi.nlm.nih.gov/pmc/blobs/852b/8007549/57f1626ce6f9/gr5.jpg
https://cdn.ncbi.nlm.nih.gov/pmc/blobs/852b/8007549/a856dba5cf86/gr1.jpg
https://cdn.ncbi.nlm.nih.gov/pmc/blobs/852b/8007549/ea69fe4841f1/gr2.jpg
https://cdn.ncbi.nlm.nih.gov/pmc/blobs/852b/8007549/e22940bbad3d/gr3.jpg
https://cdn.ncbi.nlm.nih.gov/pmc/blobs/852b/8007549/73bb0b983fa9/gr4.jpg
https://cdn.ncbi.nlm.nih.gov/pmc/blobs/852b/8007549/57f1626ce6f9/gr5.jpg
https://cdn.ncbi.nlm.nih.gov/pmc/blobs/852b/8007549/a856dba5cf86/gr1.jpg
https://cdn.ncbi.nlm.nih.gov/pmc/blobs/852b/8007549/ea69fe4841f1/gr2.jpg
https://cdn.ncbi.nlm.nih.gov/pmc/blobs/852b/8007549/e22940bbad3d/gr3.jpg
https://cdn.ncbi.nlm.nih.gov/pmc/blobs/852b/8007549/73bb0b983fa9/gr4.jpg
https://cdn.ncbi.nlm.nih.gov/pmc/blobs/852b/8007549/57f1626ce6f9/gr5.jpg

相似文献

1
Pyoderma gangrenosum associated to the use of cocaine/levamisole. Series of three cases and literature review.坏疽性脓皮病与可卡因/左旋咪唑的使用有关。三例病例系列及文献复习。
An Bras Dermatol. 2021 Mar-Apr;96(2):188-195. doi: 10.1016/j.abd.2020.06.014. Epub 2021 Feb 6.
2
[Multilocular pyoderma gangrenosum from levamisole adulterated cocaine].[由左旋咪唑掺杂可卡因引起的多房性坏疽性脓皮病]
Dermatologie (Heidelb). 2024 Aug;75(8):640. doi: 10.1007/s00105-024-05384-x. Epub 2024 Jun 27.
3
Pyoderma gangrenosum (PG) associated with levamisole-adulterated cocaine: Clinical, serologic, and histopathologic findings in a cohort of patients.与掺有左旋咪唑的可卡因相关的坏疽性脓皮病(PG):一组患者的临床、血清学和组织病理学发现。
J Am Acad Dermatol. 2016 May;74(5):892-8. doi: 10.1016/j.jaad.2015.11.040. Epub 2016 Jan 16.
4
Pyoderma gangrenosum associated with levamisole-adulterated cocaine in a c-ANCA positive patient.一 c-ANCA 阳性患者因混有左旋咪唑的可卡因致坏疽性脓皮病。
Dermatol Online J. 2021 Jan 15;27(1):13030/qt3dm8p6s5.
5
Periorbital Pyoderma Gangrenosum Associated With a Cocaine-Induced Midline Destructive Lesion: Case Report and Review of the Literature.眶周坏疽性脓皮病伴可卡因诱导的中线破坏性病变:病例报告及文献复习。
Ophthalmic Plast Reconstr Surg. 2023;39(3):e91-e96. doi: 10.1097/IOP.0000000000002347. Epub 2023 Mar 9.
6
Pyoderma gangrenosum: a possible cutaneous complication of levamisole-tainted cocaine abuse.坏疽性脓皮病:左旋咪唑污染的可卡因滥用可能导致的皮肤并发症。
Int J Dermatol. 2015 Sep;54(9):1075-7. doi: 10.1111/ijd.12212. Epub 2014 Jun 5.
7
Disseminated Necrotic Suppurative Ulcers as a Manifestation of Cocaine Abuse.播散性坏死性化脓性溃疡作为可卡因滥用的一种表现形式。
Eur J Case Rep Intern Med. 2023 May 22;10(6):003878. doi: 10.12890/2023_003878. eCollection 2023.
8
Multifocal and refractory pyoderma gangrenosum: Possible role of cocaine abuse.多灶性难治性坏疽性脓皮病:可卡因滥用的可能作用。
Australas J Dermatol. 2017 Aug;58(3):e83-e86. doi: 10.1111/ajd.12498. Epub 2016 Jun 2.
9
Pyoderma gangrenosum and Wegener granulomatosis-like syndrome induced by cocaine.可卡因诱发的坏疽性脓皮病和 Wegener 肉芽肿样综合征。
Clin Exp Dermatol. 2013 Dec;38(8):878-82. doi: 10.1111/ced.12207. Epub 2013 Nov 5.
10
[Two cases of eruptive pyoderma gangrenosum associated with cocaine use].[两例与使用可卡因相关的爆发性坏疽性脓皮病]
Actas Dermosifiliogr. 2008 Nov;99(9):727-30.

引用本文的文献

1
Cocaine-Induced Dermatomucositis: Clarifying Diagnostic Controversies and Introducing IgG4 Positivity as a New Histopathological Feature.可卡因诱导的皮肤黏膜炎症:澄清诊断争议并引入IgG4阳性作为一种新的组织病理学特征
Dermatol Ther (Heidelb). 2025 Aug 19. doi: 10.1007/s13555-025-01512-0.
2
Mucocutaneous Manifestations of Recreational Drug Use.娱乐性药物使用的黏膜皮肤表现。
Am J Clin Dermatol. 2024 Mar;25(2):281-297. doi: 10.1007/s40257-023-00835-y. Epub 2024 Jan 13.
3
Disseminated Necrotic Suppurative Ulcers as a Manifestation of Cocaine Abuse.

本文引用的文献

1
Ulcerative pyoderma gangrenosum associated with cocaine use.
Med Clin (Barc). 2020 May 8;154(9):373-374. doi: 10.1016/j.medcli.2019.03.009. Epub 2019 May 18.
2
Cocaine-induced pyoderma gangrenosum-like lesions.
J Dtsch Dermatol Ges. 2018 Jun;16(6):763-768. doi: 10.1111/ddg.13523. Epub 2018 May 22.
3
Nasal septal and mucosal disease associated with pyoderma gangrenosum in a cocaine user.一名可卡因使用者中与坏疽性脓皮病相关的鼻中隔和粘膜疾病。
JAAD Case Rep. 2017 Jun 22;3(4):284-287. doi: 10.1016/j.jdcr.2017.05.004. eCollection 2017 Jul.
4
播散性坏死性化脓性溃疡作为可卡因滥用的一种表现形式。
Eur J Case Rep Intern Med. 2023 May 22;10(6):003878. doi: 10.12890/2023_003878. eCollection 2023.
4
Cocaine/Levamisole-Induced, Skin-Limited ANCA-Associated Vasculitis with Pyoderma Gangrenosum-like Presentation.可卡因/左旋咪唑诱发的、皮肤局限性抗中性粒细胞胞浆抗体相关性血管炎伴坏疽性脓皮病样表现
Dermatopathology (Basel). 2022 Jun 29;9(3):207-211. doi: 10.3390/dermatopathology9030026.
Multiple Pyoderma Ulcers Associated with Cocaine Abuse.与可卡因滥用相关的多发性脓皮病溃疡
Sultan Qaboos Univ Med J. 2016 Nov;16(4):e527-e528. doi: 10.18295/squmj.2016.16.04.024. Epub 2016 Nov 30.
5
Multifocal and refractory pyoderma gangrenosum: Possible role of cocaine abuse.多灶性难治性坏疽性脓皮病:可卡因滥用的可能作用。
Australas J Dermatol. 2017 Aug;58(3):e83-e86. doi: 10.1111/ajd.12498. Epub 2016 Jun 2.
6
Pyoderma gangrenosum (PG) associated with levamisole-adulterated cocaine: Clinical, serologic, and histopathologic findings in a cohort of patients.与掺有左旋咪唑的可卡因相关的坏疽性脓皮病(PG):一组患者的临床、血清学和组织病理学发现。
J Am Acad Dermatol. 2016 May;74(5):892-8. doi: 10.1016/j.jaad.2015.11.040. Epub 2016 Jan 16.
7
Nasal septum perforation in patient with pyoderma gangrenosum.坏疽性脓皮病患者的鼻中隔穿孔。
Int Arch Otorhinolaryngol. 2012 Apr;16(2):278-81. doi: 10.7162/S1809-97772012000200018.
8
Pyoderma gangrenosum: a possible cutaneous complication of levamisole-tainted cocaine abuse.坏疽性脓皮病:左旋咪唑污染的可卡因滥用可能导致的皮肤并发症。
Int J Dermatol. 2015 Sep;54(9):1075-7. doi: 10.1111/ijd.12212. Epub 2014 Jun 5.
9
Pyoderma gangrenosum and Wegener granulomatosis-like syndrome induced by cocaine.可卡因诱发的坏疽性脓皮病和 Wegener 肉芽肿样综合征。
Clin Exp Dermatol. 2013 Dec;38(8):878-82. doi: 10.1111/ced.12207. Epub 2013 Nov 5.
10
[Two cases of eruptive pyoderma gangrenosum associated with cocaine use].[两例与使用可卡因相关的爆发性坏疽性脓皮病]
Actas Dermosifiliogr. 2008 Nov;99(9):727-30.