• 文献检索
  • 文档翻译
  • 深度研究
  • 学术资讯
  • Suppr Zotero 插件Zotero 插件
  • 邀请有礼
  • 套餐&价格
  • 历史记录
应用&插件
Suppr Zotero 插件Zotero 插件浏览器插件Mac 客户端Windows 客户端微信小程序
定价
高级版会员购买积分包购买API积分包
服务
文献检索文档翻译深度研究API 文档MCP 服务
关于我们
关于 Suppr公司介绍联系我们用户协议隐私条款
关注我们

Suppr 超能文献

核心技术专利:CN118964589B侵权必究
粤ICP备2023148730 号-1Suppr @ 2026

文献检索

告别复杂PubMed语法,用中文像聊天一样搜索,搜遍4000万医学文献。AI智能推荐,让科研检索更轻松。

立即免费搜索

文件翻译

保留排版,准确专业,支持PDF/Word/PPT等文件格式,支持 12+语言互译。

免费翻译文档

深度研究

AI帮你快速写综述,25分钟生成高质量综述,智能提取关键信息,辅助科研写作。

立即免费体验

衰老肿瘤细胞在结直肠癌中构建细胞因子屏障。

Senescent Tumor Cells Build a Cytokine Shield in Colorectal Cancer.

作者信息

Choi Yong Won, Kim Young Hwa, Oh Seung Yeop, Suh Kwang Wook, Kim Young-Sam, Lee Ga-Yeon, Yoon Jung Eun, Park Soon Sang, Lee Young-Kyoung, Park Yoo Jung, Kim Hong Seok, Park So Hyun, Kim Jang-Hee, Park Tae Jun

机构信息

Department of Biochemistry and Molecular Biology Ajou University School of Medicine Suwon 16499 Korea.

Department of Hematology-Oncology Ajou University School of Medicine Suwon 16499 Korea.

出版信息

Adv Sci (Weinh). 2021 Jan 4;8(4):2002497. doi: 10.1002/advs.202002497. eCollection 2021 Feb.

DOI:10.1002/advs.202002497
PMID:33643790
原文链接:https://pmc.ncbi.nlm.nih.gov/articles/PMC7887594/
Abstract

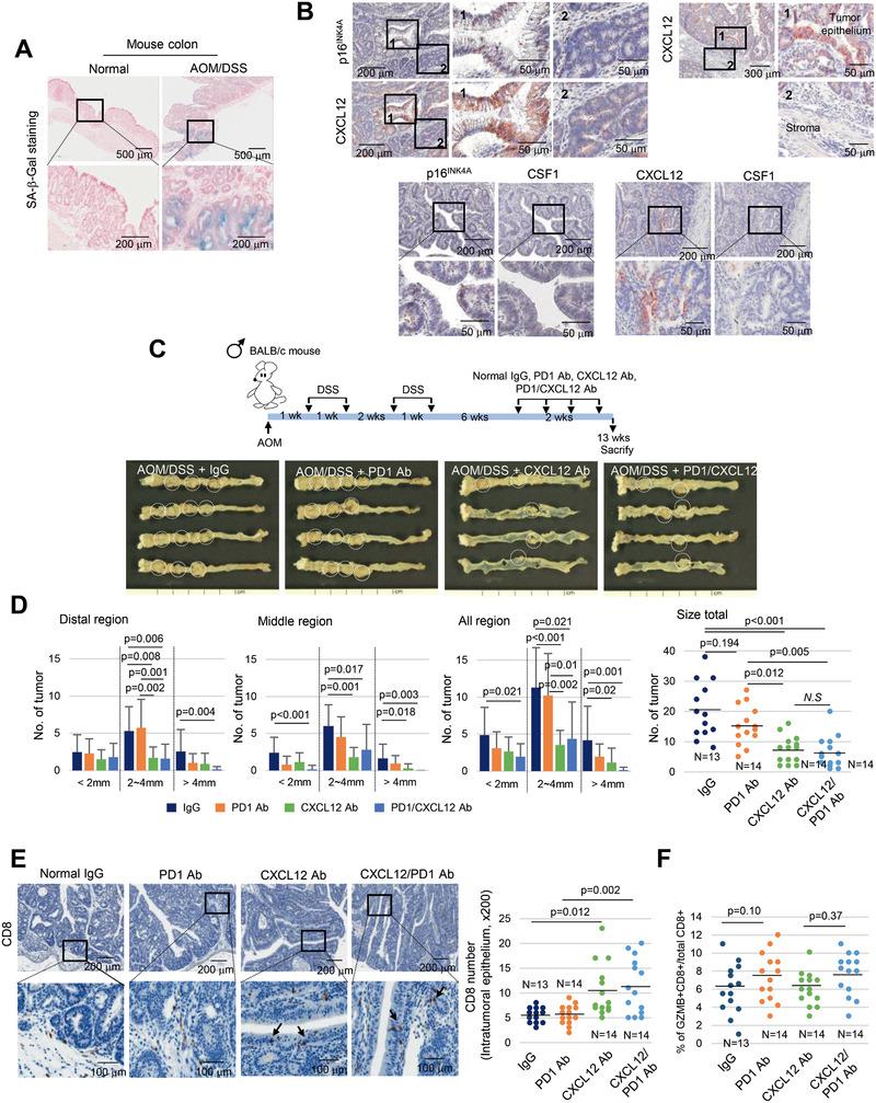
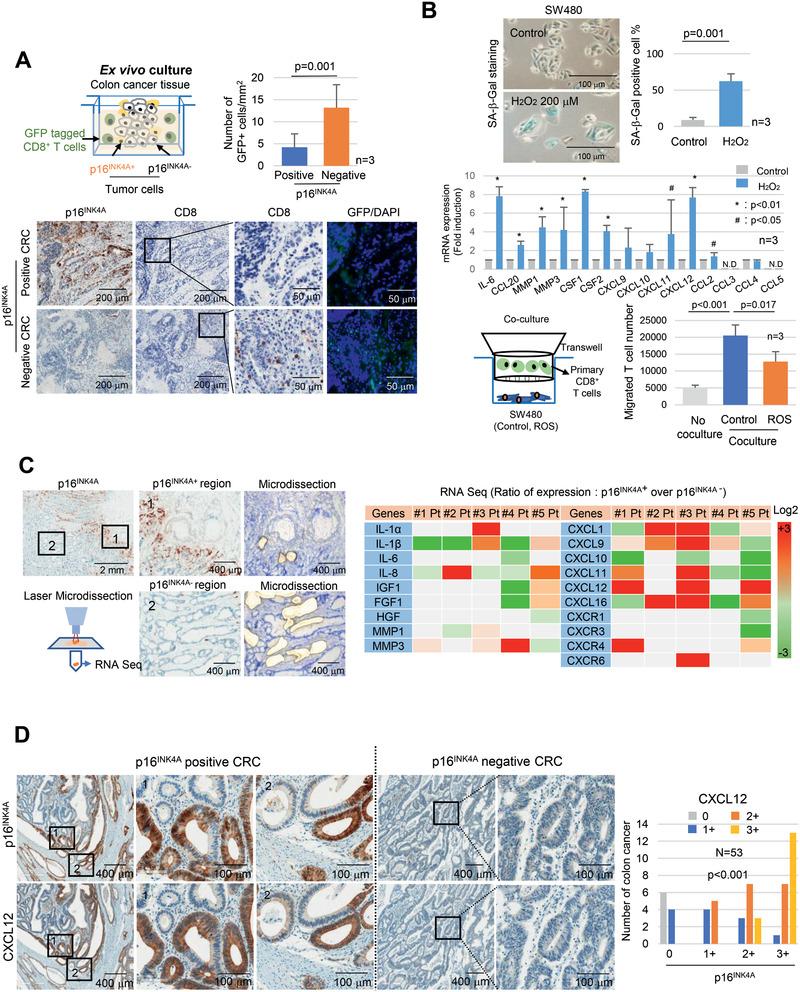
Cellular senescence can either support or inhibit cancer progression. Here, it is shown that intratumoral infiltration of CD8 T cells is negatively associated with the proportion of senescent tumor cells in colorectal cancer (CRC). Gene expression analysis reveals increased expression of C-X-C motif chemokine ligand 12 (CXCL12) and colony stimulating factor 1 (CSF1) in senescent tumor cells. Senescent tumor cells inhibit CD8 T cell infiltration by secreting a high concentration of CXCL12, which induces a loss of CXCR4 in T cells that result in impaired directional migration. CSF1 from senescent tumor cells enhance monocyte differentiation into M2 macrophages, which inhibit CD8 T cell activation. Neutralization of CXCL12/CSF1 increases the effect of anti-PD1 antibody in allograft tumors. Furthermore, inhibition of CXCL12 from senescent tumor cells enhances T cell infiltration and results in reducing the number and size of tumors in azoxymethane (AOM)/dextran sulfate sodium (DSS)-induced CRC. These findings suggest senescent tumor cells generate a cytokine barrier protecting nonsenescent tumor cells from immune attack and provide a new target for overcoming the immunotherapy resistance of CRC.

摘要

细胞衰老既可以支持也可以抑制癌症进展。在此研究中发现,结直肠癌(CRC)中CD8 T细胞的肿瘤内浸润与衰老肿瘤细胞的比例呈负相关。基因表达分析显示,衰老肿瘤细胞中C-X-C基序趋化因子配体12(CXCL12)和集落刺激因子1(CSF1)的表达增加。衰老肿瘤细胞通过分泌高浓度的CXCL12抑制CD8 T细胞浸润,CXCL12会导致T细胞中CXCR4丢失,从而损害定向迁移。衰老肿瘤细胞分泌的CSF1会增强单核细胞向M2巨噬细胞的分化,进而抑制CD8 T细胞的活化。中和CXCL12/CSF1可增强同种异体移植肿瘤中抗PD1抗体的效果。此外,抑制衰老肿瘤细胞分泌的CXCL12可增强T细胞浸润,并减少由氧化偶氮甲烷(AOM)/葡聚糖硫酸钠(DSS)诱导的CRC中的肿瘤数量和大小。这些发现表明,衰老肿瘤细胞产生了一种细胞因子屏障,保护非衰老肿瘤细胞免受免疫攻击,并为克服CRC的免疫治疗耐药性提供了新的靶点。

https://cdn.ncbi.nlm.nih.gov/pmc/blobs/4a3e/7887594/cac75b803644/ADVS-8-2002497-g008.jpg
https://cdn.ncbi.nlm.nih.gov/pmc/blobs/4a3e/7887594/a197b03c62c7/ADVS-8-2002497-g001.jpg
https://cdn.ncbi.nlm.nih.gov/pmc/blobs/4a3e/7887594/05d1544a4740/ADVS-8-2002497-g002.jpg
https://cdn.ncbi.nlm.nih.gov/pmc/blobs/4a3e/7887594/d561c9841843/ADVS-8-2002497-g003.jpg
https://cdn.ncbi.nlm.nih.gov/pmc/blobs/4a3e/7887594/83c4e42e3ed7/ADVS-8-2002497-g004.jpg
https://cdn.ncbi.nlm.nih.gov/pmc/blobs/4a3e/7887594/9fcce443bc28/ADVS-8-2002497-g005.jpg
https://cdn.ncbi.nlm.nih.gov/pmc/blobs/4a3e/7887594/4beed8d3a683/ADVS-8-2002497-g006.jpg
https://cdn.ncbi.nlm.nih.gov/pmc/blobs/4a3e/7887594/1ece441b9baf/ADVS-8-2002497-g007.jpg
https://cdn.ncbi.nlm.nih.gov/pmc/blobs/4a3e/7887594/cac75b803644/ADVS-8-2002497-g008.jpg
https://cdn.ncbi.nlm.nih.gov/pmc/blobs/4a3e/7887594/a197b03c62c7/ADVS-8-2002497-g001.jpg
https://cdn.ncbi.nlm.nih.gov/pmc/blobs/4a3e/7887594/05d1544a4740/ADVS-8-2002497-g002.jpg
https://cdn.ncbi.nlm.nih.gov/pmc/blobs/4a3e/7887594/d561c9841843/ADVS-8-2002497-g003.jpg
https://cdn.ncbi.nlm.nih.gov/pmc/blobs/4a3e/7887594/83c4e42e3ed7/ADVS-8-2002497-g004.jpg
https://cdn.ncbi.nlm.nih.gov/pmc/blobs/4a3e/7887594/9fcce443bc28/ADVS-8-2002497-g005.jpg
https://cdn.ncbi.nlm.nih.gov/pmc/blobs/4a3e/7887594/4beed8d3a683/ADVS-8-2002497-g006.jpg
https://cdn.ncbi.nlm.nih.gov/pmc/blobs/4a3e/7887594/1ece441b9baf/ADVS-8-2002497-g007.jpg
https://cdn.ncbi.nlm.nih.gov/pmc/blobs/4a3e/7887594/cac75b803644/ADVS-8-2002497-g008.jpg

相似文献

1
Senescent Tumor Cells Build a Cytokine Shield in Colorectal Cancer.衰老肿瘤细胞在结直肠癌中构建细胞因子屏障。
Adv Sci (Weinh). 2021 Jan 4;8(4):2002497. doi: 10.1002/advs.202002497. eCollection 2021 Feb.
2
Role of senescent tumor cells in building a cytokine shield in the tumor microenvironment: mathematical modeling.衰老肿瘤细胞在肿瘤微环境中构建细胞因子屏障的作用:数学建模
J Math Biol. 2022 Dec 13;86(1):14. doi: 10.1007/s00285-022-01850-z.
3
SIRT1 induces the accumulation of TAMs at colorectal cancer tumor sites via the CXCR4/CXCL12 axis.SIRT1 通过 CXCR4/CXCL12 轴诱导 TAMs 在结直肠癌肿瘤部位的积累。
Cell Immunol. 2022 Jan;371:104458. doi: 10.1016/j.cellimm.2021.104458. Epub 2021 Nov 24.
4
CXCL8 induces M2 macrophage polarization and inhibits CD8 T cell infiltration to generate an immunosuppressive microenvironment in colorectal cancer.CXCL8 诱导 M2 巨噬细胞极化,并抑制 CD8 T 细胞浸润,从而在结直肠癌中产生免疫抑制微环境。
FASEB J. 2023 Oct;37(10):e23173. doi: 10.1096/fj.202201982RRR.
5
Single-cell RNA sequencing reveals distinct cellular factors for response to immunotherapy targeting CD73 and PD-1 in colorectal cancer.单细胞 RNA 测序揭示了针对结直肠癌中 CD73 和 PD-1 的免疫治疗反应的独特细胞因子。
J Immunother Cancer. 2021 Jul;9(7). doi: 10.1136/jitc-2021-002503.
6
CAFs secrete CXCL12 to accelerate the progression and cisplatin resistance of colorectal cancer through promoting M2 polarization of macrophages.成纤维细胞通过分泌 CXCL12 促进巨噬细胞 M2 极化从而加速结直肠癌的进展和铂类耐药性。
Med Oncol. 2023 Feb 3;40(3):90. doi: 10.1007/s12032-023-01953-7.
7
TiaochangXiaoliu decoction inhibits azomethane (AOM)/dextran sulfate sodium (DSS)-induced colorectal cancer by regulating immune response.调畅消瘤汤通过调节免疫反应抑制偶氮甲烷(AOM)/葡聚糖硫酸钠(DSS)诱导的结直肠癌。
J Gastrointest Oncol. 2021 Oct;12(5):2223-2231. doi: 10.21037/jgo-21-580.
8
Senescence-Associated Molecules and Tumor-Immune-Interactions as Prognostic Biomarkers in Colorectal Cancer.衰老相关分子与肿瘤免疫相互作用作为结直肠癌的预后生物标志物
Front Med (Lausanne). 2022 Apr 12;9:865230. doi: 10.3389/fmed.2022.865230. eCollection 2022.
9
Klotho-mediated targeting of CCL2 suppresses the induction of colorectal cancer progression by stromal cell senescent microenvironments.Klotho 介导的 CCL2 靶向抑制基质细胞衰老微环境诱导的结直肠癌进展。
Mol Oncol. 2019 Nov;13(11):2460-2475. doi: 10.1002/1878-0261.12577. Epub 2019 Oct 6.
10
Upregulation of PD-1 follows tumour development in the AOM/DSS model of inflammation-induced colorectal cancer in mice.PD-1 的上调发生在 AOM/DSS 诱导的小鼠炎症相关结直肠癌模型的肿瘤发展过程中。
Immunology. 2019 Sep;158(1):35-46. doi: 10.1111/imm.13093.

引用本文的文献

1
Cellular senescence in colorectal cancer: its occurrence, effect and therapy.结直肠癌中的细胞衰老:其发生、影响及治疗
Front Oncol. 2025 Aug 15;15:1580951. doi: 10.3389/fonc.2025.1580951. eCollection 2025.
2
Ordinary differential equation model of cancer-associated fibroblast heterogeneity predicts treatment outcomes.癌症相关成纤维细胞异质性的常微分方程模型可预测治疗结果。
NPJ Syst Biol Appl. 2025 Aug 23;11(1):96. doi: 10.1038/s41540-025-00578-y.
3
Beyond polarization: macrophage senescence in immunoregulation and cancer therapy.

本文引用的文献

1
Upregulation of PD-1 follows tumour development in the AOM/DSS model of inflammation-induced colorectal cancer in mice.PD-1 的上调发生在 AOM/DSS 诱导的小鼠炎症相关结直肠癌模型的肿瘤发展过程中。
Immunology. 2019 Sep;158(1):35-46. doi: 10.1111/imm.13093.
2
Reactive Oxygen Species in the Tumor Microenvironment: An Overview.肿瘤微环境中的活性氧物种:综述
Cancers (Basel). 2019 Aug 16;11(8):1191. doi: 10.3390/cancers11081191.
3
Proteomics Approaches to Define Senescence Heterogeneity and Chemotherapy Response.蛋白质组学方法定义衰老异质性和化疗反应。
超越极化:巨噬细胞衰老在免疫调节和癌症治疗中的作用
Int J Biol Sci. 2025 Jun 23;21(10):4312-4333. doi: 10.7150/ijbs.115921. eCollection 2025.
4
The states of senescent cells.衰老细胞的状态。
Biochem Soc Trans. 2025 Aug 29;53(4):935-952. doi: 10.1042/BST20253054.
5
A phase Ib/II trial of atezolizumab with cobimetinib or idasanutlin in metastatic estrogen receptor positive breast cancer.阿特珠单抗联合考比替尼或艾达司他丁治疗转移性雌激素受体阳性乳腺癌的Ib/II期试验。
NPJ Breast Cancer. 2025 Jun 21;11(1):61. doi: 10.1038/s41523-025-00773-4.
6
Therapy-induced senescence is a transient drug resistance mechanism in breast cancer.治疗诱导的衰老 是乳腺癌中的一种短暂性耐药机制。
Mol Cancer. 2025 May 1;24(1):128. doi: 10.1186/s12943-025-02310-0.
7
High p16 expression in glioblastoma is associated with senescence phenotype and better prognosis.胶质母细胞瘤中高p16表达与衰老表型及较好预后相关。
Neoplasia. 2025 Feb;60:101116. doi: 10.1016/j.neo.2024.101116. Epub 2024 Dec 25.
8
Targeting the Cascade Amplification of Macrophage Colony-stimulating Factor to Alleviate the Immunosuppressive Effects Following Radiotherapy.靶向巨噬细胞集落刺激因子的级联放大以减轻放疗后的免疫抑制作用。
Research (Wash D C). 2024 Aug 20;7:0450. doi: 10.34133/research.0450. eCollection 2024.
9
Therapy-Induced Cellular Senescence: Potentiating Tumor Elimination or Driving Cancer Resistance and Recurrence?治疗诱导的细胞衰老:增强肿瘤消除或导致癌症耐药和复发?
Cells. 2024 Jul 30;13(15):1281. doi: 10.3390/cells13151281.
10
Therapy-induced senescent tumor cells in cancer relapse.癌症复发中治疗诱导的衰老肿瘤细胞。
J Natl Cancer Cent. 2023 Sep 19;3(4):273-278. doi: 10.1016/j.jncc.2023.09.001. eCollection 2023 Dec.
Proteomics. 2019 Nov;19(21-22):e1800447. doi: 10.1002/pmic.201800447. Epub 2019 May 13.
4
Obstacles to T cell migration in the tumor microenvironment.肿瘤微环境中T细胞迁移的障碍。
Comp Immunol Microbiol Infect Dis. 2019 Apr;63:22-30. doi: 10.1016/j.cimid.2018.12.006. Epub 2018 Dec 27.
5
KRAS-IRF2 Axis Drives Immune Suppression and Immune Therapy Resistance in Colorectal Cancer.KRAS-IRF2 轴驱动结直肠癌的免疫抑制和免疫治疗耐药性。
Cancer Cell. 2019 Apr 15;35(4):559-572.e7. doi: 10.1016/j.ccell.2019.02.008. Epub 2019 Mar 21.
6
Cells exhibiting strong promoter activation in vivo display features of senescence.体内具有强烈启动子激活的细胞表现出衰老的特征。
Proc Natl Acad Sci U S A. 2019 Feb 12;116(7):2603-2611. doi: 10.1073/pnas.1818313116. Epub 2019 Jan 25.
7
Single senescent cell sequencing reveals heterogeneity in senescent cells induced by telomere erosion.单细胞衰老细胞测序揭示了端粒侵蚀诱导的衰老细胞中的异质性。
Protein Cell. 2019 May;10(5):370-375. doi: 10.1007/s13238-018-0591-y.
8
Senolytics improve physical function and increase lifespan in old age.衰老细胞清除疗法可改善老年的身体机能并延长寿命。
Nat Med. 2018 Aug;24(8):1246-1256. doi: 10.1038/s41591-018-0092-9. Epub 2018 Jul 9.
9
Compensation between CSF1R+ macrophages and Foxp3+ Treg cells drives resistance to tumor immunotherapy.CSF1R+ 巨噬细胞与 Foxp3+ Treg 细胞的补偿作用驱动肿瘤免疫治疗抵抗。
JCI Insight. 2018 Jun 7;3(11). doi: 10.1172/jci.insight.120631.
10
Paracrine roles of cellular senescence in promoting tumourigenesis.衰老细胞的旁分泌作用促进肿瘤发生。
Br J Cancer. 2018 May;118(10):1283-1288. doi: 10.1038/s41416-018-0066-1. Epub 2018 Apr 19.