• 文献检索
  • 文档翻译
  • 深度研究
  • 学术资讯
  • Suppr Zotero 插件Zotero 插件
  • 邀请有礼
  • 套餐&价格
  • 历史记录
应用&插件
Suppr Zotero 插件Zotero 插件浏览器插件Mac 客户端Windows 客户端微信小程序
定价
高级版会员购买积分包购买API积分包
服务
文献检索文档翻译深度研究API 文档MCP 服务
关于我们
关于 Suppr公司介绍联系我们用户协议隐私条款
关注我们

Suppr 超能文献

核心技术专利:CN118964589B侵权必究
粤ICP备2023148730 号-1Suppr @ 2026

文献检索

告别复杂PubMed语法,用中文像聊天一样搜索,搜遍4000万医学文献。AI智能推荐,让科研检索更轻松。

立即免费搜索

文件翻译

保留排版,准确专业,支持PDF/Word/PPT等文件格式,支持 12+语言互译。

免费翻译文档

深度研究

AI帮你快速写综述,25分钟生成高质量综述,智能提取关键信息,辅助科研写作。

立即免费体验

HMGA1-TRIP13 轴通过 c-Myc 依赖性正反馈环促进肝门部胆管癌的干性和上皮间质转化。

HMGA1-TRIP13 axis promotes stemness and epithelial mesenchymal transition of perihilar cholangiocarcinoma in a positive feedback loop dependent on c-Myc.

机构信息

Department of General Surgery, Qilu Hospital, Cheeloo College of Medicine, Shandong University, 107 Wenhuaxi Road, Jinan, 250012, Shandong, China.

Department of General Surgery, Shandong Second Provincial General Hospital, Shandong Provincial ENT Hospital, Jinan, China.

出版信息

J Exp Clin Cancer Res. 2021 Mar 1;40(1):86. doi: 10.1186/s13046-021-01890-1.

DOI:10.1186/s13046-021-01890-1
PMID:33648560
原文链接:https://pmc.ncbi.nlm.nih.gov/articles/PMC7923631/
Abstract

BACKGROUND

Cholangiocarcinoma is a highly malignant cancer with very dismal prognosis. Perihilar cholangiocarcinoma(pCCA) accounts for more than 50% of all cholangiocarcinoma and is well-characterized for its low rate of radical resection. Effects of radiotherapy and chemotherapy of pCCA are very limited.

METHODS

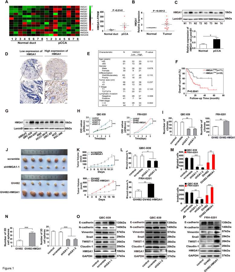
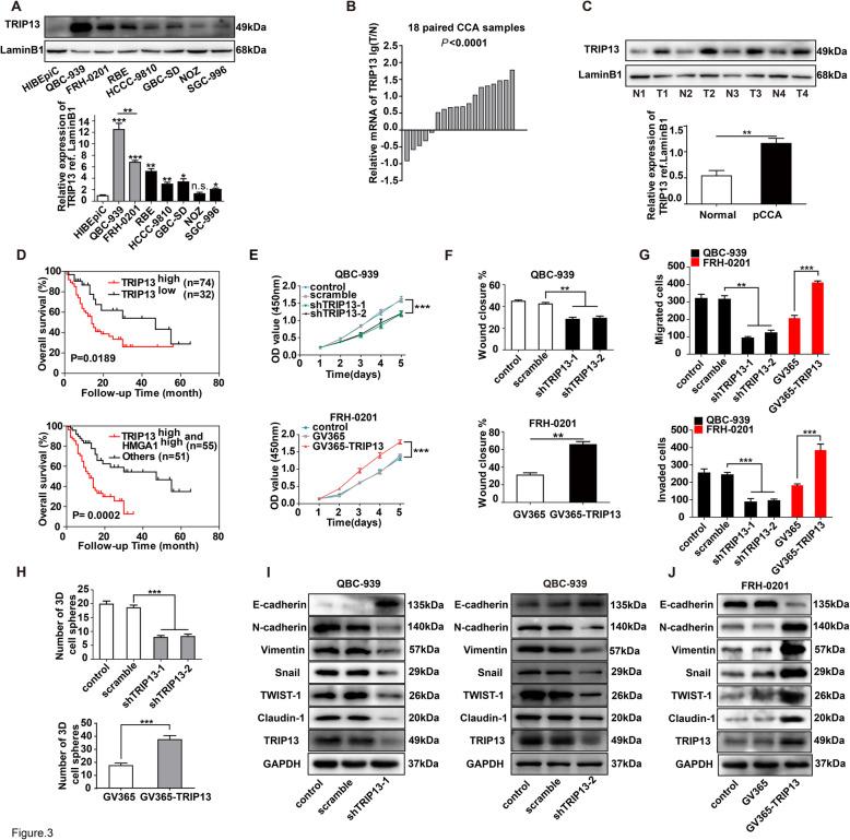
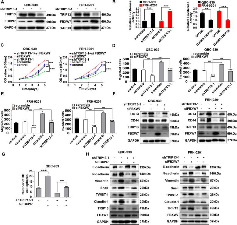
Here we screened potential biomarkers of pCCA with transcriptome sequencing and evaluated the prognostic significance of HMGA1 in a large cohort pCCA consisting of 106 patients. With bioinformatics and in vitro/vivo experiments, we showed that HMGA1 induced tumor cell stemness and epithelial-mesenchymal-transition (EMT), and thus facilitated proliferation, migration and invasion by promoting TRIP13 transcription. Moreover, TRIP13 was also an unfavorable prognostic biomarker of pCCA, and double high expression of HMGA1/TRIP13 could predict prognosis more sensitively. TRIP13 promoted pCCA progression by suppressing FBXW7 transcription and stabilizing c-Myc. c-Myc in turn induced the transcription and expression of both HMGA1 and TRIP13, indicating that HMGA-TRIP13 axis facilitated pCCA stemness and EMT in a positive feedback pathway.

CONCLUSIONS

HMGA1 and TRIP13 were unfavorable prognostic biomarkers of pCCA. HMGA1 enhanced pCCA proliferation, migration, invasion, stemness and EMT, by inducing TRIP13 expression, suppressing FBXW7 expression and stabilizing c-Myc. Moreover, c-Myc can induce the transcription of HMGA1 and TRIP13, suggesting that HMGA-TRIP13 axis promoted EMT and stemness in a positive feedback pathway dependent on c-Myc.

摘要

背景

胆管癌是一种恶性程度很高的癌症,预后极差。肝门部胆管癌(pCCA)占所有胆管癌的 50%以上,其根治性切除率较低。pCCA 的放化疗效果非常有限。

方法

我们采用转录组测序筛选 pCCA 的潜在生物标志物,并在包含 106 例患者的大型 pCCA 队列中评估 HMGA1 的预后意义。通过生物信息学和体外/体内实验,我们发现 HMGA1 通过促进 TRIP13 转录,诱导肿瘤细胞干性和上皮-间充质转化(EMT),从而促进增殖、迁移和侵袭。此外,TRIP13 也是 pCCA 的不利预后生物标志物,HMGA1/TRIP13 双高表达可更敏感地预测预后。TRIP13 通过抑制 FBXW7 转录和稳定 c-Myc 来促进 pCCA 的进展。c-Myc 反过来又诱导 HMGA1 和 TRIP13 的转录和表达,表明 HMGA-TRIP13 轴通过正向反馈通路促进 pCCA 的干性和 EMT。

结论

HMGA1 和 TRIP13 是 pCCA 的不利预后生物标志物。HMGA1 通过诱导 TRIP13 表达、抑制 FBXW7 表达和稳定 c-Myc 增强 pCCA 的增殖、迁移、侵袭、干性和 EMT。此外,c-Myc 可以诱导 HMGA1 和 TRIP13 的转录,表明 HMGA-TRIP13 轴依赖于 c-Myc 以正向反馈通路促进 EMT 和干性。

https://cdn.ncbi.nlm.nih.gov/pmc/blobs/7b45/7923631/4a3fe0ea61d3/13046_2021_1890_Fig8_HTML.jpg
https://cdn.ncbi.nlm.nih.gov/pmc/blobs/7b45/7923631/056ab013a53a/13046_2021_1890_Fig1_HTML.jpg
https://cdn.ncbi.nlm.nih.gov/pmc/blobs/7b45/7923631/8282197b7cb3/13046_2021_1890_Fig2_HTML.jpg
https://cdn.ncbi.nlm.nih.gov/pmc/blobs/7b45/7923631/59c173a26514/13046_2021_1890_Fig3_HTML.jpg
https://cdn.ncbi.nlm.nih.gov/pmc/blobs/7b45/7923631/42db08434bc4/13046_2021_1890_Fig4_HTML.jpg
https://cdn.ncbi.nlm.nih.gov/pmc/blobs/7b45/7923631/3d8e85886831/13046_2021_1890_Fig5_HTML.jpg
https://cdn.ncbi.nlm.nih.gov/pmc/blobs/7b45/7923631/af9993b0edf0/13046_2021_1890_Fig6_HTML.jpg
https://cdn.ncbi.nlm.nih.gov/pmc/blobs/7b45/7923631/4795ef1a006b/13046_2021_1890_Fig7_HTML.jpg
https://cdn.ncbi.nlm.nih.gov/pmc/blobs/7b45/7923631/4a3fe0ea61d3/13046_2021_1890_Fig8_HTML.jpg
https://cdn.ncbi.nlm.nih.gov/pmc/blobs/7b45/7923631/056ab013a53a/13046_2021_1890_Fig1_HTML.jpg
https://cdn.ncbi.nlm.nih.gov/pmc/blobs/7b45/7923631/8282197b7cb3/13046_2021_1890_Fig2_HTML.jpg
https://cdn.ncbi.nlm.nih.gov/pmc/blobs/7b45/7923631/59c173a26514/13046_2021_1890_Fig3_HTML.jpg
https://cdn.ncbi.nlm.nih.gov/pmc/blobs/7b45/7923631/42db08434bc4/13046_2021_1890_Fig4_HTML.jpg
https://cdn.ncbi.nlm.nih.gov/pmc/blobs/7b45/7923631/3d8e85886831/13046_2021_1890_Fig5_HTML.jpg
https://cdn.ncbi.nlm.nih.gov/pmc/blobs/7b45/7923631/af9993b0edf0/13046_2021_1890_Fig6_HTML.jpg
https://cdn.ncbi.nlm.nih.gov/pmc/blobs/7b45/7923631/4795ef1a006b/13046_2021_1890_Fig7_HTML.jpg
https://cdn.ncbi.nlm.nih.gov/pmc/blobs/7b45/7923631/4a3fe0ea61d3/13046_2021_1890_Fig8_HTML.jpg

相似文献

1
HMGA1-TRIP13 axis promotes stemness and epithelial mesenchymal transition of perihilar cholangiocarcinoma in a positive feedback loop dependent on c-Myc.HMGA1-TRIP13 轴通过 c-Myc 依赖性正反馈环促进肝门部胆管癌的干性和上皮间质转化。
J Exp Clin Cancer Res. 2021 Mar 1;40(1):86. doi: 10.1186/s13046-021-01890-1.
2
TRIP13-induced NUSAP1 upregulation promotes CcRCC progression through EMT and PI3K/AKT/mTOR pathway.TRIP13诱导的NUSAP1上调通过上皮-间质转化和PI3K/AKT/mTOR通路促进透明细胞肾细胞癌进展。
J Transl Med. 2025 Aug 11;23(1):890. doi: 10.1186/s12967-025-06761-3.
3
PTEN deficiency induces an extrahepatic cholangitis-cholangiocarcinoma continuum via aurora kinase A in mice.PTEN 缺失通过小鼠中的极光激酶 A 诱导肝外胆管炎-胆管癌连续病变。
J Hepatol. 2024 Jul;81(1):120-134. doi: 10.1016/j.jhep.2024.02.018. Epub 2024 Feb 28.
4
Circ_0084927 promotes progression of intrahepatic cholangiocarcinoma by sponging miR-4725-5p to activate the PDPK1/AKT/mTOR signaling pathway.Circ_0084927通过吸附miR-4725-5p激活PDPK1/AKT/mTOR信号通路,促进肝内胆管癌进展。
Cell Signal. 2025 Oct;134:111965. doi: 10.1016/j.cellsig.2025.111965. Epub 2025 Jun 26.
5
Correction: HMGA1-TRIP13 axis promotes stemness and epithelial mesenchymal transition of perihilar cholangiocarcinoma in a positive feedback loop dependent on c-Myc.更正:HMGA1-TRIP13轴在依赖c-Myc的正反馈回路中促进肝门周围胆管癌的干性和上皮-间质转化。
J Exp Clin Cancer Res. 2025 Sep 15;44(1):267. doi: 10.1186/s13046-025-03526-0.
6
PTP4A1 promotes intrahepatic cholangiocarcinoma development and progression by interacting with PTEN and activating the PI3K/AKT/GSKα axis.PTP4A1通过与PTEN相互作用并激活PI3K/AKT/GSKα轴来促进肝内胆管癌的发生和发展。
Oncol Rep. 2025 Oct;54(4). doi: 10.3892/or.2025.8958. Epub 2025 Aug 1.
7
The clinicopathological factors associated with prognosis of patients with resectable perihilar cholangiocarcinoma: A systematic review and meta-analysis.可切除性肝门部胆管癌患者预后相关的临床病理因素:一项系统评价和荟萃分析
Medicine (Baltimore). 2018 Aug;97(34):e11999. doi: 10.1097/MD.0000000000011999.
8
Circ_0007534 promotes cholangiocarcinoma stemness and resistance to anoikis through DDX3X-mediated positive feedback regulation of parental gene DDX42.环状 RNA 0007534 通过 DDX3X 介导的亲本基因 DDX42 的正反馈调节促进胆管癌细胞干性和抗失巢凋亡。
Cell Signal. 2024 Jun;118:111141. doi: 10.1016/j.cellsig.2024.111141. Epub 2024 Mar 16.
9
Postoperative adjuvant chemotherapy for resectable cholangiocarcinoma.可切除胆管癌的术后辅助化疗。
Cochrane Database Syst Rev. 2021 Sep 13;9(9):CD012814. doi: 10.1002/14651858.CD012814.pub2.
10
Higher expression of high-mobility group box 1 in cholangiocarcinoma and association with cell growth, in vitro migration and invasion, and chemo-drug sensitivity.高迁移率族蛋白盒1在胆管癌中的高表达及其与细胞生长、体外迁移和侵袭以及化疗药物敏感性的关系。
Sci Prog. 2025 Jul-Sep;108(3):368504251362343. doi: 10.1177/00368504251362343. Epub 2025 Jul 21.

引用本文的文献

1
Correction: HMGA1-TRIP13 axis promotes stemness and epithelial mesenchymal transition of perihilar cholangiocarcinoma in a positive feedback loop dependent on c-Myc.更正:HMGA1-TRIP13轴在依赖c-Myc的正反馈回路中促进肝门周围胆管癌的干性和上皮-间质转化。
J Exp Clin Cancer Res. 2025 Sep 15;44(1):267. doi: 10.1186/s13046-025-03526-0.
2
Immunotherapy in biliary tract cancer: reshaping the tumour microenvironment and advancing precision combination strategies.胆管癌的免疫治疗:重塑肿瘤微环境与推进精准联合策略
Front Immunol. 2025 Aug 8;16:1651769. doi: 10.3389/fimmu.2025.1651769. eCollection 2025.
3
TRIP13-induced NUSAP1 upregulation promotes CcRCC progression through EMT and PI3K/AKT/mTOR pathway.

本文引用的文献

1
Sprouty4 correlates with favorable prognosis in perihilar cholangiocarcinoma by blocking the FGFR-ERK signaling pathway and arresting the cell cycle.Sprouty4 通过阻断 FGFR-ERK 信号通路和阻止细胞周期来与肝门部胆管癌的良好预后相关。
EBioMedicine. 2019 Dec;50:166-177. doi: 10.1016/j.ebiom.2019.11.021. Epub 2019 Nov 22.
2
TRIP13 promotes the cell proliferation, migration and invasion of glioblastoma through the FBXW7/c-MYC axis.TRIP13 通过 FBXW7/c-MYC 轴促进脑胶质瘤的细胞增殖、迁移和侵袭。
Br J Cancer. 2019 Dec;121(12):1069-1078. doi: 10.1038/s41416-019-0633-0. Epub 2019 Nov 19.
3
A Small-Molecule Inhibitor Targeting TRIP13 Suppresses Multiple Myeloma Progression.
TRIP13诱导的NUSAP1上调通过上皮-间质转化和PI3K/AKT/mTOR通路促进透明细胞肾细胞癌进展。
J Transl Med. 2025 Aug 11;23(1):890. doi: 10.1186/s12967-025-06761-3.
4
Transcriptional patterns of cancer-related genes in primary and metastatic tumours revealed by machine learning.机器学习揭示的原发性和转移性肿瘤中癌症相关基因的转录模式
BMC Biol. 2025 Aug 7;23(1):246. doi: 10.1186/s12915-025-02339-z.
5
A intron 28 regulatory element controls arterial specification and lymphoid development from hPSCs.A内含子28调控元件控制人多能干细胞向动脉的特化和淋巴样发育。
Blood Vessel Thromb Hemost. 2025 Jan 15;2(2):100046. doi: 10.1016/j.bvth.2025.100046. eCollection 2025 May.
6
NUDT16 enhances the resistance of cancer cells to DNA-damaging agents by regulating replication fork stability via reversing HMGA1 ADP-ribosylation.NUDT16通过逆转HMGA1的ADP核糖基化来调节复制叉稳定性,从而增强癌细胞对DNA损伤剂的抗性。
J Biol Chem. 2025 Apr 25;301(6):108551. doi: 10.1016/j.jbc.2025.108551.
7
RNF112 Facilitates Ubiquitin-Mediated Degradation of c-Myc, Suppressing Proliferation, Migration and Lipid Synthesis in Bladder Cancer.RNF112促进c-Myc的泛素介导降解,抑制膀胱癌的增殖、迁移和脂质合成。
Adv Sci (Weinh). 2025 May;12(20):e2408311. doi: 10.1002/advs.202408311. Epub 2025 Apr 3.
8
Type I interferon exposure of an implantation-on-a-chip device alters invasive extravillous trophoblast function.芯片植入装置暴露于I型干扰素会改变侵袭性绒毛外滋养层细胞的功能。
Cell Rep Med. 2025 Mar 18;6(3):101991. doi: 10.1016/j.xcrm.2025.101991. Epub 2025 Mar 6.
9
Hypericin mediated photodynamic therapy induces ferroptosis via inhibiting the AKT/mTORC1/GPX4 axis in cholangiocarcinoma.金丝桃素介导的光动力疗法通过抑制胆管癌中的AKT/mTORC1/GPX4轴诱导铁死亡。
Transl Oncol. 2025 Feb;52:102234. doi: 10.1016/j.tranon.2024.102234. Epub 2024 Dec 13.
10
TRIP13 regulates progression of gastric cancer through stabilising the expression of DDX21.TRIP13 通过稳定 DDX21 的表达来调控胃癌的进展。
Cell Death Dis. 2024 Aug 26;15(8):622. doi: 10.1038/s41419-024-07012-x.
小分子抑制剂靶向 TRIP13 抑制多发性骨髓瘤进展。
Cancer Res. 2020 Feb 1;80(3):536-548. doi: 10.1158/0008-5472.CAN-18-3987. Epub 2019 Nov 15.
4
Annexin10 promotes extrahepatic cholangiocarcinoma metastasis by facilitating EMT via PLA2G4A/PGE2/STAT3 pathway.膜联蛋白 10 通过 PLA2G4A/PGE2/STAT3 通路促进肝外胆管癌转移 EMT。
EBioMedicine. 2019 Sep;47:142-155. doi: 10.1016/j.ebiom.2019.08.062. Epub 2019 Sep 3.
5
Transcription factor 7 promotes the progression of perihilar cholangiocarcinoma by inducing the transcription of c-Myc and FOS-like antigen 1.转录因子 7 通过诱导 c-Myc 和 FOS 样抗原 1 的转录促进肝门部胆管癌的进展。
EBioMedicine. 2019 Jul;45:181-191. doi: 10.1016/j.ebiom.2019.06.023. Epub 2019 Jun 24.
6
Silencing TRIP13 inhibits cell growth and metastasis of hepatocellular carcinoma by activating of TGF-β1/smad3.沉默TRIP13通过激活TGF-β1/smad3抑制肝细胞癌的细胞生长和转移。
Cancer Cell Int. 2018 Dec 17;18:208. doi: 10.1186/s12935-018-0704-y. eCollection 2018.
7
HMGB1 correlates with angiogenesis and poor prognosis of perihilar cholangiocarcinoma via elevating VEGFR2 of vessel endothelium.HMGB1 通过提高血管内皮 VEGFR2 与肝门周围胆管癌的血管生成和不良预后相关。
Oncogene. 2019 Feb;38(6):868-880. doi: 10.1038/s41388-018-0485-8. Epub 2018 Sep 3.
8
Sprouty2 suppresses progression and correlates to favourable prognosis of intrahepatic cholangiocarcinoma via antagonizing FGFR2 signalling.Sprouty2 通过拮抗 FGFR2 信号抑制肝内胆管癌的进展并与良好的预后相关。
J Cell Mol Med. 2018 Nov;22(11):5596-5606. doi: 10.1111/jcmm.13833. Epub 2018 Aug 30.
9
Extracellular HMGA1 Promotes Tumor Invasion and Metastasis in Triple-Negative Breast Cancer.细胞外高迁移率族蛋白 A1 促进三阴性乳腺癌的侵袭和转移。
Clin Cancer Res. 2018 Dec 15;24(24):6367-6382. doi: 10.1158/1078-0432.CCR-18-0517. Epub 2018 Aug 22.
10
Mechanism for remodelling of the cell cycle checkpoint protein MAD2 by the ATPase TRIP13.细胞周期检查点蛋白 MAD2 重塑的机制由 ATPase TRIP13 介导。
Nature. 2018 Jul;559(7713):274-278. doi: 10.1038/s41586-018-0281-1. Epub 2018 Jul 4.