• 文献检索
  • 文档翻译
  • 深度研究
  • 学术资讯
  • Suppr Zotero 插件Zotero 插件
  • 邀请有礼
  • 套餐&价格
  • 历史记录
应用&插件
Suppr Zotero 插件Zotero 插件浏览器插件Mac 客户端Windows 客户端微信小程序
定价
高级版会员购买积分包购买API积分包
服务
文献检索文档翻译深度研究API 文档MCP 服务
关于我们
关于 Suppr公司介绍联系我们用户协议隐私条款
关注我们

Suppr 超能文献

核心技术专利:CN118964589B侵权必究
粤ICP备2023148730 号-1Suppr @ 2026

文献检索

告别复杂PubMed语法,用中文像聊天一样搜索,搜遍4000万医学文献。AI智能推荐,让科研检索更轻松。

立即免费搜索

文件翻译

保留排版,准确专业,支持PDF/Word/PPT等文件格式,支持 12+语言互译。

免费翻译文档

深度研究

AI帮你快速写综述,25分钟生成高质量综述,智能提取关键信息,辅助科研写作。

立即免费体验

临床肿瘤学中的急性肾小管间质性肾炎:全面综述。

Acute Tubulointerstitial Nephritis in Clinical Oncology: A Comprehensive Review.

机构信息

Nephrology Department, Bellvitge University Hospital, Hospitalet de Llobregat, 08907 Barcelona, Spain.

IDIBELL Biomedical Research Institute, Hospitalet de Llobregat, 08907 Barcelona, Spain.

出版信息

Int J Mol Sci. 2021 Feb 26;22(5):2326. doi: 10.3390/ijms22052326.

DOI:10.3390/ijms22052326
PMID:33652638
原文链接:https://pmc.ncbi.nlm.nih.gov/articles/PMC7956739/
Abstract

Acute kidney injury in patients who suffer a malignancy is a common complication. Due to its high prevalence and effective treatment, one of the most frequent causes that both oncologists and nephrologists must be aware of is acute tubulointerstitial nephritis (ATIN). ATIN is an immunomediated condition and the hallmark of the disease, with the presence of a tubulointerstitial inflammatory infiltrate in the renal parenchyma. This infiltrate is composed mainly of T lymphocytes that can be accompanied by macrophages, neutrophils, or eosinophils among other cells. One of the major causes is drug-related ATIN, and some antineoplastic treatments have been related to this condition. Worthy of note are the novel immunotherapy treatments aimed at enhancing natural immunity in order to defeat cancer cells. In the context of the immunosuppression status affecting ATIN patients, some pathogen antigens can trigger the development of the disease. Finally, hematological malignancies can also manifest in the kidney leading to ATIN, even at the debut of the disease. In this review, we aim to comprehensively examine differential diagnosis of ATIN in the setting of a neoplastic patient.

摘要

患有恶性肿瘤的患者发生急性肾损伤是一种常见的并发症。由于其高患病率和有效的治疗方法,肿瘤科医生和肾病科医生都必须了解的最常见原因之一是急性肾小管间质性肾炎(ATIN)。ATIN 是一种免疫介导的疾病,其特征是肾实质中存在肾小管间质性炎症浸润。这种浸润主要由 T 淋巴细胞组成,其中可伴有巨噬细胞、中性粒细胞或嗜酸性粒细胞等其他细胞。主要原因之一是与药物相关的 ATIN,一些抗肿瘤治疗与这种情况有关。值得注意的是,旨在增强天然免疫以战胜癌细胞的新型免疫疗法。在影响 ATIN 患者的免疫抑制状态的背景下,一些病原体抗原可引发疾病的发展。最后,血液系统恶性肿瘤也可在肾脏中表现出来,导致 ATIN,甚至在疾病的首发时。在这篇综述中,我们旨在全面检查肿瘤患者中 ATIN 的鉴别诊断。

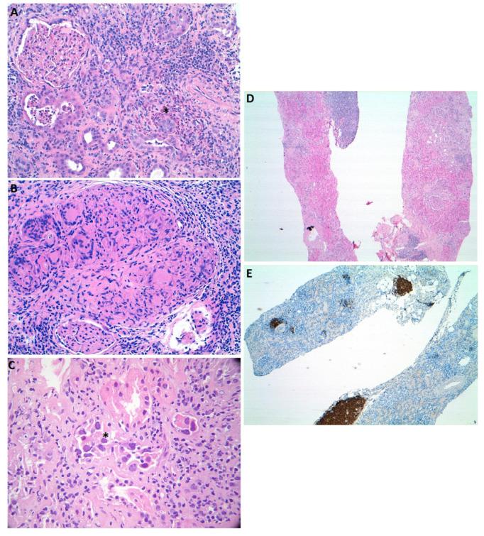
https://cdn.ncbi.nlm.nih.gov/pmc/blobs/314c/7956739/b5a5f7280363/ijms-22-02326-g001.jpg
https://cdn.ncbi.nlm.nih.gov/pmc/blobs/314c/7956739/b5a5f7280363/ijms-22-02326-g001.jpg
https://cdn.ncbi.nlm.nih.gov/pmc/blobs/314c/7956739/b5a5f7280363/ijms-22-02326-g001.jpg

相似文献

1
Acute Tubulointerstitial Nephritis in Clinical Oncology: A Comprehensive Review.临床肿瘤学中的急性肾小管间质性肾炎:全面综述。
Int J Mol Sci. 2021 Feb 26;22(5):2326. doi: 10.3390/ijms22052326.
2
Diagnostic roles of urinary kidney injury molecule 1 and soluble C5b-9 in acute tubulointerstitial nephritis.尿肾损伤分子 1 和可溶性 C5b-9 在急性肾小管间质性肾炎中的诊断作用。
Am J Physiol Renal Physiol. 2019 Sep 1;317(3):F584-F592. doi: 10.1152/ajprenal.00176.2019. Epub 2019 Jul 10.
3
, , and Alleles Associated with Acute Tubulointerstitial Nephritis in a Chinese Population: A Single-Center Cohort Study.中国人急性肾小管间质性肾炎相关的 、 等位基因:一项单中心队列研究。
J Immunol. 2018 Jul 15;201(2):423-431. doi: 10.4049/jimmunol.1800237. Epub 2018 Jun 1.
4
The Analysis of Renal Infiltrating Cells in Acute Tubulointerstitial Nephritis Induced by Anti-PD-1 Antibodies: A Case Report and Review of the Literature.抗程序性死亡蛋白1(PD-1)抗体诱导的急性肾小管间质性肾炎肾浸润细胞分析:一例报告并文献复习
Intern Med. 2018 Nov 1;57(21):3135-3139. doi: 10.2169/internalmedicine.0444-17. Epub 2018 Jun 6.
5
[Acute tubulointerstitial nephritis in children].[儿童急性肾小管间质性肾炎]
Srp Arh Celok Lek. 2001 May-Jun;129 Suppl 1:23-7.
6
Tubulointerstitial nephritis during the heterologous phase of nephrotoxic serum nephritis.肾毒性血清性肾炎异源期的肾小管间质性肾炎
Nephron. 1991;59(2):304-13. doi: 10.1159/000186569.
7
Dendritic cells in renal biopsies of patients with acute tubulointerstitial nephritis.急性肾小管间质性肾炎患者肾活检中的树突状细胞
Hum Pathol. 2016 Aug;54:113-20. doi: 10.1016/j.humpath.2016.03.020. Epub 2016 Apr 13.
8
Acute tubulointerstitial nephritis in children and chronic kidney disease.儿童急性肾小管间质性肾炎与慢性肾脏病
Arch Pediatr. 2019 Jul;26(5):290-294. doi: 10.1016/j.arcped.2019.05.002. Epub 2019 Jul 4.
9
New Biomarkers in Acute Tubulointerstitial Nephritis: A Novel Approach to a Classic Condition.急性肾小管间质性肾炎的新型生物标志物:经典疾病的新方法。
Int J Mol Sci. 2020 Jun 30;21(13):4690. doi: 10.3390/ijms21134690.
10
Dismal Prognosis of Acute Allergic Tubulointerstitial Nephritis in Patients with AA Amyloidosis.AA淀粉样变性患者急性过敏性肾小管间质性肾炎的预后不佳。
Nephron. 2022;146(2):172-178. doi: 10.1159/000520151. Epub 2021 Dec 1.

引用本文的文献

1
Immune Checkpoint Inhibitors and the Kidney: A Focus on Diagnosis and Management for Personalised Medicine.免疫检查点抑制剂与肾脏:聚焦个性化医疗的诊断与管理
Cancers (Basel). 2023 Mar 21;15(6):1891. doi: 10.3390/cancers15061891.
2
Nephrotoxicity in cancer treatment: An update.癌症治疗中的肾毒性:最新进展。
Adv Cancer Res. 2022;155:77-129. doi: 10.1016/bs.acr.2022.03.005. Epub 2022 Apr 26.

本文引用的文献

1
Acute tubulointerstitial nephritis induced by checkpoint inhibitors versus classical acute tubulointerstitial nephritis: are they the same disease?检查点抑制剂诱发的急性肾小管间质性肾炎与经典急性肾小管间质性肾炎:它们是同一种疾病吗?
Clin Kidney J. 2020 May 4;14(3):884-890. doi: 10.1093/ckj/sfaa027. eCollection 2021 Mar.
2
PAS and GMS utility in dermatopathology: Review of the current medical literature. PAS 和 GMS 在皮肤病理中的应用:对当前医学文献的综述。
J Cutan Pathol. 2020 Nov;47(11):1096-1102. doi: 10.1111/cup.13769. Epub 2020 Aug 22.
3
Nephrotoxicity in cancer treatment: An overview.
癌症治疗中的肾毒性:概述
World J Clin Oncol. 2020 Apr 24;11(4):190-204. doi: 10.5306/wjco.v11.i4.190.
4
Clinical Features and Outcomes of Immune Checkpoint Inhibitor-Associated AKI: A Multicenter Study.免疫检查点抑制剂相关 AKI 的临床特征和结局:一项多中心研究。
J Am Soc Nephrol. 2020 Feb;31(2):435-446. doi: 10.1681/ASN.2019070676. Epub 2020 Jan 2.
5
Carboplatin-related acute interstitial nephritis in a patient with pancreatic neuroendocrine tumor.一名胰腺神经内分泌肿瘤患者发生的卡铂相关性急性间质性肾炎。
CEN Case Rep. 2020 May;9(2):114-121. doi: 10.1007/s13730-019-00437-w. Epub 2019 Dec 13.
6
The Incidence, Causes, and Risk Factors of Acute Kidney Injury in Patients Receiving Immune Checkpoint Inhibitors.免疫检查点抑制剂治疗患者急性肾损伤的发生率、病因和危险因素。
Clin J Am Soc Nephrol. 2019 Dec 6;14(12):1692-1700. doi: 10.2215/CJN.00990119. Epub 2019 Oct 31.
7
Acute kidney injury in hematopoietic stem cell transplantation.造血干细胞移植中的急性肾损伤。
Curr Opin Crit Care. 2019 Dec;25(6):531-538. doi: 10.1097/MCC.0000000000000657.
8
Lenalidomide-induced tubulointerstitial nephritis in Hodgkin lymphoma.来那度胺诱导的霍奇金淋巴瘤患者肾小管间质性肾炎
Leuk Lymphoma. 2019 Dec;60(12):3084-3086. doi: 10.1080/10428194.2019.1616187. Epub 2019 May 24.
9
The nephrotoxicity of new immunotherapies.新型免疫疗法的肾毒性。
Expert Rev Clin Pharmacol. 2019 Jun;12(6):513-521. doi: 10.1080/17512433.2019.1613888. Epub 2019 May 8.
10
A case of biopsy-proven oxaliplatin-induced acute tubulointerstitial nephritis with thrombocytopenia and anemia.一例经活检证实的奥沙利铂诱导的急性肾小管间质性肾炎伴血小板减少和贫血。
CEN Case Rep. 2019 Aug;8(3):188-193. doi: 10.1007/s13730-019-00390-8. Epub 2019 Mar 2.