• 文献检索
  • 文档翻译
  • 深度研究
  • 学术资讯
  • Suppr Zotero 插件Zotero 插件
  • 邀请有礼
  • 套餐&价格
  • 历史记录
应用&插件
Suppr Zotero 插件Zotero 插件浏览器插件Mac 客户端Windows 客户端微信小程序
定价
高级版会员购买积分包购买API积分包
服务
文献检索文档翻译深度研究API 文档MCP 服务
关于我们
关于 Suppr公司介绍联系我们用户协议隐私条款
关注我们

Suppr 超能文献

核心技术专利:CN118964589B侵权必究
粤ICP备2023148730 号-1Suppr @ 2026

文献检索

告别复杂PubMed语法,用中文像聊天一样搜索,搜遍4000万医学文献。AI智能推荐,让科研检索更轻松。

立即免费搜索

文件翻译

保留排版,准确专业,支持PDF/Word/PPT等文件格式,支持 12+语言互译。

免费翻译文档

深度研究

AI帮你快速写综述,25分钟生成高质量综述,智能提取关键信息,辅助科研写作。

立即免费体验

放射性碘难治性转移性甲状腺乳头状癌伴 BRAF 突变患者应用达布拉非尼联合曲美替尼治疗后出现肠气肿:1 例报告

Pneumatosis intestinalis in a radioactive iodine-refractory metastasic thyroid papillary carcinoma with BRAF mutation treated with dabrafenib-trametinib: a case report.

机构信息

Medical Oncology Department, University Hospital 12 de Octubre, Madrid, Spain.

Nuclear Medicine Department, University Hospital 12 de Octubre, Madrid, Spain.

出版信息

J Med Case Rep. 2021 Mar 2;15(1):109. doi: 10.1186/s13256-020-02581-9.

DOI:10.1186/s13256-020-02581-9
PMID:33653337
原文链接:https://pmc.ncbi.nlm.nih.gov/articles/PMC7927265/
Abstract

BACKGROUND

Pneumatosis intestinalis (PI) is a rare entity which refers to the presence of gas within the wall of the small bowel or colon which is a radiographic sign. The etiology and clinical presentation are variable. Patients with PI may present either with chronic mild non-specific symptoms or with acute abdominal pain with peritonitis. Some cases of intestinal pneumatosis have been reported as adverse events of new oncological treatments such as targeted therapies that are widely used in multiple tumors.

CASE PRESENTATION

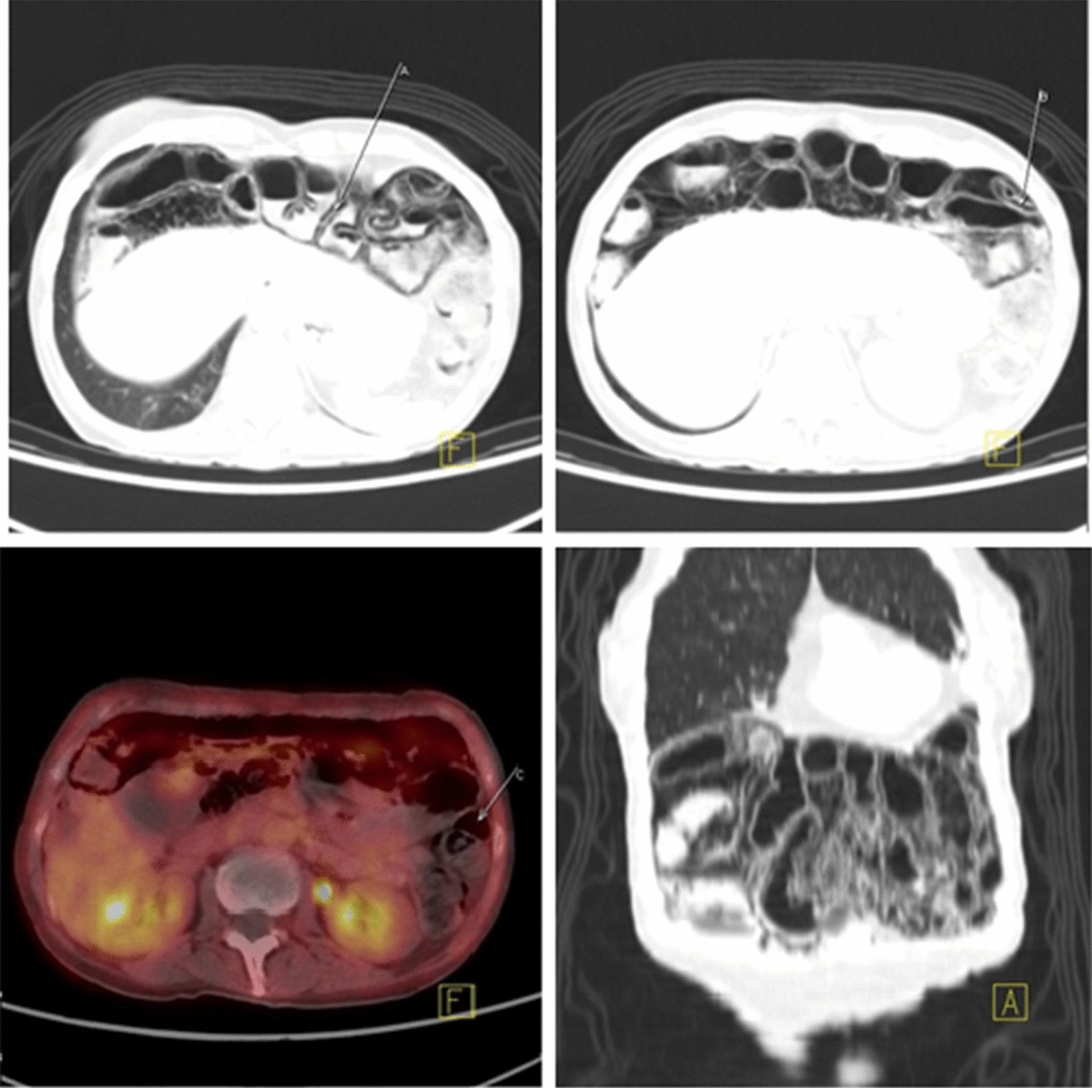
A 59-year-old caucasian female with radioactive iodine-refractory metastatic thyroid papillary carcinoma with BRAF mutation was treated with dabrafenib and trametinib as a compassionate use. After 4 months treatment, positron emission tomography-computed tomography (PET-CT) showed PI. At the time of diagnosis, the patient was asymptomatic without signs of peritonitis. The initial treatment was conservative and no specific treatment for PI was needed. Unfortunately, after dabrafenib-trametinib withdrawal, the patient developed tumor progression with significant clinical worsening.

CONCLUSIONS

This case report is, in our knowledge, the first description of PI in a patient treated with dabrafenib-trametinib. Conservative treatment is feasible if there are no abdominal symptoms.

摘要

背景

肠气肿(PI)是一种罕见的病症,是指小肠或结肠壁内存在气体,这是一种放射学征象。其病因和临床表现多种多样。PI 患者可能表现为慢性轻度非特异性症状,也可能表现为伴有腹膜炎的急性腹痛。有些肠气肿病例被报道为新的肿瘤治疗(如广泛用于多种肿瘤的靶向治疗)的不良事件。

病例介绍

一位 59 岁的白人女性,患有放射性碘难治性转移性甲状腺乳头状癌,BRAF 突变,接受了达布拉非尼和曲美替尼的同情治疗。治疗 4 个月后,正电子发射断层扫描-计算机断层扫描(PET-CT)显示有 PI。在诊断时,患者无症状,无腹膜炎迹象。初始治疗为保守治疗,无需针对 PI 的特殊治疗。不幸的是,在停用达布拉非尼-曲美替尼后,患者出现肿瘤进展,临床状况显著恶化。

结论

据我们所知,这是首例接受达布拉非尼-曲美替尼治疗的患者发生 PI 的病例报告。如果没有腹部症状,保守治疗是可行的。

https://cdn.ncbi.nlm.nih.gov/pmc/blobs/01d9/7927265/6dcf629d83cc/13256_2020_2581_Fig3_HTML.jpg
https://cdn.ncbi.nlm.nih.gov/pmc/blobs/01d9/7927265/9e4231705a9a/13256_2020_2581_Fig1_HTML.jpg
https://cdn.ncbi.nlm.nih.gov/pmc/blobs/01d9/7927265/de0f1e6a03d0/13256_2020_2581_Fig2_HTML.jpg
https://cdn.ncbi.nlm.nih.gov/pmc/blobs/01d9/7927265/6dcf629d83cc/13256_2020_2581_Fig3_HTML.jpg
https://cdn.ncbi.nlm.nih.gov/pmc/blobs/01d9/7927265/9e4231705a9a/13256_2020_2581_Fig1_HTML.jpg
https://cdn.ncbi.nlm.nih.gov/pmc/blobs/01d9/7927265/de0f1e6a03d0/13256_2020_2581_Fig2_HTML.jpg
https://cdn.ncbi.nlm.nih.gov/pmc/blobs/01d9/7927265/6dcf629d83cc/13256_2020_2581_Fig3_HTML.jpg

相似文献

1
Pneumatosis intestinalis in a radioactive iodine-refractory metastasic thyroid papillary carcinoma with BRAF mutation treated with dabrafenib-trametinib: a case report.放射性碘难治性转移性甲状腺乳头状癌伴 BRAF 突变患者应用达布拉非尼联合曲美替尼治疗后出现肠气肿:1 例报告
J Med Case Rep. 2021 Mar 2;15(1):109. doi: 10.1186/s13256-020-02581-9.
2
Intermittent Dosing of Dabrafenib and Trametinib in Metastatic BRAF Mutated Papillary Thyroid Cancer: Two Case Reports.达拉非尼和曲美替尼间歇性给药治疗转移性 BRAF 突变型甲状腺乳头状癌:两例病例报告。
Thyroid. 2017 Sep;27(9):1201-1205. doi: 10.1089/thy.2017.0106.
3
Interstitial lung disease associated with combination therapy of dabrafenib and trametinib in metastatic BRAF-mutated poorly differentiated thyroid cancer: A case report and review of the literature.达拉非尼联合曲美替尼治疗转移性 BRAF 突变低分化甲状腺癌相关间质性肺病:病例报告及文献复习。
Int J Clin Pharmacol Ther. 2022 May;60(5):225-231. doi: 10.5414/CP204184.
4
Patient-reported outcomes in patients with resected, high-risk melanoma with BRAF or BRAF mutations treated with adjuvant dabrafenib plus trametinib (COMBI-AD): a randomised, placebo-controlled, phase 3 trial.接受辅助达拉非尼联合曲美替尼治疗的切除后高风险黑色素瘤伴 BRAF 或 BRAF 突变患者的患者报告结局(COMBI-AD):一项随机、安慰剂对照、III 期临床试验。
Lancet Oncol. 2019 May;20(5):701-710. doi: 10.1016/S1470-2045(18)30940-9. Epub 2019 Mar 27.
5
Clinical Pharmacy Initiatives Contribute to the Excellent Efficacy of the Dabrafenib/Trametinib Combination for Iodine-Refractory Thyroid Carcinoma: A Case Report.临床药学举措对达布拉非尼/曲美替尼联合治疗碘难治性甲状腺癌的卓越疗效有贡献:病例报告。
Medicina (Kaunas). 2024 Jun 25;60(7):1037. doi: 10.3390/medicina60071037.
6
Redifferentiation of iodine-refractory BRAF V600E-mutant metastatic papillary thyroid cancer with dabrafenib.达拉非尼治疗碘难治性 BRAF V600E 突变转移性甲状腺乳头状癌的再分化作用。
Clin Cancer Res. 2015 Mar 1;21(5):1028-35. doi: 10.1158/1078-0432.CCR-14-2915. Epub 2014 Dec 30.
7
Dabrafenib Versus Dabrafenib + Trametinib in -Mutated Radioactive Iodine Refractory Differentiated Thyroid Cancer: Results of a Randomized, Phase 2, Open-Label Multicenter Trial.达拉非尼对比达拉非尼联合曲美替尼治疗放射性碘难治性分化型甲状腺癌(BRAF V600E 突变阳性):一项随机、开放标签、多中心、2 期临床试验的结果。
Thyroid. 2022 Oct;32(10):1184-1192. doi: 10.1089/thy.2022.0115. Epub 2022 Jul 5.
8
Dabrafenib plus trametinib in patients with previously untreated BRAF-mutant metastatic non-small-cell lung cancer: an open-label, phase 2 trial.达拉非尼联合曲美替尼治疗既往未经治疗的 BRAF 突变型转移性非小细胞肺癌的开放标签、2 期临床试验。
Lancet Oncol. 2017 Oct;18(10):1307-1316. doi: 10.1016/S1470-2045(17)30679-4. Epub 2017 Sep 11.
9
Loss of skeletal muscle area and fat-free mass during dabrafenib/trametinib and vemurafenib/cobimetinib treatments in patients with BRAF-mutant metastatic malignant melanoma.达拉非尼/曲美替尼和维莫非尼/考比替尼治疗 BRAF 突变型转移性恶性黑色素瘤患者时骨骼肌面积和去脂体重的丢失。
Melanoma Res. 2020 Oct;30(5):477-483. doi: 10.1097/CMR.0000000000000678.
10
Dabrafenib plus trametinib in patients with BRAF-mutated biliary tract cancer (ROAR): a phase 2, open-label, single-arm, multicentre basket trial.达拉非尼联合曲美替尼治疗携带 BRAF 突变的胆道癌患者(ROAR):一项 2 期、开放标签、单臂、多中心篮子试验。
Lancet Oncol. 2020 Sep;21(9):1234-1243. doi: 10.1016/S1470-2045(20)30321-1. Epub 2020 Aug 17.

引用本文的文献

1
Efficacy of anlotinib combined with radioiodine to treat scalp metastasis of papillary thyroid cancer: A case report and review of literature.安罗替尼联合放射性碘治疗甲状腺乳头状癌头皮转移的疗效:一例病例报告及文献复习
World J Clin Cases. 2023 Apr 26;11(12):2839-2847. doi: 10.12998/wjcc.v11.i12.2839.
2
Pneumatosis Intestinalis Induced by Anticancer Treatment: A Systematic Review.抗癌治疗引起的肠壁囊样积气症:一项系统评价
Cancers (Basel). 2022 Mar 25;14(7):1666. doi: 10.3390/cancers14071666.

本文引用的文献

1
The Significance of BRAFV600E Mutation in Thyroid Cancer in Terms of Novel Targeted Therapies - Overview of Current Knowledge and Studies.BRAFV600E突变在甲状腺癌新型靶向治疗中的意义——当前知识与研究概述
Klin Onkol. 2018 Fall;31(5):339-344. doi: 10.14735/amko2018339.
2
Pneumatosis intestinalis a trap for the unwary: Case series and literature review.肠壁积气:粗心者的陷阱——病例系列及文献综述
Int J Surg Case Rep. 2018;53:214-217. doi: 10.1016/j.ijscr.2018.10.079. Epub 2018 Nov 2.
3
Pneumatosis intestinalis due to 5-fluorouracil chemotherapy.
5-氟尿嘧啶化疗所致的肠壁囊样积气症
Gastroenterol Hepatol. 2016 Dec;39(10):672-673. doi: 10.1016/j.gastrohep.2015.09.010. Epub 2015 Nov 4.
4
Vemurafenib/dabrafenib and trametinib.维莫非尼/达拉非尼与曲美替尼
Br J Clin Pharmacol. 2015 Oct;80(4):765-7. doi: 10.1111/bcp.12651. Epub 2015 Jun 11.
5
Improved overall survival in melanoma with combined dabrafenib and trametinib.达拉非尼和曲美替尼联合治疗可改善黑色素瘤患者的总生存期。
N Engl J Med. 2015 Jan 1;372(1):30-9. doi: 10.1056/NEJMoa1412690. Epub 2014 Nov 16.
6
Pneumatosis intestinalis and bowel perforation associated with molecular targeted therapy: an emerging problem and the role of radiologists in its management.肠气肿和肠穿孔与分子靶向治疗相关:一个新出现的问题和放射科医生在其管理中的作用。
AJR Am J Roentgenol. 2012 Dec;199(6):1259-65. doi: 10.2214/AJR.12.8782.
7
Long-term outcome of 444 patients with distant metastases from papillary and follicular thyroid carcinoma: benefits and limits of radioiodine therapy.444例乳头状和滤泡状甲状腺癌远处转移患者的长期预后:放射性碘治疗的益处和局限性
J Clin Endocrinol Metab. 2006 Aug;91(8):2892-9. doi: 10.1210/jc.2005-2838. Epub 2006 May 9.
8
Abdominal gas cysts (pneumatosis cystoides intestinorum hominis); an analysis with a report of a case and a critical review of the literature.腹部气囊肿(人类肠壁囊样积气症);病例分析及文献综述
AMA Arch Pathol. 1952 Jun;53(6):523-49.
9
Portomesenteric vein gas: pathologic mechanisms, CT findings, and prognosis.门静脉肠系膜静脉积气:病理机制、CT表现及预后
Radiographics. 2000 Sep-Oct;20(5):1213-24; discussion 1224-6. doi: 10.1148/radiographics.20.5.g00se011213.
10
Pneumatosis cystoides intestinalis.肠壁囊样积气症
Dis Colon Rectum. 1976 Mar;19(2):107-11. doi: 10.1007/BF02590860.