• 文献检索
  • 文档翻译
  • 深度研究
  • 学术资讯
  • Suppr Zotero 插件Zotero 插件
  • 邀请有礼
  • 套餐&价格
  • 历史记录
应用&插件
Suppr Zotero 插件Zotero 插件浏览器插件Mac 客户端Windows 客户端微信小程序
定价
高级版会员购买积分包购买API积分包
服务
文献检索文档翻译深度研究API 文档MCP 服务
关于我们
关于 Suppr公司介绍联系我们用户协议隐私条款
关注我们

Suppr 超能文献

核心技术专利:CN118964589B侵权必究
粤ICP备2023148730 号-1Suppr @ 2026

文献检索

告别复杂PubMed语法,用中文像聊天一样搜索,搜遍4000万医学文献。AI智能推荐,让科研检索更轻松。

立即免费搜索

文件翻译

保留排版,准确专业,支持PDF/Word/PPT等文件格式,支持 12+语言互译。

免费翻译文档

深度研究

AI帮你快速写综述,25分钟生成高质量综述,智能提取关键信息,辅助科研写作。

立即免费体验

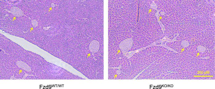
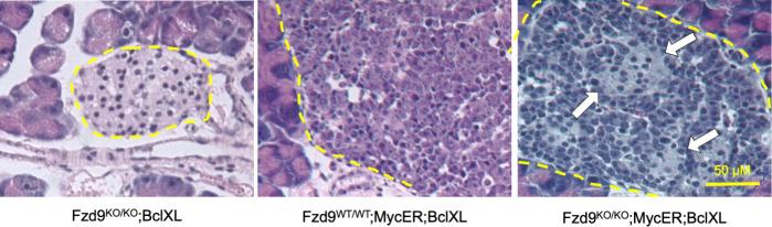
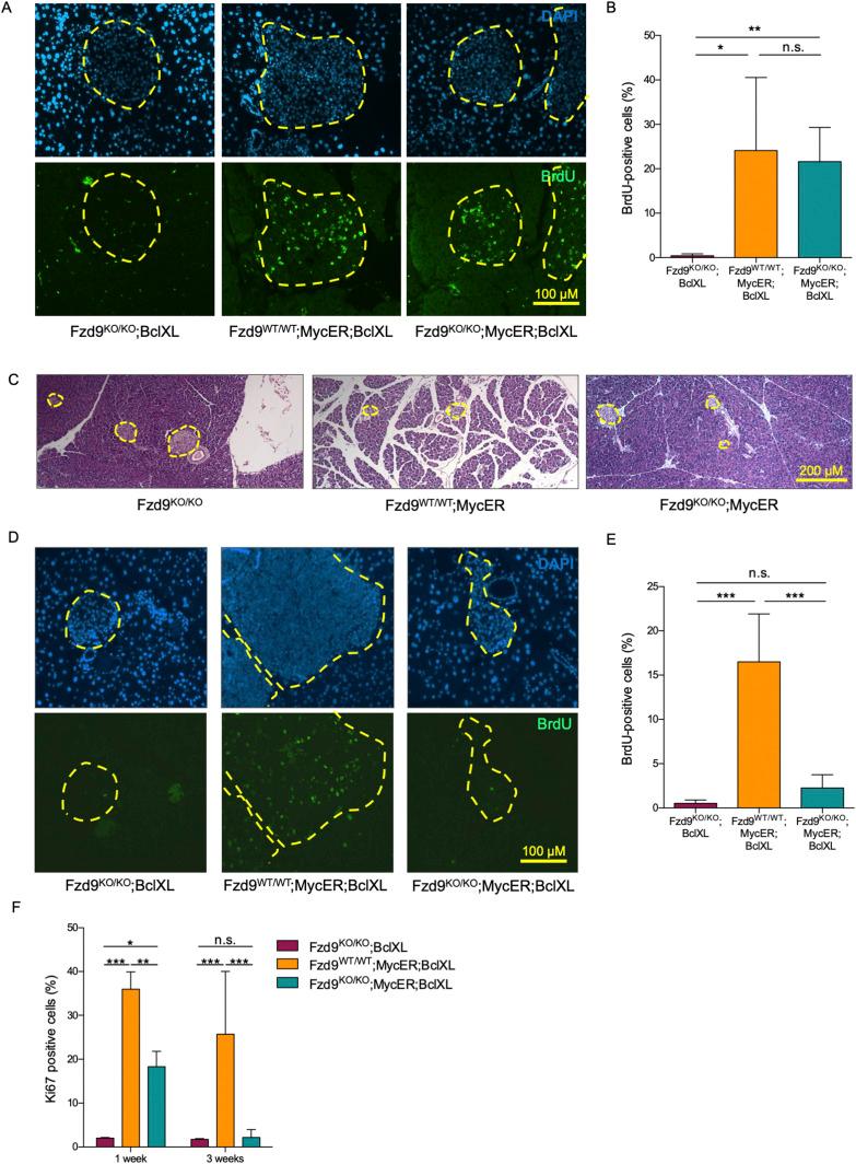
Wnt 信号受体 Fzd9 对于胰腺胰岛中 Myc 驱动的肿瘤发生是必需的。

The Wnt signaling receptor Fzd9 is essential for Myc-driven tumorigenesis in pancreatic islets.

机构信息

Mouse Models of Cancer Therapy Group, Vall d'Hebron Institute of Oncology (VHIO), Vall d'Hebron Barcelona Hospital Campus, Barcelona, Spain.

Peptomyc SL, Vall d'Hebron Barcelona Hospital Campus, Barcelona, Spain.

出版信息

Life Sci Alliance. 2021 Mar 2;4(5). doi: 10.26508/lsa.201900490. Print 2021 May.

DOI:10.26508/lsa.201900490
PMID:33653688
原文链接:https://pmc.ncbi.nlm.nih.gov/articles/PMC8008953/
Abstract

The huge cadre of genes regulated by Myc has obstructed the identification of critical effectors that are essential for Myc-driven tumorigenesis. Here, we describe how only the lack of the receptor Fzd9, previously identified as a Myc transcriptional target, impairs sustained tumor expansion and β-cell dedifferentiation in a mouse model of Myc-driven insulinoma, allows pancreatic islets to maintain their physiological structure and affects Myc-related global gene expression. Importantly, Wnt signaling inhibition in Fzd9-competent mice largely recapitulates the suppression of proliferation caused by Fzd9 deficiency upon Myc activation. Together, our results indicate that the Wnt signaling receptor Fzd9 is essential for Myc-induced tumorigenesis in pancreatic islets.

摘要

Myc 调控的庞大基因库阻碍了关键效应因子的鉴定,而这些效应因子对于 Myc 驱动的肿瘤发生是必不可少的。在这里,我们描述了仅缺乏受体 Fzd9(先前被鉴定为 Myc 转录靶标)如何在 Myc 驱动的胰岛素瘤的小鼠模型中损害持续的肿瘤扩张和β细胞去分化,使胰岛能够维持其生理结构并影响 Myc 相关的全局基因表达。重要的是,在 Fzd9 功能正常的小鼠中抑制 Wnt 信号传导在很大程度上再现了 Myc 激活时 Fzd9 缺失引起的增殖抑制。总之,我们的结果表明,Wnt 信号受体 Fzd9 对于胰腺胰岛中的 Myc 诱导的肿瘤发生是必需的。

https://cdn.ncbi.nlm.nih.gov/pmc/blobs/d630/8008953/aebaa0634c5c/LSA-2019-00490_FigS4.jpg
https://cdn.ncbi.nlm.nih.gov/pmc/blobs/d630/8008953/772c207a3f83/LSA-2019-00490_FigS1.jpg
https://cdn.ncbi.nlm.nih.gov/pmc/blobs/d630/8008953/cd2ee97bba68/LSA-2019-00490_Fig1.jpg
https://cdn.ncbi.nlm.nih.gov/pmc/blobs/d630/8008953/11a9792f2744/LSA-2019-00490_Fig2.jpg
https://cdn.ncbi.nlm.nih.gov/pmc/blobs/d630/8008953/5b748ce90c7b/LSA-2019-00490_FigS2.jpg
https://cdn.ncbi.nlm.nih.gov/pmc/blobs/d630/8008953/1a4547a1dfba/LSA-2019-00490_Fig3.jpg
https://cdn.ncbi.nlm.nih.gov/pmc/blobs/d630/8008953/4eb7a1245848/LSA-2019-00490_FigS3.jpg
https://cdn.ncbi.nlm.nih.gov/pmc/blobs/d630/8008953/1c0258b8bb48/LSA-2019-00490_Fig4.jpg
https://cdn.ncbi.nlm.nih.gov/pmc/blobs/d630/8008953/aebaa0634c5c/LSA-2019-00490_FigS4.jpg
https://cdn.ncbi.nlm.nih.gov/pmc/blobs/d630/8008953/772c207a3f83/LSA-2019-00490_FigS1.jpg
https://cdn.ncbi.nlm.nih.gov/pmc/blobs/d630/8008953/cd2ee97bba68/LSA-2019-00490_Fig1.jpg
https://cdn.ncbi.nlm.nih.gov/pmc/blobs/d630/8008953/11a9792f2744/LSA-2019-00490_Fig2.jpg
https://cdn.ncbi.nlm.nih.gov/pmc/blobs/d630/8008953/5b748ce90c7b/LSA-2019-00490_FigS2.jpg
https://cdn.ncbi.nlm.nih.gov/pmc/blobs/d630/8008953/1a4547a1dfba/LSA-2019-00490_Fig3.jpg
https://cdn.ncbi.nlm.nih.gov/pmc/blobs/d630/8008953/4eb7a1245848/LSA-2019-00490_FigS3.jpg
https://cdn.ncbi.nlm.nih.gov/pmc/blobs/d630/8008953/1c0258b8bb48/LSA-2019-00490_Fig4.jpg
https://cdn.ncbi.nlm.nih.gov/pmc/blobs/d630/8008953/aebaa0634c5c/LSA-2019-00490_FigS4.jpg

相似文献

1
The Wnt signaling receptor Fzd9 is essential for Myc-driven tumorigenesis in pancreatic islets.Wnt 信号受体 Fzd9 对于胰腺胰岛中 Myc 驱动的肿瘤发生是必需的。
Life Sci Alliance. 2021 Mar 2;4(5). doi: 10.26508/lsa.201900490. Print 2021 May.
2
Targeting Frizzled-7 Decreases Stemness and Chemotherapeutic Resistance in Gastric Cancer Cells by Suppressing Myc Expression.靶向卷曲蛋白 7 通过抑制 Myc 表达降低胃癌细胞干性和化疗耐药性。
Med Sci Monit. 2019 Nov 16;25:8637-8644. doi: 10.12659/MSM.918504.
3
The Wnt serpentine receptor Frizzled-9 regulates new bone formation in fracture healing.卷曲蛋白受体 Frizzled-9 调控骨折愈合中的新骨形成。
PLoS One. 2013 Dec 31;8(12):e84232. doi: 10.1371/journal.pone.0084232. eCollection 2013.
4
Oncogenic co-operation in beta-cell tumorigenesis.β细胞肿瘤发生中的致癌协同作用。
Endocr Relat Cancer. 2001 Dec;8(4):307-14. doi: 10.1677/erc.0.0080307.
5
MicroRNA-1 down-regulates proliferation and migration of breast cancer stem cells by inhibiting the Wnt/β-catenin pathway.微小RNA-1通过抑制Wnt/β-连环蛋白信号通路下调乳腺癌干细胞的增殖和迁移。
Oncotarget. 2015 Dec 8;6(39):41638-49. doi: 10.18632/oncotarget.5873.
6
Conditional inactivation of Myc impairs development of the exocrine pancreas.Myc基因的条件性失活会损害外分泌胰腺的发育。
Development. 2008 Oct;135(19):3191-6. doi: 10.1242/dev.017137. Epub 2008 Aug 20.
7
miR-199b-5p enhances the proliferation of medullary thymic epithelial cells via regulating Wnt signaling by targeting Fzd6.miR-199b-5p 通过靶向 Fzd6 调控 Wnt 信号通路增强骨髓胸腺上皮细胞的增殖。
Acta Biochim Biophys Sin (Shanghai). 2021 Jan 12;53(1):36-45. doi: 10.1093/abbs/gmaa145.
8
WNT/β-catenin-signaling pathway stimulates the proliferation of cultured adult human Sertoli cells via upregulation of C-myc expression.WNT/β-catenin 信号通路通过上调 C-myc 表达刺激培养的成年人类支持细胞的增殖。
Reprod Sci. 2012 Nov;19(11):1232-40. doi: 10.1177/1933719112447126. Epub 2012 Aug 7.
9
mTORC1 signaling suppresses Wnt/β-catenin signaling through DVL-dependent regulation of Wnt receptor FZD level.mTORC1 信号通过 DVL 依赖性调节 Wnt 受体 FZD 水平来抑制 Wnt/β-catenin 信号通路。
Proc Natl Acad Sci U S A. 2018 Oct 30;115(44):E10362-E10369. doi: 10.1073/pnas.1808575115. Epub 2018 Oct 8.
10
Identification of WNT/beta-CATENIN signaling pathway components in human cumulus cells.人卵丘细胞中WNT/β-连环蛋白信号通路成分的鉴定
Mol Hum Reprod. 2009 Jan;15(1):11-7. doi: 10.1093/molehr/gan070. Epub 2008 Nov 26.

引用本文的文献

1
BAMBI Is a Prognostic Biomarker Associated with Macrophage Polarization, Glycolysis, and Lipid Metabolism in Hepatocellular Carcinoma.BAMBI是一种与肝细胞癌中巨噬细胞极化、糖酵解和脂质代谢相关的预后生物标志物。
Int J Mol Sci. 2024 Nov 26;25(23):12713. doi: 10.3390/ijms252312713.
2
Frizzled receptors (FZDs) in Wnt signaling: potential therapeutic targets for human cancers.卷曲受体(FZDs)在 Wnt 信号通路中的作用:人类癌症潜在的治疗靶点。
Acta Pharmacol Sin. 2024 Aug;45(8):1556-1570. doi: 10.1038/s41401-024-01270-3. Epub 2024 Apr 17.
3
Influence of the Postmortem/Storage Time of Human Corneas on the Properties of Cultured Limbal Epithelial Cells.

本文引用的文献

1
Frizzled Receptors as Potential Therapeutic Targets in Human Cancers.卷曲受体作为人类癌症的潜在治疗靶点。
Int J Mol Sci. 2018 May 22;19(5):1543. doi: 10.3390/ijms19051543.
2
QuPath: Open source software for digital pathology image analysis.QuPath:用于数字病理学图像分析的开源软件。
Sci Rep. 2017 Dec 4;7(1):16878. doi: 10.1038/s41598-017-17204-5.
3
Loss of mTORC1 signalling impairs β-cell homeostasis and insulin processing.mTORC1 信号的丧失会损害β细胞的内稳态和胰岛素的加工。
人眼角膜死后/储存时间对培养的角膜缘上皮细胞特性的影响。
Cells. 2022 Aug 31;11(17):2716. doi: 10.3390/cells11172716.
4
Target c-Myc to treat pancreatic cancer.靶向 c-Myc 治疗胰腺癌。
Cancer Biol Ther. 2022 Dec 31;23(1):34-50. doi: 10.1080/15384047.2021.2017223. Epub 2022 Jan 3.
5
Whole-Slide Image Analysis of Human Pancreas Samples to Elucidate the Immunopathogenesis of Type 1 Diabetes Using the QuPath Software.使用QuPath软件对人类胰腺样本进行全切片图像分析以阐明1型糖尿病的免疫发病机制
Front Mol Biosci. 2021 Jun 11;8:689799. doi: 10.3389/fmolb.2021.689799. eCollection 2021.
Nat Commun. 2017 Jul 12;8:16014. doi: 10.1038/ncomms16014.
4
Involvement of c-Fos in cell proliferation, migration, and invasion in osteosarcoma cells accompanied by altered expression of Wnt2 and Fzd9.c-Fos参与骨肉瘤细胞的增殖、迁移和侵袭,并伴有Wnt2和Fzd9表达的改变。
PLoS One. 2017 Jun 30;12(6):e0180558. doi: 10.1371/journal.pone.0180558. eCollection 2017.
5
Regulator of G protein signaling 2 is a key regulator of pancreatic β-cell mass and function.G蛋白信号调节因子2是胰腺β细胞数量和功能的关键调节因子。
Cell Death Dis. 2017 May 25;8(5):e2821. doi: 10.1038/cddis.2016.216.
6
Strategies to Inhibit Myc and Their Clinical Applicability.抑制Myc的策略及其临床应用
Front Cell Dev Biol. 2017 Feb 23;5:10. doi: 10.3389/fcell.2017.00010. eCollection 2017.
7
Wnt signaling in cancer.癌症中的Wnt信号传导
Oncogene. 2017 Mar;36(11):1461-1473. doi: 10.1038/onc.2016.304. Epub 2016 Sep 12.
8
Methylation status of the promoter region of the human frizzled 9 gene in acute myeloid leukemia.急性髓系白血病中人类卷曲蛋白9基因启动子区域的甲基化状态
Mol Med Rep. 2016 Aug;14(2):1339-44. doi: 10.3892/mmr.2016.5387. Epub 2016 Jun 10.
9
4E-BP2/SH2B1/IRS2 Are Part of a Novel Feedback Loop That Controls β-Cell Mass.4E-BP2/SH2B1/IRS2是控制β细胞质量的新型反馈回路的一部分。
Diabetes. 2016 Aug;65(8):2235-48. doi: 10.2337/db15-1443. Epub 2016 May 23.
10
Heatmapper: web-enabled heat mapping for all.热图绘制工具:面向所有人的网络热图绘制工具。
Nucleic Acids Res. 2016 Jul 8;44(W1):W147-53. doi: 10.1093/nar/gkw419. Epub 2016 May 17.